미니쉬치과병원ㅣMinish Dental Hospital ㅣミニッシュ歯科病院ㅣ美尼仕牙科医院ㅣ美尼仕牙科醫院
치료 후 시림, 정상인가요? 유승연 원장이 직접 답했습니다
치과 치료 후 “이가 시려요”라는 말을 하는 분들이 많습니다. 치료가 잘못된 건 아닐까 걱정되지만, 대부분은 치아가 회복되는 자연스러운 과정입니다. 상처가 아물 때 따끔거리는 것처럼, 치료 후 시림도 일시적인 현상일 수 있습니다. 이번 글에서는 유승연 원장이 치료 후 시림이 생기는 원인과 관리 방법을 직접 설명했습...

치과 치료 후 “이가 시려요”라는 말을 하는 분들이 많습니다. 치료가 잘못된 건 아닐까 걱정되지만, 대부분은 치아가 회복되는 자연스러운 과정입니다. 상처가 아물 때 따끔거리는 것처럼, 치료 후 시림도 일시적인 현상일 수 있습니다. 이번 글에서는 유승연 원장이 치료 후 시림이 생기는 원인과 관리 방법을 직접 설명했습니다.
치료 후 시림의 원인
① 치수 내부 염증 반응

세균이 있는 경우 5주 이후에도 심한 염증(검정)이 지속되지만 세균이 없는 경우는 5주 이후 대부분 경미한 반응(흰색)으로 감소 출처: J Camps, Dent Mater, 2000
치료 과정에서 치아 내부(치수)에 열 자극이 가해지거나, 잔존 상아질이 얇거나, 세균이 남아 있는 경우 치수 염증 반응이 생길 수 있습니다. 상아질이 1mm 이상 남아 있다면 대부분은 자연 회복이 가능하며, 약 4~5주 정도면 시린 증상이 완화됩니다. 특히 충치가 있었던 치아는 세균 침투로 인해 염증이 오래 지속될 수 있습니다. 2000년 Camp 등의 연구에 따르면 세균이 남아 있는 치아는 5주 이상 염증이 유지되지만, 세균이 없는 경우에는 염증이 급격히 줄어드는 것으로 나타났습니다. 즉, 지속적인 시림의 주된 원인은 치아 삭제량보다 잔존 세균일 가능성이 높습니다.
치료 후 시림의 원인
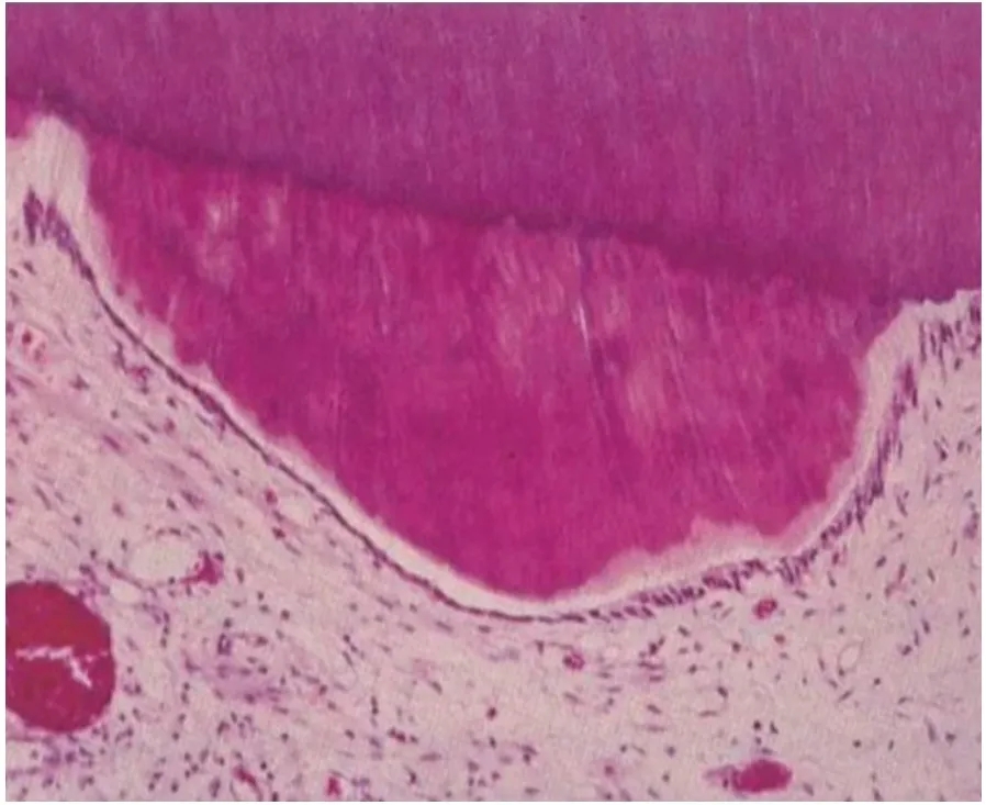
② 외부 자극 전달 구조 형성

치아가 자극에 반응해 스스로 생성한 3차 상아질(분홍색 부분) 모습. 이 층이 형성되면서 외부 자극이 신경으로 전달되는 것을 차단
두 번째 원인은 외부 자극이 신경(치수)로 전달되는 구조가 생기는 경우입니다. 치료 과정에서 치아 목 부위가 자극을 받아 상아세관(미세 통로)이 노출되면, 외부 온도나 음식 자극이 내부로 쉽게 전달되어 시림이 생길 수 있습니다. 또는 수복물과 치아 사이에 미세 누출(microleakage)이 발생하면 시린 증상이 나타날 수 있습니다. 이때 치아는 스스로 3차 상아질(tertiary dentin)을 형성해 자극 전달을 차단하려 합니다. 3차 상아질은 치료 후 약 4~5주 후부터 생성이 활발해지고, 3개월 정도 지나면 통증이 감소할 가능성이 높습니다.
치료 후 시림 완화를 위한 관리법

치료 후 30일부터 빠르게 생성되기 시작해 90일 이후에는 생성 속도가 현저히 느려진다. 이는 3개월이 회복의 중요한 기준점임을 보여준다.
시린 증상을 줄이기 위해서는 추가 자극을 최소화해야 합니다.
-
차갑거나 뜨거운 음식 피하기
-
딱딱하거나 자극적인 음식 자제
-
시린 치아로 강하게 씹지 않기
-
양치 시 미온수 사용
-
부드러운 칫솔로 조심스럽게 양치하기
이러한 관리만으로도 대부분의 경우 한 달 내 안정되고, 3개월 내 회복됩니다. 다만, 3개월이 지나도 시림이 계속되거나 심해지는 경우에는 재치료나 신경치료가 필요한지 반드시 내원해 확인해야 합니다.
유승연 원장
“치료 후 시림은 자연스러운 회복 과정입니다”

유승연 미니쉬치과병원 원장
유승연 원장은 ‘치료 후 시림은 대부분 일시적인 생리적 현상이며, 치아가 자극에 적응하고 회복하는 과정’이라고 설명합니다. 따라서 과도한 걱정보다는 충분한 시간을 두고 치아를 보호하는 습관이 중요합니다. 다만 안전한 회복을 위해서는 ‘정확한 진단’도 필요합니다. 치료 후 시림은 시간이 지나면 대부분 안정되지만, 3개월 이상 지속되거나 불편함이 커진다면 전문가의 진단을 받아보는 것이 좋습니다. 치아는 빠르게 확인할수록 회복 방향을 더 정확하게 잡을 수 있습니다.


Explore More
Keep Browsing This Clinic's Korean Content Trail.
Return to the source archive for more posts, or move back to the clinic profile to compare the rest of the clinic's public channels.