아카이브 요약
이 페이지의 역할
명동콤비치과의원의 네이버 블로그 원문을 보존한 아카이브 페이지입니다. 치아스토리♡ 카테고리의 치아 사이 벌어짐 심해지는 이유부터 알아보면 글을 통해 병원의 한국어 정보 제공 방식과 진료 관련 안내 톤을 확인할 수 있습니다.
원문 검증
필요하면 원문 블로그와 병원 프로필로 바로 이동해 문맥을 다시 확인할 수 있습니다.
출처 아카이브 열기아카이브된 블로그 글
명동콤비치과의원 · Naver Blog
처음엔 그저 잇몸이 조금 붓는 정도였어요. 양치할 때 피가 나는 것도 자주 있는 일이니까 대수롭지 않게 넘겼어요, 치실을 쓰다가 피가 묻어 나오는 건 오히려 "잘 닦고 있구나" 하고 착각했어요. 그런데 어느 날부터인가 그 붓기가 자주 반복되기 시작했고, 입 안이 자꾸 텁텁하고, 입 냄새도 예전보다 쉽게 났어요, 양...
게시일
2025년 6월 13일
원문 기준으로 확인된 발행일입니다.
카테고리
치아스토리♡
원문 블로그 카테고리를 정리해 함께 표시합니다.
이미지 수
48
현재 아카이브에 연결된 이미지 수입니다.
아카이브 요약
명동콤비치과의원의 네이버 블로그 원문을 보존한 아카이브 페이지입니다. 치아스토리♡ 카테고리의 치아 사이 벌어짐 심해지는 이유부터 알아보면 글을 통해 병원의 한국어 정보 제공 방식과 진료 관련 안내 톤을 확인할 수 있습니다.
원문 검증
필요하면 원문 블로그와 병원 프로필로 바로 이동해 문맥을 다시 확인할 수 있습니다.
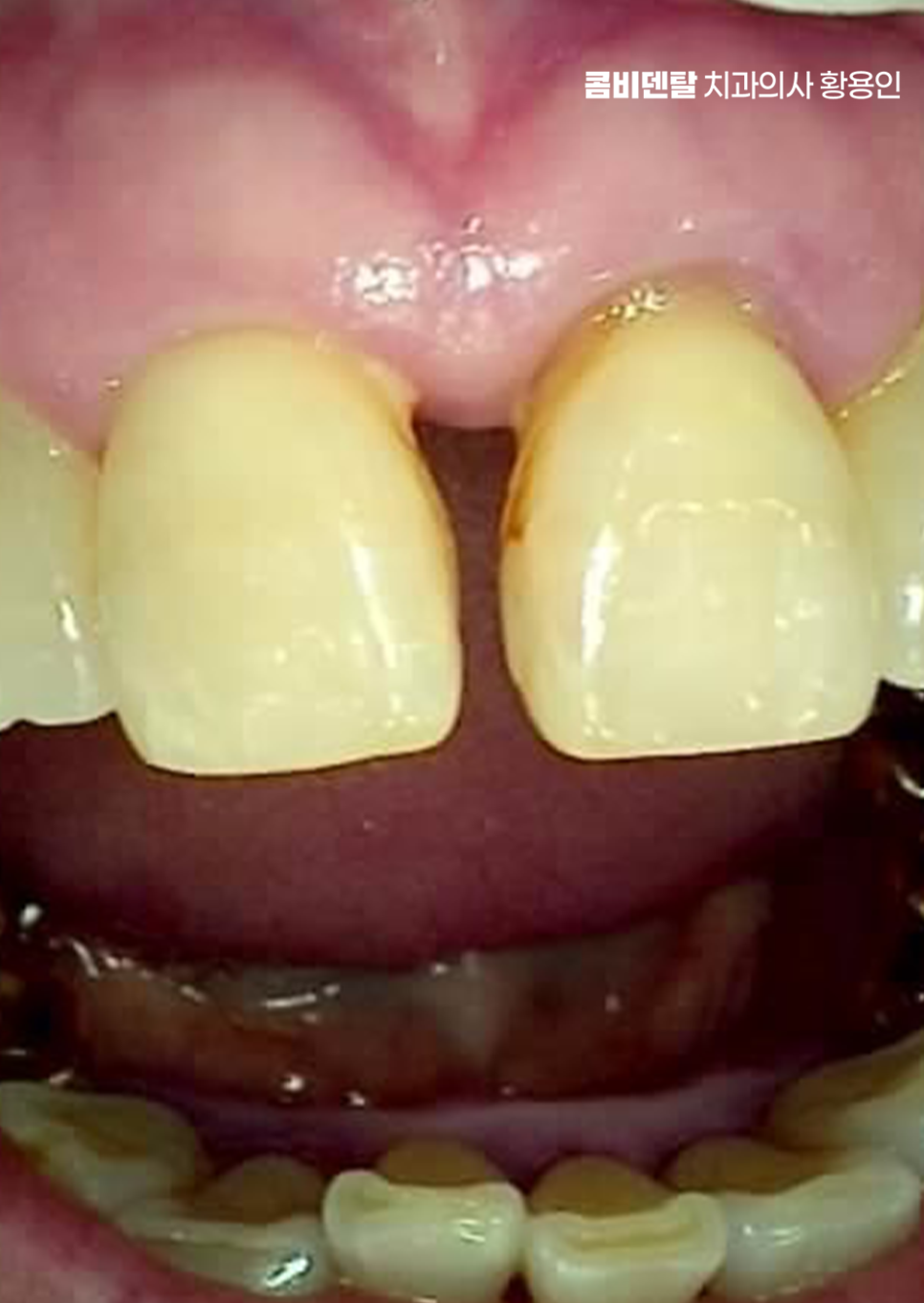
출처 아카이브 열기처음엔 그저 잇몸이 조금 붓는 정도였어요. 양치할 때 피가 나는 것도 자주 있는 일이니까 대수롭지 않게 넘겼어요, 치실을 쓰다가 피가 묻어 나오는 건 오히려 "잘 닦고 있구나" 하고 착각했어요. 그런데 어느 날부터인가 그 붓기가 자주 반복되기 시작했고, 입 안이 자꾸 텁텁하고, 입 냄새도 예전보다 쉽게 났어요, 양치를 아무리 열심히 해도 개운하지 않은 느낌이 계속됐어요. 그러면서 잇몸이 서서히 내려앉기 시작했고, 그 변화가 눈에 보이기 시작한 순간부터는 더 이상 가볍게 넘길 수 없었어요. 예전보다 치아 뿌리 쪽이 더 드러나 보이고, 잇몸선이 들쑥날쑥해지면서 거울을 볼 때마다 마음이 무거워졌어요. 크게 달라진 건 치아 사이가 눈에 띄게 벌어지기 시작했다는 거였어요.
이처럼 나이가 들수록 치아 사이 벌어짐이 잇몸이 약해지면서 더욱 심해지는 경우가 많은데 이러한 문제는 단순히 치아 배열만의 문제가 아니라 치아 수명과도 직결될 수 있는 큰 문제로도 볼 수 있는데요
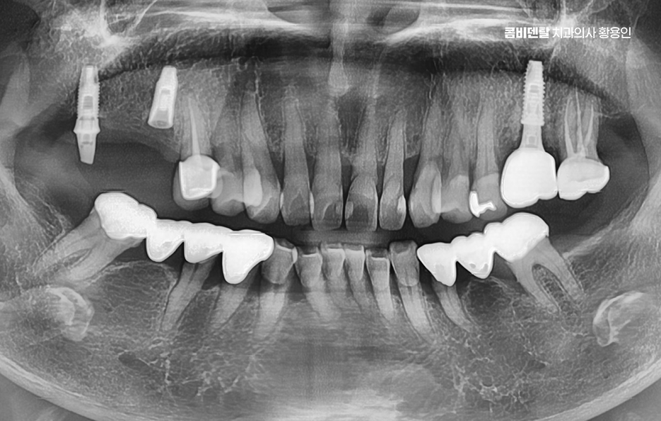
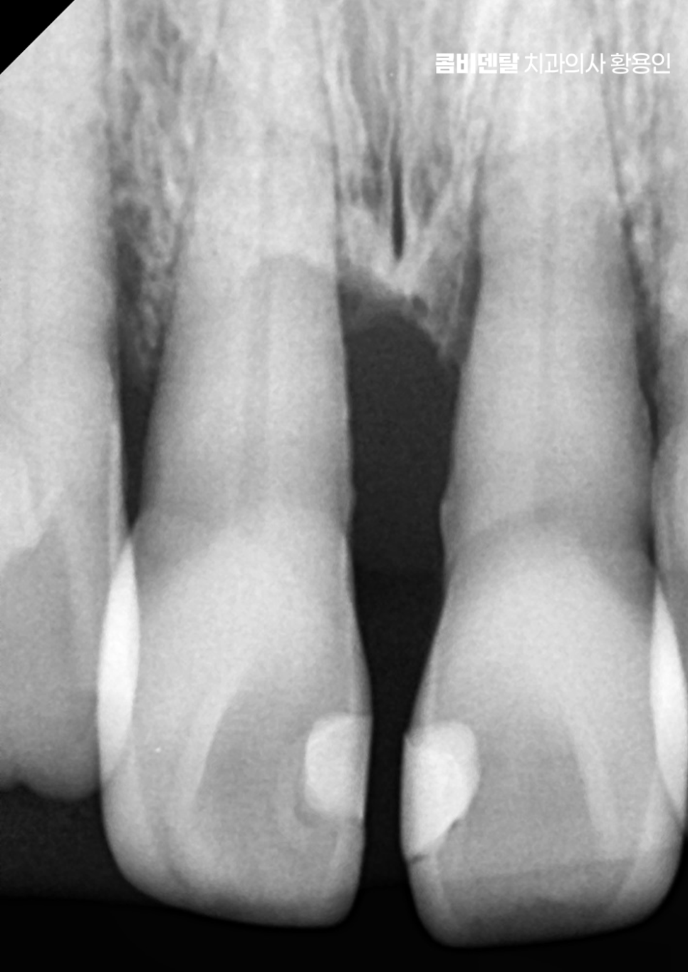
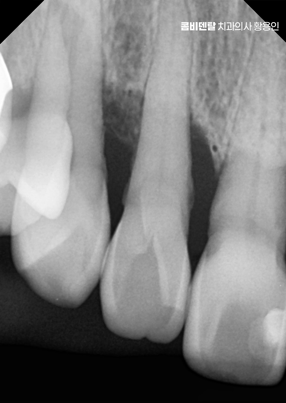
치아 사이가 벌어지는 현상은 보기에는 단순한 틈처럼 느껴질 수 있지만 그 원인이 치주질환 때문이라면 단순히 공간만 메우는 식의 접근으로는 해결되지 않으며 치주질환이라는 건 치아를 지탱하고 있는 잇몸과 치조골, 그러니까 잇몸 뼈 자체가 서서히 무너져가는 질환이기 때문에, 그 과정에서 심하면 치아가 흔들리고, 치아 사이의 지지가 약해지면서 점점 틈이 벌어지게 되며 이 틈은 시간이 지나면서 점점 더 넓어지고 깊어지는 방향으로 진행될 수 있어요



특히 치아 사이에 음식물이 자주 끼거나, 양치를 해도 이물감이 사라지지 않거나, 잇몸이 자꾸 붓고 피가 난다면 이미 치아 사이 벌어짐이 단순한 미용 문제가 아니라 치주적인 구조 손상이 시작됐다는 경고 신호가 될 수 있는데 이때는 ‘치아 사이를 붙이는 교정을 해야 하나?’ 같은 심미적인 접근만이 아니라, 먼저 염증을 잡고 잇몸을 살리는 데 집중하는 게 우선이 될 수 있고 그다음에 기능과 배열을 복원하는 방향으로 치료가 이어져야 할 수 있어요
치주질환으로 인해 치아 사이가 벌어졌다면 그 치료는 한 번에 끝나는 게 아니라, 단계적으로 진행되어야 할 수 있는데 우선 먼저 해야할 일은 염증을 제거하고 치아를 안정시키는 기본적인 치주치료가 될 거예요
여기서 기본이 되는 건 스케일링인데 스케일링은 단순히 겉에 붙은 치석을 제거하는 게 아니라, 치아 뿌리 쪽 깊숙한 부위에 붙어 있는 세균성 치태까지 제거해 잇몸 안쪽 염증을 줄이는 데 목적이 있어요. 그런데 잇몸 깊숙이 치석이 침착돼 있거나, 이미 치주낭이라고 하는 염증성 주머니가 형성돼 있다면 단순 스케일링만으로는 부족하고, ‘치근활택술’이라는 보다 깊은 치료가 필요한데 이건 마취 후 치아 뿌리 표면을 매끄럽게 다듬어 세균이 다시 달라붙기 어렵게 만드는 치료로서 이러한 잇몸 치료를 통해 잇몸 조직의 재생을 유도하고, 치아의 흔들림을 줄이게 될 수 있어요

하지만 치조골이 이미 많이 흡수돼서 치아가 흔들리거나 벌어진 틈이 너무 넓은 경우에는 단순한 잇몸 치료만으로는 회복이 어려워지며 이럴 때는 치주외과적 접근이 필요해지며 대표적으로 치주소파술, 치은박리소파술과 같이 보다 심화된 잇몸 치료가 필요할 수 있어요
치아 사이 벌어짐의 주된 원인이 잇몸 문제라고 한다면 이러한 잇몸 치료가 선행되어야 하고 그 다음으로 실질적으로 치아 사이가 벌어지면서 발생된 치아 배열이나 치아 사이의 충치 문제 등을 교정 혹은 보철 치료를 통해 해결해야 할 수 있는데요
교정 치료라고 하면 보통은 미용 목적이라고 생각하기 쉽지만 치주질환으로 벌어진 치아에 대한 교정은 단순 미용이 아니라, 기능 회복과 구조 안정이 주 목적이 되며 다만 잇몸이 약한 상태에서 무리하게 힘을 가하면 오히려 치아가 더 흔들리거나, 치조골 흡수가 가속될 수 있기 때문에, 일반적인 교정과는 다른 접근이 필요하다는 점에서 경험 많은 교정 전문의와의 충분한 상담을 통해서 치료 목적을 정확히 할 필요가 있어요


또 하나 고려해야 할 부분은 치아 사이의 삼각형 공간, 즉 ‘블랙 트라이앵글’로 치주질환으로 인해 잇몸이 내려가면, 치아는 제자리에 있어도 삼각형 모양의 틈이 생기는데 이 틈은 보기에도 좋지 않을 뿐더러 음식물이 자꾸 끼는 원인이 되기도 해서 교정이나 치주치료만으로 한계가 있는 부분은 보철치료를 적절히 연계하여 치료하는 것도 경우에 따라서는 필요할 수 있어요.
치아 사이 벌어짐의 치료는 이처럼 단계적으로 진행되어야 하며 각 개인에 따라서 치료 계획도 달라지기 때문에 치료 목표와 각 개인에게 맞는 맞춤형 치료가 무엇보다 중요한 것이며 앞서 설명드린 것처럼 나이가 들수록 치주질환으로 인해 잇몸이 내려앉거나 치아 배열이 망가지는 사례가 많다는 점에서 치료 후 유지 관리가 무엇보다 중요할 수 있는데요

치주질환은 치료로 끝나는 질환이 아니라, 관리하지 않으면 언제든 다시 악화될 수 있는 만성질환이므로 치료가 끝난 후에도 정기검진과 스케일링을 받으면서 잇몸과 뼈 상태를 체크해야 하고 칫솔만으로는 관리가 어려운 부위는 치간칫솔, 워터픽, 전동칫솔 등을 적극적으로 사용해줘야 하며 특히 치아 사이가 벌어졌던 사람은 같은 부위에 염증이 다시 생길 확률이 높기 때문에 집중적인 관리가 필요하고 작은 이상이라도 바로 치과에 가서 확인받는 습관을 들여야 하는 거예요
정리하면 치아 사이 벌어짐에 대해서 단순히 심미적인 문제로만 접근하기는 어려우며 각 환자분들에 따라 치아 사이가 벌어진 원인부터 현재 상태 등이 다르므로 정확한 진단과 경험 많은 치과의사에게 충분히 상의하여 치료 계획을 나에게 맞게 잘 판단하시길 바라고 있어요











Previous image Next image










Previous image Next image










Previous image Next image










Previous image Next image