
안녕하세요!
연구를 통한 진료,
마곡동 치과 원장 여상호입니다.
치아 기능 회복을 통한 건강한 일상,
상악 풀아치 임플란트 전문 정보를
소개해 드리겠습니다.
오늘 알려드릴 내용은
위턱(상악)의 전체 치아가
기능을 잃었을 때 선택할 수 있는
풀아치 임플란트 치료에 대한 것입니다.
특히 수면 치료(의식하 진정법)를 통해
편안하게 받을 수 있는 방법에 대해
자세히 설명드리겠습니다.
마곡동 치과
수면 치료란 무엇인가요?
구강 질환을 해결하기 위한
치료에 대한 두려움과 불안감은
누구나 겪을 수 있는 자연스러운 반응인데요.
특히 상악 풀아치 임플란트처럼
광범위한 치료를 받을 때는 더욱
긴장하게 되는 것이 당연합니다.
✔ 수면 치료의 정의

의식하진정법을 통해
가수면 상태를 유지하면서 치료를
진행하는 안전한 방법입니다.
전신마취와는 다르게 자발적인 호흡이
유지되며 간단한 지시사항에 반응할 수
있는 상태를 말합니다.
✔ 장점
진료 과정에 대한 기억이 거의 남지 않아
심리적 부담을 크게 줄일 수 있습니다.
또한 치료 시간이 단축되어 여러 번
내원해야 되는 부담도 줄어듭니다.
수술에 대한 두려움이 있거나 긴 시간
치료가 필요한 경우 특히 도움이 됩니다.
마곡동 치과
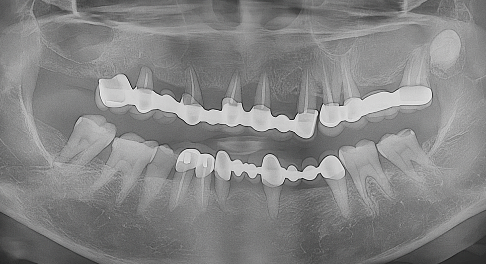
상악 풀아치 임플란트 란?
상악 풀아치 임플란트는
윗니가 제대로 기능을 하지 못할 때
적용하는 치료 방법입니다.
✔ 어떤 경우에 필요한가요?

심한 충치, 잇몸 질환, 치아 파절 등으로
인해 상악의 전체 치아가 기능을 상실한
경우에 고려됩니다.
개별적으로 치료하기 어렵거나 예후가
불량한 치아들을 모두 발치하고
임플란트로 대체하는 방식입니다.
✔ 기존 틀니와의 차이점
기존의 윗니 틀니와는 달리 상악
잇몸뼈에 직접 임플란트를 식립하여
고정식 보철을 제작합니다.
일반적으로 상악에 4~6개의 임플란트만으로도
전체 윗니를 복원할 수 있어 효율적인
치료가 가능합니다.
✔ 즉시 기능 회복
기존 치아를 발치함과 동시에 임플란트를
식립하고 임시치아까지 장착하는 즉시
기능 회복이 가능합니다.
상악은 심미성이 매우 중요한 부위이므로
자연스러운 잇몸 라인과 치아 형태 재현에
특별히 신경을 씁니다.
마곡동 치과
상악 풀아치 임플란트의 장점은?
✔ 치료 기간의 단축
기능하지 못하는 윗니들을 개별적으로
치료할 경우 수개월에서 1년 이상의
시간이 필요합니다.
하지만 이것은 발치와 동시에
임플란트를 식립하고 당일 임시치아까지
장착이 가능합니다.
✔ 경제적 효율성
기능 상실된 치아들을 각각 치료하거나
개별 임플란트 7개를 식립하는 것보다
4~6개의 임플란트로 해결할 수 있어
전체 치료비용을 크게 절감할 수 있습니다.
✔ 정밀한 디지털 치료

최신 3D 진단 장비와 컴퓨터 가이드
수술을 통해 정밀한 치료가 가능합니다.
CT 촬영으로 상악동의 위치, 상악골의
상태, 신경의 위치, 혈관의 분포를
정확히 파악하여 안전한 수술을
진행할 수 있습니다.
✔ 감염 위험 완전 제거
기능하지 못하는 치아들로 인한 감염
위험을 완전히 제거할 수 있어 구강
건강 개선에 도움이 됩니다.
✔ 자연스러운 심미성
상악 특성상 심미성이 매우 중요한데
자연스러운 잇몸 라인과 치아 색상을
재현하여 웃을 때의 아름다운 모습을
완성할 수 있습니다.
마곡동 치과
치료 과정은 어떻게 되나요?
[초진 및 정밀 검사]
✔ 기본 검사

엑스레이 촬영을 통해 상악의
전체적인 치아와 뼈 상태를 확인합니다.
기존 치아들의 치료 가능성을 평가하고
풀아치 임플란트가 적절한 치료 방법인지
판단합니다.
✔ 정밀 진단
심한 충치, 치주 질환, 치아 파절 등으로
개별 치료가 어렵거나 예후가 불량한
경우 풀아치 임플란트를 고려합니다.
CT 촬영과 구강 스캔을 통해 3차원적인
상악 구조를 정확하게 파악합니다.
상악골의 두께, 높이, 밀도와 함께
상악동까지의 거리를 측정하여 임플란트
크기와 위치를 결정합니다.
[계획 수립]
✔ 컴퓨터 시뮬레이션

기존 치아들의 발치 순서와 임플란트의
개수, 위치, 각도를 컴퓨터 시뮬레이션으로
정밀하게 계획합니다.
상악은 심미성이 중요한 부위이므로
잇몸 라인, 치아 길이, 색상 등을
세심하게 디자인합니다.
✔ 안전 계획 수립

수술 가이드 제작을 위한 모의수술을
컴퓨터상에서 진행합니다.
발치와 동시 임플란트 식립이 가능한지
평가하고 상악동 손상이나 신경, 혈관
손상 위험을 최소화하는 안전한 식립
경로를 찾아냅니다.
[수술 및 치료 과정]
✔ 수면 치료 준비

수술 전 전신 상태를 점검하고
수면 치료에 대한 안전성을 확인합니다.
의식하진정법을 위한 약물을 정맥으로
투여하여 편안하고 안전한 상태를 만듭니다.
수술 중에는 생체 징후를 지속적으로
모니터링하며 안전한 수술 환경을
유지합니다.
✔ 발치와 동시 임플란트 식립
수면 상태에서 기존 치아들을 발치하고
미리 제작된 수술 가이드를 사용하여
동시에 정확한 위치에 임플란트를
식립합니다.
수면 치료로 인해 수술 과정에 대한
기억이 거의 남지 않아 심리적 부담이
크게 줄어듭니다.
발치와 동시 임플란트 식립이 어려운
경우에는 발치 후 치유 기간을 거쳐
임플란트를 식립하기도 합니다.
디지털 가이드는 수술 오차를 최소화하고
상악동 천공 위험을 크게 줄입니다.
✔ 즉시 임시치아 장착
상악 임플란트 식립 후 즉시 임시치아를
장착하여 당일부터 기본적인 저작과
발음이 가능합니다.
임시치아는 치유 기간 동안 상악 잇몸
형태를 유지하고 심미성을 보장하는
중요한 역할을 합니다.
[최종 보철]
✔ 유착 기간
상악 임플란트와 뼈의 유착이 완료되는
4~6개월 후 최종 보철물을 제작합니다.
상악은 하악보다 뼈의 밀도가 낮아
유착 기간이 약간 더 소요될 수 있습니다.
✔ 최종 보철 완성

최종 보철물은 개별 치아 형태와 색상을
자연치아와 최대한 유사하게 제작합니다.
특히 상악은 웃을 때 잘 보이는 부위이므로
심미성에 특별히 신경을 씁니다.
교합 조정을 통해 위아래 치아가 정확하게
맞물리도록 하여 저작 기능을 완전히
회복시킵니다.
마곡동 치과
치료 방법 선택 시
꼭 고려해야 될 사항은?
✔ 기존 치아 보존 가능성
기존 치아 중 일부가 치료 가능한 상태라면
개별 치료를 먼저 고려해야 할 수 있습니다.
건강한 치아까지 발치하는 것은 신중하게
결정해야 하는 사항이므로 충분한 검토가
필요합니다.
✔ 개별 구강 상태
상악골의 양과 질이 충분하고 상악동이
크지 않은 경우에는 개별 임플란트가
더 적합할 수도 있습니다.
상악동이 매우 크거나 상악골이 심하게
흡수된 경우에는 추가적인 뼈이식이나
상악동 거상술이 필요할 수 있어 치료
기간과 비용이 증가할 수 있습니다.
✔ 전신 건강 상태
연령이나 전신질환으로 인해 수술 위험도가
높은 경우에는 비수술적 치료법을 고려해야
할 수도 있습니다.
흡연이나 당뇨병 같은 위험 인자가 있는
경우 상악 임플란트의 치료 성공률에
영향을 미칠 수 있어 신중한 판단이
필요합니다.
✔ 사후 관리의 중요성
정기적인 검진과 철저한 구강 관리가
뒤따르지 않으면 장기적인 성공을 보장하기
어렵습니다.
치료 방법 결정 시에는 충분한 상담과
검사를 통해 가장 적합한 치료 계획을
수립하는 것이 중요합니다.
무엇보다 개별 상악 상황에 맞는 맞춤형
치료가 최선의 결과를 가져다줄 수
있습니다.
오늘 소개해 드린 내용은 상악 풀아치
임플란트의 전반적인 정보와 수면 치료를
통한 편안한 치료 과정이었습니다.
이와 관련된 치과 정보가 필요하셨던
분들께 도움이 되었길 바라면서 글을
마치겠습니다.
긴 글 읽어주셔서 감사합니다.

치료 기간 : 2025.01.12.~2025.06.25