아카이브 요약
이 페이지의 역할
연세위시치과의원의 네이버 블로그 원문을 보존한 아카이브 페이지입니다. 구강정보 카테고리의 마곡 치과 치아재식술 발치 전 자연치를 살리는 과정 글을 통해 병원의 한국어 정보 제공 방식과 진료 관련 안내 톤을 확인할 수 있습니다.
원문 검증
필요하면 원문 블로그와 병원 프로필로 바로 이동해 문맥을 다시 확인할 수 있습니다.
출처 아카이브 열기아카이브된 블로그 글
연세위시치과의원 · 모든 이들의 미소를 아름답게, 연세위시치과✨
안녕하세요 : ) 여러분이 Wish 하는 아름다운 미소를 만들어가고 있는 마곡 치과 의사 여상호 인사드립니다. 이미 수차례 치통을 겪고 신경치료도 받았던 분이라면 자연스럽게 이 단어를 머릿속에 떠올리게 될 겁니다. 아.. 이번에도 아프면 정말 발치해야 될 것 같은데.. 어떡하지..? 그렇게 자포자기하는 심정으로 계속해...
게시일
2025년 10월 21일
원문 기준으로 확인된 발행일입니다.
카테고리
구강정보
원문 블로그 카테고리를 정리해 함께 표시합니다.
이미지 수
12
현재 아카이브에 연결된 이미지 수입니다.
아카이브 요약
연세위시치과의원의 네이버 블로그 원문을 보존한 아카이브 페이지입니다. 구강정보 카테고리의 마곡 치과 치아재식술 발치 전 자연치를 살리는 과정 글을 통해 병원의 한국어 정보 제공 방식과 진료 관련 안내 톤을 확인할 수 있습니다.
원문 검증
필요하면 원문 블로그와 병원 프로필로 바로 이동해 문맥을 다시 확인할 수 있습니다.
출처 아카이브 열기
안녕하세요 : )
여러분이 Wish 하는 아름다운 미소를
만들어가고 있는 마곡 치과 의사
여상호 인사드립니다.
이미 수차례 치통을 겪고
신경치료도 받았던 분이라면
자연스럽게 이 단어를
머릿속에 떠올리게 될 겁니다.
아.. 이번에도 아프면
정말 발치해야 될 것 같은데..
어떡하지..?
그렇게 자포자기하는 심정으로
계속해서 내원을 미루는 케이스를
많이 보아 왔습니다.
정말 아쉬웠던 것은
그때 조금만 일찍 왔더라면
자연치를 살릴 수 있는 방법이
있을 수 있었다는 것이었습니다.
신경치료를 받았음에도
뿌리 끝에 염증이 계속되고,
일반적인 치료법으로는 도저히
진료할 수 없을 것 같아 보일 때
받을 수 있는 솔루션은
무엇이 있을까요?
치아재식술이란

그것은 바로 자연치를 살리는 마지막 카드,
치아재식술 이랍니다.
이것이 무엇인지 마곡 치과 에서
과정까지 자세히 알려드리겠습니다.
이 솔루션은 뿌리 끝에 자리한 염증과
병의 조직을 제거하고 진료하는 것으로,
보존적 근관치료와 치근단 수술로는
해결이 어려운 경우에 시행할 수 있습니다.
이를테면 해부학적으로 접근이 어려운
위치의 근단 병소나 만곡이 심한 뿌리 모양,
충전재가 깊숙이 남아 있는 것과 같이
재진료가 곤란한 경우가 그렇습니다.
이 방향은 굉장히 고난도 술식으로
알려져 있는데, 그 이유는
해당 치아를 한 번 발치한 뒤
치근 끝부분의 염증 조직을 제거한 후
MTA로 역충전을 한 뒤 다시 그 자리에
심는 과정을 거치기 때문입니다.
위와 같은 설명을 드리면 많은 분들이
놀란 표정으로 이렇게 되묻습니다.
그게.. 된다고요..?

네 그렇습니다.
허나 앞서 말씀드린 것처럼
특수한 케이스에 시행하는 방법인 만큼
모든 이들에게 공통으로 권유되는 것은
아닙니다.
우선 치근단에 병소가 있음에도
치주 인대와 잔존 뼈의 건강 상태가
양호할 때 진행할 수 있으며,
이를 위해 철저한 사전 점검이
이루어집니다.

한편으로는 '굳이 뽑을 필요가 있을까?'
라는 생각이 드실 수도 있을 겁니다.
하지만 구강 내에서 그대로 진료하게 되면
시야의 확보가 어려운 케이스도 있고
기구의 접근이 제한되는 케이스도 있으며
앞서 언급 드린 것처럼
복잡한 뿌리 구조가 있을 때
이것을 직접 볼 수 없다는
한계를 맞닥뜨리게 됩니다.
에어컨 필터를 청소한다고 가정했을 때,
그냥 밖에서 먼지 후후 불고 물을 뿌리는 것보다
뚜껑을 열고 필터를 꺼내서
직접 청소하는 것이 더 좋은 것처럼
이렇게 임시로 발치를 하고 나면
현미경으로 문제가 생긴 곳을 직접 관찰할 수 있으며
미세한 측근관과 균열 역시 확인할 수 있고
정확한 MTA 역충전이 가능할 뿐만 아니라
감염이 생긴 부위를 완벽히
제거할 수 있다는 장점을 갖게 됩니다.
애초에 성공 했으면 되는데...

맞습니다, 애초에 신경치료가 잘 되었다면,
그 이후 관리가 잘 되었다면
이 단계까지 오지 않아도 되었을 겁니다.
그러나 아래와 같은 이유로
그것이 어렵게 되는케이스가 있는데
이를 마곡 치과 에서 간략히
알려드리도록 하겠습니다.
먼저 치관 속에는 하나의 관이 아니라
주근관 축근관 부근관과 협부를 비롯한
여러 구성 요소들을 갖고 있습니다.
또한 그 모양도 사람마다 조금씩
다르게 형성되어 있습니다.
그렇다 보니 경우에 따라서는
복잡한 구조로 인해 일반 도구로는
접근할 수 없는 부분이 생기고,
이곳에 잔존하는 세균으로 인해
전 처럼 통증이 올 수 있습니다.
그리고 이러한 충치와 통증은
보철물을 씌운 곳에서 생기는 것이
아닙니다.
보철물 가장자리의 틈,
눈에 보이지 않게 미세할 정도로 깨진 금..
이런 곳으로 세균이 침투할 수 있는데,
신경치료를 받은 이는 영양 공급이 끊겨
그 구조가 많이 취약해져 있습니다.
그렇다 보니 이러한 경로로 세균이 침투하게 되면
쉽게 부서질 수 있으므로 주의가 필요합니다.
치아재식술 과정
이제 위와 같은 연유로 시행하는
재식술의 과정을 마곡 치과 에서
자세히 설명드리겠습니다.
1️⃣ 먼저 첫 단계로
구강 및 방사선 검사를 진행합니다.
이렇게 촬영된 엑스레이를 기반으로
어떤 방향으로 진료하는 것이 좋을지를
결정합니다.

2️⃣ 지금부터는 한 사례를 예시로 들어
설명드리도록 하겠습니다.
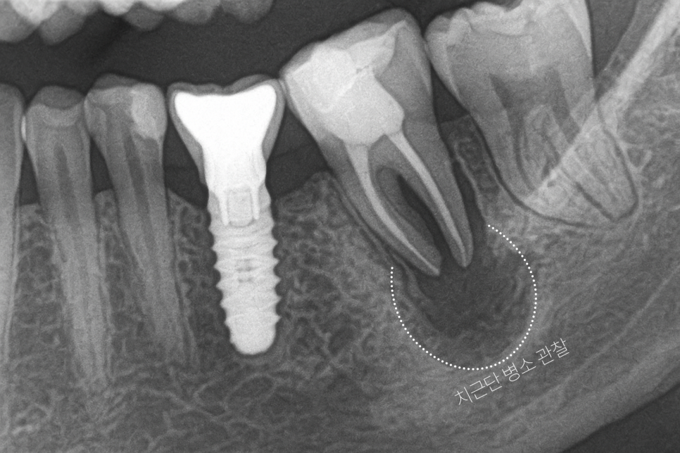
위 사진은
좌측 아래 첫 번째 큰 어금니 사진으로,
과거에 신경치료를 진행했던 흔적이
남아있습니다.
이를 통해 치근단 병소가 확인되어
재감염이 최종 확인되었습니다.
다행히도 치주 인대와 잔존 뼈의 건강 상태가
양호한 편에 속해 재식을 진행하기로
결정하였습니다.

3️⃣ 참고로 이때 발치는
일반 기구가 아닌 특수 제작된 기구를
사용해 이루어집니다.
발치 후 염증이 위치한 부위를 잘라낸 후에
기존에 채워져 있던 재료를 일부 긁어냅니다.

4️⃣ 이후 긁어낸 자리 치근단 절제면을 통해
MTA(Mineral Trioxide Aggregate)라는
생체친화적 재료를 역충전합니다.
이를 통해 조직의 재건을 도울 수 있으며
술식의 성공률을 높여줄 수 있답니다.
이렇게 MTA 충전이 마무리된 부위를
원래의 치조와(잇몸뼈에 해당하는 홈)에
다시 심습니다.
그리고 안정적으로 자리 잡을 수 있도록
인접 부위에 일시 고정시킵니다.
이 모든 과정은
손상이 생기지 않도록 신중히,
그리고 30분 이내로 신속히 진행됩니다.
그래야 안정성과 성공률을
높일 수 있기 때문이죠.

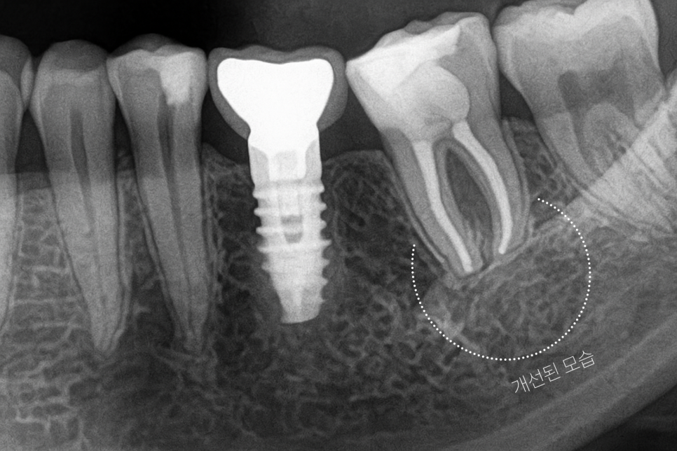
5️⃣ 이렇게 모든 절차가 마무리된 후
2~3개월가량은 꾸준히 경과를
지켜보며 예후를 살핍니다.
위 사례의 경우 다행히 잘 이루어져
염증 문제가 많이 개선되는
차도를 보였습니다.
주의사항 알려 드립니다

다음은 무엇을 주의하는 것이 좋을지를
마곡 치과 에서 정리해 드리겠습니다.
먼저 직후에는 절대 손이나 혀로
그곳을 건드리지 않도록 해주셔야 됩니다.
다시 식립된 부분이 아직 잇몸과 단단히
붙지 않았기에 작은 움직임에도
유착 실패가 될 수 있습니다.
때문에 양치 역시 그 부위를 피해서
주변을 부드럽게만 닦아 주시고
처방에 따라 클로르헥시딘 가글을
쓰는 것을 권해드립니다.
붓기와 통증을 줄이기 위해
얼음찜질을 계속하고
딱딱하고 질긴 음식은 피하며
죽, 스프, 미음 같은 부드러운 유동식으로
식단을 구성하는 것이 좋습니다.

아울러 절대 흡연과 음주를 금합니다.
이들은 혈류를 방해하고 감염률을 높여
실패 확률을 더욱 증가시킬 수 있습니다.
또한 1~2주 내로 반드시 다시 검진을 받아
제 위치에 제대로 식립된 것이 맞는지,
유착이 잘 되었는지, 감염은 없는지를
체크합니다.
그간 처방 드린 항생제와 소염진통제를
잊지 말고 복용하는 것이 중요합니다.
또한 이 기간에는 몸에 뜨거운 열이
많이 올라올 수 있는 행위들
이를테면 과격한 스포츠 취미 활동이나
사우나, 찜질방과 같은 곳에 가는 것,
너무 뜨거운 국물 요리를 먹는 것을
피할 것을 권장하고 있습니다.
몸에 열이 많아지면 혈류량이 증가하게 되고
이는 출혈을 일으킬 가능성을 높입니다.
이후 어느 정도 안정기에
접어들었다 싶더라도
평소보다 더 타이트한 3~6개월 간격의
정기검진을 계속 받으셔야 됩니다.
또한 이곳으로 딱딱하거나 질긴 음식을
섭취하는 것을 지양하도록 말씀드리고 있습니다.
그 이유는 이곳이 주변 다른 자연치에 비해
내구도가 많이 떨어져 있기 때문이랍니다.
충치가 이후에 또 생기지 않도록
위생 관리를 잘 해주시고,
이 외 이 시림과 통증, 이물감이 들 땐
즉시 연락을 취해주실 것을 부탁드리겠습니다.

이 솔루션을 통해 다시 한번 기회를 얻은
자연치를 건강하게 잘 유지하시면 좋겠습니다.
그리고 그러기 위해서라도
앞서 말씀드린 내용들을 잘 숙지하고
생활 속에서 꼭 실천하시길 바랍니다.
그리고 거듭 말씀드립니다.
이 솔루션은 자연치를 보존하는 것을
최우선으로 두고 시행하는 것이나
누구에게나 권할 수 있는 것은 아니며
경우에 따라선 임플란트를 하는 것이
더 좋을 수 있습니다.
본 술식은 그전에 받을 수 있는
마지막 카드라고 볼 수 있습니다.
그렇기에 더더욱 평소에
구강 건강 관리에 힘써주실 것을
부탁드리며 마곡 치과 에서 준비한
오늘의 글을 마무리하겠습니다.
긴 글 읽어주신 모든 분들께
감사의 인사를 전합니다.
감사합니다.