아카이브 요약
이 페이지의 역할
에브리치과의원의 네이버 블로그 원문을 보존한 아카이브 페이지입니다. 에브리 구강정보 카테고리의 강서 치과 에서 알아보는 치아 사이 인접면 충치의 위험성 (ft. 정기검진의 중요성) 글을 통해 병원의 한국어 정보 제공 방식과 진료 관련 안내 톤을 확인할 수 있습니다.
원문 검증
필요하면 원문 블로그와 병원 프로필로 바로 이동해 문맥을 다시 확인할 수 있습니다.
출처 아카이브 열기아카이브된 블로그 글
에브리치과의원 · 에브리치과의원
안녕하세요, 강서 치과 통합치의학 전문의 이수경입니다. 충치라고 하면 대부분 눈에 보이는 검은 점이나 씹을 때 느껴지는 통증을 먼저 떠올리곤 합니다. 그런데 진료를 하다 보면 환자분들께서 이런 말씀을 하시는 경우가 있습니다. "충치가 눈에 보이지는 않는데.. 불편해요." . . . 이 말은 어떤 의미일까요? ...
게시일
2026년 3월 16일
원문 기준으로 확인된 발행일입니다.
카테고리
에브리 구강정보
원문 블로그 카테고리를 정리해 함께 표시합니다.
이미지 수
6
현재 아카이브에 연결된 이미지 수입니다.
아카이브 요약
에브리치과의원의 네이버 블로그 원문을 보존한 아카이브 페이지입니다. 에브리 구강정보 카테고리의 강서 치과 에서 알아보는 치아 사이 인접면 충치의 위험성 (ft. 정기검진의 중요성) 글을 통해 병원의 한국어 정보 제공 방식과 진료 관련 안내 톤을 확인할 수 있습니다.
원문 검증
필요하면 원문 블로그와 병원 프로필로 바로 이동해 문맥을 다시 확인할 수 있습니다.
출처 아카이브 열기안녕하세요, 강서 치과
통합치의학 전문의 이수경입니다.
충치라고 하면 대부분
눈에 보이는 검은 점이나
씹을 때 느껴지는 통증을
먼저 떠올리곤 합니다.
그런데 진료를 하다 보면 환자분들께서
이런 말씀을 하시는 경우가 있습니다.
"충치가 눈에 보이지는 않는데.. 불편해요."
.
.
.
이 말은 어떤 의미일까요?
아무런 증상도 없었는데
치과 검진에서 갑자기
“충치가 꽤 진행됐네요.”
라는 이야기를 듣게 되는 경우도 있습니다.
이처럼 눈에 잘 보이지 않는데도
충치가 진행되는 경우가 있는데,
그 대표적인 원인 중 하나가
바로 인접면 충치(우식)입니다.
오늘 강서 치과 에서는
이와 관련하여,
인접면 우식의 위험성을 중점으로
정기검진의 중요성에 대해서
알아보고자 합니다.
강서 치과 구강 정보
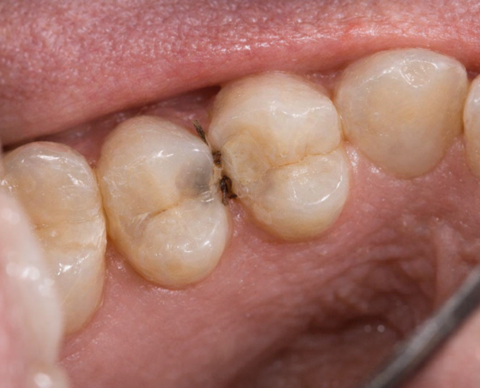
치아와 치아가 서로 맞닿아 있는 옆면,
즉 인접면(Proximal surface)에서
발생하는 충치를 의미합니다.

이 부위는 구조적으로
칫솔모가 닿기 어렵고
음식물 잔사와 치태(plaque)가
쉽게 남을 수 있는 환경이기 때문에
충치가 발생하기 쉬운 조건을 가지고 있습니다.
또한 치아가 서로 밀착되어 있는
구조적 특성 때문에
초기 충치가 발생하더라도
육안으로는 확인이 거의
불가능한 경우가 많습니다.
겉 보기에는 정상처럼 보이지만,
실제로는 치아 사이 내부에서
탈회와 충치 진행이
이루어지고 있는
경우도 많습니다.
비유하자면,
책을 빽빽하게 꽂아 둔 책장에서
두 책이 맞닿아 있는 안쪽 면이
오염되는 상황과 비슷합니다.
강서 치과 구강 정보
인접면 충치가 까다로운 이유 중 하나는
초기에는 통증이 거의 없다는 점입니다.

치아의 바깥쪽 법랑질은
단단하고 신경이 없어서
안쪽 상아질까지 병변이 진행되기 전까지는
뚜렷한 증상을 느끼기가 어렵습니다.
또한, 앞서 말씀드렸듯이
치아가 서로 맞닿아 있는
구조이기 때문에
겉으로는 확인할 수 없는
‘사각지대’에 해당합니다.
즉, 직접 볼 수가 없는 것이죠.
(위치, 크기에 따라 보이는 경우도 있습니다.)

더불어 초기에 뚜렷한 색 변화나
눈에 띄는 구멍이 생기지 않는
경우가 많습니다.
이러한 이유로 인접면 충치는
환자분이 스스로 발견하기보다는
정기검진 과정에서
방사선 촬영(X-ray)을 통해
발견되는 경우가 많습니다.
강서 치과 구강 정보
우식이 상아질에 도달하면
진행 속도가 매우 빨라집니다.
상아질은 법랑질에 비해
상대적으로 구조가 무르고
미세한
상아세관(dentinal tubule)이
존재하기 때문에
*상아질 안에 존재하는 아주 미세한 관 모양의 통로
세균이 내부로 확산되기 쉬운
특성을 가지고 있기 때문입니다.

초기에는 레진 충전으로
간단하게 치료가 마무리되지만
깊은 곳까지 진행되면
인레이나 크라운이 필요해지고,
신경까지 세균이 침투한 경우에는
신경치료를 피하기 어렵습니다.
심한 경우 치아 자체를 보존하기
어려운 상태가 되기도 합니다.
특히 인접면 충치는
'인접 치아에도 영향을 줄 수 있다'
는 특징이 있습니다.
한쪽 치아의 인접면에 충치가 발생하면
맞닿아 있는 반대쪽 치아의 인접면 역시
충치에 노출될 가능성이 높아집니다.
즉, 하나의 충치가 인접치까지
연쇄적으로 영향을 주는
상황이 발생할 수 있는 것입니다.
강서 치과 구강 정보
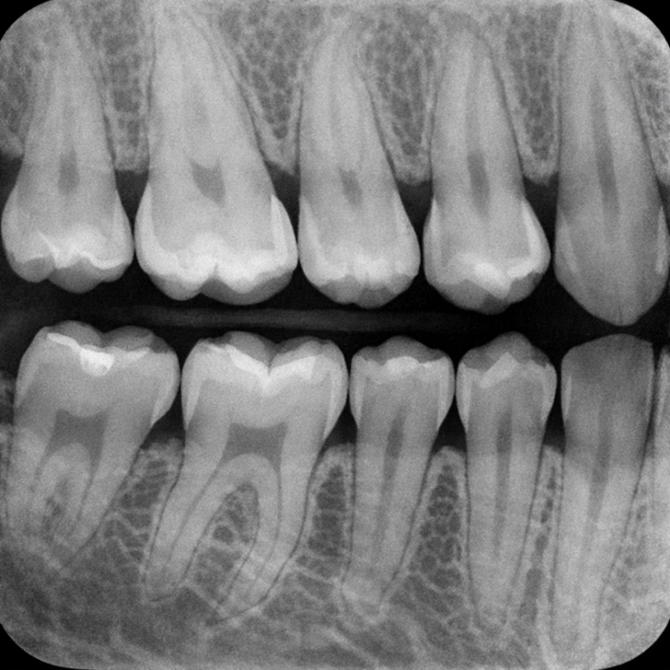
앞서 말씀드렸듯이
진단하는 가장 확실한 방법은
구내 방사선 사진(X-ray)입니다.

치아 사이를 투과하여 찍는
날개 교합 방사선 사진(bitewing X-ray)은
인접면의 초기 병변까지 비교적
정확하게 확인할 수 있습니다.
육안 검사만으로는
놓치기 쉬운 부위를
영상으로 확인할 수 있어
정기검진 시 X-ray 촬영이
함께 이루어지는 것이
중요한 이유가 여기에 있습니다.
증상이 없다고 해서 인접면 충치가 없다고
단정할 수 없는 것이 바로 이 때문입니다.
강서 치과 구강 정보
인접면 충치에 대한
가장 현실적인 대응은
증상이 생기기 전에 정기적으로
구강 상태를 확인하는 것입니다.
일반적으로
6개월에 한 번의
검진이 권장되며,
충치 발생 위험이 높은 경우에는
더 짧은 간격을 권해드리기도 합니다.
정기검진에서는 X-ray 촬영과 함께 스케일링,
구강 위생 상태 평가 등이 이루어집니다.
초기 단계에서 발견된 인접면 충치는
간단한 방법으로 치료를 마칠 수 있어
시간적·경제적 부담도 훨씬 적습니다.
일상에서는 치실과 치간칫솔이
가장 좋은 예방 방법입니다.
치실을 처음 사용할 때
잇몸에서 피가 나는 경우가 있는데,
이는 잇몸 염증의 신호일 수 있으므로
꾸준한 사용을 권장합니다.
인접면 우식은 한번 생기면
자연 회복이 어렵기 때문에
예방과 조기 발견이 가장
효과적인 관리 방법입니다.
강서 치과 이수경이었습니다. 감사합니다.
