아카이브 요약
이 페이지의 역할
에브리치과의원의 네이버 블로그 원문을 보존한 아카이브 페이지입니다. 에브리 구강정보 카테고리의 발산동 치과 씹을 때만 찌릿한 통증, 충치가 아닐 수 있습니다 — 치아 균열 증후군 글을 통해 병원의 한국어 정보 제공 방식과 진료 관련 안내 톤을 확인할 수 있습니다.
원문 검증
필요하면 원문 블로그와 병원 프로필로 바로 이동해 문맥을 다시 확인할 수 있습니다.
출처 아카이브 열기아카이브된 블로그 글
에브리치과의원 · 에브리치과의원
안녕하세요, 발산동 치과 통합치의학 전문의 이수경입니다. 씹을 때 찌릿한 통증이 느껴지거나 찬 음식에 유독 예민하게 반응한다면 한 번쯤 의심해 봐야 될 것이 있습니다. 바로 치아 균열 증후군 (Cracked Tooth Syndrome, CTS)입니다. 미세한 균열이 생겼더라도 자각 증상 없이 지나치는 경우가 많...
게시일
2026년 4월 7일
원문 기준으로 확인된 발행일입니다.
카테고리
에브리 구강정보
원문 블로그 카테고리를 정리해 함께 표시합니다.
이미지 수
9
현재 아카이브에 연결된 이미지 수입니다.
아카이브 요약
에브리치과의원의 네이버 블로그 원문을 보존한 아카이브 페이지입니다. 에브리 구강정보 카테고리의 발산동 치과 씹을 때만 찌릿한 통증, 충치가 아닐 수 있습니다 — 치아 균열 증후군 글을 통해 병원의 한국어 정보 제공 방식과 진료 관련 안내 톤을 확인할 수 있습니다.
원문 검증
필요하면 원문 블로그와 병원 프로필로 바로 이동해 문맥을 다시 확인할 수 있습니다.
출처 아카이브 열기안녕하세요, 발산동 치과
통합치의학 전문의 이수경입니다.
씹을 때 찌릿한 통증이 느껴지거나
찬 음식에 유독 예민하게 반응한다면
한 번쯤 의심해 봐야 될 것이 있습니다.
바로 치아 균열 증후군
(Cracked Tooth Syndrome, CTS)입니다.
미세한 균열이 생겼더라도
자각 증상 없이 지나치는 경우가 많아,
발견 자체가 늦어지는 것이 특징입니다.


출처: https://pmc.ncbi.nlm.nih.gov/articles/PMC7172112/
실제로 균열 치아를 가진 환자
2,858명을 분석한 임상 연구에 따르면,
통증을 경험한 비율은 46%에 그쳤습니다.
절반이 넘는 환자가 균열이 있음에도
특별한 증상을 느끼지 못하고 있었던 것입니다.
다시 말해,
균열이 있음에도 몰랐던 경우가
많았다라고도 볼 수 있는 것이죠.
오늘 발산동 치과 에서는
치아 균열 증후군에 대해서
더 자세히 알아보겠습니다.
발산동 치과 구강 정보
치아는 외부에서 보기에 단단하지만,
반복적인 힘이 누적되면
서서히 미세한 금이 생길 수 있습니다.
가장 흔한 원인은
딱딱한 음식의 반복적인 저작입니다.
치아에 강한 충격을 주는
음식을 자주 씹다 보면
특정 부위에 응력이 집중되고,
이것이 균열의 시작점이 됩니다.

수면 중 이갈이(브룩시즘)나
이 악물기 습관도 주요 원인입니다.
본인도 모르는 사이 과도한 힘이
반복적으로 가해지기 때문에,
별다른 자각 증상 없이도
균열이 진행되고 있을 수 있습니다.

크거나 오래된 충전물이 있는 자연치는
온도 변화에 따라 미세하게 팽창·수축하면서
균열에 더 취약해지기도 합니다.
발산동 치과 구강 정보
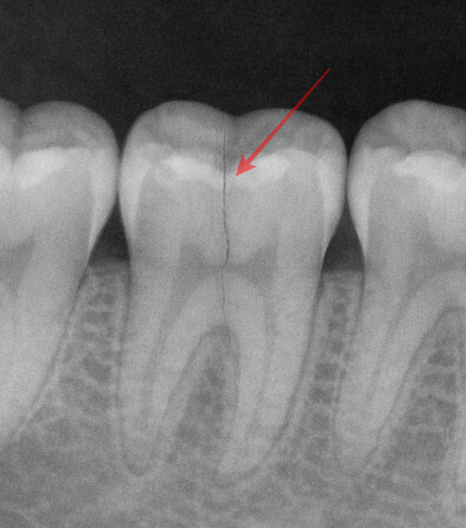
CTS가 까다로운 이유는
일반 X-ray로는 균열선이
거의 포착되지 않는다는 점에 있습니다.


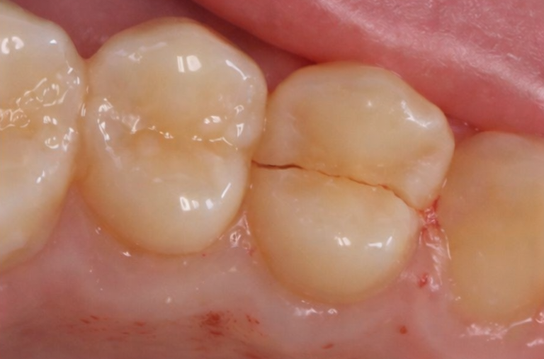
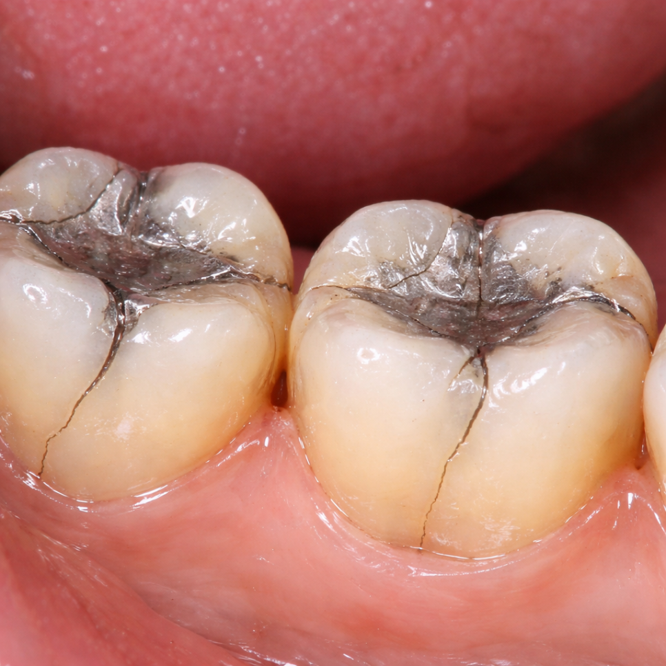
이해를 돕기 위한 치아 균열 예시입니다.
균열의 방향이 방사선이
투과하는 방향과 평행할 경우
영상에 나타나지 않기 때문입니다.
대표적인 증상은 특정 방향으로 씹을 때
순간적으로 나타나는 예리한 통증입니다.
지속되지 않고
씹는 순간에만 나타났다
사라지는 것이 특징이며,
찬 음식이나 단 음식에
반복적으로 과민 반응하거나
통증의 위치를 특정하기 어렵다면
균열 가능성을 염두에 두어야 됩니다.
발산동 치과 구강 정보
치료 방법은 균열이 얼마나 깊고
넓게 진행되었느냐에 따라 달라집니다.
가장 바깥층인 법랑질에만
국한된 초기 단계라면
증상이 거의 없거나
미미한 경우가 많습니다.

이때는 경과 관찰을 하거나
레진으로 보강하는 정도로도
충분히 관리가 가능합니다.
하지만 상아질까지 진행되어
씹을 때 통증이 반복된다면,
크라운을 씌워 전체를 감싸
균열의 확대를 막는 방법이
일반적으로 권장됩니다.
균열이 더 깊어져
치수(신경)까지 영향을 줬다면
신경치료가 필요하며,

치근(뿌리)까지
수직으로 내려간 경우에는
치아를 보존하기 어렵기 때문에
발치로 이어질 수 있습니다.
따라서 정기검진을 통해 미리 확인하는 것이
치아를 오래 지키는 가장 현실적인 방법입니다.
발산동 치과 구강 정보
치아 균열은 증산이 모호하고
진단이 까다롭기 때문에,
통증이 가볍다고 발치하면
균열이 깊어져 치료 범위가
넓어질 수 있습니다.
일상에서는 얼음 씹기나
딱딱한 음식을 과하게
저작하는 습관을 줄이고,
이갈이 습관이 있다면
교정안정장치(마우스가드)
착용을 고려해 보는 것이 좋습니다.
씹을 때마다 날카로운 통증이 반복된다면,
충치가 없더라도 가까운 병원에 내원하여
균열 여부를 확인해 보시기 바랍니다.
발산동 치과 이수경이었습니다. 감사합니다.
