안녕하세요.
강서구 마곡동 치과 입니다.
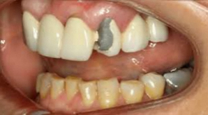
거울을 보다가 문득 앞니 쪽 잇몸 경계가
푸르스름하거나 검게 변한 것을 보고
깜짝 놀라 내원하시는 분들이 계십니다.
원장님, 잇몸이 죽어가는 건가요?
양치를 잘해도 검은 선이 안 없어져요.

이런 걱정을 안고 오시는 분들의
보철을 살펴보면
대부분 제작한 지 오래된 PFM인 경우가 많습니다.
오늘은 왜 이런 현상이 나타나는지,
그리고 어떻게 하면 다시 본래의 투명한 미소를
찾을 수 있는지 자세히 설명해 드리겠습니다.
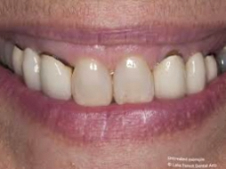
- PFM 보철물의 한계:
잇몸 경계가 푸르게 비치는 이유

과거에 대중적으로 많이 사용되었던
PFM 보철물은
금속 결합 도재라고도 불리는데요.
안쪽은 단단한 금속(Metal)으로 틀을 만들고
겉면에 치아 색 도자기를 입힌 형태입니다.
내부 금속 덕분에 강도는 확보할 수 있었지만,
시간이 흐르면서 몇 가지 한계가 나타나게 됩니다.
첫째, 내부의 금속이 빛을 차단하여
자연치아 특유의 투명감을 재현하기 어렵습니다.
둘째, 금속 성분이 잇몸 경계로 비쳐 보이거나
금속 이온이 잇몸에 용출되면서
경계 부위가 검고 푸르게 변색될 수 있습니다.
이런 현상은 심미적으로 좋지 않을 뿐만 아니라
보철의 수명이 다했다는 신호이기도 합니다.
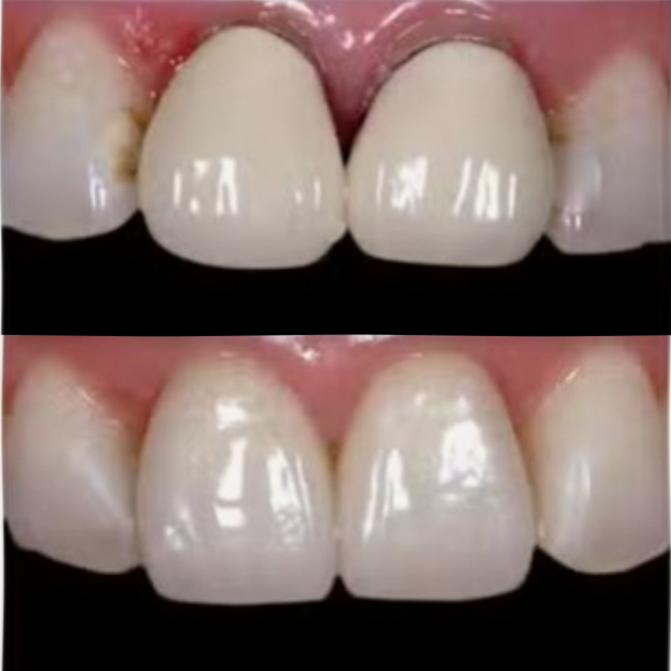
- 금속이 없어 투명감이 살아있는
지르코니아와 올세라믹

최근에는 이러한 PFM의 단점을 보완한
지르코니아와 올세라믹 보철물을 주로 사용합니다.
지르코니아는 '인공 다이아몬드'라 불릴 만큼
강도가 뛰어나면서도 금속 성분이 전혀 없습니다.
빛이 투과되는 성질이 자연치와 유사하여
잇몸 경계가 검게 변하는 현상을 예방할 수 있고
훨씬 더 밝고 화사한 느낌을 줍니다.
올세라믹 역시 전체가 도자기 성분으로 되어 있어
심미성이 매우 뛰어난 것이 강점입니다.
오래된 크라운 속 2차 충치 확인
미세현미경 정밀 검진
단순히 예쁘게 바꾸는 것보다 더 중요한 것은
보철물 내부의 건강 상태를 확인하는 것입니다.

오래된 보철은 미세한 틈이 생기기 마련이고,
그 사이로 음식 찌꺼기가 들어가
보철 안쪽에서 2차 충치가
진행되는 경우가 많습니다.
강서구 마곡동 치과 에서는
보철물 교체 시 미세현미경을 활용하여
육안으로 보기 힘든
치아 내부의 아주 작은 염증이나 우식까지
정밀하게 확인하는 것이 좋다 생각합니다.
기초 공사가 튼튼해야 새로운 보철물도
오래도록 건강하게 사용하실 수 있기 때문입니다.
본래 내 치아 같은 재현을 위한
쉐이드 테이킹 과정

자연스러운 보철을 만드는 핵심은
인접치와의 조화에 있습니다.
쉐이드 테이킹(Shade Taking) 과정을 통해
개개인의 치아 색상, 명도, 투명도를
세밀하게 분석해야 됩니다.
단순히 '하얀 치아'를 만드는 것이 아니라
본래 내 치아였던 것처럼
이질감 없는 색상을 찾는 것이
강서구 마곡동 치과 에서는 권해 드립니다.
보철물 교체만으로
얼굴 전체가 밝아지는 안티에이징 효과

앞니의 검은 선을 지우고 투명감을 되찾는 것은
단순한 치과 진료 이상의 의미가 있습니다.
웃을 때 신경 쓰이던 부분이 해결되면
표정이 한결 밝아지고 자신감이 생기는데,
이는 얼굴 전체의 이미지를 생기 있게 만드는
일종의 안티에이징 효과를 주기도 합니다.
노후된 보철 때문에 고민하고 계신다면
더 이상 미루지 마시고
정밀한 검진을 받아보시길 권합니다.
환자분마다 구강 상태가 다르기에
개인별 맞춤 계획을 세우는 것이
무엇보다 중요합니다.
오늘 내용이 여러분의 환한 미소를 되찾는 데
작은 도움이 되었기를 바랍니다.
강서구 마곡동 치과 이었습니다.
긴 글 읽어주셔서 감사합니다.
*모든 시술은 환자의 상태에 따라 통증, 출혈, 감각 이상 등의 부작용이 나타날 수 있으며, 치료 결과나 기간은 개인별로 차이가 있을 수 있으므로 의료진과 충분한 상담이 필요합니다.