미니쉬치과병원ㅣMinish Dental Hospital ㅣミニッシュ歯科病院ㅣ美尼仕牙科医院ㅣ美尼仕牙科醫院
치과의사가 받은 6년 된 미니쉬후기 feat.이정은 원장
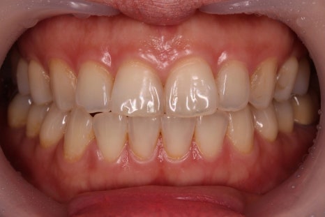
"저는 앞니부터 어금니까지 총 24개의 미니쉬를 받았어요." 안녕하세요. 미니쉬치과병원 원장 이정은입니다. 미니쉬를 받은 지 앞니는 벌써 3년, 어금니는 어느덧 6년쯤 됐네요. 평소에는 미니쉬를 했다는 걸 잊고 지내는데요. 그러다 환자분들이 "원장님도 직접 하셨나요?" 하고 물어보실 때마다 '아, 맞다!'...
"저는 앞니부터 어금니까지 총 24개의 미니쉬를 받았어요."
안녕하세요. 미니쉬치과병원 원장 이정은입니다.
미니쉬를 받은 지 앞니는 벌써 3년, 어금니는 어느덧 6년쯤 됐네요.



평소에는 미니쉬를 했다는 걸 잊고 지내는데요.
그러다 환자분들이 "원장님도 직접 하셨나요?" 하고 물어보실 때마다 '아, 맞다!' 하고 떠올리곤 한답니다.
그럴 때면 저는 길게 설명하기보다 그냥 제 입을 열어 보여드려요.
“네! 이게 바로 미니쉬한 제 치아예요.”
의사인 제가 직접 미니쉬를 경험했고, 지금도 정말 만족하며 잘 쓰고 있다는 사실 하나만으로도 환자분들은 안심하고 신뢰를 하시더라구요.
오늘은 제가 환자로서 직접 겪었던 미니쉬 후기를 들려드리려 해요.


제 미니쉬 주치의이자 남편인 이상길 원장. 정용진회장님이 초대해 주신 감사 저녁 자리에 아주 뿌듯하게 웃고 있어서 가져와봤어요.
제가 처음 미니쉬를 결심하게 된 건 남편 때문이었어요.
주치의인 이상길 원장님이 저를 보며 “앞니가 기울어지는 것 같다”라고 말했죠.
저는 매일 거울을 봐도 잘 몰랐는데 역시 같이 사는 치과의사 남편 눈에는 미묘한 변화까지도 보였나 봐요.


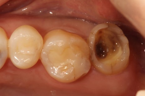
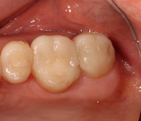
제 어금니 미니쉬 전후예요.
저는 오랫동안 이를 갈고 꽉 깨무는 습관이 있었어요.
게다가 치열 특성상 '나비치아'와 어금니 쪽 부정교합도 좀 있었고요.
그러다 보니 밥을 먹을 때마다 치아가 서로 갈리는 소리가 날 정도로 어금니가 정말 심하게 마모되었답니다.
어금니가 점점 닳아 없어지니 교합이 무너지고, 그 힘이 앞니로 전달되면서 앞니가 쓰러지듯 기울어지기 시작했어요.
그래서 저는 어금니를 복구하기로 했고 총 4개의 어금니 미니쉬를 받았어요.
-
마모가 심했던 어금니
-
오래된 인레이가 깨진 어금니 재치료
-
레진치료 후 이차 충치가 있던 어금니
어금니 미니쉬를 받은 후 위에 8개, 아래에 10개, 총 18개의 앞니 미니쉬도 진행했죠.
결과적적으로 치아의 기능은 안정되었고 심미적으로는 훨씬 자연스러워졌어요.
지금은 교합도 편안하고 자신 있게 웃고 있답니다.

"그런데 미니쉬 얇으면 쉽게 깨지는 거 아닌가요?"
환자분들이 제일 많이 하시는 질문이에요.
저는 그 부분에 대한 걱정이 없어요.
왜냐하면 어금니에 미니쉬를 한 지 벌써 6년이 지났는데, 앞니보다 3배 이상 강한 힘을 받는 어금니에서도 깨짐이 전혀 없었거든요.
제 몸으로 직접 임상실험을 해본 셈이죠.

미니쉬의 다양한 형태
미니쉬는 치아 상태에 따라 다르지만 0.1mm까지 얇게 가공돼요.
그래서 붙이기 전 미니쉬만 보면 불안해 보일 수 있죠.
하지만 치아와 결합하면 완전히 한 덩어리가 되면서 전체 두께로 보면 충분히 두꺼워져요.

미니쉬 접착
종이를 예로 들어볼까요?
한 장은 쉽게 찢어지죠.
그런데 종이 100장을 접착제로 단단히 붙여 놓으면?
하나의 두꺼운 덩어리가 되어 쉽게 찢어지지 않아요.
미니쉬도 비슷한 원리예요.
치아와 화학적으로 결합해 원래 치아처럼 두께가 회복되기 때문에 쉽게 깨지지 않는 거죠.
미니쉬를 받은 내 치아는 얼마나 사용할 수 있을까?
저는 환자분들께 보통 최대 15년 품질 보증기간을 말씀드리는데요.
그런데 막상 제가 직접 미니쉬를 하고 살아보니 치아 상태나 생활 습관, 그리고 어떻게 관리하느냐에 따라 훨씬 더 오래 쓸 수도 있겠다는 생각이 들더라고요.

예전에 미니쉬를 개발하신 강정호 대표원장님이랑 얘기를 해봤을 때 미니를 받고 나면 느낌이 온다고 하더라고요.
그래서 저는 제 경험을 통해 확신이 생겼어요.
"최소 20년은 쓰겠다."
앞니보다 훨씬 큰 힘을 받는 어금니에 미니쉬를 한 지 벌써 6년이 지났는데 지금도 멀쩡하게 잘 쓰고 있기 때문이에요.
오히려 앞니는 더 오래갈 거라는 생각이 들어요.
어떤 치아들은 평생 건강하게 쓸 수 있을 것 같아요.
어금니는 마모되는 게 자연스러운 부위라서 아마 20~30년 뒤쯤에는 다시 복구가 필요할 수도 있겠죠.
결국 미니쉬는 제 자연치아 수명만큼 쓸 수 있지 않을까 싶어요.
미니쉬를 받을까 고민하고 계신 환자분들에게 제 미니쉬 후기가 도움이 되면 좋겠네요.
이상 미니쉬 받은 치과의사의 미니쉬 후기였어요.
미니쉬치과병원 서울특별시 강남구 언주로 728
Explore More
Keep Browsing This Clinic's Korean Content Trail.
Return to the source archive for more posts, or move back to the clinic profile to compare the rest of the clinic's public channels.