더스퀘어치과의원
앞니마모, 예전보다 앞니가 짧아 보인다면 확인해 보셔야 합니다.
안녕하세요. 치아의 구조와 균형을 먼저 살펴보는 더스퀘어치과입니다. 가끔 예전 사진을 보다가 이런 생각이 들 때가 있습니다. "앞니가 예전보다 조금 짧아진 것 같은데.." 실제로 시간이 지나면서 치아 끝이 조금씩 닳는 변화가 나타나기도 해요. 이처럼 치아 끝이 점점 닳...
아카이브 요약
이 페이지의 역할
더스퀘어치과의원 The Square Dental Clinic의 네이버 블로그 원문을 보존한 아카이브 페이지입니다. 더스퀘어치과 카테고리의 앞니마모, 예전보다 앞니가 짧아 보인다면 확인해 보셔야 합니다. 글을 통해 병원의 한국어 정보 제공 방식과 진료 관련 안내 톤을 확인할 수 있습니다.
안녕하세요.
치아의 구조와 균형을 먼저 살펴보는
더스퀘어치과입니다.

가끔 예전 사진을 보다가
이런 생각이 들 때가 있습니다.
"앞니가 예전보다 조금 짧아진 것 같은데.."
실제로 시간이 지나면서 치아 끝이
조금씩 닳는 변화가 나타나기도 해요.
이처럼 치아 끝이 점점 닳는 상태를
앞니마모라고 이야기합니다.
다만 치아가 닳는 이유는
단순히 오래 사용해서만
나타나는 것은 아닙니다.
치아의 전달되는 힘의 방향이나
교합 구조가 함께 영향을 주기 때문이죠.
그래서 오늘은 앞니마모가
어떤 이유로 나타나는지,
그리고 어떤 기준으로
치아 상태를 살펴보게 되는지
이야기해 보겠습니다.
[단순히 메우는 문제는 아닙니다]
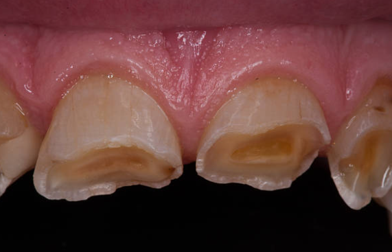
치아 끝 모양이 달라 보인다면
살펴봐야 합니다.

치아는 평생 사용되는 구조입니다.
음식을 자르는 역학을 하고
발음을 만들기도 하고
저작하는 과정에서
힘을 조절하는 역할도 하죠.
그래서 오랜 시간 사용하다 보면
치아 끝이 조금씩 마모되는 변화가 나타나요.
예전에는 뾰족했던 앞니 끝이
어느 순간 평평하게 보일 때가 있습니다.
이런 변화 대부분은
치아 가장 바깥에 있는
법랑질이 닳으면서 나타나는 모습이에요.
법랑질은 치아를 보호하는
단단한 바깥층입니다.
하지만 반복적인 힘이 전달되면
이 층도 점점 마모되죠.

초기 단계에서는
특별한 통증도 거의 없습니다.
그래서 많은 분들이
이런 앞니마모 변화를
뒤늦게 발견하기도 해요.
특히 통증이 없기 때문에
그냥 지나가는 경우도 적지 않죠.
하지만 치아 끝 모양이
예전과 달라 보이거나
사진을 비교했을 때 길이가 짧아 보인다면
이미 마모가 진행된 상태입니다.
다음과 같은 모습이 보이면
앞니 마모가 시작된 상태라고 판단해요.
| ✔ 치아 끝이 평평하게 닳아 보이는 모습✔ 치아 표면에 미세한 마모선이 나타나는 모습✔ 예전보다 앞니 길이가 짧아 보이는 변화 |
그래서 겉으로 보이는 모양이 달라졌다면
현재 상태를 살펴보는 과정이 필요합니다.
치아 구조를 보면
이유를 이해할 수 있습니다.

앞니가 닳는 이유를 살펴보면
단순히 오래 사용해서
생기는 변화만은 아닙니다.
진료실에서 치아 상태를 확인해 보면
앞니마모는 대부분 치아에 전달되는
힘의 방향과 관련되어 나타나죠.
다음과 같은 습관이 있는 경우가 많습니다.
| 잠을 자는 동안 이를 가는 습관 |
|---|
| 무의식적으로 이를 꽉 무는 습관 |
| 치아 배열이 맞지 않는 교합 상태 |
| 앞니로 음식을 자주 뜯는 습관 |
이런 상황에서는
치아에 반복적인 힘이 전달됩니다.
그러면 치아 가장 바깥쪽에 있는 법랑질이
조금씩 닳기 시작하죠.

치아 구조를 보면
법랑질 →상아질 →신경
이렇게 여러 층으로 이루어져 있습니다.
처음에는 법랑질만 닳기 때문에
특별한 불편이 느껴지지 않는 경우도 많아요.
하지만 마모가 조금 더 진행되면
법랑질 아래에 있는 상아질이 드러나게 됩니다.
이때부터는 치아가 외부 자극에
조금 더 민감해지죠.
그래서
찬 음료를 마실 때
시린 느낌이 나타나기도 하고
예전 사진과 비교했을 때
치아 길이가 짧아보기도 합니다.
이처럼 앞니에서 나타나는 변화는
단순히 겉모습만 달라지는 문제가 아니에요.
앞니가 닳아 보인다면
치아에 어떤 힘이 전달되고 있는지도
함께 살펴봐야 합니다.
단순히 닳은 부분만 보면 안 됩니다.

앞니마모를 정리할 때는
단순히 닳아 보이는 부부만
보완하는 방식으로 접근하지 않아요.
왜냐하면 마모가
생긴 원인이 그대로 남아 있다면
같은 변화가 다시 반복될 수 있기 때문이죠.
레진으로 앞니 형태를 보완했는데도
마모의 원인이 되는 힘의 방향이나
사용 습관이 그대로 남아 있다면
시간이 지나면서 같은 부위가
다시 닳는 모습이 나타나기도 합니다.
그래서 앞니 상태를 확인할 때는
보이는 부분만 보는 것이 아니라
몇 가지 구조적인 기준을 함께 살펴보게 됩니다.

더스퀘어에서는 앞니를 확인할 때
다음과 같은 요소를 확인하고 있어요.
✔ 마모 깊이
✔ 치아가 맞물리는 관계
✔ 저작하는 힘의 방향
✔ 치아 길이 변화
✔ 치아 배열과 전체 균형
이런 기준을 함께 살펴보면
단순히 닳은 부분만 정리하는 것이 아니라
앞니가 앞으로도 안정적으로
사용될 수 있는 상태인지를
조금 더 구체적으로 이해할 수 있어요.

지금까지 '앞니마모, 예전보다
앞니가 짧아 보인다면 확인해 보셔야 합니다.'에
대해 이야기해 보았는데요.
앞니가 닳아 보인다고 해서
모든 경우가 바로 큰 문제로
이어지는 것은 아닙니다.
하지만 치아는 한 번 마모가 시작되면
사용하는 힘과 습관에 따라
변화가 조금씩 이어지기도 하죠.
그래서 앞니 끝이 예전보다
평평해 보이거나 시린 느낌이 반복된다면
지금 치아 상태가 어떤 단계인지
한 번 확인해 보는 것도 도움이 됩니다.
앞니는 작은 변화에도
인상이 달라질 수 있는 자리기도 하니까요.
오늘 말씀드린 내용을 참고하셔서
현재 치아 상태를
한 번 살펴보시길 바랍니다.
긴 글 함께 읽어주셔서 감사합니다.
더스퀘어치과였습니다.
[많은 분들이 남겨주신
방문 후기를 볼 수 있습니다]
[네이버 톡톡으로
편하게 질문 남겨 주세요]
[오시는 길을 안내드립니다]
| 이 글은 올바른 정보를 얻으실 수 있도록의료법 (제56조 1항)을 준수하여 작성하였습니다.단순한 홍보보다는실제 진료실에서 일어나는 과정을투명하게 공유하고 싶었습니다.이 글을 보시고 바로 연락 주시기보다는정확한 정보를 얻어 가시는 것만으로도 충분합니다. |
더 보기
이 병원의 공개 콘텐츠를 계속 살펴보세요
출처 아카이브로 돌아가 더 많은 글을 보거나, 병원 프로필로 이동해 다른 공개 채널도 함께 비교해보세요.