미니쉬치과병원ㅣMinish Dental Hospital ㅣミニッシュ歯科病院ㅣ美尼仕牙科医院ㅣ美尼仕牙科醫院
기술이 만든 차이 : 미니쉬 vs 라미네이트 비교 총정리
여러 치과에서 상담받으며 들으신 이야기들, 그리고 실제로 미니쉬에 방문하시는 분들이 자주 묻는 질문들을 중심으로 핵심만 정리했습니다. 미니쉬와 라미네이트 다른 점은? 미니쉬와 라미네이트는재료, 제작 방식, 개발 주체 등 여러 요소에서 이미 큰 차이가 있습니다. 하지만 두 가지를 구분하는 가장 핵심...

여러 치과에서 상담받으며 들으신 이야기들, 그리고 실제로 미니쉬에 방문하시는 분들이 자주 묻는 질문들을 중심으로 핵심만 정리했습니다.
- 미니쉬와 라미네이트 다른 점은?
미니쉬와 라미네이트는재료, 제작 방식, 개발 주체 등 여러 요소에서 이미 큰 차이가 있습니다. 하지만 두 가지를 구분하는 가장 핵심 기준은 적용할 수 있는 치아 범위입니다. 이는 두 방식이 목적 자체가 다르기 때문입니다.
-
미니쉬 : 앞니부터 어금니까지 폭넓게 적용 가능
-
라미네이트 : 앞니에만 적용 가능

정용진 회장님 미니쉬 출처: https://buly.kr/6131AVY
- 미니쉬 : 약해지거나 손상된 에나멜 보호층을 복구하는 것을 목표로 합니다. 건강한 에나멜은 원래 투명한 흰빛을 띠기 때문에 복구가 이뤄지면 자연스럽게 밝고 건강한 치아색으로 보입니다.

앞니 미니쉬

앞니-어금니-전체 미니쉬
- 라미네이트 : 앞니의 겉면을 밝고 가지런하게 보이도록 디자인하는 목적을 갖습니다.
- 무삭제 라미네이트와 미니쉬는 무엇이 다를까?
무삭제 라미네이트는 이름 그대로 치아 삭제 없이 진행하는 방식이지만, 현실적으로는 삭제가 필요 없는 경우 자체가 매우 드뭅니다. 무삭제가 가능한 상황은 다음과 같은 특수한 경우입니다.
-
치아 사이 공간이 넓은 경우
-
치아가 유난히 작은 ‘왜소치’인 경우
이 외 대부분은 면적·공간 확보를 위해 삭제가 동반될 수밖에 없습니다. 치아가 크거나 방향이 틀어져 있다면 라미네이트가 들어갈 자리가 없기 때문입니다. 교정에서도 같은 이유로 발치 또는 스트리핑(치아 옆면 공간 확보)을 사용합니다.

교정시 공간확보를 위해 치아를 깎는 스트리핑
- 원데이는 빨리 만들기 위해 대충 만드나요?
일부에서는
"라미네이트는 시간이 오래 걸리니 정성 들인 것이고, 원데이는 빠르게 만드는 방식”
이라고 말하기도 합니다.
하지만 중요한 기준은 시간의 길고 짧음이 아니라 정밀함과 정확성입니다. 예를 들어 보겠습니다. 수술실에 들어갔다고 가정했을 때,
-
일주일동안 정성스럽게 손으로 수술하는 것이 좋을까요?
-
하루 만에 첨단 장비를 이용해 빠르고 정확하게 수술 하는 것이 좋을까요?
정답은 명확합니다. 정확하고 정밀한 과정이 핵심이지, 시간이 길다고 더 좋은 것은 아닙니다. 라미네이트가 2~3주 걸리는 이유는 임시 치아로 세균 침투를 막기 위함이지만, 임시 치아는 어디까지나 임시이기 때문에 여전히 세균 노출이나 민감도 증가 우려가 존재합니다.
- 미니쉬는 치아 삭제를 안하나요?
미니쉬는 치아 표면을 매끄럽게 정리하는 과정이 있습니다. 치아 표면은 생각보다 고르지 않거나 미세한 금이 있을 수 있기에 표면을 정리해야 미니쉬가 정밀하게 밀착되면서 세균 유입 방지. 불필요한 부작용 감소, 결합력 향상 이 이루어집니다.
화장을 할 때 각질이 일어나 있으면 화장이 뜨는 것과 동일한 원리입니다.
- 치과의사들도 미니쉬를 받을까?
그렇습니다. 미니쉬는 실제로 치과의사들이 직접 선택하는 경우가 매우 많습니다. 유튜브에 치과의사 후기가 공개되어 있고, 협력 병원에서 조용히 받고 가는 의료진들도 많습니다. 치과의사뿐 아니라 다양한 의료 분야 종사자를 포함하면 이미 100명 이상이 경험한 바 있습니다.
- 라미네이트는 10년마다 교체 필요하다던데, 미니쉬는?
라미네이트가 반드시 10년 주기로 교체되는 것은 아니지만, 이런 말이 생겨난 이유는 제작 과정 중 여러 단계에서 수축과 팽창이 발생하기 때문입니다.


(무삭제)라미네이트가 부작용이 일어나는 주 원인
예를 들어
-
인상을 뜨는 과정에서 발생하는 수축
-
제작 중 고온 가열로 인한 추가 수축
이 반복되면서 라미네이트는 완성 단계에서 치아와 완벽하게 맞기 어려운 구조적 한계가 생깁니다.

라미네이트 부작용 - 치아 내부에서 생긴 충치
이 틈으로 세균이 침투하면 충치, 변색, 탈락이 이어질 수 있어 “7~10년 주기 교체”라는 말이 자연스럽게 나온 것입니다.
반면 미니쉬는 인상 채득이나 고온 가열 과정이 없기 때문에 체적 변화가 거의 없으며 안정적으로 유지됩니다. 현재 미니쉬는 18년 이상의 데이터를 확인해오고 있으며, 보증은 최대 15년입니다. 추가 데이터가 확보되는 시점에는 보증 기간도 확대될 예정입니다.
- 미니쉬 15년 보증, 실제로 가능한가요?

미니쉬 보증서 박스
네. 가능합니다. 중요 포인트 두 가지
- 병원 자체에서는 의료 행위에 대해 보증을 제공할 수 없습니다.
만약 라미네이트를 보증해준다고 한다면 이는 의료법 위반에 해당합니다. 미니쉬가 보증 가능한 이유는 미니쉬테크놀로지(주)에서 개발되어 병원에 공급되는 독립 기술이기 때문입니다.
- 임상 기간을 꼭 확인하세요.
누적 데이터가 5년밖에 없는데 10년 보증을 한다는 것은 논리적으로 불가능합니다. 치아는 소모품이 아니기 때문에 교체 개념으로 접근할 수 없습니다.
- 리튬디실리케이트(이맥스)는 고급 재료인가요?

리튬디실리케이트 이맥스 블럭
리튬디실리케이트는 (무삭제) 라미네이트에서 자주 쓰이는 재료로, 가열 전에는 보라색이며 유리화(고온 열처리)를 거치면 투명해지는 특징이 있습니다. 하지만 미니쉬는 이 재료를 사용하지 않습니다. 이유는 두 가지입니다.
- 고온 열처리로 인한 필연적인 수축
수축은 틈을 만들고, 이 틈은 결국 세균 유입과 문제로 이어질 수 있습니다.
- 자연치아보다 훨씬 높은 마모도
재료가 너무 단단해서 맞닿는 자연치아가 갈릴 위험이 있습니다. 계란(자연치아)과 바위(라미네이트)가 부딪히는 상황과 비슷합니다.
- 재료는 단단할수록 좋은가?
그렇지 않습니다. 가장 이상적인 것은 자연치아와 최대한 가까운 물성입니다. 일반적으로 많이 알려진 지르코니아·리튬디실리케이트, 이 두 재료의 공통적인 특징은 마모도가 높아 자연치아보다 훨씬 단단하다는 점입니다. 이 때문에 시간이 지나면 맞닿는 자연치아가 갈려 나가는 문제가 발생할 수 있습니다.
사실 문제의 원인은 ‘너무 단단한 재료’에 있음에도 시간이 지나면 사람들은 갈려나간 자연치아가 원래 약해서 그런 것이라고 오해하는 경우도 많습니다. 하지만 실제로는 재료의 물성이 자연치아와 지나치게 다르기 때문에 생기는 현상입니다.

마모된 치아 상태
이러한 이유 때문에 최근 재료 회사들도 강도를 낮추는 방향으로 제품을 개선하고 있지만, 여전히 자연치아보다는 단단한 편입니다.

반면 미니쉬 블록은 강도·경도·열팽창·마모도·투명도 등 자연치아 특성과 유사한 물성을 갖도록 설계되어 있습니다.
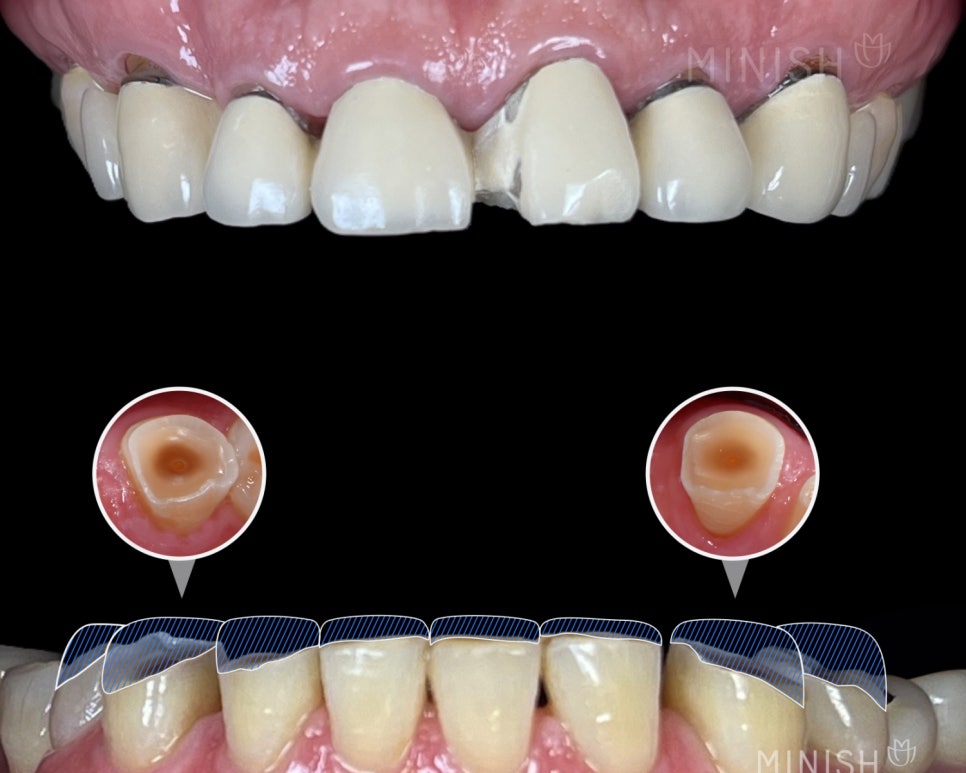
- 미니쉬를 제거할 때 자연치아를 깎나요?
당연히 아닙니다. 정상적인 자연치아를 의도적으로 손상시키는 치과의사는 없습니다.
- 미니쉬는 얇은데 깨지진 않나요?

동일인물 2014년도 촬영 (좌), 2022년도 촬영(우)
많은 분들이 궁금해하는 부분입니다.
미니쉬는 특허 기술을 기반으로 치아와 하나처럼 결합됩니다. 종이 한 장은 약하지만 여러 장이 겹치면 단단해지는 것처럼, 충분한 결합이 이루어지면 쉽게 깨지지 않습니다. 앞니 미니쉬는 18년 이상, 어금니 미니쉬는 10년 이상 문제 없이 유지되고 있습니다.
미니쉬와 라미네이트는 목적도, 접근 방식도, 사용하는 기술도 모두 다릅니다. 어떤 선택이 더 좋은지가 아니라 내 치아 상태와 목표에 무엇이 맞는지를 이해하는 것이 가장 중요합니다. 정보가 많아질수록 더 혼란스러워질 수 있지만, 기본 원리와 차이를 정확히 알고 비교해 보면 스스로 판단하기가 훨씬 쉬워집니다.
앞서 정리한 내용이 선택에 도움이 되었다면 좋겠습니다. 더 궁금한 점이 있다면 언제든 편하게 문의 주시길 바랍니다. 여러분의 치아가 오래 건강하게 유지될 수 있도록 앞으로도 정확한 정보를 꾸준히 전달 드리겠습니다. 😊


Explore More
Keep Browsing This Clinic's Korean Content Trail.
Return to the source archive for more posts, or move back to the clinic profile to compare the rest of the clinic's public channels.