์๋
ํ์ธ์,
๋ง๊ณก๋ ์น๊ณผ ์์ฅ ์ฌ์ํธ์
๋๋ค.
ํน์ ๊ฑฐ์ธ ๋ณด๋ฉด์ ์์ ๋,
์น์ ์ฌ์ด์ ๋ฒ์ด์ง ํ ๋๋ฌธ์
์ ๊ฒฝ ์ฐ์ธ ์ ์์ผ์ ๊ฐ์?

์ฌ์ง ์ฐ์ ๋๋ง๋ค ์ผ๋ถ๋ฌ ์
์ ๋ค๋ฌผ๊ฒ ๋๊ณ ,
์์ ๊ฐ ์๊ฒ ์์ง ๋ชปํ๋ ๊ฒฝํ...
์๊ฐ๋ณด๋ค ๋ง์ ๋ถ๋ค์ด ๊ณต๊ฐํ์๊ณค ํฉ๋๋ค.
ํนํ๋ ์์ฐ์น ์ฌ์ด๊ฐ ๋ฒ์ด์ง ๊ฒ์
๊ต์ ๋ง๊ณ ๋ค๋ฅธ ๋ฐฉ๋ฒ์ผ๋ก๋
ํด๊ฒฐ์ด ์ ๋๋ ์ค ์์๋ ๋ถ๋ค์ด ๋ง์ต๋๋ค.
ํ์ง๋ง ๊ผญ ๊ต์ ๋ง์ด ๋ต์ ์๋๋๋ค.
'๋ผ๋ฏธ๋ค์ดํธ (laminate)'๋ผ๋โ
์ต์ ์นจ์ต ์น๋ฃ๋ฅผ ํตํด,
์งง์ ์๊ฐ ์์ ์ฌ๋ฏธ์ ์ธ ๊ฐ์ ์
์ด๋ฃฐ ์ ์์ต๋๋ค.
์ค๋์ด ์ด์ ๊ด๋ จ๋ ๋ด์ฉ์
์๊ฐํด ๋๋ฆฌ๋๋ก ํ๊ฒ ์ต๋๋ค.
- ์น๊ฐ์ด๊ฐ ๊ฐ์ ๋ฐฉ์
์๋ ์ฌ์ด๊ฐ ๋ฒ์ด์ก์ ๋
์ ์์ ์ธ ๋ฐฉ๋ฒ์ธ ์น์ ๊ต์ ์
๋ง์ด ๊ถํด ๋๋ฆฝ๋๋ค.
๋ค๋ง ๊ต์ ๋ง์ผ๋ก๋
๊ฐ๊ฒฉ์ด ๋ค ๋ซํ์ง ์๋ ๊ฒฝ์ฐ๋ ์๋๋ฐ์.
์ด๋ด ๋ ๋ณตํฉ์ ์ธ ์ง๋ฃ๋ก
์์ฐ์น ํํ๋ฅผ ๋ณต์ํ๋ ์น๋ฃ๊ฐ ํ์ํฉ๋๋ค.
๊ทธ ๋ฐฉ๋ฒ์๋
๋ ์ง, laminate ๋ฑ์ด ์์ต๋๋ค.
๊ทธ๋ผ, ์ง๋ฃ๋ฒ์ ๋ฐ๋ฅธ ์ฐจ์ด์ ์
๋ฌด์์ด ์์๊น์?
๋ง๊ณก๋ ์น๊ณผ ์์
์ 2๊ฐ์ง๋ฅผ ์์๋ก
์ฐจ์ด์ ์ ์ค๋ช
ํด ๋๋ฆฌ๊ฒ ์ต๋๋ค.
- ์น๋ฃ ์ ํ๋ณ ์ฐจ์ด์ ์?
๋ง์ ๋ถ๋ค๊ป์
์ฌ๋ฏธ ๋ณด์ฒ ์๋ณต์ ํ๋ฉด ์์ฐ์น ๊น๋ ๊ฒ์ ๋ํ
๊ฑฐ๋ถ๊ฐ์ ํํ์ค ๋๊ฐ ์ข
์ข
์์ต๋๋ค.
๋ค๋ง, ์์ฆ์ ์ด๋ฅผ ๊ฑฐ์ ๊น์ง ์๋
'๋น์นจ์ต์ laminate'๋ก๋ ๊ฐ๋ฅํ๋ต๋๋ค.
๊ทธ๋ผ 2๊ฐ์ง ๋ฐฉ์์ ์ฐจ์ด๋ฅผ
์ฝ๊ฒ ๋น๊ตํด ๋ณผ๊น์?
โ๏ธ ๋ ์ง ์๋ณต
์ฅ์ : ํ ๋ฒ์ ๋ด์์ผ๋ก ๋๋จ
๋จ์ : ์ ๋ฐํ ์กฐ๊ฐ ๊ธฐ์ ์ด ํ์ํ๊ณ ,
์๊ฐ์ด ์ง๋๋ฉด ๊ดํ์ด๋
๋ณ์ ๋ฌธ์ ๊ฐ ์๊ธฐ๊ธฐ๋ ํจ
์ถ๊ฐ๋ก: 6๊ฐ์๋ง๋ค ํด๋ฆฌ์ฑ์ด ํ์
โ๏ธ ๋ผ๋ฏธ๋ค์ดํธ
์ฅ์ : ์์๊ณผ ํํ๊ฐ ์์ฃผ ์ ๊ตํ๊ณ ,
๋ด๊ตฌ์ฑ๋ ๋ฐ์ด๋จ
๋จ์ : ์ด๋ฅผ ์กฐ๊ธ์ ๋ค๋ฌ์ด์ผ ๋๊ณ ,
์๊ฐ๊ณผ ๋น์ฉ์ด ๋ ์ง์ ๋นํด ๋ ๊ฑธ๋ฆผ
์น๊ฐ์ด๊ฐ ๊ฐ๊ฒฉ์ด ํด์๋ก
๋์ ๊ณต๊ฐ์ ์ธ๋ฐํ ์ฑ์ธ ์ ์๊ธฐ์
๋ ์ง์ ๋นํด ๋ ์ ํฉํฉ๋๋ค.
์์ฐ์ค๋ฌ์ด ๋ฏธ์ ๋ผ์ธ์ ๋ง๋ค๊ธฐ ์ํด,
์ด๋ฐ ์ฅ๋จ์ ์ ์ ๊ณ ๋ คํด ์ ํํด์ผ ๋ฉ๋๋ค.
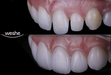
์ด์ ๋ถํฐ ๋ง๊ณก๋ ์น๊ณผ ์์
์ด์ ๊ด๋ จ๋ ์์ ์ฌ์ง์ ๋ณด๋ฉฐ
์น๋ฃ ๊ณผ์ ์ ์๊ฐํด ๋๋ฆฌ๋๋ก ํ๊ฒ ์ต๋๋ค.
- ๊ฒ์ง

์์ ๋ ์๋์ ์๋ ์ฌ์ด์ ํ์ด ์๋ ๊ฒ์
ํ์ธํ ์ ์์ผ๋ฉฐ,


์ธก๋ฉด์์ ๋ณด์์ ๋
์ค๋ฅธ์ชฝ ์ ์ฒซ ๋ฒ์งธ ์์ ์ด๊ธ๋์์
์ก๊ณณ๋๊น์ง ๊ฐ๊ฒฉ์ด ๋์ ๊ฒ์
๊ด์ฐฐํ ์ ์์์ต๋๋ค.

์๋ชธ ๊ฑด๊ฐ์ ํ์ธํด ๋ณธ ๊ฒฐ๊ณผ,
์น์ ๋ผ์ธ์ด ์๋ง๊ฒ ํ์ฑ๋์ด ์์์ต๋๋ค.
๋๋ถ์ด, ์น์ด์ด๋ ๊ตํฉ์๋
๋ฌธ์ ๊ฐ ์๋ ๊ฒ์ผ๋ก ํ๋จ๋์ด
์งง์ ๊ธฐ๊ฐ์ ํด๊ฒฐ์ด ๊ฐ๋ฅํ ๋ผ๋ฏธ๋ค์ดํธ๋ก
์ง๋ฃํ ์ ์๋ค๊ณ ๋ง๊ณก๋ ์น๊ณผ ์์๋
ํ๋จํ์ต๋๋ค.
- ์น์ ๋น์จ ๋ถ์

์ปดํจํฐ ํ๋ก๊ทธ๋จ์ ์ด์ฉํ์ฌ
์ค์ ๋ณด์ฒ ์ ๋์์ธ์ ๋์๋๋ ธ์ผ๋ฉฐ,

์ด๋ฅผ ๋ฐ์ํ์ฌ
๊ตฌ๊ฐ ์ค์บ๋์ ์ปดํจํฐ ๋ชจ์ ์์ ์ ํตํด
๋ณด์ฒ ์ ๋ชจ์ต์ ํ์ธํ ์ ์์ต๋๋ค.
์ด๊ฒ์ ํตํด ์์ค์
๊ฐ์ด๋๋ฅผ
๋ง๋ค ์ ์์ต๋๋ค.
์ดํ ๋ณธ๊ฒฉ์ ์ธ ๋ผ๋ฏธ๋ค์ดํธ ๋ณด์ฒ
์ ์์ ํ๋๋ฐ์,
๊ทธ ๊ณผ์ ์ ๋ง๊ณก๋ ์น๊ณผ ์์
์๊ฐํด ๋๋ฆฌ๋๋ก ํ๊ฒ ์ต๋๋ค.
- ์ง๋ฃ ๊ณผ์


๋จผ์ , ์น์์ ํ๋ฉด์ ๋ค๋ฌ์ ๋ค
๋ณธ์ ๋ ๋ชจ๋ธ์ ๋ง๋ญ๋๋ค.

์ดํ ๋ผ๋ฏธ๋ค์ดํธ ๋ณด์ฒ ์ด ์ ์๋์๋ค๋ฉด
๋ฌ๋ฒ๋์ ์ค์นํ ๋ค
์ ๋ง๋์ง ๋ค์ ํ๋ฒ ํ์ธํ ํ

๋ถ์ฐฉ ์ค๋น๋ฅผ ํฉ๋๋ค.


๋ถ์ฐฉ ์ ํ์ด๋ฉฐ
๋ฒ์ด์ง ํ์ด ๋ฉ๊ฟ์ง ๊ฒ์
ํ์ธํ ์ ์์ต๋๋ค.
์์ ๋ ์น์ ์ฌ์ด๊ฐ ๋ฒ์ด์ ธ ๋ณด์์ ๋
ํด๊ฒฐ ๋ฐฉ๋ฒ ์ค ํ๋์ธ ๋ผ๋ฏธ๋ค์ดํธ ์
๊ด๋ จ๋ ๋ด์ฉ์ ์ค๋ช
ํด ๋๋ ธ์ต๋๋ค.
ํํ ๋งํ๋ ์ฑ๊ณต์ ์ธ ์ง๋ฃ์ ๊ฐ๋
์
๋น์ฉ, ์ฌ๋ฏธ, ์๋ช
, ์ฐ์กฐ์ง ์ธ์ ๋ฑ์
๋ชจ๋ ์์๋ฅผ ๊ท ํ ์๊ฒ ์กฐ์ ํ๋ ๊ฒ์ธ๋ฐ์.
๋๋ถ์ด,
๋ฐ๋ ์ฌ๋์ ํ์ฌ๊ธ ์๋ง์ ์น๋ฃ๋ฅผ
์ ํํ ์ ์๋๋ก ๋์ ์ ํ์ง๋ฅผ ์ฃผ๋ ๊ฒ์
์๋ฃ์ง์ด ํด์ผ ๋๋ ์ญํ ์ด๋ผ๋ ์ ์
์๋ ค๋๋ฆฌ๋ฉด์ ๊ธ์ ๋ง์น๊ฒ ์ต๋๋ค.
๋ง๊ณก๋ ์น๊ณผ ์์ฅ ์ฌ์ํธ์ด์์ต๋๋ค.
๊ธด ๊ธ ์ฝ์ด์ฃผ์
์ ๊ฐ์ฌํฉ๋๋ค.

2025.02.01~2025.02.28