명동콤비치과의원 (명동)
임플란트수명 연장하려면?
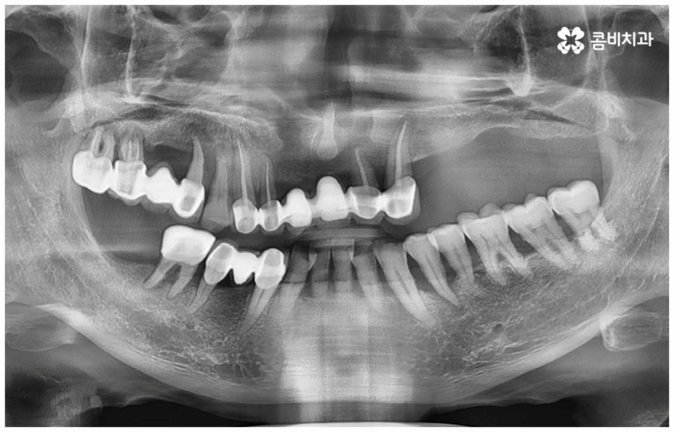
사람의 치아는 총 32개 (상하좌우 사랑니 4개 포함) 인데 통계 자료에 따르면 40대의 평균 잔존 치아는 27.6개인 반면 70대 이상이 되면 14.2개로 줄어드는 것을 알 수 있어요. 보통 20개 (위 10개, 아래 10개) 이상의 자연 치아가 남아 있어야 식사 때 음식을 제대로 씹어 먹을 수 있는데 만...
아카이브 요약
이 페이지의 역할
명동콤비치과의원 (명동)의 네이버 블로그 원문을 보존한 아카이브 페이지입니다. 치아스토리♡ 카테고리의 임플란트수명 연장하려면? 글을 통해 병원의 한국어 정보 제공 방식과 진료 관련 안내 톤을 확인할 수 있습니다.
사람의 치아는 총 32개 (상하좌우 사랑니 4개 포함) 인데 통계 자료에 따르면 40대의 평균 잔존 치아는 27.6개인 반면 70대 이상이 되면 14.2개로 줄어드는 것을 알 수 있어요. 보통 20개 (위 10개, 아래 10개) 이상의 자연 치아가 남아 있어야 식사 때 음식을 제대로 씹어 먹을 수 있는데 만 65세 이상 인구 중 치아를 20개 이상 가지고 있는 비율은 반 정도 (50.5%) 밖에 되지 않으므로 혹시라도 사고나 질병으로 치아를 잃게 되었을 때 이를 기능적 심미적으로 대체할 수 있는 방법에 대해서 잘 알아두실 필요가 있습니다.
만약 치아를 손실 또는 상실하였는데도 적절한 대처를 하지 않고 오랜 시간 그대로 방치하게 되면 해당 부위의 잇몸뼈가 점차 흡수되어 녹게 되고 주변 치아가 빈 공간으로 움직이게 되어 추후 필요한 치료를 진행하고자 할 때 공간이 비좁아지고 바탕이 되는 잇몸뼈가 많이 부족하게 되는 등 어려운 상황이 되기 때문에 주의하실 필요가 있어요. 또한 저작력이 떨어져서 소화 기관에 지속적으로 부담을 주게 되고 결과적으로 영양 불균형을 초래할 수 있으며 나중에는 치매까지 유발될 수 있으므로 무심하게 넘어가시지 말고 제 때 치료를 받으시길 권유드리고 있습니다.


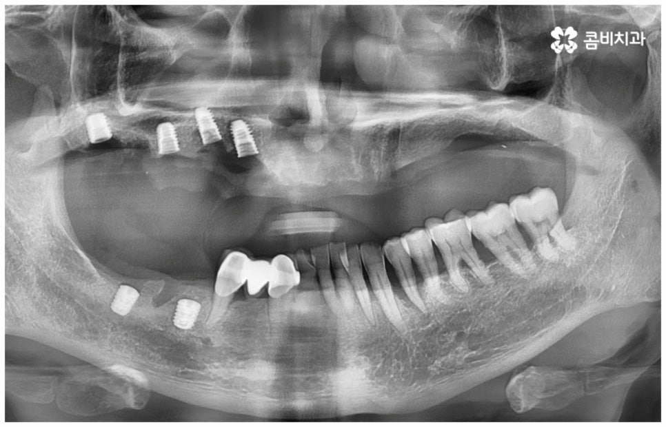
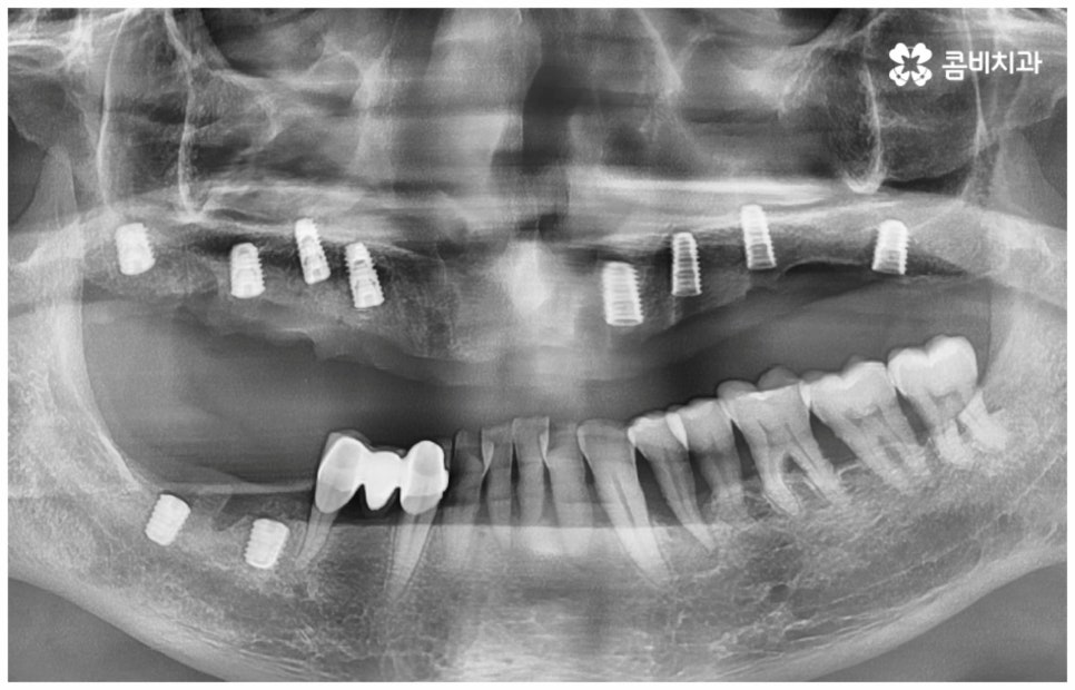
치아를 잃게 되었을 때 대처법으로 예전에는 틀니나 브릿지 시술을 많이 이용했지만 요즘은 임플란트 시술이 대세라고 할 수 있어요. 임플란트란 잇몸뼈에 직접 티타늄으로 된 인공 치근을 식립하고 중간 부위 (지대주) 와 크라운 보철물을 차례대로 결합하여 상실한 자연 치아 대신 쓰는 것으로 원래 치아의 80~90% 정도 저작력을 회복하여 식사시 음식 종류에 크게 구애받지 않을 수 있고 겉에서 봤을 때 주변 치아와 자연스럽게 어우러지기 때문에 만족도가 높은 편이라 많은 분들이 이용하고 있습니다.
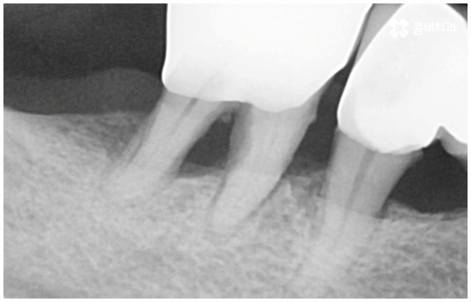
임플란트는 직접 식립하는 방식을 이용하기 때문에 바탕이 되는 잇몸뼈의 건강 상태가 임플란트 식립 성공률과 임플란트수명 (안정성 및 지속성) 에 크게 영향을 미치게 되므로 꼼꼼한 검진 후 임플란트 시술을 받게 된 원인, 환자분의 상황 (나이, 당뇨 등 전신 질환 여부, 생활 습관 등) 을 종합적으로 분석해서 사전에 필요한 치료가 있다면 먼저 진행을 하거나 담당 주치의와의 협진 등 각자에게 꼭 맞는 계획을 수립하여 무리하지 않게 식립을 진행하는 것이 중요하다고 할 수 있어요.


임플란트를 하게 되는 원인은 크게 두 가지로 나누어 볼 수 있는데 내적인 원인과 외적인 원인이 그거예요. 내적인 원인으로는 노화 및 구강 질환 등을 들 수 있고 외적인 원인으로는 외부 충격을 들 수 있는데요. 예를 들어 만약 비교적 젊은 나이에 별다른 전신 질환 (ex. 당뇨) 또는 구강 질환을 앓고 있지 않았던 환자분이 갑작스럽게 차사고 등으로 인해 치아가 크게 부러지거나 빠지게 되었다면 잇몸뼈 자체의 건강 상태는 양호할 가능성이 높기 때문에 꼼꼼하게 검진을 해 본 후 즉시 임플란트 식립 방식 (당일에 치근을 심고 임시 크라운까지 연결하여 바로 식사를 할 수 있는 방식) 을 통해서 보다 빠르고 간편하게 수복을 할 수 있을 거예요.
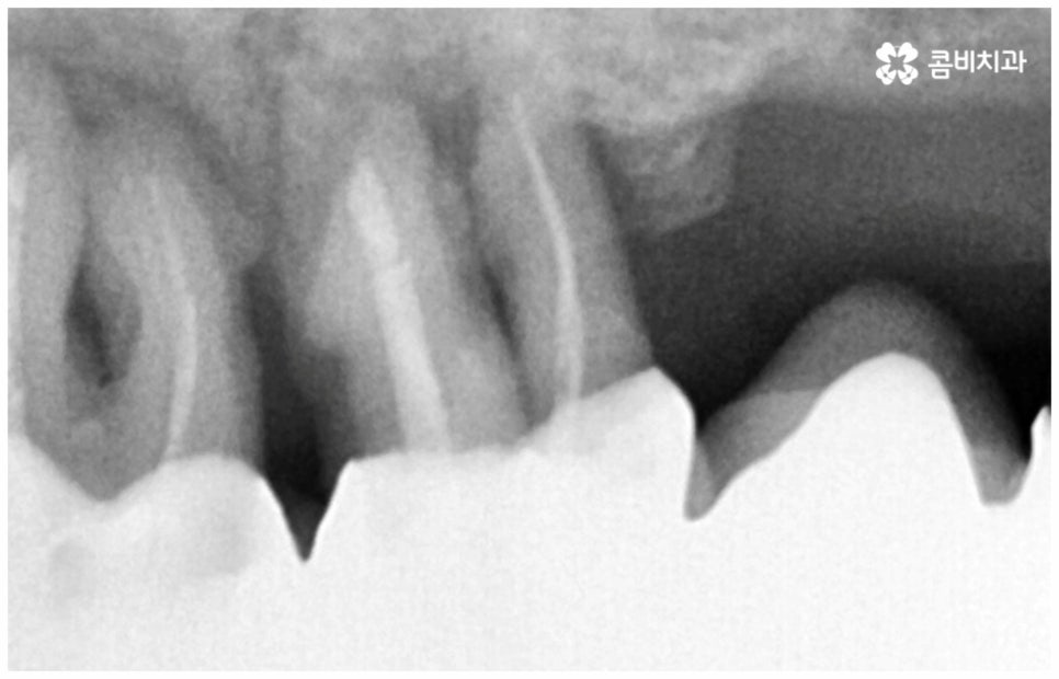
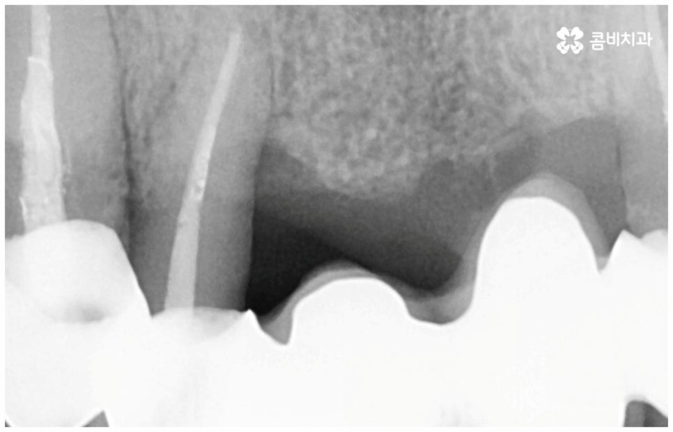
그러나 노화나 구강 질환을 원인으로 한 경우에는 식립 절차가 좀 더 복잡해 질 수 있는데요. 잇몸병을 예로 들어 생각해 보면 자연스러운 노화 및 관리 소홀로 인해 치아 주변 조직 (잇몸, 치주인대, 치조골 등) 에 염증 반응이 생기는 병인 치주 질환이 많이 심해졌을 때 상황에 따라 해당 자연 치아를 살리지 못하고 발치를 해야할 수도 있는 거예요. 이렇게 치주질환을 이유로 임플란트 식립을 진행할 때에는 식립 성공률을 높이고 임플란트수명 을 늘리기 위해 먼저 치주질환 치료를 선행해 줘야 하며, 환자분들의 상황에 따라 뼈이식 또는 상악동 거상술을 통해 잇몸뼈를 보충해 줘야 할 수도 있어요. 치조골이 이미 많이 녹아 있거나 병증이 극심하다면 임플란트 식립 난이도가 매우 높아지거나 때로는 불가능해 질 수 있기 때문에 다양한 임상 경험을 통해 풍부한 노하우를 가지고 있는 의료진에게 진단 및 치료를 받는 것이 굉장히 중요한 포인트라고 할 수 있습니다.


보통 정확한 위치에 식립하고 철저하게 사후 관리를 해 준다면 임플란트수명 은 거의 반영구적이라고 할 정도로 오랫동안 건강하게 사용할 수 있습니다. 그러기 위해서는 처음 식립할 때 환자분들의 상황에 맞게 체계적인 계획을 세워 정밀한 식립을 진행할 수 있는 시술자의 높은 숙련도 외에도 꼼꼼한 검사를 위한 3D-CT 와 같은 정밀 진단 장비를 갖추고 있는지 여부를 살펴보실 필요가 있어요. 이를 통해 환자분들 각각의 구강 구조, 치조골 상태 (밀도나 두께 등), 신경이나 혈관과 같은 주변 조직 등을 정확하게 분석한 다음 오랜 임상데이터를 바탕으로 높은 성공률을 보이고 있는 정품 재료를 사용하여 식립을 진행하는 것이 임플란트수명 을 늘리는데 도움을 주므로 이런 점들 역시 신경써서 살펴보시길 권유드리고 있습니다.


임플란트를 성공적으로 식립했어도 부주의하게 관리하면 얼마 못가 재수술을 받아야 할 수 있기 때문에 주의할 필요가 있어요. 특히 제대로 유착되기 전에 너무 단단하거나 끈끈한 음식을 먹으면서 1차로 식립한 픽스처에 지속적인 자극이 가해져 유착이 안 될 경우 2차 수술 시 픽스처가 빠질 수 있는데요. 그러므로 임플란트수명 을 늘리려면 먼저 인공 치근을 식립한 후 골세포와 결합하여 단단하게 고정되는 골융합 과정이 잘 이뤄질 때까지, 즉 임플란트 시술 후 2~6개월까지는 안정기를 잘 유지해야 하는 거예요. 또한 수술 직후 흡연과 음주는 치조골과 임플란트 사이의 유착을 방해하고 잇몸을 부어오르게 하면서 회복 속도를 늦추기 때문에 일정 기간 동안 만이라도 담배를 피거나 술을 마시는 행위를 되도록 삼가하시길 권유드리고 있어요.


임플란트 치아에는 치아가 받는 충격을 분산시켜 주고 세균 및 외부 이물질이 침투하는 것을 막아주는 역할을 하는 치주 인대가 없기 때문에 위생 관리가 제대로 이뤄지지 않는다면 자칫 임플란트를 지지하는 잇몸에 세균이 증식하여 염증이 생기기 쉬우므로 정기 검진을 통해 임플란트 상태를 지속적으로 관찰하면서 매일의 올바른 칫솔질과 주기적인 스케일링 치료를 통해 구강 내부를 늘 청결하게 관리해 줄 필요가 있어요. 임플란트 치아 자체에는 충치가 생기지 않지만 임플란트 표면에는 치태와 치석이 쌓이기 쉬우며 여기에 증식한 세균이 주변 잇몸 내로 침투해 염증을 유발하게 되면 잇몸이 빨갛게 붓거나 피가 나고 구취가 유발될 수 있어서 주의하셔야 할 거예요. 이러한 임플란트 주위염이 심해지면 잇몸뼈까지 녹아내려 임플란트를 제거하고 재수술을 받아야 하는 경우가 생기기도 하니 철저한 사후 관리 시스템을 갖춘 치과에서 케어받으시길 권유드리고 있습니다.
본 글은 콤비치과의 의료광고 포스팅입니다.
개인에 따라 출혈 및 부작용이 발생할 수 있고,
환자마다 치료 결과 및 기간이 상이할 수 있으므로,
정확한 치료 기간 및 치료 계획은
치과에서 상담을 받아보시길 권장 드립니다.
더 보기
이 병원의 공개 콘텐츠를 계속 살펴보세요
출처 아카이브로 돌아가 더 많은 글을 보거나, 병원 프로필로 이동해 다른 공개 채널도 함께 비교해보세요.