아카이브 요약
이 페이지의 역할
에브리치과의원의 네이버 블로그 원문을 보존한 아카이브 페이지입니다. 임플란트 카테고리의 우장산 치과 잇몸 뼈가 녹는 이유와 임플란트 기능 회복을 위한 단계 글을 통해 병원의 한국어 정보 제공 방식과 진료 관련 안내 톤을 확인할 수 있습니다.
원문 검증
필요하면 원문 블로그와 병원 프로필로 바로 이동해 문맥을 다시 확인할 수 있습니다.
출처 아카이브 열기아카이브된 블로그 글
에브리치과의원 · 에브리치과의원
안녕하세요, 우장산 치과 통합치의학과 전문의 이수경입니다. "어느 순간부터 잇몸이 내려앉은 것 같아요." "치아가 흔들리는데 뼈가 녹았다데요." . . . 환자분들께서 가슴 아파하시는 순간 중 하나가 바로 뼈가 녹았다는 진단을 받으실 때입니다. 눈에 보이지 않는 곳이라 방치하기 쉽지만, 자연치를 지탱하는 기반이...
게시일
2026년 2월 12일
원문 기준으로 확인된 발행일입니다.
카테고리
임플란트
원문 블로그 카테고리를 정리해 함께 표시합니다.
이미지 수
5
현재 아카이브에 연결된 이미지 수입니다.
아카이브 요약
에브리치과의원의 네이버 블로그 원문을 보존한 아카이브 페이지입니다. 임플란트 카테고리의 우장산 치과 잇몸 뼈가 녹는 이유와 임플란트 기능 회복을 위한 단계 글을 통해 병원의 한국어 정보 제공 방식과 진료 관련 안내 톤을 확인할 수 있습니다.
원문 검증
필요하면 원문 블로그와 병원 프로필로 바로 이동해 문맥을 다시 확인할 수 있습니다.
출처 아카이브 열기안녕하세요, 우장산 치과
통합치의학과 전문의 이수경입니다.
"어느 순간부터 잇몸이 내려앉은 것 같아요."
"치아가 흔들리는데 뼈가 녹았다데요."
.
.
.
환자분들께서 가슴 아파하시는 순간 중 하나가
바로 뼈가 녹았다는 진단을 받으실 때입니다.
눈에 보이지 않는 곳이라 방치하기 쉽지만,
자연치를 지탱하는 기반이 무너지는 것이기에
빠른 대처가 무엇보다 중요하죠.
오늘은 우장산 치과 에서
치조골(잇몸뼈)가 녹는 원인과 이를 극복하고
기능을 회복하기 위한 단계에 대해
자세히 설명을 드려볼까 합니다.
우장산 치과 구강 정보
잇몸 뼈는 왜 녹는 걸까요?
가장 큰 원인은 '치주염(Periodontitis)'입니다.
치아와 잇몸 사이에 쌓인
치석과 세균이 염증을 일으키고,
이 염증이 깊숙이 침투하여 치조골을
파괴하게 되는 것이죠.

또 한 가지 중요한 이유는
자연치를 상실한 상태로
오래 방치하는 경우입니다.
치아가 빠지면
그 부위의 뼈는 원래 담당하던
저작 자극을 받지 못하게 됩니다.
자극이 사라지면 우리 몸은
그 뼈를 더 이상 필요하지 않다고 판단해
자연스럽게 흡수해버리게 됩니다.
마치 사용하지 않는 근육이
점점 가늘어지는 것과 비슷한 원리입니다.
실제로 틀니를 오래 사용하셨거나
발치 후 치료를 미루신 경우,
이러한 치조골 흡수가
더 뚜렷하게 나타나는 경우가 많습니다.
우장산 치과 구강 정보
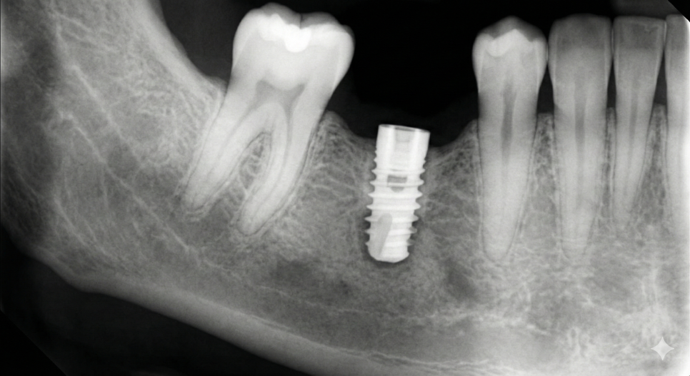
기능 회복을 위한 첫 단추: 뼈이식
뼈가 녹아버린 상태에서는 임플란트를 심고 싶어도
나무를 심을 흙이 부족한 것과 같은 상황이 됩니다.
이때 필요한 것이 바로 '골이식(뼈이식)'입니다.
부족한 부분에 이식재를 채워 넣어
인공치아가 단단히 고정될 수 있는
환경을 만드는 것이죠.

최근에는 회복을 돕기 위해
PDRN(조직재생 활성물질) 같은
약제를 병행하여 사용하기도 합니다.
연어 등에서 추출한 이 성분은
염증을 줄이고 신생 혈관 생성을 도와
골유착이 원활해지도록 긍정적인 차도를
이끌어내는 데 큰 도움을 줍니다.
(PDRN에 대해 더 궁금하신 분들은
해당 포스팅을 함께 참고해 보시면
이해에 도움이 되실 거예요.^^)
우장산 치과 구강 정보
임플란트 식립과 골유착의 과정
기반이 준비되었다면
이제 본격적으로 임플란트를 식립하게 됩니다.
단순히 심는 것으로 끝나는 것이 아니라,
식립된 임플란트와 환자 본인의 뼈가
단단하게 붙는 '골유착' 기간이 필요하죠.

이 기간은 환자분의
골질이나 건강 상태에 따라
수개월 정도 소요될 수 있으며,
이 시기를 얼마나 안정적으로 보내느냐가
전체 치료의 성패를 좌우하기도 합니다.
이 과정에서 발생할 수 있는 불편을 줄이고
성공률을 높이기 위해 디지털 장비를 활용해
식립 위치를 결정합니다.
우장산 치과 구강 정보
정기적인 사후 관리의 중요성
모든 과정이 끝나고 보철까지 올라갔다면
이제 내 치아처럼 편하게 쓰시면 됩니다.
하지만 꼭 기억하셔야 될 점이 있습니다.
Implant 자체에는 충치가 생기지 않지만,
주변 잇몸에는 염증이 생길 수 있다는 사실입니다.

이를 '임플란트 주위염'이라고 부르는데,
한번 녹았던 뼈는 다시 손상되기 더 쉽기 때문에
연 1회 스케일링과 정기검진을 통해
꾸준히 관리해 주는 것이 중요합니다.
어렵게 회복한 소중한 기능을
오래도록 유지하기 위한
약속이라고 생각해주세요.
오늘은 치조골이 녹는 이유와
그 회복 단계에 대해 알려드렸습니다.
치아 건강은 미루면 미룰수록
치료의 범위가 넓어지고
복잡해지는 특성이 있습니다.
조금이라도 불편이 느껴지신다면
더 늦기 전에 가까운 곳에서
검진을 받아보시길 권해드립니다.
지금까지 우장산 치과
통합치의학 전문의 이수경이었습니다.
감사합니다.
