아카이브 요약
이 페이지의 역할
에브리치과의원의 네이버 블로그 원문을 보존한 아카이브 페이지입니다. 에브리 구강정보 카테고리의 우장산역 치과 소아 신경치료, 유치는 곧 빠질텐데 꼭 받아야 될까? 글을 통해 병원의 한국어 정보 제공 방식과 진료 관련 안내 톤을 확인할 수 있습니다.
원문 검증
필요하면 원문 블로그와 병원 프로필로 바로 이동해 문맥을 다시 확인할 수 있습니다.
출처 아카이브 열기아카이브된 블로그 글
에브리치과의원 · 에브리치과의원
안녕하세요, 우장산역 치과 통합치의학 전문의 이수경입니다. “소아 신경치료, 정말 꼭 받아야 될까요?” . . . 유치는 언젠가는 빠질 치아라 생각해서, 그냥 두어도 될지 고민하는 경우가 많습니다. 하지만 아이의 치아 건강은 ‘이가 썩지 않게 하는 것’ 이상의 의미를 갖습니다. 유치는 아이의 영구치 발육, 음식...
게시일
2026년 3월 10일
원문 기준으로 확인된 발행일입니다.
카테고리
에브리 구강정보
원문 블로그 카테고리를 정리해 함께 표시합니다.
이미지 수
5
현재 아카이브에 연결된 이미지 수입니다.
아카이브 요약
에브리치과의원의 네이버 블로그 원문을 보존한 아카이브 페이지입니다. 에브리 구강정보 카테고리의 우장산역 치과 소아 신경치료, 유치는 곧 빠질텐데 꼭 받아야 될까? 글을 통해 병원의 한국어 정보 제공 방식과 진료 관련 안내 톤을 확인할 수 있습니다.
원문 검증
필요하면 원문 블로그와 병원 프로필로 바로 이동해 문맥을 다시 확인할 수 있습니다.
출처 아카이브 열기안녕하세요, 우장산역 치과
통합치의학 전문의 이수경입니다.
“소아 신경치료, 정말 꼭 받아야 될까요?”
.
.
.
유치는 언젠가는 빠질 치아라 생각해서,
그냥 두어도 될지 고민하는 경우가 많습니다.
하지만 아이의 치아 건강은
‘이가 썩지 않게 하는 것’
이상의 의미를 갖습니다.
유치는 아이의
영구치 발육, 음식물 섭취, 발음 발달 등
성장 과정 전반에 큰 영향을 주기 때문에,
작은 충치나 통증도 결코
간과해서는 안 됩니다.
특히 충치가
신경(치수)에까지 도달하면,
통증과 감염을 유발할 수 있어
소아에게는 특별한
관리와 치료가 필요합니다.
바로 이때 시행되는 방법이
'소아 신경치료(Pulp Therapy)'입니다.
성인과 달리, 소아 치아는 성장 중이어서
치아 구조와 흡수 상태, 발달 단계에 맞춘
맞춤 치료가 필요합니다.
오늘 우장산역 치과 에서는
이와 관련하여,
소아 신경치료의 필요성과 방법,
치료 후 관리까지 부모님이 알아두면 좋은
핵심 정보를 자세히 소개하고자 합니다.
우장산역 치과 구강 정보
앞서 말씀드렸듯이,
유치는 빠질 치아라 생각해
쉽게 방치하는 경우가 많습니다.
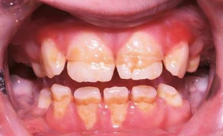
그러나 아이들은 단 음식을 좋아하고
양치 습관이 아직 서툴러 충치가
쉽게 발생합니다.
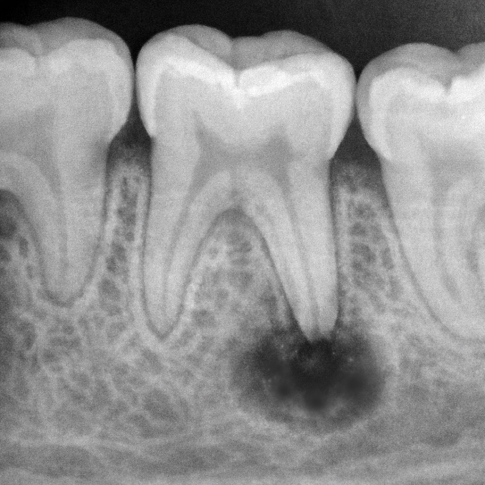
충치는 초기에는 치아 표면에만 머물지만,
점차 깊어져 치수까지 도달할 수 있습니다.
이 과정에서 염증과 감염이 시작됩니다.

그대로 방치하게 되면
뿌리 끝에 농양이 형성되고,
심한 경우에는 아래쪽 영구치
씨앗(치배)에까지 영향을 주어
*유치가 빠진 후 그 자리에서 자라날 영구치의 초기 발달 단계

법랑질 저형성증(Enamel Hypoplasia)
영구치 변색이나 형성 이상이 생기기도 합니다.
또한 조기에 유치를 잃게 되면
영구치가 올라올 공간이 부족해져
교정 시술까지 권장될 수 있습니다.
우장산역 구강 정보
치료 과정 자체는 성인과
크게 다르지 않습니다.
다만, 치아의 상태와
성장 단계에 따라
치료법이 달라집니다.
크게,
부분 신경치료(Pulpotomy)와
전신 신경치료(Pulpectomy)로
나눌 수 있습니다.
충치로 인해 감염된 신경의 일부만 제거하고,
나머지 건강한 치수는 남겨두는 방법입니다.

유치는 치수가 넓고 회복력이 좋아,
일부만 제거해도 기능과 발달을
유지할 수 있습니다.
치료 후에는 소독과 약물 적용,
치아 밀폐를 통해 감염을 차단합니다.
치수 전체가 감염되어 있다면,
전체를 제거하고 근관을 소독한 뒤
충전합니다.
유치에서는 흡수되는 구조를 고려하여
생분해성 재료를 사용합니다.
*체 내에서 자연적으로 분해되어 흡수되거나 배출되는 물질
치료 후에도 유치의 자연 흡수와
영구치 발육을 방해하지 않도록
세심하게 관리합니다.
성인과 비교하면,
소아는 신경을 제거하는 것이 목적이 아니라,
치아를 살리면서 자연스러운 성장과 발육을
유지하는 데 초점이 맞춰져 있습니다.
우장산역 치과 구강 정보
기본적으로 양치질은
올바르게 유지하되,
차갑거나 단단한 음식은 되도록 피하고,
병원에서 안내한 방법으로 관리해야 됩니다.

무엇보다 중요한 것은
꾸준한 정기검진입니다.
아이의 치아 상태, 씹는 습관,
통증 여부를 함께 관찰하고 기록하면,
문제를 조기에 발견할 수 있습니다.
적절한 치료와 관리 덕분에,
아이는 치아 기능을 유지하며
음식 씹기와 발음에 불편이 없습니다.
유치가 제때 유지되면,
영구치가 정상적으로 발육할 수 있어
치열 문제나 교정 가능성도 줄일 수 있습니다.
소아 신경치료 후 관리의 핵심은
양치와 음식 조절을 넘어, 관찰과 기록,
아이 스스로 참여를 통해
치아 건강을 지키는 것입니다.
부모님의 작은 습관과 관심이,
아이의 평생 치아 건강에
큰 차이를 만들어 줍니다.
우장산역 치과
소아 신경처치는
유치의 조기 상실을 방지하고
영구치의 건강한 맹출을 돕는
필수적인 처치입니다.
무엇보다 조기 발견과 적절한
시기의 진료가 핵심이죠.
아이의 자연치에서
이상 증상이 발견되면
망설이지 마시고 정기검진을
받아보시길 권장합니다.
마지막으로,
3개월 내지 6개월에 한 번씩은
꼭! 검진 받으시길 권해드리면서
오늘의 글 여기서
마치도록 하겠습니다.
우장산역 치과
통합치의학 전문의
이수경이었습니다.
감사합니다:)
