명동콤비치과의원 (명동)
윗니 전체 임플란트 뭐부터 해야할까
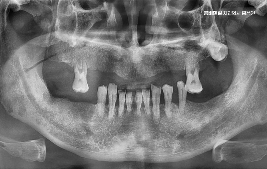
윗니가 하나둘 빠지기 시작했을 때까지만 해도 이렇게까지 될 줄은 몰랐어요. 처음엔 단순히 오래된 충치가 더 이상 버티지 못해서 빠졌다고 생각했어요 그런데 어느 순간부터 그 ‘하나둘’이 점점 늘어나더니, 이제는 위쪽 치아 대부분이 사라져 버렸고, 윗니가 비어 있는 모습이 너무 낯설게 느껴졌어요. 그때는 몰랐어요. 치...
아카이브 요약
이 페이지의 역할
명동콤비치과의원 (명동)의 네이버 블로그 원문을 보존한 아카이브 페이지입니다. 치아스토리♡ 카테고리의 윗니 전체 임플란트 뭐부터 해야할까 글을 통해 병원의 한국어 정보 제공 방식과 진료 관련 안내 톤을 확인할 수 있습니다.
윗니가 하나둘 빠지기 시작했을 때까지만 해도 이렇게까지 될 줄은 몰랐어요. 처음엔 단순히 오래된 충치가 더 이상 버티지 못해서 빠졌다고 생각했어요 그런데 어느 순간부터 그 ‘하나둘’이 점점 늘어나더니, 이제는 위쪽 치아 대부분이 사라져 버렸고, 윗니가 비어 있는 모습이 너무 낯설게 느껴졌어요. 그때는 몰랐어요. 치아는 하나 빠지면 주변까지 영향을 받고, 잇몸뼈는 생각보다 빨리 무너질 수 있다는 것을 말이에요 임시 틀니를 잠시 사용하고 있는데, 그 불편함은 말로 다 설명하기 어려울 정도였어요
이처럼 과거에는 치아를 잃는 것이 자연스러운 노화로 받아 들이기도 했고 틀니를 하는 경우가 많았지만 요즘은 기대수명의 증가로 인해 노인 분들의 전체임플란트 치료 사례가 크게 늘고 있으며 틀니 보다는 임플란트 쪽으로 알아보는 경우가 확실히 늘고 있는데요
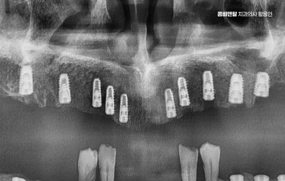
윗니 전체를 임플란트로 치료해야 하는 상황이 생겼다는 건 단순히 몇 개 치아를 잃은 게 아니라, 치아 기능 전체가 무너졌다는 의미이며 이런 경우에는 단순히 개별 치아 하나하나를 심는 방식으로 접근하면 비용도 고가이고 비효율적이며 구조적으로도 안정성이 떨어질 수 있기 때문에 처음부터 전체적인 구강 구조를 고려한 통합적인 치료 계획이 필요할 수 있어요


특히 윗니는 웃을 때 많이 보이는 부위이고 심미적으로 얼굴 인상을 결정짓는 중요한 부분이기 때문에, 단순히 저작 기능만 회복하는 데 그치지 않고 얼굴형, 잇몸선, 말할 때 입술의 움직임, 교합의 균형까지 고려한 섬세한 설계가 필요해야 하고 이 모든 걸 고려해서 치료하는 게 바로 윗니 전체 임플란트 치료라고 할 수 있어요
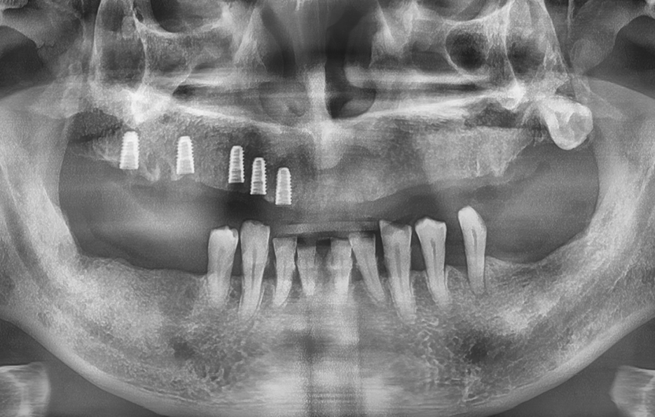
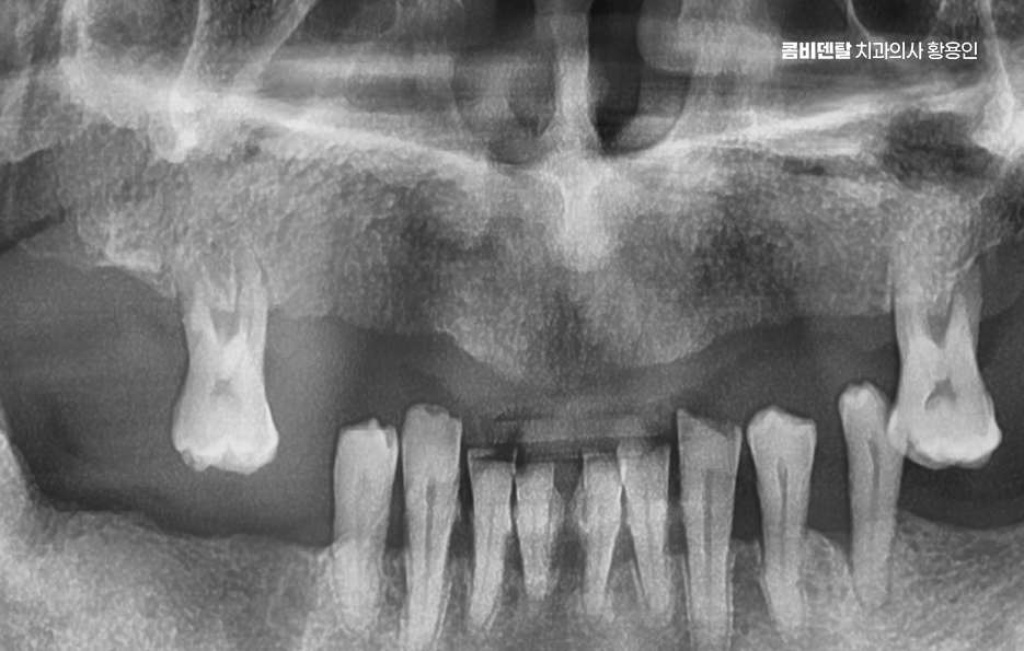
보통 윗니 전체 임플란트를 계획할 때 먼저 해야 하는 건 CT 촬영을 통한 잇몸 뼈 상태 진단으로 윗니는 아래보다 뼈가 더 얇고, 특히 어금니 쪽에는 상악동이라는 빈 공간이 있기 때문에, 임플란트를 심을 수 있는 잇몸 뼈의 양이 부족한 경우가 많다보니 이런 경우에는 단순히 임플란트를 심을 수 없기 때문에 상악동 거상술이라는 수술이 필요하게 되는 경우도 있는데요



이 수술은 상악동 점막을 들어 올리고 그 아래에 뼈이식 재료를 넣어서 임플란트가 들어갈 수 있는 충분한 공간을 만들어주는 방식이며 그 외에도 잇몸 뼈 상태나 전신 건강, 흡연 여부 같은 조건에 따라 구체적인 치료 방법이 달라지기 때문에 이처럼 윗니 전체 임플란트의 경우 기본적으로 임플란트를 지지할 수 있는 잇몸 뼈가 충분한지 정확한 진단이 치료의 시작점이 되고 있어요
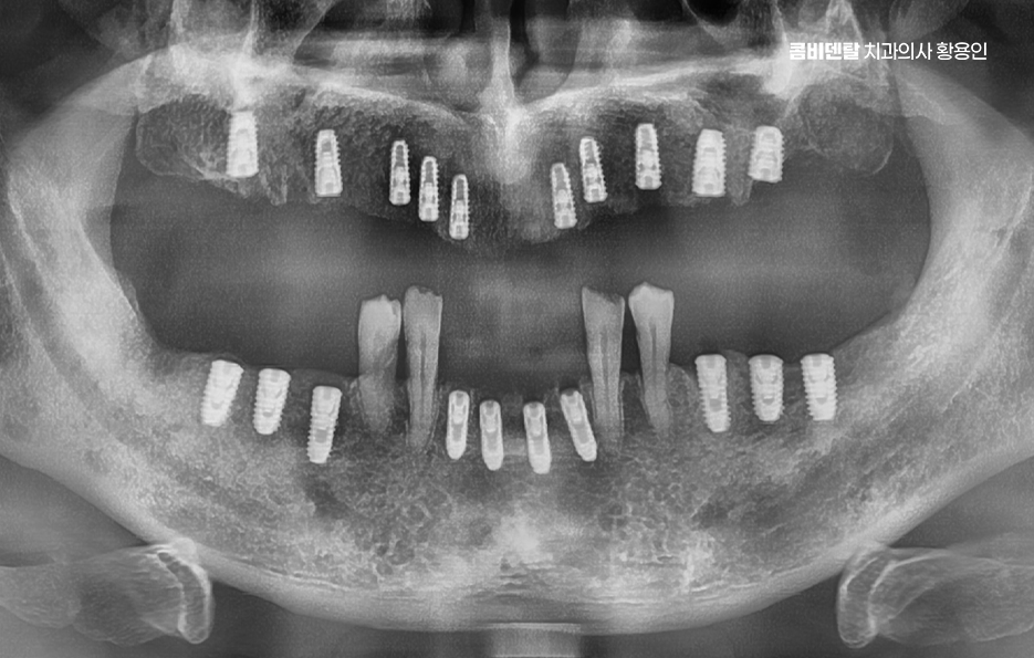
전체 임플란트를 한다고 해서 꼭 치아의 상실 개수만큼 1:1로 임플란트를 심는 건 아니며 보통 무치악인 경우에는 6개에서 8개 정도의 임플란트를 일정한 간격으로 심고, 그 위에 여러 개의 치아가 연결된 브릿지 형태의 보철물을 올리는 방식으로 치료를 하며 환자의 경제적인 부분 부터 잇몸 뼈의 상태에 따라 임플란트의 식립 개수는 다소 차이가 있어요
예를 들어 잇몸 뼈가 충분히 있는 경우에는 임플란트를 더 많이 심어서 지지력을 높이고, 잇몸 뼈가 많이 줄어든 경우에는 임플란트의 식립 개수를 최소화 하는 방식으로 치료 방법이 달라지는 것이며 경우에 따라서는 임플란트 틀니 처럼 임플란트와 틀니의 중간 지점의 선택지를 활용하는 경우도 있어요



특히 윗니 전체 임플란트 시에 보철물 제작은 환자의 얼굴 형태, 입술선, 웃을 때 노출되는 치아의 길이까지 고려해서 정교하게 디자인되어야 하며 특히 윗니는 발음과 표정에도 큰 영향을 주기 때문에, 단순히 기능적인 회복이 아니라 미소선과 조화로운 보철물 제작에서 중요하며 최근에는 디지털 스캔을 통해 보다 정교한 치료가 가능해지고 있었어요
윗니 전체 임플란트 치료에서 또 하나 주의할 점은 정기적인 관리로 임플란트는 자연치아처럼 신경이 없기 때문에 문제 발생 초기에 통증이 없을 수 있지만 임플란트 주위염 같은 염증이 생기면 잇몸뼈가 녹아내리기 때문에 정기적인 스케일링, 구강위생 관리, 그리고 올바른 칫솔질 습관이 필수이며 특히 전체 임플란트의 경우는 하나만 문제가 생겨도 전체 보철물에 영향을 줄 수 있기 때문에, 더 세심한 관리가 필요하고 재수술에 대한 부담이 그만큼 커지기 때문에 치료와 동시에 장기적인 사후관리의 중요성이 더욱 높다는 점을 잘 고려하여 치과 역시도 오래 함께할 곳을 꼼꼼하게 잘 선택하시길 바라고 있어요











Previous image Next image










Previous image Next image










Previous image Next image










Previous image Next image
더 보기
이 병원의 공개 콘텐츠를 계속 살펴보세요
출처 아카이브로 돌아가 더 많은 글을 보거나, 병원 프로필로 이동해 다른 공개 채널도 함께 비교해보세요.