명동콤비치과의원 (명동)
인접면 충치 어떻게 하나요
충치는 시간을 두고 단계적으로 진행하는 구강 질환이기 때문에 초기에 발견하여 빠르게 대처해 주는 것이 구강 건강을 위해 보다 바람직한 방법이라 할 수 있습니다. 흔히 우리가 충치라고 부르는 치아 우식증은 발생 위치에 따라 두 가지 종류로 나눌 수 있는데요. 보통 위아래 치아가 마주보는 교합면에 생기는 충치는 육...
아카이브 요약
이 페이지의 역할
명동콤비치과의원 (명동)의 네이버 블로그 원문을 보존한 아카이브 페이지입니다. 치아스토리♡ 카테고리의 인접면 충치 어떻게 하나요 글을 통해 병원의 한국어 정보 제공 방식과 진료 관련 안내 톤을 확인할 수 있습니다.
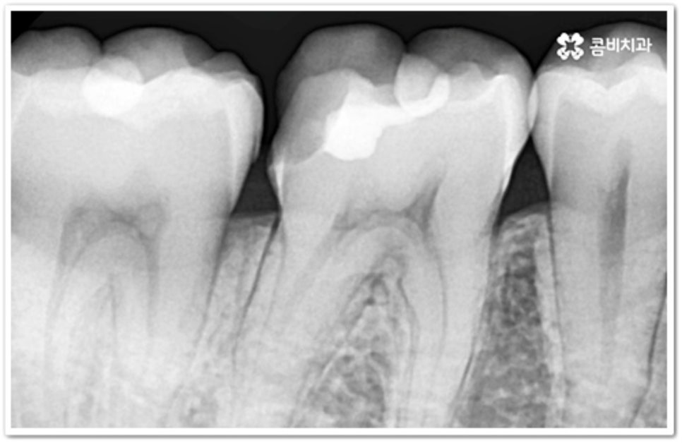
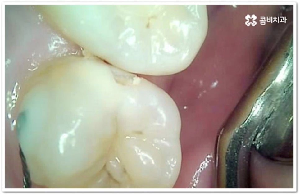
충치는 시간을 두고 단계적으로 진행하는 구강 질환이기 때문에 초기에 발견하여 빠르게 대처해 주는 것이 구강 건강을 위해 보다 바람직한 방법이라 할 수 있습니다. 흔히 우리가 충치라고 부르는 치아 우식증은 발생 위치에 따라 두 가지 종류로 나눌 수 있는데요. 보통 위아래 치아가 마주보는 교합면에 생기는 충치는 육안으로 발견할 가능성이 높고 접근이 용이하기 때문에 치료가 쉬운 편이지만, 치아 사이에 생기는 인접면 충치 는 맞닿은 치아로 인해 노출이 잘 되지 않기 때문에 발견도 어렵고 상황에 따라 치료할 때 기구를 손상 부위까지 닿게 하기 위해 치아 삭제가 많이 이루어져야 하는 경우도 있는 등 좀 더 까다로울 수 있어요.
그렇기 때문에 인접면에 생기는 충치의 경우 미리 예방을 잘 해 주는 것이 중요한데, 1년에 한 번 또는 두 번 정기적으로 치과에 내원하여 정밀 검진을 받아 충치가 발생하지 않았는지 확인하고 초기에 충치 치료를 진행해 주거나 스케일링 처치를 통해 꼼꼼하게 관리해 주면 도움이 될 거예요. 또한 집에서 양치질을 할 때 치실이나 치간 칫솔을 사용하여 치아 사이사이에 음식물 찌꺼기가 남아있지 않도록 철저하게 위생 관리를 해 주시길 권유드리고 있습니다.


치아의 구조를 살펴보면 안쪽의 무른 조직을 감싸고 있는 단단한 바깥쪽 법랑질은 교합면에서 가장 두껍고 잇몸쪽으로 갈수록 얇아지기 때문에 인접면에 생긴 충치의 경우 조금만 진행 되어도 손상이 내부 신경까지 보다 빠르게 번질 수 있어요. 신경치료를 받은 치아는 정상 치아에 비해 외부 충격에 취약해지므로 가능한 한 그 단계에 이르기 전에 적절한 치료를 받으실 필요가 있는데요.
하지만 앞니가 아닌 안쪽 어금니의 인접면 충치 라면 증상이 없고 발견이 쉽지 않기 때문에 초기에 발견하고 치료를 하는 것이 힘들 수 있어요. 그렇기 때문에 평상시에 꾸준히 검진을 받고 치실을 사용하여 칫솔질을 꼼꼼하게 해 주는 것이 더욱 중요한 거예요.



특히 미취학 아동의 경우 양치질을 섬세하게 하지 못하는 데다가 유치의 특징 (영구치보다 법랑질의 두께가 반정도 밖에 되지 않으며, 치아 사이 맞닿는 부분이 좀 더 평평하기 때문에 치아끼리 붙어있는 면적이 넓음) 으로 인해 인접면 충치 가 자주 발생할 위험이 있어요. 물론 유치는 영구치로 교체 될 치아이지만 그렇다고 충치가 심해지면 주변 잇몸까지 손상이 커지고 유치가 일찍 빠지게 되어 곤란할 수 있으니 부모님들께서 관심을 가지고 꾸준히 자녀의 구강 상태를 체크하는 것이 좋을 거예요.
예를 들어 보기에는 별다른 이상이 없지만 최근에 구취가 심하게 난다거나 아이가 단단한 음식을 씹을 때 약간 시큰거린다고 한다면 인접면 충치 를 의심해 볼 수 있는데요. 병증이 심해지기 전에 알맞은 치료를 받도록 해 주시고 혹시라도 유치가 조기 탈락하게 된 경우 나중에 영구치가 나올 자리가 좁아지면서 치열이 흐트러지거나 아이가 커감에 따라 턱관절 문제가 유발될 수도 있으니 공간 유지 등 상황에 맞게 필요한 조치를 취해주시길 권유드리고 있습니다.


사실 충치는 남녀노소 불문하고 굉장히 흔하게 발생할 수 있는 구강 질환이며 말씀드린 것처럼 인접면 충치 의 경우 조기 식별이 쉽지 않고 병증이 빠르게 진행되는 특징을 가지고 있기 때문에 관리가 조금만 소홀해도 충치가 심해질 때까지 적절한 대처를 하지 못하는 경우가 많이 있어요. 그러므로 예방의 중요성은 나이와 상관없이 아무리 강조해도 지나치지 않겠지만 특히 20살 전후 잘못 맹출된 사랑니로 인해 관리가 잘 안 되면서 맨 뒷 어금니에 손상을 입는 경우가 종종 있으니 사랑니 날 때 즈음에는 인접면 충치 검진을 더욱 신경써서 해 주시길 바라고 있습니다. 잇몸 속에 누워 매복되어 있거나 부분적으로 맹출된 사랑니의 경우 주변 어금니에 좋지 않은 영향을 주는 것은 물론 전체 구강 건강에 문제를 일으킬 가능성이 높으며 시간이 지날수록 사랑니 주변 뼈가 단단해지고 염증 반응이 심해지면서 뽑는데 어려움을 겪을 수 있으니 무섭다고 방치하지 말고 될 수 있는대로 빠르게 발치해 주는 것이 좋을 거예요.


인접면에 충치가 생겼을 때 치료 과정은 손상 정도에 따라 달라질 수 있는데 만약 아주 경미하다면 바로 레진으로 이를 수복할 수 있겠지만 치아 경계면이 무너졌다면 직접적인 레진 수복으로는 생리학적 형태를 재현하기 까다롭기 때문에 본을 떠서 외부에서 금이나 세라믹 보철물을 만들어 끼워넣는 간접적인 방법을 통해 도움을 받을 수 있어요. 환자분들의 상황에 따라 치아 일부만 수복해야 할 때는 인레이 치료를 하고 손상이 크면 신경치료를 한 후 필요시 내부에 기둥을 세우고 치아 전체를 다듬어 씌우는 크라운 치료를 이용하게 될 거예요.
신경치료를 통해 감염된 부분을 모두 드러내야 한다면 이미 병증이 많이 진행되었다는 의미이기 때문에 치료 시간과 비용 부담이 늘어나고 예후도 그리 좋지 않을 수 있어요. 그럼에도 불구하고 자연 치아를 살릴 수 있다면 가능한 한 수명을 늘리는 방향으로 보존 치료를 해 주는 것이 좋으니 구강 건강을 위해 치료 시기를 더 늦추지 않도록 주의하시길 권유드리고 있습니다.
본 글은 콤비치과의 의료광고 포스팅이며
개인에 따라 출혈 및 부작용이 발생할 수 있고,
환자마다 치료 결과 및 기간이 상이할 수 있습니다.
더 보기
이 병원의 공개 콘텐츠를 계속 살펴보세요
출처 아카이브로 돌아가 더 많은 글을 보거나, 병원 프로필로 이동해 다른 공개 채널도 함께 비교해보세요.