아카이브 요약
이 페이지의 역할
명동콤비치과의원의 네이버 블로그 원문을 보존한 아카이브 페이지입니다. 치아스토리♡ 카테고리의 사랑니 주변 잇몸 통증 지금부터가 중요하니까 글을 통해 병원의 한국어 정보 제공 방식과 진료 관련 안내 톤을 확인할 수 있습니다.
원문 검증
필요하면 원문 블로그와 병원 프로필로 바로 이동해 문맥을 다시 확인할 수 있습니다.
출처 아카이브 열기아카이브된 블로그 글
명동콤비치과의원 · Naver Blog
어릴 때는 어른들이 “사랑니 날 때 아프다”는 얘기를 하면서도 대수롭지 않게 넘기는 걸 보면서 그냥 성장의 한 과정처럼 여겼어요 막연하게 ‘언젠가 나에게도 생기겠지’ 정도로만 생각했어요. 실제로 사랑니가 올라오기 시작했을 땐, 신기하다는 느낌이 먼저 들었고, 특별히 큰 통증이 없었는데요 별탈이 없으니 다행이라며 생...
게시일
2025년 5월 29일
원문 기준으로 확인된 발행일입니다.
카테고리
치아스토리♡
원문 블로그 카테고리를 정리해 함께 표시합니다.
이미지 수
51
현재 아카이브에 연결된 이미지 수입니다.
아카이브 요약
명동콤비치과의원의 네이버 블로그 원문을 보존한 아카이브 페이지입니다. 치아스토리♡ 카테고리의 사랑니 주변 잇몸 통증 지금부터가 중요하니까 글을 통해 병원의 한국어 정보 제공 방식과 진료 관련 안내 톤을 확인할 수 있습니다.
원문 검증
필요하면 원문 블로그와 병원 프로필로 바로 이동해 문맥을 다시 확인할 수 있습니다.
출처 아카이브 열기어릴 때는 어른들이 “사랑니 날 때 아프다”는 얘기를 하면서도 대수롭지 않게 넘기는 걸 보면서 그냥 성장의 한 과정처럼 여겼어요 막연하게 ‘언젠가 나에게도 생기겠지’ 정도로만 생각했어요. 실제로 사랑니가 올라오기 시작했을 땐, 신기하다는 느낌이 먼저 들었고, 특별히 큰 통증이 없었는데요 별탈이 없으니 다행이라며 생각했어요
그렇게 미루고 또 미루다가 몇 년이 흘렀고, 사랑니는 그대로 잊고 살았어요. 물론 완전히 바깥으로 드러난 건 아니었지만, 잇몸 속에 묻힌 채 반쯤 나와 있었어요. 그런데 이상하게도 시간이 지나면서 그 쪽 잇몸이 자주 붓기 시작했어요 붓기가 가라앉았다가도 다시 올라오기를 반복했고, 점점 빈도도 짧아지고 통증도 강해졌어요.
이처럼 사랑니에 대해서 언젠가는 뽑아야 할 치아 정도로 여기고 있다가 사랑니 주변 잇몸 통증이나 충치, 입냄새 등이 심해지는 무렵에 증상을 통해서 사랑니 발치에 대해 고민하기 시작하는 경우가 많이 있는데요


사랑니 주변 잇몸 통증이 생겼을 때 많은 분들이 처음에는 단순한 잇몸 염증이나 피곤해서 생긴 증상 정도로 생각하고 넘기기 쉽지만 실제로는 사랑니가 매복되어 있거나, 반쯤만 올라와 있는 상태에서 세균이나 음식물이 끼면서 발생하는 염증일 가능성이 높고 이런 경우에는 단순한 소염제나 항생제 복용으로 일시적으로 가라앉을 수는 있어도 정확한 원인을 해결하지 않으면 반복적으로 통증이 재발하고 더 심해지는 방향으로 진행될 수 있다는 점에서 조기 치료가 정말 중요한 거예요.
특히 사랑니는 위치상 구강 내에서도 맨 안쪽 깊은 부위에 자리하고 있어서 칫솔질이 어렵고, 위생 관리가 잘 안 되기 쉬운 데다가 똑바로 자라지 않거나 잇몸 안에 매복된 경우가 많아서, 문제 없이 잘 자라는 경우보다는 문제를 일으키는 경우가 더 많다는 게 현실적인 문제라고 할 수 있는데요



사랑니 주변 잇몸 통증의 가장 흔한 원인은 치주낭염이라는 염증인데 이건 사랑니가 완전히 올라오지 않고 잇몸을 뚫고 반쯤만 나온 상태에서 주변 잇몸이 접힌 틈 사이로 음식물 찌꺼기나 세균이 들어가 염증을 일으키는 상태를 말하며 이때 잇몸이 붓고 통증이 생기고, 심한 경우 고름이 차거나 입을 벌릴 때 턱이 아프고 열이 나는 증상까지 동반될 수 있어요.
특히 아래쪽 사랑니일 경우 턱관절 근처에 위치하고 있기 때문에 턱관절 통증이나 목 주변 통증까지 확산되기도 하고 염증이 깊어지면 턱뼈까지 퍼질 수 있기 때문에 단순한 사랑니 주변 잇몸 통증이라고 방치하는 건 위험한 접근이 되는 거예요.
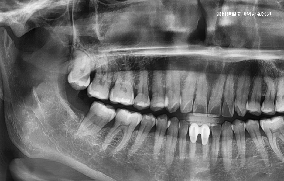
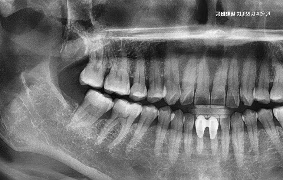
이런 경우에는 염증이 너무 심해지기 전에 빠르게 치과에 내원해서 사랑니 위치와 형태를 확인하는 X-ray 검사를 먼저 진행해야 하고 진단 결과 사랑니가 턱뼈에 수평으로 눌려 있거나, 인접 치아 뿌리를 밀고 있는 형태라면 단순히 약물치료만으로는 해결이 되지 않기 때문에, 염증을 가라앉히고 난 후 발치를 진행하는 방향으로 치료가 이루어지는 경우가 일반적이라 할 수 있어요



사랑니 문제를 느끼더라도 염증이 심할 때 바로 발치를 하면 주변 조직 손상이나 출혈, 감염 위험이 있기 때문에, 먼저 항생제와 소염제로 염증을 가라앉힌 뒤에 일정 기간을 두고 발치 스케줄을 잡는 것이 안전한 순서이며 특히 반복적으로 통증이 재발하는 상황이라면 원인인 사랑니를 제거하는 것이 현명한 선택이 되는 거예요.
또 사랑니가 잇몸 안쪽에서 완전히 매복된 경우에도 사랑니 주변 잇몸 통증에 통증이 생기는 경우가 있는데 겉에서 보이지 않더라도 X-ray 상에서 보면 사랑니가 비스듬히 누워 있거나 옆 치아를 밀고 있는 경우가 많은데 이런 매복 사랑니는 염증이 없더라도 조용히 인접 치아의 뿌리를 괴사시키거나 인접면 충치를 유발하기도 해서 통증이 발생하지 않더라도 예방적 발치를 권유받는 경우도 있고 통증이 시작된 후에는 주변 뼈 흡수나 치주염, 잇몸 괴사로 진행될 가능성도 있기 때문에 사랑니 발치 판단을 적절히 세울 필요가 있어요
특히 성인 초반까지는 사랑니 뿌리가 완전히 자리 잡기 전이라 발치가 비교적 쉬운 편인데, 나이가 들수록 뿌리가 복잡하게 자라거나 신경관과 가까워져 발치 난이도도 높아지고 회복 기간도 길어지는 경향이 있어서 치통이 있든 없든, 사랑니의 위치와 방향은 미리 체크하고 치료 계획을 세워두는 것이 안전한 방법이라 할 거예요


사랑니 주변 잇몸 통증 치료 방법으로는 통증이 심할 때는 진통제나 항생제를 통해 염증을 일시적으로 완화시키되, 그걸로 끝났다고 생각하면 안 되고 염증이 가라앉은 후 원인을 제거하는 방향으로 치료가 이어져야 하며 절개와 분할이 필요한 난이도가 높을 경우 경험 많은 치과의사와 함께하는 것이 더욱 중요할 수 있었어요
사랑니 주변 잇몸 통증은 단순한 치은염이나 입안 상처로 오해되기 쉽고 그에 따라 좀더 지켜보자 하면서 증상이 더욱 확실하게 느껴질 때까지 기다리는 분들도 많지만 그 이면에는 치주염, 잇몸염, 턱뼈 염증, 인접치아 손상, 턱관절 부담 등으로 이어질 수 있는 다양한 위험 요소가 숨어 있기 때문에 통증이 반복되거나 한쪽에서만 씹게 되는 등의 이상 신호가 생겼다면 반드시 조기에 진단받고 정확한 치료 계획을 세우는 것이 중요한 거예요
결국 사랑니 주변 잇몸의 통증은 일시적인 불편으로 여겨지기보다는, 치과적 개입이 필요한 구조적인 이상이 시작된 신호일 수 있다는 점을 인식하고 사랑니는 발치 뿐 아니라 시술 및 회복까지 고려해야 보다 수월한 발치 과정을 진행할 수 있으므로 오늘 이야기를 잘 기억하셔서 현명하게 대처하시길 바라고 있어요











Previous image Next image










Previous image Next image










Previous image Next image










Previous image Next image