아카이브 요약
이 페이지의 역할
에브리치과의원의 네이버 블로그 원문을 보존한 아카이브 페이지입니다. 치아 교정 카테고리의 마곡동 치과 교정 후 치아 사이 검은 삼각형, 왜 생기는 걸까? 글을 통해 병원의 한국어 정보 제공 방식과 진료 관련 안내 톤을 확인할 수 있습니다.
원문 검증
필요하면 원문 블로그와 병원 프로필로 바로 이동해 문맥을 다시 확인할 수 있습니다.
출처 아카이브 열기아카이브된 블로그 글
에브리치과의원 · 에브리치과의원
안녕하세요, 마곡동 치과 에서 교정과 전문의와 협진하고 있는 통합치의학 전문의 이수경입니다. 교정을 마치고 나서 거울을 봤을 때, 치아 사이 잇몸이 채워지지 않아 검게 비어 보이는 공간을 발견한 적 있으신가요? 이 공간을 블랙 트라이앵글(black triangle) 혹은 치간 개방 공극(open gingival...
게시일
2026년 4월 10일
원문 기준으로 확인된 발행일입니다.
카테고리
치아 교정
원문 블로그 카테고리를 정리해 함께 표시합니다.
이미지 수
6
현재 아카이브에 연결된 이미지 수입니다.
아카이브 요약
에브리치과의원의 네이버 블로그 원문을 보존한 아카이브 페이지입니다. 치아 교정 카테고리의 마곡동 치과 교정 후 치아 사이 검은 삼각형, 왜 생기는 걸까? 글을 통해 병원의 한국어 정보 제공 방식과 진료 관련 안내 톤을 확인할 수 있습니다.
원문 검증
필요하면 원문 블로그와 병원 프로필로 바로 이동해 문맥을 다시 확인할 수 있습니다.
출처 아카이브 열기안녕하세요, 마곡동 치과 에서
교정과 전문의와 협진하고 있는
통합치의학 전문의 이수경입니다.
교정을 마치고 나서 거울을 봤을 때,
치아 사이 잇몸이 채워지지 않아
검게 비어 보이는 공간을
발견한 적 있으신가요?
이 공간을
블랙 트라이앵글(black triangle) 혹은
치간 개방 공극(open gingival embrasure)
이라고 부릅니다.
교정을 받은 환자들 사이에서
생각보다 자주 보고되는 현상인데,

출처 : https://pubmed.ncbi.nlm.nih.gov/12790352/
실제로 관련 연구 논문에 따르면
교정 환자 80명을 분석한 결과,
20세 이상 성인에서
블랙 트라이앵글 유병률이
약 67%에 달하는 것으로 나타났습니다.
단순히 심미적인 문제로 여기기 쉽지만,
형성 원인을 이해하면 예방과 관리에
분명한 차이가 생깁니다.
마곡동 치과 구강 정보
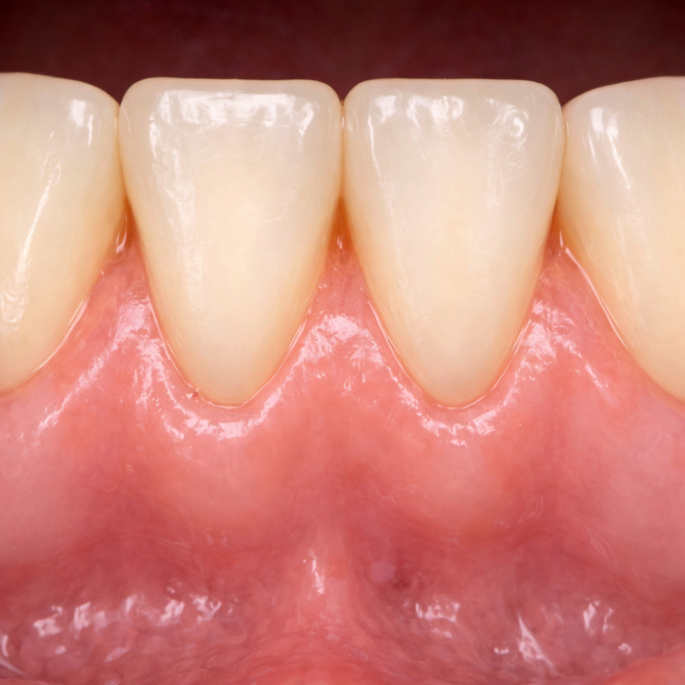
블랙 트라이앵글의 핵심은
치아와 치아 사이를 메우고 있는
삼각형 모양의 잇몸 조직,
치간 유두(interdental papilla)에 있습니다.

이 조직은 혈액 공급이 적고
구조적으로 예민해서,
한번 소실되면 자연적으로
회복되기가 매우 어렵습니다.
치료 과정에서 치아가 이동하면
기존에 치아에 눌려 있던 잇몸이
새로운 배열에 적응하지 못하고
빈 공간으로 남는 경우가 생깁니다.

특히 치근 사이의 거리가 넓거나,
치아의 접촉점(contact point)이
잇몸선에서 지나치게 멀리 위치할 때
치간 유두가 공간을 채우지 못해
블랙 트라이앵글이 두드러지게 나타납니다.
또한 나이가 들수록
잇몸 조직의 탄력이 감소하기 때문에,
성인 교정에서 이 현상이
청소년보다 빈번하게 관찰됩니다.
마곡동 치과 구강 정보
교정만이 원인은 아닙니다.
치주 질환으로 인해
치아를 지지하는 뼈,
치조골이 소실되면
그 위를 덮고 있던 잇몸도 퇴축되면서
블랙 트라이앵글이 나타날 수 있습니다.

치아 형태 자체도 영향을 미칩니다.
치아의 단면이 역삼각형에 가까울수록,
즉 뿌리 쪽이 좁고 치관부가 넓을수록
인접면 접촉 면적이 좁아져
빈틈이 생기기 쉽습니다.
잘못된 칫솔질 습관이나
치간칫솔을 과도하게 사용하는 경우에도
반복적인 자극으로 잇몸이 점차
내려앉을 수 있습니다.
마곡동 치과 구강 정보
이미 형성된 블랙 트라이앵글을
완전히 없애는 방법은 제한적이지만,
상황에 따라 여러 접근이 가능합니다.
가장 보존적인 방법은
IPR(인접면 삭제)로,
치아 인접면을 미세하게 다듬어
접촉점을 잇몸에 가깝게 내려
공간을 시각적으로 줄이는 방식입니다.
레진으로 형태를 보완해
빈 공간을 채우는 방법도 있으며,
블랙 트라이앵글의 원인이
치주 문제와 맞닿아 있다면
잇몸 상태를 먼저 안정시키는
치료가 선행되어야 됩니다.

중요한 것은,
블랙 트라이앵글이
교정 치료의 실패가 아니라
개인의 해부학적 특성과 잇몸 상태가
반영된 결과라는 점입니다.
교정 계획 단계에서
치아 형태와 잇몸 조직의
특성을 함께 검토해,
치료 후 발생 가능한 변화를
사전에 파악하는 과정이 중요합니다.
마곡동 치과 구강 정보
블랙 트라이앵글은
교정을 마친 뒤 마주칠 수 있는
변화 중 하나이지만,
원인을 정확히 이해하고
적절히 관리하면 충분히
대응할 수 있습니다.
일상에서는 치간칫솔이나 워터픽 사용 시
잇몸에 과도한 압력을 가하지 않도록 주의하고,
정기적인 잇몸 상태 확인을 통해
치주 건강을 유지하는 것이
블랙 트라이앵글의 진행을
늦추는 데 도움이 됩니다.
마곡동 치과 였습니다. 감사합니다.
