아카이브 요약
이 페이지의 역할
에브리치과의원의 네이버 블로그 원문을 보존한 아카이브 페이지입니다. 치아 교정 카테고리의 내발산 치과 악궁확장, 1차 or 2차 올바른 소아교정 시기는? 글을 통해 병원의 한국어 정보 제공 방식과 진료 관련 안내 톤을 확인할 수 있습니다.
원문 검증
필요하면 원문 블로그와 병원 프로필로 바로 이동해 문맥을 다시 확인할 수 있습니다.
출처 아카이브 열기아카이브된 블로그 글
에브리치과의원 · 에브리치과의원
안녕하세요, 통합치의학 전문의 이수경입니다. 어린 자녀를 둔 부모님들의 걱정거리 가운데 하나가 치열이죠. "우리 아이 이가 틀어져서 올라오는 것 같은데," "또래보다 영구치가 늦게 빠지네요." . . . 정말 다양한 걱정거리를 갖고 계십니다. 진료를 받아봐야 될 정도의 문제인지, 혹은 시간이 해소해 줄 수 있는 건지...
게시일
2025년 12월 11일
원문 기준으로 확인된 발행일입니다.
카테고리
치아 교정
원문 블로그 카테고리를 정리해 함께 표시합니다.
이미지 수
7
현재 아카이브에 연결된 이미지 수입니다.
아카이브 요약
에브리치과의원의 네이버 블로그 원문을 보존한 아카이브 페이지입니다. 치아 교정 카테고리의 내발산 치과 악궁확장, 1차 or 2차 올바른 소아교정 시기는? 글을 통해 병원의 한국어 정보 제공 방식과 진료 관련 안내 톤을 확인할 수 있습니다.
원문 검증
필요하면 원문 블로그와 병원 프로필로 바로 이동해 문맥을 다시 확인할 수 있습니다.
출처 아카이브 열기안녕하세요, 통합치의학 전문의 이수경입니다.
어린 자녀를 둔 부모님들의 걱정거리 가운데 하나가 치열이죠.
"우리 아이 이가 틀어져서 올라오는 것 같은데,"
"또래보다 영구치가 늦게 빠지네요."
.
.
.
정말 다양한 걱정거리를 갖고 계십니다.
진료를 받아봐야 될 정도의 문제인지,
혹은 시간이 해소해 줄 수 있는 건지
구분하는 것조차 어렵기 때문에
"정기검진"이 무엇보다 중요합니다.
어렸을 때 치료 시기를 놓치면,
추후 해소가 어려운 문제 가운데 하나인
악궁에 대한 정보를 내발산 치과 에서
공유해 보려 합니다.
혹여 비슷한 고민이 있으시다면
글 꼭 끝까지 읽어보시기 바랍니다.
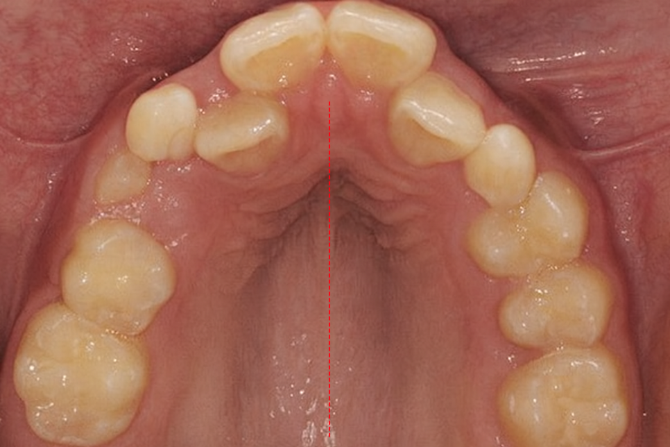
악궁 확장이 필요한 케이스.

내발산 치과 에서 준비한 사진처럼
공간이 좁아 영구치가 틀어져 올라오거나
올라오기 어렵다 판단되는 경우,
윗턱 뼈 자체를 넓혀주는 악궁 확장이
필요할 수 있습니다.
단순히 영구치가 틀어져 올라오는 것뿐만 아니라
치아 자체가 올라오지 못할 수도 있으며,
교합이 틀어져 음식을 먹을 때 힘들거나
틀어진 교합으로 인하여
턱뼈가 자라나는 걸 억제, 과도하게 유도할 수 있기 때문에
제때 개선을 해주는 것이 바람직합니다.
내발산 치과 정보
왜 어렸을 때 해야 될까?
간혹 아이가 너무 어려서 힘들까 봐 진료 시기를
미루면 안 되는지 궁금해하십니다.
그런데 영구치가 모두 올라온 이후에는
개선 과정이 더 복잡해집니다.
턱뼈 자체를 넓혀주어야 되는데
성장이 이미 마무리된 이후에 바로잡으려면
크거나 작게 자란 턱뼈를 보완해야 되므로
그 과정이 다소 어려워집니다.
또한 이미 성장이 멈췄기 때문에
작거나 큰 아래턱뼈를 보완하는 작업은 더욱 어렵죠.
그런데 어렸을 때 하면 비교적 쉽습니다.
자라는 과정에 있을 때 개입해서 치료를 진행하므로
더 자라도록 혹은 더 이상 자라지 않도록
유도하는 과정이 비교적 간단합니다.
그 결과도 좋은 편에 속하고요.
어렸을 때 1차로 진행하는 근본적인 이유는
성장을 활용하여 치료를 진행하기 위함이며,
이를 통해 유치에서 영구치로 교환되어
치아가 배열될 수 있는 환경을 올바르게 개선합니다.
그런데 간혹 어렸을 때 소아 교정을 했음에도
다시 치료가 필요한 케이스가 있습니다.
성장기 턱뼈를 보완했음에도
이후 남아있는 잔여 성장으로 인하여
악골 문제가 생겨나 보완이 필요하거나
개방교합처럼 재발이 잦아
치열이 틀어져 2차 교정이 필요할 수도 있습니다.
또한 애초에 개선을 하지 않고 지켜본 후
추후 진행하자 진단이 내려지는 경우가 있습니다.
이런 경우에는 악골 자체의 문제가 없어
치열이 모두 완성된 후 개선을 해야 될 때라 볼 수 있죠.
내발산 치과 정보
어떻게 치료가 진행될까?
그렇다면 어떻게 진행되는지 내발산 치과 에서
자세히 설명해 드리도록 하겠습니다.

사진처럼 윗턱 뼈가 작아 치아가 겹쳐서 올라오는 케이스,
넓혀주는 과정이 필요하다 판단될 수 있습니다.
장치를 사용해서 윗턱 뼈 가운데에 있는
정중구개봉합 사이를 넓혀 골조직이 차오르게 함으로써
턱뼈를 넓혀주는 과정을 말합니다.
그 과정에서 사용할 수 있는 장치는
크게 고정식과 가철식으로 나누어집니다.

가철식의 경우에는
꼈다 뺐다 할 수 있습니다.
그래서 환자의 불편이 다소 적은 편이긴 하나
정해진 시간 내 착용을 해줘야 효능이 나타나므로
협조도가 좋은 환자에게 적합합니다.
만약 협조도가 좋지 않아 착용 시간이 짧다면
고정식 장치가 더욱 좋은 결과를 만들 수 있겠죠.

내발산 치과 에서 준비한 사진 속 밴드처럼 생긴 부분에
불소가 함유되어 충치가 예방 효능이 있는
파란색 접착제를 붙여 고정하는
Bonded RPE 사진을 준비해 봤습니다.

더불어 반치처럼 생긴 링을 치아에 끼우는
Band를 사용하는 일반적인 RPE 사진입니다.
이렇게 고정되는 장치와 꼈다 뺐다 하는 가철식
두 종류로 나뉘게 됩니다.

두 가지 장치 모두 가운데에 있는 나사를 돌려줘야
악궁 확장을 효율적으로 유도할 수 있습니다.
장치에 특수한 전용 키를 끼워준 후,
뒤쪽 화살표 방향으로 밀어 돌려줍니다.
이후 힘을 풀고 천천히 빼주면 됩니다.
보통 하루에 1~2회 돌리며
한번 돌릴 때 0.25mm씩 천천히 늘어납니다.
주치의가 꾸준히 확장 상태를 확인하며
돌리는 횟수를 정하며,
뼈가 어느 정도 넓어졌다면
단단하게 굳을 때까지 2~3개월 정도 지켜보다
악궁 확장을 마무리합니다.
소아 교정은 시기가 무엇보다 중요합니다.
그리고 간혹 어렸을 때 개선을 했으니 이제 문제없겠지
생각하시는 분이 있는데 절대적인 건 아닙니다.
1차 교정을 통해서 성장을 조절할 수 있도록 유도하는 것이지
직접적으로 자라게 하거나 억제하는 건 어렵습니다.
그렇기에 유도를 통한 조절이 어려운 경우에는
수술적인 치료 혹은 2차 교정이 필요할 수 있음을
인지해두고 계시는 것이 좋습니다.
오늘 내발산 치과 에서 준비한 소식은 여기까지랍니다.
유익한 글이 되었길 바라며 마치겠습니다.
이수경이었습니다, 감사합니다.
