아카이브 요약
이 페이지의 역할
명동콤비치과의원의 네이버 블로그 원문을 보존한 아카이브 페이지입니다. 치아스토리♡ 카테고리의 임플란트 수술 신중하게 결정하려면 글을 통해 병원의 한국어 정보 제공 방식과 진료 관련 안내 톤을 확인할 수 있습니다.
원문 검증
필요하면 원문 블로그와 병원 프로필로 바로 이동해 문맥을 다시 확인할 수 있습니다.
출처 아카이브 열기아카이브된 블로그 글
명동콤비치과의원 · 콤비덴탈 치과의사 황용인
치아를 잃게 되는 원인은 개인 차가 있겠지만 중년 이전에는 충치나 사고 등으로 치아를 잃게 되는 경우가 많다면 중년 이후에는 치주질환이 심해져서 치아를 한꺼번에 잃게 되는 경우가 더 많다고 할 수 있는데요. 치아를 잃게 되면 임플란트를 받는 것이 요즘 당연시되는 추세이기 때문에 치아가 전혀 없는 무치악의 상...
게시일
2021년 9월 29일
원문 기준으로 확인된 발행일입니다.
카테고리
치아스토리♡
원문 블로그 카테고리를 정리해 함께 표시합니다.
이미지 수
9
현재 아카이브에 연결된 이미지 수입니다.
아카이브 요약
명동콤비치과의원의 네이버 블로그 원문을 보존한 아카이브 페이지입니다. 치아스토리♡ 카테고리의 임플란트 수술 신중하게 결정하려면 글을 통해 병원의 한국어 정보 제공 방식과 진료 관련 안내 톤을 확인할 수 있습니다.
원문 검증
필요하면 원문 블로그와 병원 프로필로 바로 이동해 문맥을 다시 확인할 수 있습니다.
출처 아카이브 열기치아를 잃게 되는 원인은 개인 차가 있겠지만 중년 이전에는
충치나 사고 등으로 치아를 잃게 되는 경우가 많다면
중년 이후에는 치주질환이 심해져서 치아를
한꺼번에 잃게 되는 경우가 더 많다고 할 수 있는데요.
치아를 잃게 되면 임플란트를 받는 것이 요즘 당연시되는
추세이기 때문에 치아가 전혀 없는 무치악의 상태는
치료만 잘 받는다면 충분히 예방할 수 있지만
의료기술이 발전하면서, 다양한 이유로 자연치아를 상실해도
그 기능을 대체할 수 있는 임플란트가 요즘 대중화되고 있는 추세라고 볼 수 있어요
임플란트수술은 치료를 받고 잘 관리하여
얼마나 오랜 기간 수명을 잘 유지하느냐가
관건이기 때문에 임플란트 수술은 치료 결과와 함께
유지 관리를 잘하는 것이 중요하다고 할 수 있어요.

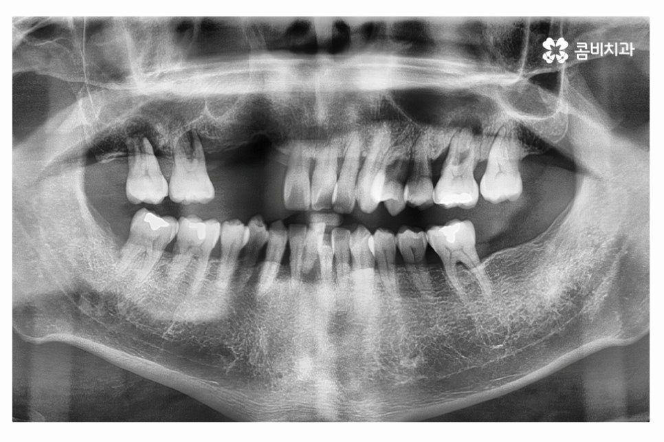
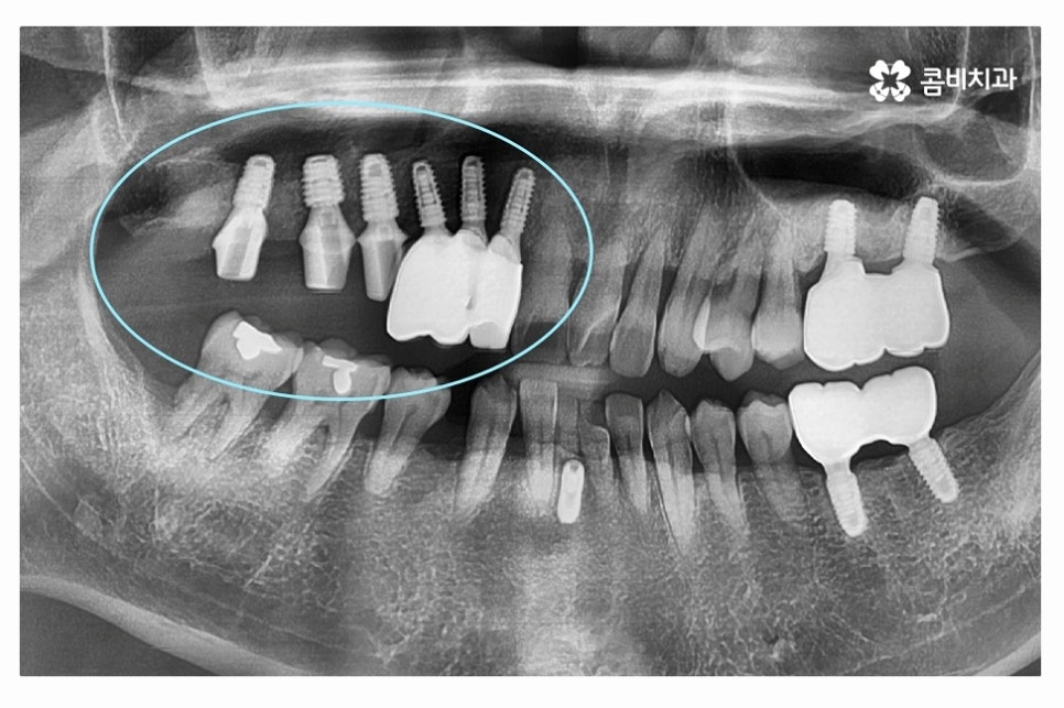
중년 이후에는 치아 상실의 원인이 치주질환으로 인한 경우가
많기 때문에 위 엑스레이 사진에서 보시는 것처럼
치아 자체는 멀쩡해 보이지만 잇몸 상태가 악화되어서
치아를 발치하고 임플란트 수술을 하는 경우가 많다고 볼 수 있어요.
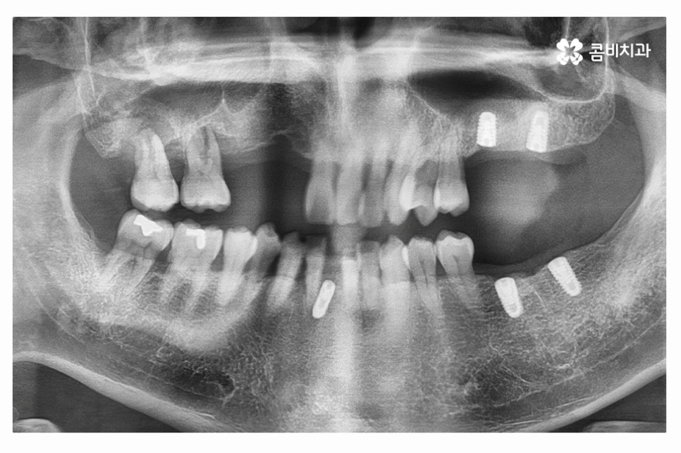
충치로 인해 치아를 잃게 되는 경우에는 치아 하나를
대상으로 임플란트를 하게 되지만 치주질환으로 인해
여러 치아를 한꺼번에 잃게 되는 경우에는 치료비 부담이 클 수 있는데요.
치아를 한꺼번에 잃게 되었을 때
임플란트를 치아를 잃은 개수만큼 식립해야 하나요?
임플란트를 전체 다 심는 경우와 그렇지 않고 브릿지를
통해서 개수를 줄이는 경우가 있는데요.
환자분들의 구강 구조나 잇몸 상태, 전신 건강 등에 따라서
치료 계획은 달라질 수 있겠지만 일반적으로
임플란트를 전체 다 심지 않고 브릿지를 하는 이유는
비용 문제가 크고, 전체적인 상태를 봤을 때 임플란트를 다 식립하는 것보다
브릿지를 하는게 장점이 더 많은 환자분도 계시며
간혹 잇몸 뼈가 부족하여 임플란트를 식립할 수 없는 경우에 브릿지를 하는 경우도
있는데 이러한 경우는 드문 경우라고 할 수 있어요.
임플란트의 경우 치아를 잃은 만큼 식립하는 것이 더 좋은 경우도
있고 브릿지가 더 좋은 경우도 있기 때문에
보다 적합한 치료 방법과 계획은 환자분들에 따라 달라질 수 있는데요.
예를 들어 잇몸 뼈의 상태도 좋고 임플란트 수술 비용에 대한
부담도 감수할 수 있다면 모두 다 심는 것이 좋은데
이렇게 모두 식립을 하면 장점이 교합력이 분산될 수 있으며
만약 임플란트 1개에 뼈나 염증 등의 문제가 발생하더라도
1개만 제거하고 브릿지를 통해서 치료를 할 수 있어요.
하지만 브릿지를 한 상황에서는 맨 끝 임플란트에
문제가 발생한 경우에는 재수술이 복잡해질 수 있는데요.
그렇다고 치아를 잃게 된 만큼 임플란트를 전체 다 식립하는 것이
무조건 좋은 것은 아닌 게 임플란트를 너무 촘촘하게 심으면
압력으로 인해서 뼈가 녹을 수 있어요.
결론적으로는 적당한 간격으로 임플란트 수술이 이뤄져야 하기 때문에
환자분의 잇몸 뼈 상태도 중요하고 의사의 실력과 경험이
매우 중요하다는 점도 크기 때문에 정확한 검진을 통해서
치료 계획을 잘 세우고 사후관리도 철저하게 하실 필요가 있어요.


임플란트의 구성을 살펴보면 치아를 발치한 후에는 임플란트의
인공치근을 심게 되며(사진에서 좌측), 인공치근에
지대주(사진에서 우측)를 연결한 후에 지대주에 보철물을 연결하게 되며
임플란트가 단단하게 고정되기 위해서는 잇몸 뼈와
인공치근의 골 유착 과정을 건강하게 거쳐야 할 필요가 있어요.
우측 사진의 경우 힐링어버트먼트를 장착한 모습인데, 일반적으로는
1차 수술을 마치고 약 1개월 정도 후 임플란트 어버트먼트가 들어가기 전에
어버트먼트가 잘 들어갈 수 있도록 잇몸의 모양을 잡아 주기 위해 장착을 하며,
잇몸뼈가 건강하고, 식립이 잘 되었다면 1차 수술을 하면서 바로
힐링어버트먼트를 장착하는 경우도 있지만, 정석은 2차 수술 때 장착을 하는 경우라고 할 수 있어요.

위 이미지처럼 인공치근이 잇몸뼈와 단단하게
골 유착 과정을 거치면 자연치아와 거의 비슷한 수준의 저작력을 회복할 수 있어요.
수술이 잘 된 경우 환자분의 치아의 모양에 맞게 어버트먼트를 제작하기 위하여
위 사진처럼 코핑이라는 것을 연결하고 임상을 뜨는 과정을 거친다고 볼 수 있어요


치주질환으로 인해 치아의 상당수를 한꺼번에 잃게 되면
임플란트의 저작력이 분산되는 것이 임플란트 수명 유지나
저작력의 부담을 줄이기에 유리하기 때문에
현재 구강 상태에 맞춰 1:1 맞춤 치료 계획을 세울 필요가 있어요.

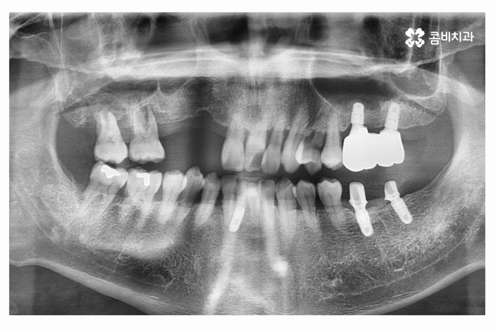
임플란트를 위 사례처럼 여러 개를 식립할 경우에는
크라운을 여러 개를 이어 붙이게 되며 보통은 3~4개 정도 연결할 수 있고
4개가 넘어갈 경우에는 나눠서 연결하고 크라운을 씌우는 과정을 거칠 수 있어요.


임플란트 수술에는 치료 비용도 무시할 수 없겠지만
노년의 치아를 한꺼번에 잃게 된 경우에는
잇몸 뼈 상태가 좋지 않은 경우가 대부분이고
당뇨나 고혈압 등 전신질환을 앓고 계신 경우도 많기 때문에
자연치아를 대신해야 하는 치료를 받는 만큼
건강하고 안전하게 치료를 하고 부작용이 발생하지
않도록 주의해서 수명을 유지하는 것이 관건이라고 할 수 있어요.
본 글은 콤비치과의 의료광고 포스팅이며
개인에 따라 출혈 및 부작용이 발생할 수 있습니다.