미니쉬치과병원ㅣMinish Dental Hospital ㅣミニッシュ歯科病院ㅣ美尼仕牙科医院ㅣ美尼仕牙科醫院
미니쉬의 특별함, 하루 만에 치아 복구하는 법!
미니쉬치과병원의 ‘원데이 시스템’은 17년 전 도입되었으며, 전신인 오늘안치과까지 포함하면 18년의 역사를 가지고 있습니다. 많은 분들이 원데이 치료를 빠른 속도만 강조한 시스템이라고 생각하지만 정확성과 정밀함이 무엇보다 중요합니다. 단순히 시간을 단축하는 것이 아니라 환자 개개인에게 최적화된 정밀한 치료를 제...

미니쉬치과병원의 ‘원데이 시스템’은 17년 전 도입되었으며, 전신인 오늘안치과까지 포함하면 18년의 역사를 가지고 있습니다.
많은 분들이 원데이 치료를 빠른 속도만 강조한 시스템이라고 생각하지만 정확성과 정밀함이 무엇보다 중요합니다. 단순히 시간을 단축하는 것이 아니라 환자 개개인에게 최적화된 정밀한 치료를 제공하는 것이 핵심입니다.
치과 치료를 받기 위해 반차나 연차를 내야 하는 직장인들이 많습니다. 이에 대한 고민 끝에 탄생한 것이 바로 ‘원데이 시스템’입니다. 바쁜 현대인들이 보다 효율적으로 시간을 활용하면서도 최상의 치료를 받을 수 있도록 미니쉬치과병원은 빠름과 정밀함을 동시에 잡는 시스템을 구축했습니다.
의료는 최첨단의 경연장인데…
치과에서는 웬 장인정신?
일부 치과에서는 ‘한땀 한땀 정성스럽게 치아를 만든다’거나 ‘장인정신’을 강조합니다. 하지만 의료의 모든 영역에서 최첨단 기술이 적용되는 시대에, 왜 유독 일부 치과에서만 이러한 전통적인 방식을 고집할까요?
혹시 외부 기공소를 이용하고 있다는 사실을 숨기고 싶어서일까요?
아니면 하루 만에 치료를 끝낼 수 있는 첨단 장비를 도입하지 못한 현실을 포장하기 위해서일까요?
정밀한 기술이 뒷받침되지 않은 채 ‘정성’만으로 치료가 이루어진다면, 과연 환자를 위한 최선의 선택이 될 수 있을까요?
하루에 30~40개의 수복물을 만들어낸다고 하면 이는 실력과 인력의 부족 또는 생산력의 한계를 인정하는 것이 아닐까요?

미니쉬는 어떤 모양의 치아 손상이라도 불필요한 치아 삭제가 없도록 정밀한 수복물을 제작합니다. 치아의 모든 굴곡을 재현합니다.
치과에서의 ‘장인정신’은 환자를 불필요하게 힘들게 하거나 수복물 개수를 제한하는 것이 아닙니다. 궁극적으로 환자가 탈이 나지 않도록 정밀하게 치료하는 것이야말로 진정한 장인정신입니다. 치료 과정에 공을 들였다고 강조하는 것보다 환자가 더 편안하고 효과적인 치료를 받을 수 있도록 하는 것이 중요합니다.
미니쉬치과병원의 원데이 시스템은 ‘어떻게 하면 환자가 더 편하게 진료를 받을 수 있을까?’라는 고민에서 시작되었습니다. 단순히 빠른 치료가 아니라 정확성과 정밀함을 동시에 갖춘 혁신적인 시스템입니다.
이 글에서는 미니쉬치과병원의 원데이 시스템이 어떻게 빠르면서도 정밀한 치료를 가능하게 하는지 자세히 알아보겠습니다.
정밀한 원데이 시스템
- 최첨단 장비
미니쉬치과병원은 정밀한 수복물 제작을 위해 최첨단 장비를 적극적으로 도입하고 있습니다. 현재 밀링머신 9대, 구강 스캐너 6대, 3D 프린터 5대를 운영하며, 환자의 구강을 더욱 정확하게 재현할 수 있도록 최적의 환경을 구축했습니다.

구강 스캔하는 모습./미니쉬치과병원
미니쉬치과병원에서 사용하는 고성능 구강 스캐너는 인접면 촬영처럼 난이도가 높은 부위까지도 정밀하게 스캔할 수 있으며 상·하악 전체 스캔에도 3분이 채 걸리지 않는 빠르고 효율적인 성능을 갖추고 있습니다.
반면, 전통적인 치아 본을 뜨는 방식(인상체득)은 수복물 제작 과정에서 수축과 팽창이 반복적으로 발생하여 정밀도를 유지하기 어렵습니다. 이로 인해 완벽한 변연봉쇄(수복물과 치아 경계의 밀착도)를 달성하는 데 한계가 있을 수 있습니다.

치아 본뜨는 모습./유튜브 캡처
미니쉬치과병원은 3D스캔한 구강데이터를 바탕으로 치아수복물을 디자인합니다.

치아 디자인 작업하는 모습/미니쉬치과병원
또한, 구강 데이터를 3D 프린터로 출력하여 환자의 구강을 정밀하게 재현한 기공물을 제작합니다. 이를 통해, 1차 제작된 수복물을 실제 구강 환경과 동일한 기공물에 맞춰가며 정밀한 후가공 작업을 진행합니다.
이러한 과정은 최적의 적합도를 보장하며, 환자의 치아와 완벽하게 일치하는 수복물을 제작할 수 있도록 도와줍니다.


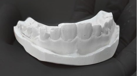
치아 본을 뜬 후 석고를 부워서 굳혀서 만든 치아모형(왼쪽) 3D프린트로 만든 미니쉬 치아 모형. 정밀성에서 큰 차이를 보입니다.

정밀한 원데이 시스템
- VITA 공식 인증 기공연구소 보유
미니쉬치과병원은 800평 규모의 14층 단독 사옥을 사용하며, 그중 6층에는 국내 최대 규모의 병원 내 기공연구소가 자리하고 있습니다. 이곳에는 평균 경력 15년 이상의 연구원 20여 명이 근무하고 있으며 모두 미니쉬블록 기공에 특화된 고도로 숙련된 전문가들로 구성되어 있습니다.
이들은 16만여 건 이상의 미니쉬 수복물 제작 노하우를 보유하고 있으며 치아의 다양한 굴곡과 형태에 맞춰 수복물을 얇거나 두껍게 조정하는 고난도 작업을 수행합니다. 이를 통해 환자의 치아 구조와 기능을 가장 자연스럽고 정밀하게 복원할 수 있도록 합니다.

비타 인증 기공소 현판
미니쉬치과병원의 정밀 가공 기술력은 세계적으로도 인정받고 있습니다. 그 수준이 어느 정도냐 하면 100년이 넘는 역사를 가진 글로벌 치과재료 기업 비타(VITA)로부터 아시아 최초의 비타 인증 기공소로 지정될 정도입니다. 비타는 전 세계 150개국에 치과 재료를 공급하는 명망 높은 기업으로 미니쉬치과병원의 기술력이 세계적인 기준에서도 최고 수준임을 증명하는 사례입니다.
이 과정에는 흥미로운 스토리가 있습니다. 2017년 비타의 로우터 회장이 미니쉬 기공연구소를 방문했을 때 연구소의 정밀 가공 기술을 직접 확인하고는 “이렇게 정밀하게 가공할 수 있다니 믿어지지 않는다”라고 감탄했습니다.
이 계기로 미니쉬 기공연구소는 비타 인증 연구소로 지정되었으며 나아가 미니쉬블록의 독점 생산권까지 확보할 수 있었습니다.
기공소와 의료진의 논스톱 협업 시스템이 '정밀한 원데이 시스템'을 완성하다
미니쉬치과병원의 정밀한 원데이 시스템은 단순히 첨단 장비만으로 이루어지는 것이 아닙니다. 핵심은 기공소와 의료진 간의 긴밀한 협업 시스템에 있습니다.
미니쉬 기공소는 병원 내부 6층에 위치해 있으며, 진료실은 8~10층에 자리하고 있습니다. 덕분에 의료진과 기공소 연구원 간의 소통이 원활하게 이루어지며 당일 세팅 시에도 보완이 필요하면 즉시 수정이 가능합니다.
이는 외부 기공소를 이용하는 병원에서는 불가능한 시스템입니다. 기공소가 병원 내에 있기 때문에, 의료진과 연구원이 직접 만나 의견을 교환하고 즉각적인 피드백을 주고받을 수 있습니다. 물리적 거리의 제약이 없기 때문에, 환자 맞춤형 미니쉬블록 수복물을 보다 정밀하게 제작할 수 있습니다.
이러한 논스톱 협업 시스템이야말로 미니쉬치과병원의 정밀한 원데이 시스템을 완성하는 중요한 요소입니다.
치과의사도 놀라는 ‘정밀한 원데이 시스템’

화면은 부산리셋치과 김현주 원장이 원데이 미니쉬를 받는 모습. 이 과정이 라이브 영상으로 교육자으로 송출됩니다.
미니쉬치과병원에는 235명의 치과의사 수료생을 배출한 ‘미니쉬아카데미’가 있습니다. 미니쉬를 진행하려면 치과의사들도 체계적인 교육을 받고 전문적인 노하우를 습득해야 합니다. 이 과정에서 교육생들은 미니쉬의 정밀한 원데이 시스템을 직접 확인하며 배우게 됩니다.
특히 아카데미 마지막 날 진행되는 ‘원데이 라이브’ 코스에서는 치과의사들이 실제로 ‘원데이 미니쉬’ 시술 과정을 지켜보며 학습할 수 있습니다. 실제 치과의사가 환자가 되어 미니쉬 시술을 받는 과정이 교육장으로 생중계되며, 모든 절차를 체험하는 것입니다.
일반 환자와 동일한 과정으로 진행되며
✔ 오전에는 치아 프렙(성형), 구강 스캔, 미니쉬블록 수복물 제작
✔ 오후에는 미니쉬 결합 및 피팅 체크가 이루어집니다.
이러한 과정을 통해 교육생들은 미니쉬블록을 활용한 정밀한 원데이 시스템이 어떻게 구현되는지, 그리고 이를 통해 환자들이 어떻게 신속하면서도 정확한 치료를 받을 수 있는지를 직접 경험하게 됩니다.
요란한 ‘장인정신’보다, 최첨단 장비와 글로벌 기업으로부터 인정받은 정밀 가공 기술력 그리고 수많은 치과의사들의 신뢰가 결합된 치아복구 솔루션 미니쉬가 더 확실한 선택 아닐까요?
미니쉬치과병원은 세계적인 수준의 최첨단 치료를 제공합니다.
최고의 기술력과 시스템으로, 환자에게 가장 정밀하고 효과적인 치료를 선사합니다.
감사합니다.


Explore More
Keep Browsing This Clinic's Korean Content Trail.
Return to the source archive for more posts, or move back to the clinic profile to compare the rest of the clinic's public channels.