아카이브 요약
이 페이지의 역할
연세위시치과의원의 네이버 블로그 원문을 보존한 아카이브 페이지입니다. 통증의 끝, 치아 살리기 카테고리의 마곡 치과 어금니 통증 발치를 해야 될까? 그 전에 알아야 될 치아 재식술 글을 통해 병원의 한국어 정보 제공 방식과 진료 관련 안내 톤을 확인할 수 있습니다.
원문 검증
필요하면 원문 블로그와 병원 프로필로 바로 이동해 문맥을 다시 확인할 수 있습니다.
출처 아카이브 열기아카이브된 블로그 글
연세위시치과의원 · 모든 이들의 미소를 아름답게, 연세위시치과✨
안녕하세요, 당신의 소망을 아름다운 미소로 만들어줄 수 있는 스마일 디자이너, 마곡 치과 의사 여상호입니다. 어금니가 심하게 아파서 발치를 결심하고 오시는 때가 종종 있습니다. 하지만 검사를 해보면 이를 빼는 것 대신 살릴 수 있을 때가 있는데요. 신경 치료를 했음에도 뿌리 끝에 염증이 계속되거나, 일반적인 방...
게시일
2025년 10월 14일
원문 기준으로 확인된 발행일입니다.
카테고리
통증의 끝, 치아 살리기
원문 블로그 카테고리를 정리해 함께 표시합니다.
이미지 수
4
현재 아카이브에 연결된 이미지 수입니다.
아카이브 요약
연세위시치과의원의 네이버 블로그 원문을 보존한 아카이브 페이지입니다. 통증의 끝, 치아 살리기 카테고리의 마곡 치과 어금니 통증 발치를 해야 될까? 그 전에 알아야 될 치아 재식술 글을 통해 병원의 한국어 정보 제공 방식과 진료 관련 안내 톤을 확인할 수 있습니다.
원문 검증
필요하면 원문 블로그와 병원 프로필로 바로 이동해 문맥을 다시 확인할 수 있습니다.
출처 아카이브 열기안녕하세요,
당신의 소망을 아름다운 미소로
만들어줄 수 있는 스마일 디자이너,
마곡 치과 의사 여상호입니다.
어금니가 심하게 아파서
발치를 결심하고 오시는 때가
종종 있습니다.
하지만 검사를 해보면
이를 빼는 것 대신
살릴 수 있을 때가 있는데요.
신경 치료를 했음에도
뿌리 끝에 염증이 계속되거나,
일반적인 방법으로는
진료가 어려운 상황이라면
어떻게 해야 될까요?
오늘은 이런 경우에 고려할 수 있는
치아 재식술에 대해
자세히 알아보려 합니다.
치아 재식술이란
이것은 신경 치료나 다른 방법으로도
치유가 어려운 이를 일시적으로 발치한 후,
뿌리 끝의 염증과 병소를
제거하고 진료하는 방법입니다.
그리고 다시 원래 자리에 심어서
이를 보존하는 술식이며
이것은 보존하는 방향으로 접근하는
고난도 술식에 해당합니다.
빼내는 것 이외에 다른 방법이 없을 때
고려할 수 있는 선택지인데요.
주로 신경 치료가 실패했거나
재진료가 불가능한 경우,
또는 치근단 병소가 있지만
치주 인대와 잔존 뼈 상태가
양호할 때 활용됩니다.
검진 과정에서 확인하는 것
구강 검사와 방사선 검사를
먼저 진행합니다.


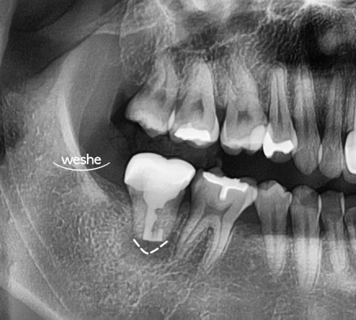
20250716
마곡 치과 에서
오른쪽 아래 어금니 부위인
하악 제2대구치를 확인해 보면,
이미 신경 치료가 되어 있고
뿌리(치근) 끝 부위에 염증 소견이 관찰됩니다.
이때 CT 촬영을 통해
치근단 부위를 제외한 주변의 치조골 상태를
정밀하게 확인합니다.
만일 치조골이 양호하다면
치아 재식술을 고려할 수 있는
조건이 됩니다.
특히,
자연치와 주요 조직에 훼손 없이
이를 빼낸 수 있는지,
잔존 치주 인대와 뼈가
건강한지를 평가하는 것이 중요합니다.
계획 수립
만일 가까운 시일 내에
여행 계획이 있어서
빠른 발치를 원하는 경우라도,
연령대가 젊고
이를 보존할 가치가 있다면
충분한 설명을 통해
치아 재식술을 권하는 것이
좋다고 마곡 치과 에서는 생각합니다.
이를 빼낸 뒤 임플란트를 하는 것보다
자연치를 유지하는 것이
예후에 유리할 수 있기 때문입니다.
물론 이 치료법은
모든 경우에 가능한 것이 아니며,
자연치 및 주변 조직의 건강 상태에 따라
신중하게 결정해야 됩니다.
진료 전 구강 진단과
방사선 검사 결과를 바탕으로
담당 의료진의 숙련도가
예후에 영향을 미칩니다.
치료는 어떻게 진행될까요
마곡 치과에서
치아 재식술을 진행할 때는
뿌리 훼손 없이 빠르게
발치를 시행해야 된다 설명해 드립니다.
이를 빼낸 뒤 치근단 부위를 확인하면
다량의 염증 조직이 관찰될 때에는

20250716
염증을 깨끗하게 제거하고,
근관 내 세균 침투를 방지하기 위해
MTA 등 생체친화적 재료로
역충전하여 밀봉합니다.
그 후 이를 원래 위치에
재식립하고 고정하는데,
이 과정에서 구강 외 시간이
30분 내외로 제한되어야
치주 인대 세포가 생존하고
뿌리 흡수를 방지할 수 있습니다.
진료 후 2~4주간 고정하며,
3일 후 내원하여
불편감이 없는지 확인하고
경과를 관찰합니다.
이후에도 정기검진이 필요합니다.
진료 후 관리와 예후
마곡 치과 에서는
진료를 받은 뒤에는
자연치 고정 기간 동안
딱딱한 음식을 피하고,
처방받은 약을 복용하며
구강 위생을 철저히 관리해야 된다고
설명해 드리빈다.
2~4주 후 잇몸뼈가 치유되고
저작 기능이 회복되지만,
장기 생존율은
병소의 크기, 치주 상태,
환자의 구강 위생 관리에 따라
달라질 수 있습니다.
일부 연구에서는
치주염이 있는 경우에도
50% 이상의 생존율이 보고되고 있습니다.
근관 내 감염이나 치주염 병력,
치근 파절 등은 예후에
영향을 미칠 수 있어 주의가 필요합니다.
실패할 경우에는
발치 후 임플란트로 전환할 수 있습니다.
저는 자연치를 보존하는 것이
중요하다 생각합니다.
하지만 무조건 살리는 것보다
정확한 진단을 통해
올바른 진료 방향을
제시하는 것이 우선입니다.
결국 치아 재식술은
발치 후 임플란트 를 하기 전
하나의 대안이며,
개별에게 맞는 계획이 필요합니다.
마곡 치과 의사 여상호였습니다.
긴 글 읽어주셔서 감사합니다.

20250716