안녕하세요.
당신의 소망을 아름다운 미소로
만들어드릴 수 있는 스마일 디자이너,
마곡 치과 의사 여상호입니다.
오늘은 앞니 (전치부)가 손상되었을 때
고려할 수 있는 치료 방법들에 대해
얘기해보려 합니다.
생활 중 예상치 못한 순간에
전치부에 충격이 가해지는 경우가 적지 않습니다.
딱딱한 음식을 먹다가,
운동 중 부딪히거나,
넘어지면서 입 부위를 다치는 등
여러가지 상황이 있습니다.
치아 외상 통계를 살펴보면
전체 중에서도 위턱 전치부의 손상 비율이
상당히 높은 편입니다.
앞쪽에 위치한 특성상 외부 충격에
노출되기 쉽기 때문인데요.
그렇다면 앞니에 금이 가거나
일부가 떨어져 나갔을 때
어떤 방식으로 회복할 수 있을까요?
사실 무조건 크라운을 씌워야 된다고
생각하실 수 있는데요,
반드시 그런 것은 아닙니다.
저는 개인적으로 손상된 정도와 위치,
그리고 맞물림 상태 등 여러 요소를
종합적으로 판단해야 된다 생각합니다.
- 손상 범위에 따른 진료법 선택
먼저 파절된 정도를
정확히 파악하는 것이 중요합니다.

엑스레이 검사를 통해
치근 상태와 치수 조직의 노출 여부를
확인해야 되며,
표면만 미세하게 손상되었다면
거친 부분을 매끈하게 연마하는 것만으로도
충분할 수 있습니다.
마곡 치과 에서는
이와 같이 다듬으면
자연치 길이가 짧아 보일 수 있다는 점을
고려해야 된다 설명드립니다.

20250630
조금 더 넓은 범위가 깨진 상황이라면
레진을 활용한 직접 수복을 고려할 수 있습니다.
이것은 치아 삭제량을 최소화하면서도
자연스러운 형태를 만들어낼 수 있다는
장점이 있습니다.
색조와 유사한 재료를 선택하여
층층이 쌓아 올리면서 광중합시키는 방식입니다.
하지만 절반 이상이 소실되었을 때는
라미네이트나 크라운 같은 보철 수복이
알맞을 수 있습니다.
- 교합 조건이 미치는 영향
진료 방법을 결정할 때
맞물림 패턴을 반드시 고려해야 됩니다.

절단 교합 예시 사진
위아래 전치부가
끝부분끼리 닿는 절단 교합이거나
아랫니가 앞으로 나온 주걱턱이라면
더욱 신중해야 됩니다.

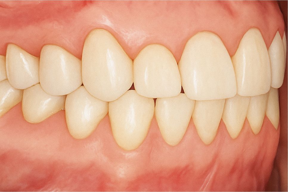
정상 교합 예시 사진
정상적인 맞물림에서는
위쪽 앞니가 아래를
약간 덮어주는 형태를 보입니다.
그런데 끝끼리 맞닿을 때는
지속적인 힘이 앞니에 집중되면서
재료의 내구성에 영향을 줄 수 있습니다.
레진은
자연치보다 경도가 낮은 편입니다.
그래서 마곡 치과 에서는
교합력이 직접 가해지는 위치에
레진을 적용할 때는 대합치와의 접촉을
최소화하는 조정이 필요하다
설명해 드리고 있습니다.
만일 맞물림 문제가 근본적으로 존재한다면
교정 치료를 병행하는 것이
기능적으로 안정적입니다.
다만 빠른 회복을 원할 때는
당장 가능한 범위 내에서
수복재로 보강하는 선택을 할 수도 있지요.
- 보존을 우선으로 하는 접근

올세라믹 크라운을 제작하려면
각 면마다 최소 1.5mm 이상 삭제해야 됩니다.
작은 부분만 훼손된 상태에서
이만큼 건강한 치질을 깎아내는 것은
과도한 처치일 수 있습니다.
마치 작은 흠집이 난 가구를
통째로 교체하는 것과 비슷하다고 할 수 있지요.
가능한 한 원래의 구조를
유지하는 것이 장기적으로 유리합니다.

20251025
이 방법은
삭제량이 거의 없거나 최소한으로 이루어지기에
보존적인 방법에 해당합니다.

20250630/20251025
물론 수복재와 자연치의 경계 부위가
육안으로 구분될 수 있다는
한계는 있을 수 있습니다.
그럼에도 불구하고 치질을
최대한 남길 수 있다는 점에서
의미 있는 선택입니다.
보철은 상대적으로 강도가 높지만,
그것을 위해 건강한 부분까지 삭제하는 것은
신중해야 됩니다.
- 방치했을 때 발생할 수 있는 문제
파절된 상태로 오래 지내면
여러 가지 문제가 생길 수 있습니다.

얇아진 부분은 구조적으로 약하기에
추가적인 균열이 진행될 위험이 있습니다.
저작력이 반복적으로 가해지면서
깨진 범위가 점점 넓어질 수 있습니다.
초기에는 작은 결손으로 보였던 것이
시간이 지나면서 색이 변하고
더 깊게 부러지는 경우도 있습니다.
심한 경우 치수까지 드러나
신경치료가 필요한 상황으로
발전할 수도 있습니다.
무엇보다 많은 분들께서
심미적인 부분 때문에
고민하실 때도 많습니다.
특히 전치부는 말하거나 웃을 때
먼저 드러나는 부위입니다.
그렇기 때문에 마곡 치과 에서는
작은 변화도 전체적인 인상에 영향을 주기 때문에
조기에 알맞은 처치를 받는 것이
중요하다 생각합니다.
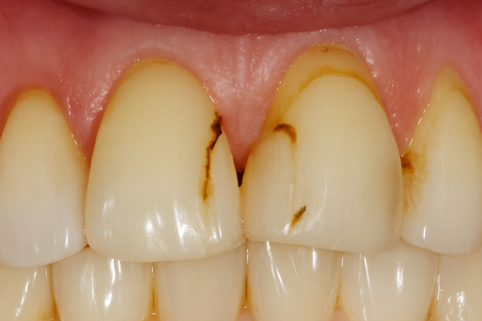
- 에어플로우와 스케일링을 통한 사후 관리
진료를 마친 후에도 꾸준한 관리가 필요합니다.

레진 주위 착색 예시
특히 레진 수복을 한 경우
경계 부위에 치석이나 착색이 생기기 쉽습니다.
꾸준한 스케일링을 통해
치석을 제거하고 구강 위생을
유지하는 것이 좋습니다.
마곡 치과 에서는
에어플로우 장비를 활용하여
더욱 섬세하게 착색 물질을
제거하는 것이 좋다 생각합니다.
에어플로우는
미세한 파우더를 분사하여
치면의 얼룩을 부드럽게 제거하는 방식입니다.
일반적인 스케일링보다
치아 표면에 가해지는
자극이 적다는 장점이 있습니다.
치석 제거와 착색 관리를 병행하면
수복 부위도 오래도록 깨끗하게
유지할 수 있습니다.
에어플로우를 정기적으로 받으면
치아 표면이 매끄러워지면서
새로운 치석이 붙기 어려운 환경이 만들어집니다.
건강한 치아를 오래 사용하려면
일상적인 칫솔질만으로는 한계가 있습니다.
전문적인 기구를 통한
관리가 함께 이루어져야 됩니다.
결국 앞니 파절 진료는
손상 정도, 교합 상태, 환자의 요구 사항 등을
종합적으로 고려하여 결정해야 됩니다.
깨진 범위가 적다면
레진으로 충분히 회복할 수 있으며,
넓은 범위라면 보철 치료을 생각해볼 수 있습니다.
마곡 치과 원장 여상호였습니다.
긴 글 읽어주셔서 감사합니다.

20250630~20251025