안녕하세요. 마곡동 치과 입니다.
사랑니는 구치부 제일 안쪽에 위치한
마지막 어금니입니다.
똑바로 올라온 사랑니라면
비교적 간단하게 뽑을 수 있지만,
문제는 그렇지 않은 경우가 대다수입니다.
이 중에서도 매복, 수평으로 기울어진 케이스는
잇몸과 뼈를 절개하는 외과적 처치가 필요합니다.
이는 단순 발치와는
시술의 성격 자체가 다릅니다.
그렇기 때문에 진료 전에는
정밀한 진단과 사전 계획이 중요합니다.
글 목차
-
발치에서 주의해야 될 구조물
-
CT 촬영의 중요성
-
구강악안면외과 전문의를
찾아야 되는 이유
-
조기 진단과 치료의 필요성
-
Q&A
-
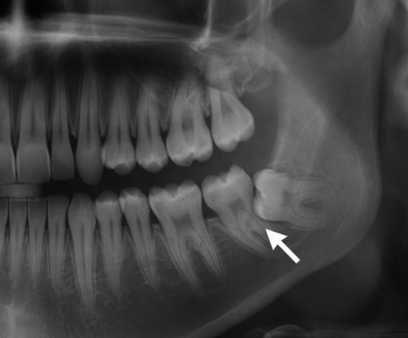
발치에서 주의해야 될 구조물

사랑니 발치에서도,
까다로운 곳은 하악입니다.
그 이유는 하치조신경 때문인데,
아래턱뼈 안을 지나가는 신경 조직으로,
하악에 관련된 감각을 담당합니다.

매복 사랑니의 뿌리는 위치 관계상
하치조신경과 근접하게 위치한 경우가 많고,
때로는 조직을 감싸듯 맞닿을 때가 있습니다.
만일 발치 과정에서 자극이 전달되면,
감각 이상이나 마비가 발생합니다.
이러한 상황은 통증과는 다르며,
저림, 무감각, 이상 감각 등
여러 불편함을 동반하게 됩니다.
보통은 약물치료 또는 자연 회복을 하여,
일시적인 증상으로 남기도 하지만
경우에 따라서는 영구적으로 남기 때문에
앞서 마곡동 치과 에서 언급했듯이
사전 준비가 중요한 이유이기도 합니다.
- CT 촬영의 중요성
많은 분께서 엑스레이 한 장을 찍고
발치 여부를 판단한다고 생각하십니다.
그러나 파노라마는 2차원 영상입니다.
즉, 치아의 뿌리와 주요 구조물과의
실제 거리, 위치 관계, 접촉 여부를
정확히 파악하는 데에는 한계가 있습니다.

만일 신경과 가깝다고 의심되는 경우에는
CT 촬영을 통한 분석이 필요합니다.
이를 통해 치근의 정확한 형태와 방향
신경관의 거리 및 접촉 여부,
주변 뼈의 두께와 구조물의 위치 등
이 정보들을 충분하게 확보되었을 때
발치 계획을 정밀하게 수립할 수 있으며,
예상치 못한 상황을 최소화할 수 있습니다.
- 구강악안면외과
전문의를 찾아야 되는 이유

구강악안면외과는
악골, 구강 조직, 턱관절 등
외과적 처치를 전문으로 하는 분야입니다.
전문의 자격을 취득하기 위해서는
4년간의 전공의 수련 과정을 거쳐야 됩니다.
그 수련 과정의 상당 부분은
난발치 , 매복치 발치, 악골 수술 등
구강외과적 시술에 집중됩니다.
특히 매복 사랑니를 발치하는 과정은
해부학적 구조에 대한 정밀한 이해,
CT 판독 능력 외과적 처치 등
고난이도 시술에 해당됩니다.
어렵고 불안한 시술일수록
정확한 진단과 노하우를 갖추고 있는
전문의에게 맡기는 것이 중요한 이유입니다.
- 조기 진단과 치료의 필요성

마곡동 치과 에서 상담을 진행하다 보면
사랑니 발치를 앞둔 분들은
유독 두려움을 느끼시는 경우가 많습니다.
신경과 가깝다는 이야기를 들으면
그 불안감은 더욱 커지기 마련이지만,
사실 그 불안함은 당연하기도 합니다.
발치 한 번의 선택이
이후의 일상생활에 있어서
영향을 미치기 때문이죠.
그렇다고 해서 필요한 치료를
계속 미루는 것이 해결책은 아닙니다.
매복 사랑니는 발치할수록
주변 조직에 악영향을 미칠 때가 많습니다.
인접치의 치근을 손상시키거나,
반복적인 염증으로 주변 조직이 약해지고
드물게는 낭종으로 발전하기도 합니다.
두려움이 미루는 시간이 길어질수록
진료의 난이도는 높아질 수 있고
오히려 복잡한 처치가 필요해질 수 있습니다.
따라서 마곡동 치과 에서는
조기에 발치 여부를 확인해 보시고
필요하다면 처치를 받으시기를 권장합니다.
- Q&A
Q1. 사랑니는 무조건 뽑아야 되나요?
사랑니라고 해서 꼭 뽑는 것은 아닙니다.
특별한 증상이 없고
구강 건강에 영향을 미치지 않는다면
정기적인 관찰로 유지하는 경우도 있습니다.
다만, 염증, 충치, 낭종 형성 등의
가능성이 있다고 판단될 경우에는
늦지 않게 치료받기를 권유 드립니다.
Q2. 회복 기간은 얼마나 걸리나요?
매복 케이스는 회복 기간이
다소 더 길어질 수 있습니다.
통상적으로 1~2주 내에 회복되지만,
붓기와 불편감은 3~5일 내에
심하게 나타나는 경향이 있습니다.
다만 회복력과 사후 관리에 따라
개인마다 차이가 있다는 점
꼭 기억해 주시기를 바랍니다.
Q3. 젊을수록 유리한가요?
20대 초반의 경우 뼈의 탄성이 있고
치유 능력도 상대적으로 높습니다.
반면 나이가 들수록 뿌리와 뼈가 유착되어
진료 과정이 더 복잡해질 수 있습니다.
다만 마곡동 치과 에서 강조 드리는 점은
개인의 해부학적 구조에 따라 달라질 수 있어
정밀 진단 후 상담을 받아보시길 바랍니다.
Q4. 술 후 주의 사항은 무엇인가요?
24간 이내에는 운동, 음주, 흡연은 삼가야 됩니다.
치유를 늦추고 감염 위험은 높아지면서
최소 3~5일 정도는 피하셔야 됩니다.
특히 환부를 직접 자극하지 않도록
부드러운 식사를 권장하면서,
처방받은 항생제와 진통제는
정해진 용량과 기간을 지키시길 바랍니다.
마곡동 치과 였습니다.
감사합니다.