명동콤비치과의원 (명동)
어금니 뒤 잇몸 부음 어떤 문제길래 이런거죠
처음에는 그냥 피곤해서 그런가 싶었어요. 입안 한쪽, 어금니 뒤쪽 잇몸이 조금 불편하긴 했지만, 그냥 가볍게 넘겼어요. 양치질을 하다가 칫솔이 스치면 약간 따끔한 느낌이 있었고, 음식을 씹을 때도 가끔 욱씬거렸지만, 하루 이틀 지나면 나아질 거라고 생각했어요. 그런데 이게 반복되기 시작했어요. 잇몸이 조금...
아카이브 요약
이 페이지의 역할
명동콤비치과의원 (명동)의 네이버 블로그 원문을 보존한 아카이브 페이지입니다. 치아스토리♡ 카테고리의 어금니 뒤 잇몸 부음 어떤 문제길래 이런거죠 글을 통해 병원의 한국어 정보 제공 방식과 진료 관련 안내 톤을 확인할 수 있습니다.
처음에는 그냥 피곤해서 그런가 싶었어요. 입안 한쪽, 어금니 뒤쪽 잇몸이 조금 불편하긴 했지만, 그냥 가볍게 넘겼어요. 양치질을 하다가 칫솔이 스치면 약간 따끔한 느낌이 있었고, 음식을 씹을 때도 가끔 욱씬거렸지만, 하루 이틀 지나면 나아질 거라고 생각했어요.
그런데 이게 반복되기 시작했어요. 잇몸이 조금 부었다 싶으면 몇 시간 후에는 가라앉고, 또 며칠 지나면 다시 붓는 식이었어요. 불편하긴 해도 생활에 큰 지장은 없었어요. 치과에 가야겠다는 생각보다는 ‘이러다 괜찮아지겠지’ 하는 마음이 더 컸어요. 사실 잇몸이 붓는 일이 처음 있는 것도 아니었고, 예전에도 몇 번 그런 적이 있었는데 자연스럽게 가라앉았어요
이처럼 많은 분들이 치아 문제에 비해서 잇몸과 관련한 불편함에 있어서 좀더 소극적으로 대처하는 경향이 많으며 이러다가 괜찮아지겠지 하고 넘기는 경우가 많지만 잇몸 문제는 특히 중년 이후에 나이가 들수록 잇몸 뿐 아니라 치아에도 악영향을 줄 수 있다는 점에서 결코 가볍게 넘길 수 없는 문제라고 할 수 있는데요
오늘은 여러 잇몸 문제 사례 중에서도 어금니 뒤 잇몸 부음에 대해 알아보고자 하며 많은 분들이 어금니 근처 잇몸 부음 혹은 잇몸 내려앉음과 같은 문제로 인해 고생하시는 경우가 많지만 생각보다 다양한 원인과 증상이 나타날 수 있다는 점에서 초기에 제대로 된 대처를 못하는 경우가 많이 있었어요



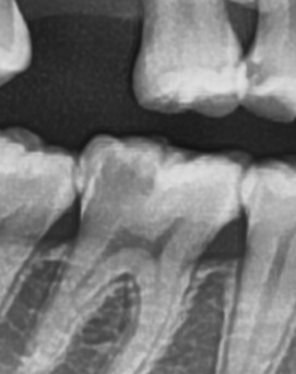
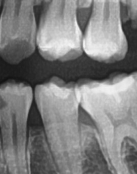
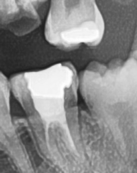
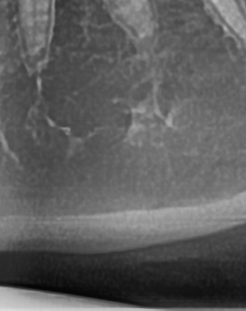
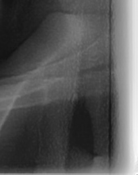
어금니 뒤 잇몸 부음 우선 원인부터 살펴보면 이러한 증상은 단순한 잇몸 염증에서부터 더 심각한 치주 질환이나 사랑니 문제까지 다양하게 발생할 수 있는데요. 보통 잇몸이 붓는 것은 세균 감염, 음식물 잔여물에 의한 자극, 치주 질환, 사랑니 문제 등이 원인이 되는 경우가 많으며 증상이 가벼울 때는 자연적으로 가라앉을 수도 있지만, 제대로 치료하지 않고 반복되는 잇몸 문제가 갈수록 진행된다면 염증이 심해지고 통증이 심해질 수 있고 잇몸이 주저 앉거나 심한 경우 치아가 흔들릴 수 있어서 원인을 정확하게 파악하고 적절한 치료를 받는 것이 중요하다고 볼 수 있어요
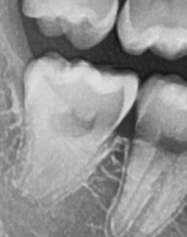
좀더 자세히 원인과 증상에 대해 살펴보면 어금니 뒤쪽은 치아 구조상 칫솔이 잘 닿지 않는 부위라서 음식물 찌꺼기가 남아 있거나 플라그가 쉽게 쌓이게 되는데 치아 사이 공간이 좁고 잇몸이 연약한 부분이라서 세균이 번식하기 쉬운 환경이 만들어지고, 이로 인해 잇몸이 붓거나 염증이 생길 가능성이 커질 수 있었어요
처음에는 가볍게 붓고 불편한 정도지만, 점점 심해지면 통증이 발생하거나, 잇몸이 붉어지고 단단해지면서 눌렀을 때 고름이 나오는 경우도 있어요. 이런 경우 단순한 염증이 아니라 치주염으로 발전할 가능성이 있기 때문에 치과에서 정확한 검진을 받는 것이 필요한 거예요



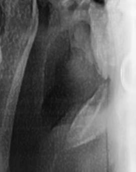
어금니 뒤 잇몸 부음의 문제는 사랑니가 원인이 되는 경우도 많은데 사랑니는 특히 현대인들의 경우 제대로 나오지 못하고 매복되는 경우가 많으며 완전히 나오지 않은 사랑니는 잇몸 속에서 자라면서 주변 잇몸을 자극할 수 있고, 일부만 노출되면 음식물이 끼면서 염증이 생기기도 하며 특히 어금니 뒤쪽 잇몸이 붓고 지속적으로 불편함을 느낀다면 사랑니로 인한 염증을 의심해 볼 수 있어요. 사랑니로 인한 문제의 경우 단순한 소염제나 구강 세정제로 해결되지 않고, 사랑니를 발치해야 잇몸 염증이 해결되는 경우가 많이 있어요
가장 주의해야 하는 문제 중에 치주염이 진행되면 어금니 뒤쪽뿐만 아니라 전체적인 잇몸이 약해질 수 있어요. 치주염은 치아를 둘러싸고 있는 조직이 손상되는 질환인데 특히 잇몸이 자주 붓거나 피가 나는 경우에는 치주염이 진행되고 있는 신호일 수 있기 때문에 단순한 잇몸 붓기로 넘기지 않는 것이 좋으며 치료를 받지 않으면 결국 치아를 지탱하는 뼈가 약해지고, 심한 경우에는 치아가 흔들리거나 빠질 수도 있었어요.
결론적으로는 통증이 심하거나 염증이 오래 지속되는 경우에는 치과를 방문해서 정확한 진단을 받는 것이 중요한데 단순한 잇몸 염증이라면 치석 제거와 항생제 치료로 호전될 수 있지만, 치주염이 진행된 경우라면 보다 적극적인 치료가 필요할 수 있어요. 만약 사랑니로 인해 잇몸이 자꾸 붓는다면 사랑니 발치를 고려해야 하겠고 사랑니가 완전히 매복되어 있다면 수술적인 방법으로 제거해야 할 수도 있어요. 특히 반복적으로 붓는다면 사랑니 검사를 받아보거나, 치과에서 정밀 검진을 통해 치주 상태를 확인하는 것이 필요하다는 점에서 어금니 근처의 잇몸이 반복적으로 불편하다면 꼭 치과를 찾아보시길 바라고 있어요











Previous image Next image










Previous image Next image










Previous image Next image










Previous image Next image
더 보기
이 병원의 공개 콘텐츠를 계속 살펴보세요
출처 아카이브로 돌아가 더 많은 글을 보거나, 병원 프로필로 이동해 다른 공개 채널도 함께 비교해보세요.