아카이브 요약
이 페이지의 역할
에브리치과의원의 네이버 블로그 원문을 보존한 아카이브 페이지입니다. 에브리 구강정보 카테고리의 우장산 치과 잇몸 출혈, 치은염일까 치주염일까? 단계별 차이와 관리법 글을 통해 병원의 한국어 정보 제공 방식과 진료 관련 안내 톤을 확인할 수 있습니다.
원문 검증
필요하면 원문 블로그와 병원 프로필로 바로 이동해 문맥을 다시 확인할 수 있습니다.
출처 아카이브 열기아카이브된 블로그 글
에브리치과의원 · 에브리치과의원
안녕하세요, 우장산 치과 통합치의학 전문의 이수경입니다. 칫솔질을 하다 세면대에 붉은빛이 보인 적 있으신가요? 피가 난다는 사실을 알면서도 '원래 그런가 보다' 하고 넘기는 분들이 많습니다. 그러나 잇몸 출혈은 구강 건강이 보내는 첫 번째 이상 신호입니다. 많은 분들이 잇몸 질환을 하나의 개념으로 묶어 생각...
게시일
2026년 3월 30일
원문 기준으로 확인된 발행일입니다.
카테고리
에브리 구강정보
원문 블로그 카테고리를 정리해 함께 표시합니다.
이미지 수
5
현재 아카이브에 연결된 이미지 수입니다.
아카이브 요약
에브리치과의원의 네이버 블로그 원문을 보존한 아카이브 페이지입니다. 에브리 구강정보 카테고리의 우장산 치과 잇몸 출혈, 치은염일까 치주염일까? 단계별 차이와 관리법 글을 통해 병원의 한국어 정보 제공 방식과 진료 관련 안내 톤을 확인할 수 있습니다.
원문 검증
필요하면 원문 블로그와 병원 프로필로 바로 이동해 문맥을 다시 확인할 수 있습니다.
출처 아카이브 열기안녕하세요, 우장산 치과
통합치의학 전문의 이수경입니다.
칫솔질을 하다 세면대에
붉은빛이 보인 적 있으신가요?
피가 난다는 사실을 알면서도
'원래 그런가 보다' 하고
넘기는 분들이 많습니다.
그러나 잇몸 출혈은
구강 건강이 보내는
첫 번째 이상 신호입니다.
많은 분들이 잇몸 질환을
하나의 개념으로 묶어 생각하지만,
치은염(Gingivitis)과
치주염(Periodontitis)은
염증이 퍼진 범위와 깊이,
치료 예후에서 전혀 다른
양상을 보입니다.
지금 내 잇몸이 어느 단계에 있는지를
정확히 아는 것이 올바른 관리의
출발점입니다.
우장산 치과 구강 정보
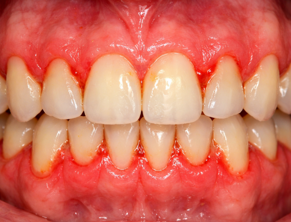
치은염은 잇몸,
즉 치은(gingiva)에만
국한된 염증 상태입니다.
주된 원인은 치아 표면에 형성되는
세균성 막인 치태(dental plaque)로,
제때 제거되지 않으면
잇몸 가장자리를 자극해
붓기와 출혈을 일으킵니다.

이 단계에서는 치아를 지지하는
뼈(치조골)나 인대(치주인대)까지는
손상이 미치지 않은 상태이기 때문에,
전문적인 치태·치석 제거와
올바른 구강위생 관리를 통해
건강한 잇몸 상태로
완전히 되돌릴 수 있다는 것이
치은염의 가장 중요한 특징입니다.
대표적인 증상으로는,
칫솔질 시 출혈,
잇몸의 붉은 변색과
부종이 있습니다.
그러나 통증이 거의 동반되지 않아
스스로 심각성을 인지하기 어렵고,
그 때문에 적절한 관리 시기를
놓치는 경우가 많습니다.
우장산 치과 구강 정보
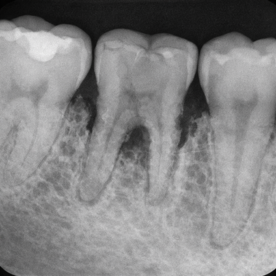
치주염은 치은염이
충분히 관리되지 않아
염증이 치조골과 치주인대까지
파고든 상태를 말합니다.

세균이 만들어내는 독소와
우리 몸의 면역 반응이 맞물리면서
치아를 받치는 뼈가 조금씩 파괴됩니다.
한번 소실된 치조골은
자연적으로 회복되지 않기 때문에,
치은염과 달리 비가역적(irreversible)인
변화를 남긴다는 점이 핵심입니다.

https://pubmed.ncbi.nlm.nih.gov/34101223/
지난 30년(1990~2019) 간의
데이터를 추적 조사한 결과,
중증 치주염의 유병률은
전 세계적으로 8.44%나
증가한 것으로 나타났습니다.
현재 2026도에도 비슷한
수치를 보이고 있습니다.
증상으로는 잇몸 퇴축에 따른
뿌리 노출, 치아 사이 공간 증가,
씹을 때의 불편감이 나타나며,
심한 경우에는
치아 흔들림으로
이어지기도 합니다.
또한 치주염은 당뇨,
심혈관 질환과의 연관성도
꾸준히 보고되고 있어,
전신 건강과 무관하지 않은
질환으로 주목받고 있습니다.
우장산 치과 구강 정보
치은염과 치주염을
구분하는 핵심 검사는
치주낭 깊이 측정(probing)입니다.
가느다란 탐침을
잇몸과 치아 사이 틈새에 넣어
깊이를 수치로 확인하는 방식으로,
정상 범위는 1~3mm 이내입니다.

4mm 이상부터는 치주 조직에
병적인 변화가 생긴 것으로 보며,
5~6mm 이상이면 적극적인
처치가 필요한 치주염으로 판단합니다.
치은염 단계라면
스케일링과 구강위생 교육을 통해
염증을 완전히 해소할 수 있지만,
치주염으로 진행된 경우에는
치주낭 깊은 부위의
치석과 오염 조직을 제거하는
치근 활택술(root planing)이 필요하며,
상태에 따라 외과적
치주 처치까지 고려하게 됩니다.
초진 시 치주낭 깊이를 수치로 기록하고
치아별 상태를 면밀히 파악한 뒤,
각 단계에 맞는 치료 계획을 세워
치은염이 치주염으로 이행되지 않도록
조기에 대응합니다.
우장산 치과 구강 정보
잇몸 질환은
초기일수록 되돌리기 쉽고,
방치할수록 치아 자체를 잃는
결과로 이어질 수 있습니다.
하루 두 번의 올바른 칫솔질에
치실 또는 치간칫솔을 병행해
치태를 꼼꼼히 제거하는 것이
예방의 기본입니다.
잇몸 출혈이나 부종이 반복된다면,
통증이 없더라도 전문 검진을 통해
현재 상태가 치은염인지 치주염인지
정확히 파악하는 것이 중요합니다.
6개월에 한 번의 정기 스케일링과
구강 검진을 꾸준히 이어가며
건강한 잇몸을 유지하시길 바랍니다.
우장산 치과 이수경이었습니다. 감사합니다.
