명동콤비치과의원 (명동)
충치 통증 참지마세요
흔히 치과를 찾게 되는 원인 중 하나인 충치는 보통 위아래 치아가 맞닿는 교합면, 즉 우리가 식사를 할 때 음식물을 잘게 자르고 갈아주는 역할을 하는 씹는면에 발생할 가능성이 가장 크다고 할 수 있습니다. 그 이유는 교합면의 모양을 생각해 보면 잘 알 수 있는데요. 한 예로 우리가 거울 앞에서 입을 크게 벌렸을 때...
아카이브 요약
이 페이지의 역할
명동콤비치과의원 (명동)의 네이버 블로그 원문을 보존한 아카이브 페이지입니다. 치아스토리♡ 카테고리의 충치 통증 참지마세요 글을 통해 병원의 한국어 정보 제공 방식과 진료 관련 안내 톤을 확인할 수 있습니다.
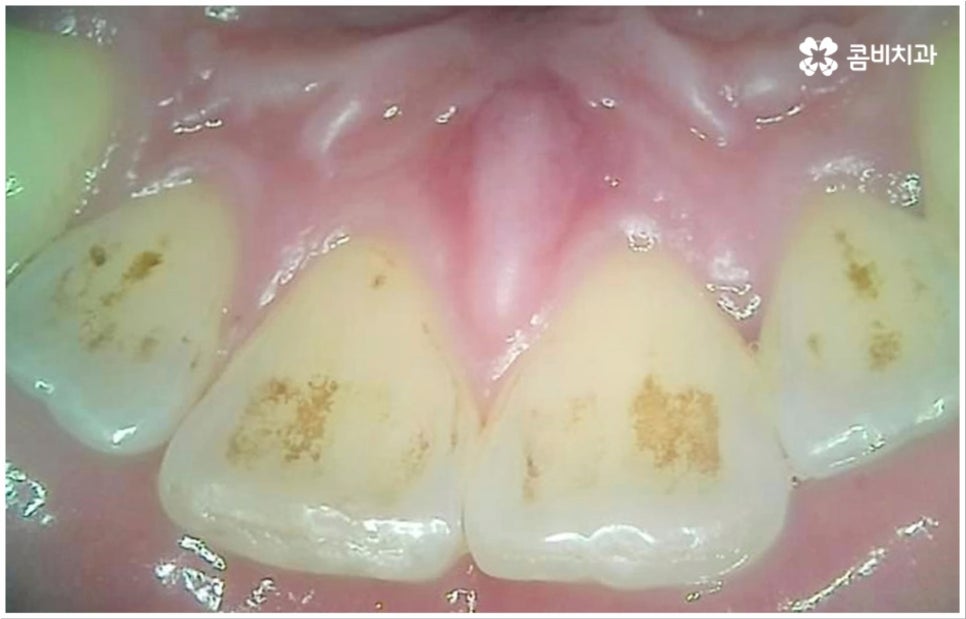
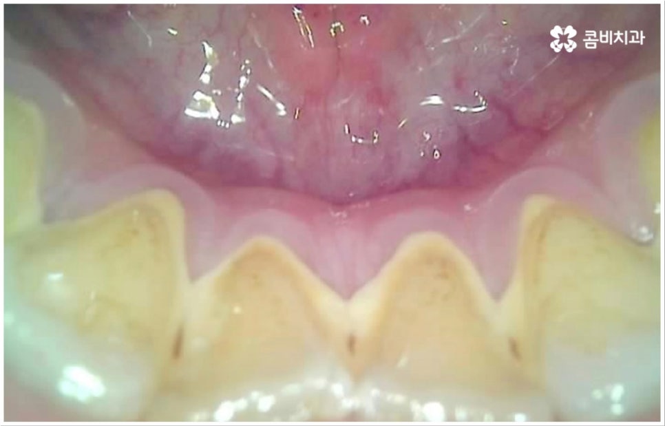
흔히 치과를 찾게 되는 원인 중 하나인 충치는 보통 위아래 치아가 맞닿는 교합면, 즉 우리가 식사를 할 때 음식물을 잘게 자르고 갈아주는 역할을 하는 씹는면에 발생할 가능성이 가장 크다고 할 수 있습니다. 그 이유는 교합면의 모양을 생각해 보면 잘 알 수 있는데요. 한 예로 우리가 거울 앞에서 입을 크게 벌렸을 때 쉽게 살펴볼 수 있는 아래 어금니의 교합면을 생각해 보면 윗면이 평평한 게 아니라 볼록하게 올라온 부위(교두)와 그 사이의 깊은 홈(구)으로 이루어져 있기 때문에 식사 후 치아 사이나 이 홈 부분에 음식물 찌꺼기나 침 등이 잔존할 가능성이 많은데, 이를 깨끗하게 제거해 주지 않으면 여기서 세균이 급증하여 충치 등 구강 질환이 발생할 빈도수도 높아지게 되는 거예요.


이러한 교합면 충치는 비교적 관찰이 쉽고 접근 역시 용이하기 때문에 조금만 주의를 기울이면 충분히 예방 또는 초기 치료를 할 수 있습니다. 물론 완전 초기 단계에서는 신경이 없는 치아 겉면인 법랑질부터 우식이 일어나기 때문에 충치 통증 도 거의 없고 육안으로 구별해 낼 수 있는 특징 (색깔 변화 등) 도 미미하므로 환자분들의 입장에서 충치가 발생했다는 것을 인지하기 어려울 수 있어요. 이와 같이 자기도 모르게 발생했을지 모를 충치에 대해 예방 및 조기 대처를 하기 위해서는 1년에 한 번 또는 두 번 정도 치과에 정기적으로 내원하셔서 꼼꼼하게 검진을 받으시는 것이 구강 건강을 지키기 위한 보다 바람직한 방법이 될 거예요.
여기서 우리가 더욱 주의를 기울여야 할 점은 병증이 조금 더 진행되어 자각 증상이 막 생겼을 때 시기를 놓치지 않고 바로 치료를 받아야 한다는 데 있어요. 이 때도 비교적 초기에 속하기 때문에 손상이 일어난 부위만 깨끗하게 삭제하고 레진으로 직접 때워주는 방식으로 치료할 수 있는 케이스가 대부분일 거예요. 물론 치료 내용은 자세한 상황에 따라 달라지겠지만 보통 약간 시리거나 찌릿하는 충치 통증 을 처음 느끼는 것은 법랑질 안 쪽의 상아질에 손상이 막 일어나기 시작하는 무렵이므로 이 시기에는 좀 더 빠르고 (보통 하루 만에 치료가 끝남) 간편한 직접 수복이 가능하기 때문에 환자분들의 입장에서도 의료진의 입장에서도 치료가 수월하며, 자연 치아의 삭제량이 적은 만큼 앞으로 관리를 잘 해 주면 해당 치아의 수명이 보다 길어질 수 있다는 점에서 구강 건강에 훨씬 유리하니 이 점을 유념하시고 치과 내원을 미루지 않으시길 권유드리고 있습니다.


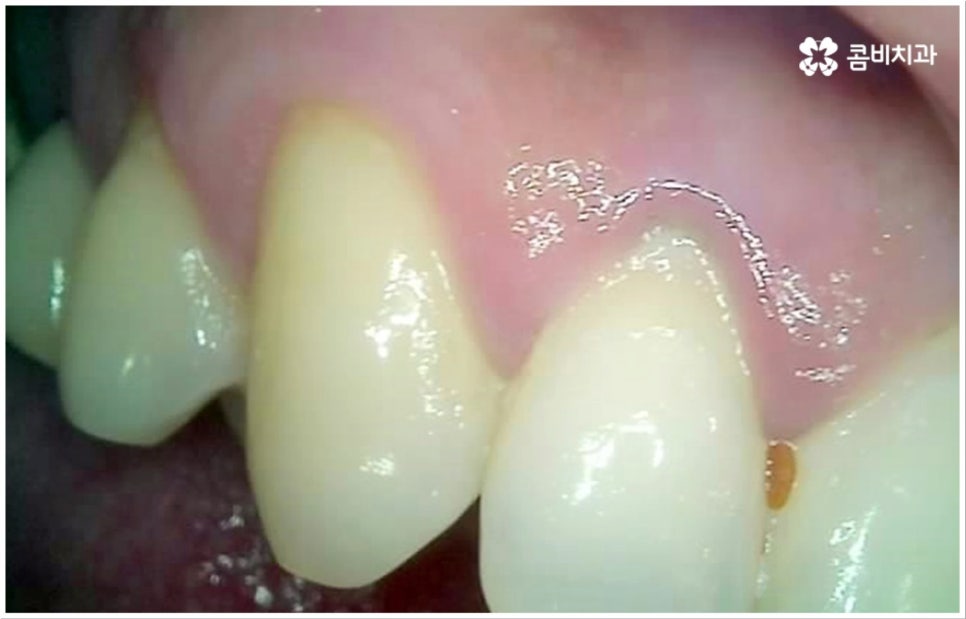
많은 분들이 살면서 한 번쯤 앓아봤을 충치는 이와 같은 교합면에만 발생하는 것이 아니라 치아와 치아 사이 인접면에 발생할 수도 있는데요. 인접면 충치는 치아끼리 맞닿은 좁은 틈새에 음식물 찌꺼기가 잘 끼고 또한 이것이 양치질을 통해서도 쉽게 빠지지 않아 관리가 어렵기 때문에 생기는 경우가 많은데, 교합면 충치에 비해 발견과 치료가 어려운 편이라고 할 수 있어요.
물론 앞니 등 노출이 되는 부위의 인접면 충치는 비교적 쉽게 알아차릴 수 있고 치료를 위한 접근 역시 용이한 편이나 어금니 인접면 충치 같은 경우 바로 드러나는 부위가 아니므로 육안으로 식별이 잘 되지 않고 엑스레이를 찍어도 초기에는 확인이 어려워 어느 정도 병증이 진행된 후 발견하게 되는 경우가 종종 있는데요. 치아의 인접면은 교합면에 비해 상대적으로 법랑질이 얇기 때문에 상아질 안 쪽 치수 신경까지 세균이 침투하는 속도가 빨라서 자칫 치료 시기를 놓치면 충치 통증 이 많이 심해지고 신경 치료까지 진행해야 하는 상황까지 발생할 수 있으니 조심하실 필요가 있습니다.


치아 가장 안 쪽의 신경관까지 세균으로 오염되었다면 신경 치료를 통해 변성된 신경을 제거하고 신경관(근관)을 소독 밀봉한 후 남아 있는 자연 치아를 보호하기 위해 크라운을 씌우게 되는데, 환자분들 중에 이러한 보철치료 후 더이상 시리거나 쑤시는 등의 충치 통증 이 느껴지지 않아 해당 치아에 앞으로 남은 평생 아무런 문제가 생기지 않을 거라 오해하시는 분들이 더러 있어요. 하지만 보철물에도 수명이 있기 때문에 주기적으로 마모 정도 및 미세 파절 여부를 검진한 후 필요시 교체해야 하며 시간이 지나면서 보철물과 치아 사이 미세한 틈이 발생할 수 있어 그 사이로 세균이 침입한다면 2차 충치가 유발될 가능성도 있으니 주의하실 필요가 있습니다.


통상적으로 보철물의 주기는 10년이라고 알려져 있으나 환자분들의 평상시 식습관이나 구강위생 관리 여부 등에 따라 자세한 상황은 달라질 수 있기 때문에 지속적인 관찰을 통해 파절, 탈락, 2차 충치 등의 문제가 생기지 않도록 관리하는 것이 중요하다고 할 수 있어요. 특히 신경이 제거된 상태라면 충치 통증 을 느끼지 못할 것이므로 혹여 치아를 살리기 어려울 정도로 2차 충치가 심각해 질 때까지 발견하지 못하는 상황이 생기지 않도록 정기 검진을 철저하게 하고 스케일링 치료를 통해 구강 내부를 청결하게 유지해 주는 것이 필요할 거예요.


스케일링 치료는 구강 내 치석을 물리적으로 제거해 주는 거예요. 치석은 입 속 세균이 음식물 찌꺼기와 엉겨붙어 딱딱하게 굳어진 것을 말하는데 치아와 치아 사이, 치아와 잇몸 사이에 달라붙어 보통 칫솔질로는 제거되지 않으며 세균이 증식하는 온상이 되기 때문에 주기적으로 스케일링 치료를 통해 떼어내 줄 필요가 있습니다. 구강 질환의 원인에는 여러 가지가 있지만 치석으로 인한 것이 그 중 큰 부분을 차지하고 있기 때문에 스케일링 치료로 치석만 제대로 제거해 주어도 구강 건강을 위한 훌륭한 예방책이 될 수 있어요.
보통 성인의 경우 스케일링 주기를 1년에 한 번 또는 두 번 정도로 잡으면 충분하지만 사람에 따라 단 것을 좋아하는 식습관이나 고르지 못한 치열, 침이 자주 마르거나 면역력이 떨어지는 등 구강 내외부 환경의 영향으로 인해 치석이 유독 자주 쌓이는 분들이 있을 수 있는데 그런 경우에는 1년에 3~4번 정도로 주기를 변경하시는 게 좋을 거예요. 이 밖에도 신경 치료나 잇몸 질환 치료를 받은 분들 역시 좀 더 신경써서 검진 및 스케일링 치료를 자주 받는 것이 필요할 수 있어요. 구강 질환에 대한 예방과 초기 치료를 위해 필수적이라고 할 수 있는 스케일링은 1년에 한 번 건강 보험을 통해 보다 저렴한 가격으로 이용해 보실 수 있으니 이에 대해서도 잘 알아보시면 도움 받으실 수 있을 거예요.
본 글은 콤비치과의 의료광고 포스팅입니다.
개인에 따라 출혈 및 부작용이 발생할 수 있고,
환자마다 치료 결과 및 기간이 상이할 수 있으므로,
정확한 치료 기간 및 치료 계획은
가까운 치과에서 상담을 받아보시길 권장 드립니다.
더 보기
이 병원의 공개 콘텐츠를 계속 살펴보세요
출처 아카이브로 돌아가 더 많은 글을 보거나, 병원 프로필로 이동해 다른 공개 채널도 함께 비교해보세요.