명동콤비치과의원 (명동)
돌출입교정치과 알아보는 기준은
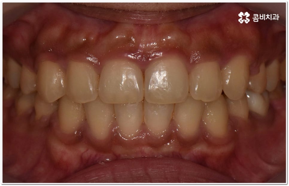
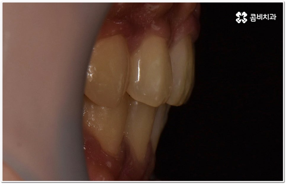
옆에서 봤을 때 코나 턱보다 입이 더 튀어나와 있으면 뾰루퉁한 인상을 줄 수 있고 웃을 때 잇몸이 드러나 콤플렉스처럼 느껴질 수 있는데요. 정도가 심한 경우 입을 꼭 닫고 있기 어려워 자기도 모르게 구호흡을 하게 되면서 여러 구강 질환 및 구취를 유발하게 될 수도 있기 때문에 이러한 심미적 또는 기능적인 이...
아카이브 요약
이 페이지의 역할
명동콤비치과의원 (명동)의 네이버 블로그 원문을 보존한 아카이브 페이지입니다. 치아스토리♡ 카테고리의 돌출입교정치과 알아보는 기준은 글을 통해 병원의 한국어 정보 제공 방식과 진료 관련 안내 톤을 확인할 수 있습니다.
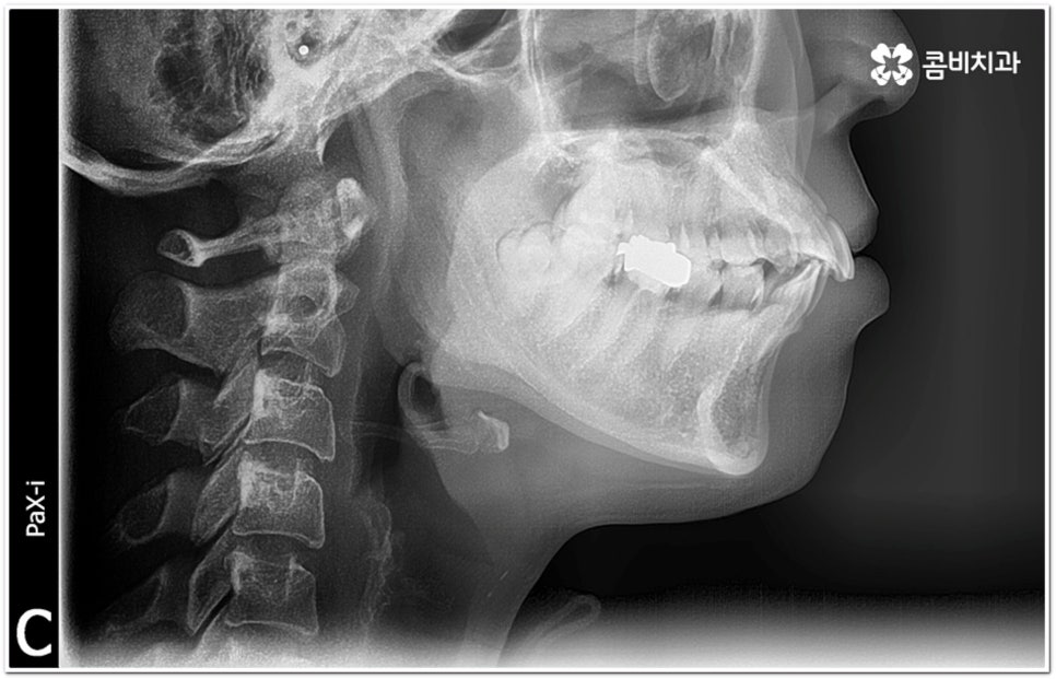
옆에서 봤을 때 코나 턱보다 입이 더 튀어나와 있으면 뾰루퉁한 인상을 줄 수 있고 웃을 때 잇몸이 드러나 콤플렉스처럼 느껴질 수 있는데요. 정도가 심한 경우 입을 꼭 닫고 있기 어려워 자기도 모르게 구호흡을 하게 되면서 여러 구강 질환 및 구취를 유발하게 될 수도 있기 때문에 이러한 심미적 또는 기능적인 이유로 돌출입교정치과 를 알아보시는 분들이 많이 있을 거예요.
이때 위아래 치아가 맞물리는 데는 별다른 문제가 없고 앞니 등 치아가 조금 뻐드러진 상황이라면 각도만 개선해도 되지만 잇몸뼈 자체가 나와 있고 교합에도 문제가 있다면 종합적인 해결이 필요할 수 있는데요.
단순히 치아가 튀어나온 각도를 고친다고 돌출입 개선이 되지는 않고 구조적 골격적인 원인을 파악하여 해결해야 추후 턱관절 건강 부분에까지 좋지 않은 영향을 미치는 것을 막을 수 있습니다.


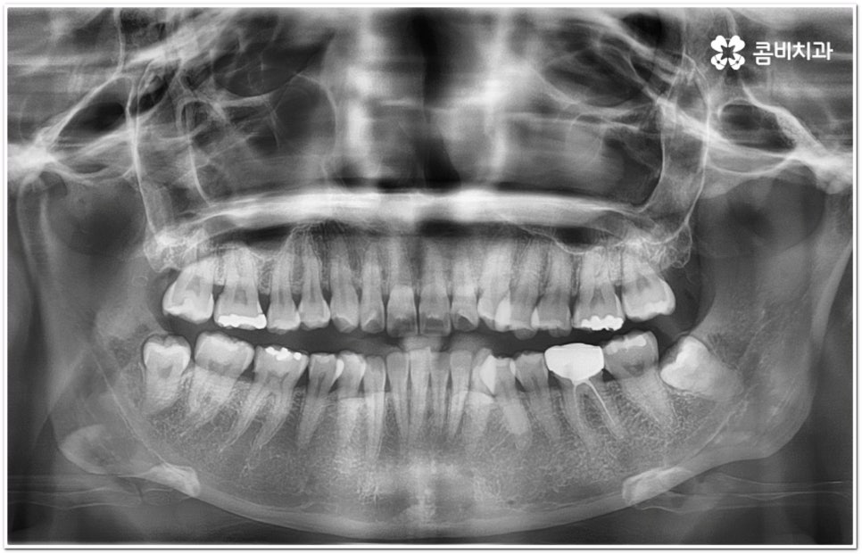
환자마다 치열, 교합, 치아가 튀어나온 각도, 잇몸이 드러나는 정도, 상악과 하악의 구조 및 관계 등 턱관절 관련 부분 상황이 모두 다르기 때문에 3D CT 같은 정밀 검진 기계를 통해 이를 꼼꼼하게 살펴보고 각각에 맞는 계획을 세밀하게 세워 교정 치료를 진행해 줄 필요가 있어요. 이때 환자분들의 상황에 따라 양악수술과 같은 외과적인 방법을 병행해야 하는 케이스도 있을 수 있기 때문에 돌출입을 가지고 계신 분들 중에서 수술에 부담을 느끼고 지레 치료를 포기하신 분들도 있을 수 있는데 정도가 많이 심각하지 않고 구조적인 원인이 크지 않다면 대부분의 케이스는 치아교정 만으로도 충분히 개선이 가능하니 먼저 돌출입교정치과 에 들러서 정밀 검사를 진행한 후 치료 방향에 대해 의료진과 논의해 보시면 좋을 거예요.




말씀드렸던 것처럼 돌출입의 원인이 치아 만의 문제, 즉 각도가 살짝 앞으로 뻐드러진 데 있고 상태가 그다지 심한 것 같지 않다면 보다 빠르고 간편한 수복이 가능할 수 있어요. 튀어나온 부분을 집어넣기 위해서는 발치가 필수적이지 않을까 생각하실 수 있는데 후방으로 이동시켜 줄 공간이 충분하다면 치간 삭제, 악궁 확장, 어금니 후방 이동 등 다른 방법을 이용하여 비발치 치료 과정을 진행할 수 있으므로 너무 걱정하지 않으셔도 될 거예요. 오히려 환자분들의 다양한 상황을 고려하지 않고 무리하게 발치 교정을 진행하게 되면 옥니나 합죽이와 같은 부작용이 일어날 수도 있기 때문에 원인을 정확하게 파악하고 적절한 치료를 할 수 있도록 임상 경험이 풍부하고 뛰어난 노하우를 가지고 있는 숙련된 의료진에게 교정 치료를 맡기시는 것이 굉장히 중요하다고 할 수 있습니다.



돌출입교정치과 에서 추천하는 교정 시기는 언제일까요? 일반적으로 교정을 권하는 시기는 유치가 빠지고 영구치로 교체가 되는 시기인 혼합 치열기의 하반기 (영구치가 70% 정도 자란 시기) 인데요, 보통 초등학교 고학년부터 중학교 저학년까지의 시기라고 보시면 되지만 아이들의 성별이나 성장속도에 따라 자세한 계획은 각기 달라질 수 있기 때문에 교정 시기에 대해서는 먼저 꼼꼼하게 검진부터 받아보시고 의료진과 충분한 상담을 진행해 보시길 권유드리고 있습니다.
현대에는 교정 관련 기술이 많이 발달하여 중장년 성인이라고 해서 교정 치료를 아예 할 수 없다는 식의 제한은 거의 없어진 상황이고 잇몸 건강 등 각자의 상황에 맞는 치료 계획을 통해 기능성과 심미성의 회복 및 유지를 위한 무리하지 않는 교정 치료를 진행할 수 있습니다만 그와 별개로 잇몸뼈가 아직 굳어져 있지 않은 성장기에 치료를 한다면 치료 기간을 단축하고 보다 효율적인 치아 이동을 기대할 수 있는 케이스들이 분명히 있기 때문에 시기를 놓치지 않고 검진 및 치료 계획을 세우는 게 더 바람직하다는 점을 알아두실 필요가 있어요.




이때 돌출입의 원인이 골격적인 부분에 있는 경우 초등학교 들어갈 무렵인 6세~8세 정도부터 지속적으로 성장 상태를 체크해 가면서 교정 시기를 조율할 필요가 있는데요. 무턱과 돌출입은 함께 동반되는 경우가 많은데 유전적인 원인이 크기 때문에 우선 부모님께서 자신이 이러한 문제로 심미적, 기능적인 불편을 겪은 경험이 있으시다면 자신의 아이의 치열이 어떤지 관심을 가지고 지켜보시다가 필요하다는 생각이 들면 아이와 함께 내원하셔서 검진 및 상담을 진행해 보시길 바라고 있어요. 이 시기에 각자의 상황에 맞는 적절한 악골 교정 치료를 받게 되면 위턱과 아래턱의 성장을 조화롭게 조절해 줌으로써 자라면서 나타날 수 있는 턱관절 문제를 예방하고 얼굴 형태적인 부분까지 좀 더 보기좋게 개선해 줄 수 있으니 이에 대해 돌출입교정치과 에서 도움받아 보시길 권유드리고 있습니다.
유전적인 원인 뿐 아니라 후천적으로 손가락을 빨거나 혀로 치아를 미는 등의 습관을 가지고 있는 경우에도 무턱과 돌출입이 유발될 수 있는데 이를 그대로 방치하게 되면 점점 더 무턱과 돌출입 상황이 악화되는 쪽으로 치열, 교합 및 턱관절이 적응을 하게 되어 아래턱 성장이 방해를 받으면서 부정교합이 심해지는 결과를 낳을 수도 있기 때문에 시간을 지체하지 말고 바로 돌출입교정치과 에서 치료를 받으시는 게 좋을 거예요.




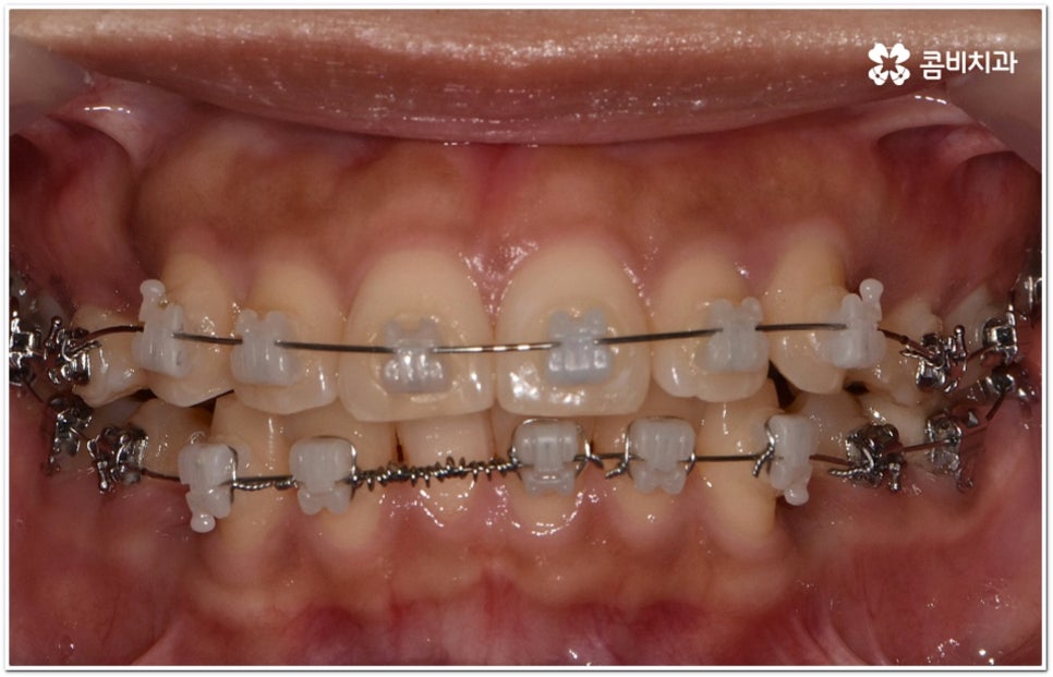
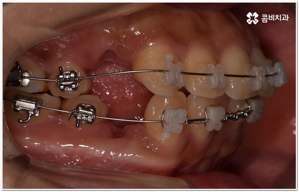
또한 구조적인 부분에 원인이 있었다면 교정 치료를 받은 후에도 원래대로 치열이 돌아가려고 하는 회귀 경향이 좀 더 강하게 일어날 수 있어요. 그렇기 때문에 치과에서 말씀드린 유지 장치를 잘 착용하면서 사후 관리를 철저하게 해 줘야 보다 오랜 시간 동안 바른 치열을 유지하면서 이를 건강하게 사용할 수 있습니다.
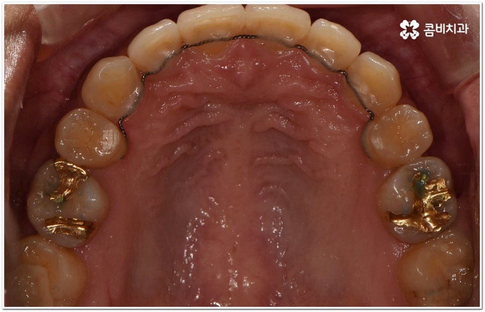
가철식(뺐다 꼈다 할 수 있는) 유지 장치는 눈에 잘 띄지 않고 식사를 할 때나 중요한 자리에서 잠깐씩 뺄 수 있다는 장점을 가지고 있지만 착용하는 시간이 부족하게 되면 혹여 치열이 다시 삐뚤어지거나 교합이 어긋나게 되어 심한 경우 재교정을 받아야 하는 상황까지도 이를 수 있기 때문에 교정이 끝난 초기에는 환자분들께서 주의를 기울여서 불가피한 경우가 아니라면 계속해서 착용을 해주시길 권고드리고 있어요. 그 이후에는 치료하신 치과의 안내에 따라 착용 시간을 줄여가면서 정기적인 검진을 받으시면서 관리를 해주시는 게 좋아요. 이에 반해 고정식 유지 장치는 착용 시간을 신경쓰지 않아도 되지만 부착시킨 철사로 인해 칫솔질이 어려워지고 치석이 잘 생기는 등 위생 문제가 발생할 수 있다는 점을 유의해야 하므로 주기적으로 검진을 받으면서 스케일링 치료를 통해 구강 내 위생 관리를 철저하게 해 주면 도움이 될 거예요. 가장 좋은 것은 고정식 유지장치와 가철식 유지장치를 둘 다 착용을 하시는 게 도움이 되므로, 치료를 담당하시는 원장님과 자세히 상담받아보시길 권장 드려요.
본 글은 콤비치과의 의료광고 포스팅입니다.
개인에 따라 출혈 및 부작용이 발생할 수 있고,
환자마다 치료 결과 및 기간이 상이할 수 있으므로,
정확한 치료 기간 및 치료 계획은
치과에서 상담을 받아보시길 권장 드립니다.
더 보기
이 병원의 공개 콘텐츠를 계속 살펴보세요
출처 아카이브로 돌아가 더 많은 글을 보거나, 병원 프로필로 이동해 다른 공개 채널도 함께 비교해보세요.