- 치과에서는 왜 자꾸 x-ray를 찍자고 하나요?
안녕하세요. 연세위시치과 여상호입니다.
진료하다 보면 이런 질문을 종종 받습니다.

(우리 데스크 선생님 파노라마 사진입니다 ㅎㅎ)
불편한거 없는데 굳이 사진을 찍어야 하나요?
"지금 아픈 것도 없고 불편한 것도 없는데,
꼭 X-ray를 찍어야 하나요?" 하는 말씀들이죠.
사실 치아는 속까지 다 들여다볼 수 있는 구조가 아니다 보니
육안으로는 문제가 없어 보여도
X-ray를 찍어보면 예상 못 했던 부분이 보일 때가 많습니다.
특히 뿌리 쪽 염증이라든가, 겉으로는 보이지 않는 충치나
잇몸 뼈의 변화 같은 건
눈으로만 봐서는 절대 알 수가 없습니다.
물론 최근에 다른 병원에서 사진을 찍으셨고,
현재 상태에 대해 충분한 설명을 들으셨다면
꼭 다시 촬영하실 필요는 없어요.
하지만 그렇지 않은 경우라면,
한 번쯤은 다시 체크해보시는 걸 추천드립니다.
조금 번거롭더라도, 환자분 입장에서는
더 빠르게, 더 정확한 진단으로 이어지는 길이 될 수 있으니까요.
어쩌면 지금 당장은 괜찮아 보여도
나중에 더 큰 문제가 되기 전에 미리 확인하는 게
더 좋은 선택일 수 있습니다.
늘 느끼는 거지만,
치료는 ‘빨리 시작하는 것’보다
‘제대로 판단하고 시작하는 것’이 더 중요하니까요. 😊
사례 1. 스케일링 받으러 오셨지만, 생각지 못한 발견이…
얼마 전, 스케일링을 받기 위해 내원하신 환자분이 계셨습니다.
특별히 불편한 증상은 없으셨지만,
“검진과 X-ray 촬영을 받은 지 오래된 것 같다”고 말씀해 주셔서
간단한 검진과 함께 X-ray를 촬영하기로 했습니다.
(충분히 설명드리고 동의 후 진행되었습니다!)
아래는 환자분의 구강 내 사진입니다.

오른쪽 아래 어금니 부위(사진상 왼쪽)에는
금속 크라운으로 치료된 부분이 보이고,
왼쪽 아래 어금니 두 곳은 예전에 충치 치료를 받은 자리가 확인됩니다.
겉으로 보기엔 큰 문제는 없어 보였지만,
X-ray를 촬영해보니 예상치 못한 부분이 눈에 띄었습니다.
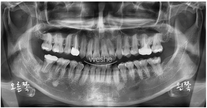
아래는 환자분의 파노라마 X-ray입니다.

생각하지 못한 문제가 발견되었습니다. 무엇일까요?

표시한 부위에 검은 음영이 관찰됩니다.
보통 건강한 치조골(잇몸뼈)은 X-ray 상에서 하얗고 회색빛의 결 구조가 나타나는데,
이처럼 어둡고 비어 보이는 음영은
염증 등으로 인해 뼈 조직이 약해졌거나 흡수되었을 가능성을 의미합니다.
해당 부위는 크기도 꽤 큰 편이어서,
더 정밀한 진단을 위해 CT 촬영을 진행하기로 했습니다.

같은 부위의 CT 사진입니다.
아래에 보이는 X-ray에서 빨간색으로 표시된 부위는,
앞서 파노라마 X-ray에서 보였던 검은 음영 부위입니다.
염증으로 인해 치조골(잇몸뼈)이 녹아 생긴 공간입니다.
그리고 파란색으로 표시된 부위는
우리가 흔히 ‘하치조신경’이라고 부르는
inferior alveolar nerve (IAN)입니다.
이 신경은 아래턱의 감각을 담당하는 중요한 구조인데요,
보통은 단단한 뼈 속에 안전하게 보호되어 있습니다.
그런데, 염증이 심해지면
이 신경을 직접 압박하거나,
신경을 감싸고 있는 뼈 자체를 녹여버리는 경우도 생깁니다.
그렇게 되면 마취가 풀리지 않는 듯한 먹먹함이나 감각 이상이 생기기도 합니다.
이 환자분의 경우, 치아를 살릴 수 있는 가능성을 고려해
‘치아 재식술’을 진행하기로 했습니다.
(이 치료에 대해서는 기회가 된다면 다음에 자세히 소개해드릴게요!)
이처럼 X-ray를 찍지 않았다면,
눈으로만 보고는 알기 어려운 문제를 놓칠 뻔한 상황이었습니다.
불편함이 없더라도,
정기적으로 X-ray 검사를 통해 치아와 잇몸의 상태를 확인하는 것이
큰 치료를 예방하는 데 정말 도움이 됩니다.
사례 2. 넘어져 깨진 치아, CT로 확인된 또 다른 문제
남자 환자분께서 2주 전,
넘어지며 치아가 부러졌다고 하시며 내원해 주셨습니다.
치아를 최대한 살리고 싶어 여러 곳을 알아보시다가,
지인을 통해 치과보존과 전문의가 진료하는 병원이라는 소개를 받고 오셨다고 해요.
(소개해주신 분, 혹시 누구실까요… 감사합니다. T^T)

위 사진은 환자분의 입 안 모습입니다.
왼쪽 위 앞니 부위(사진상 오른쪽)가 깨져 있는 게 확인됩니다.
환자분 말씀으로는,
다치자마자 방문하신 치과의원에서
선생님께서 응급처치를 아주 잘해주셨다고 해요.
치아가 부러지며 잇몸 속으로 밀려 들어갔었는데,
그 치아를 다시 제 위치에 맞게 옮기고,
치아가 흔들려 철사로 고정까지 해주셨다고 합니다.
응급 대처가 정말 중요했던 순간이었는데,
먼저 진료해주신 선생님의 빠른 판단과 처치 덕분에
치아의 예후도 훨씬 좋아질 수 있었을 거라 생각됩니다.
하지만 외관상으로 보이거나, 파노라마 X-ray만으로는
치아 뿌리 부분에 문제가 있는지 여부를 확실히 판단하기 어려운 경우도 있습니다.
조금 더 정확한 상태 확인을 위해
환자분께 설명을 드린 뒤, CT 촬영을 진행하기로 했습니다.

CT 사진입니다.
환자의 머리 위에서 바라보고 있는 방향입니다.
무엇이 보이나요?

노란선은 우리의 잇몸뼈 바깥경계선을 따라 그린 것입니다.
X-ray상에서 진한 흰색선으로 보이지요.

다른 부위에서는 잇몸뼈(치조골)가 연속적으로 잘 이어져 있는 반면,
빨간색으로 표시된 부위에서는 뼈의 윤곽선이 뚜렷하게 끊겨 있는 모습을 볼 수 있습니다.
이는 단순히 치아가 이동한 것이 아니라,
외상으로 인해 잇몸뼈 자체에 골절이 생긴 상황임을 의미합니다.
미국 근관치료학회(AAE)의 가이드라인에 따르면,
치아가 외상으로 잇몸 안쪽으로 밀려 들어간 경우라면
철사 고정은 2주 정도 유지하는 것으로 충분하다고 되어 있습니다.
하지만 지금처럼 잇몸뼈까지 골절이 동반된 상황이라면
고정 기간을 4주 이상으로 잡는 것이 권장됩니다.
이처럼 외상이라고 해서 모두 같은 방식으로 치료하는 것은 아닙니다.
상태에 따라 치료 계획, 고정 기간, 치료 순서까지 달라질 수 있기 때문이지요.
이번 케이스도 마찬가지였습니다.
CT를 촬영하지 않았더라면, 단순히 치아 위치만 확인하고
잇몸뼈의 골절은 놓칠 수 있었던 상황이었습니다.
그 경우엔 회복 기간에도 영향을 미치고, 예후가 달라질 수 있었겠지요.
환자분께서 검진과 촬영을 신중히 결정해주신 덕분에
보다 정확하게 진단하고, 상황에 맞는 치료 계획을 세울 수 있었습니다.
협조해주셔서 진심으로 감사드립니다 :)

환자분께서는 사회생활 중 말하거나 웃을 때
치아가 깨진 부위가 보일까봐 불편함을 느끼신다고 하셨습니다.
그래서 치료 전 단계에서 심미적인 불편을 줄일 수 있도록,
임시 보강 치료를 진행해드렸습니다.
사례 3. “괜찮겠지”라는 마음이 놓치는 것들

Image Credit: Rames Khusakul/Shutterstock.com -구글에서 찾은 다른 환자분의 사진입니다
위 사진은 법랑모세포종(Ameloblastoma) 진단을 받은
한 환자의 X-ray 이미지입니다.
왼쪽 아래(환자 기준 우측 하방)에 비누방울처럼 퍼져 있는 어두운 음영이 보이시나요?
법랑모세포종은 턱뼈에 생기는 종양입니다.
양성종양으로 분류되지만,
매우 파괴적인 성질을 같는 것이 특징으로 뼈를 녹이는 양상을 보입니다.
우리 몸의 다른 부위에 생긴 양성종양은
수술로 잘 제거하면 큰 문제가 생기지 않습니다.
하지만 법랑모세포종은 제거해서 단순히 해결되는 것이 아닙니다.
재발하는 경우도 있으며,
제일 큰 문제는 턱뼈에 생긴 종양이기 때문에
부분적으로 턱뼈를 제거하고, 다시 씹고, 말하고,
외관상 문제가 생기지 않도록 ‘재건’을 해줘야 합니다.
매우 큰 수술이고, 쉽지 않은 수술입니다.
수술을 무사히 마쳤지만,
거울을 보며 조용히 눈물 흘리던 한 여학생의 모습이
아직도 잊히지 않습니다.
종양은 잘 제거되었지만,
턱뼈의 재건 이후 달라진 외모를 받아들이는 건
결코 쉬운 일이 아니었을 것입니다.
물론 결과적으로는 치료가 잘 끝난 경우였습니다.
하지만 마음속 한켠에서는 이런 생각이 들었습니다.
“조금 더 일찍 발견했더라면…
수술 범위도 줄일 수 있었을 텐데.”
1년에 한 번 정도 찍는 파노라마 X-ray,
생각보다 비용 부담이 크지 않습니다.
보통 치킨 한 마리 정도면 충분하지요 :)
이 작은 확인 한 번으로
우리 얼굴과 턱, 치아의 건강을
조금 더 오래, 조금 더 편안하게 지킬 수 있다면
한 번쯤 시간 내어보는 것도 괜찮지 않을까요?
‘딱히 아픈 데는 없는데…’
하고 지나쳐버린 사이에,
조용히 커지고 있었을지 모를 문제들.
치킨 한 마리 값으로,
더 큰 문제를 미리 막을 수 있다면
조금 더 아끼는 선택이 되지 않을까요?