명동콤비치과의원 (명동)
반대교합 치아교정 해결 가능할까
치아에 대해서 어떤 각도에서는 은근히 눈에 띄기도 했지만, ‘이게 문제될 정도일까?’라는 생각으로 별다른 조치를 하지 않고 그냥 넘겼어요. 어릴 때부터 그렇게 살아왔기 때문에 익숙해져 있었어요 치아교정이라는 건 겉으로 많이 삐뚤빼뚤하거나 덧니가 심할 때 하는 것이라 생각했어요 그런데 이상하게도 나이가 들수록 입 모...
아카이브 요약
이 페이지의 역할
명동콤비치과의원 (명동)의 네이버 블로그 원문을 보존한 아카이브 페이지입니다. 치아스토리♡ 카테고리의 반대교합 치아교정 해결 가능할까 글을 통해 병원의 한국어 정보 제공 방식과 진료 관련 안내 톤을 확인할 수 있습니다.
치아에 대해서 어떤 각도에서는 은근히 눈에 띄기도 했지만, ‘이게 문제될 정도일까?’라는 생각으로 별다른 조치를 하지 않고 그냥 넘겼어요. 어릴 때부터 그렇게 살아왔기 때문에 익숙해져 있었어요 치아교정이라는 건 겉으로 많이 삐뚤빼뚤하거나 덧니가 심할 때 하는 것이라 생각했어요 그런데 이상하게도 나이가 들수록 입 모양이 조금씩 바뀌는 게 느껴졌고, 웃을 때 윗입술이 위로 잘 올라가지 않는 것 같다는 생각이 들었고, 자연스럽게 웃는 게 불편해지기 시작했어요. 특히 측면에서 찍힌 모습을 보면 아래턱이 더 나와 보이고, 전체적인 얼굴 균형이 흐트러져 있다는 걸 점점 자각하게 되었어요. 반대교합이 단지 겉모습의 문제만은 아니라는 것도 알게 되었어요. 음식을 씹을 때 미세하게 불편한 부분이 있었 그게 누적되면서 턱관절에서 가끔 소리가 나거나 뻐근해지는 날이 점점 많아졌어요.
이처럼 치아교정은 보통 치열을 개선하는 치료로 알고 계신 분들도 많지만 반대교합과 같이 부정교합의 개선은 치아의 기능적 개선과 얼굴형의 변화 등이 오히려 주된 목적인 경우도 많이 있는데요
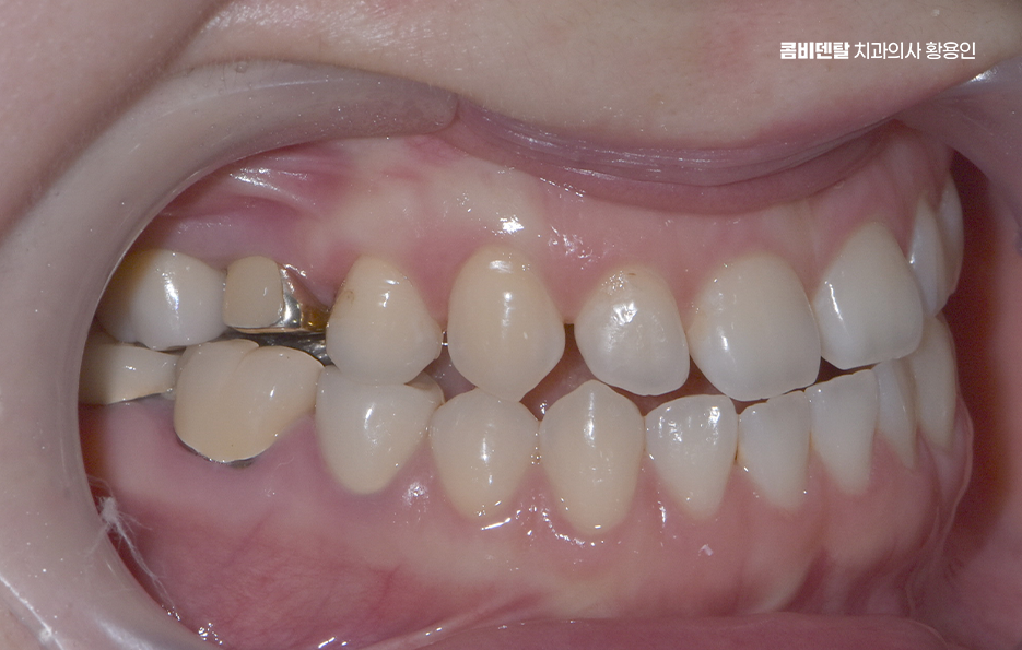
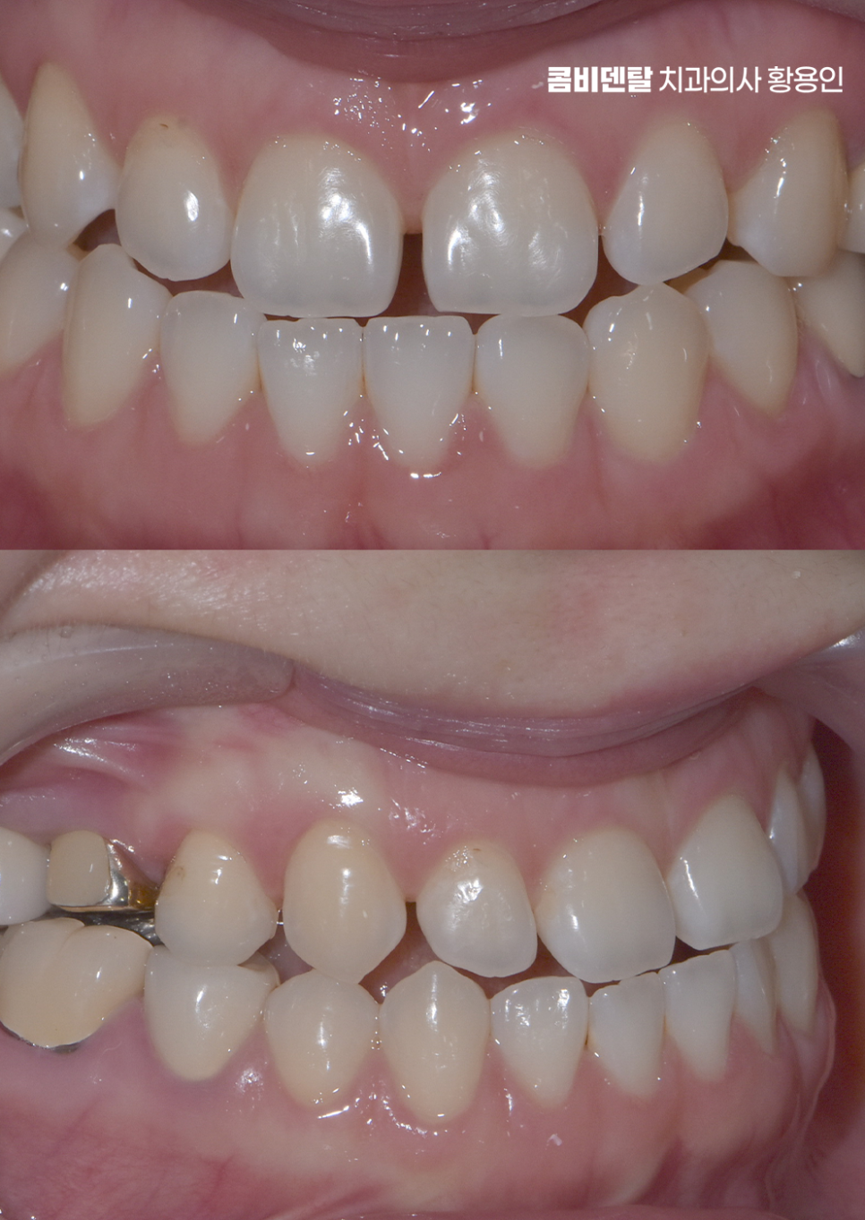
반대교합이라는 건 위턱보다 아래턱 치아가 더 앞으로 나와 있는 교합 상태를 말하는데 이걸 단순히 치아 배열의 문제라고 생각하면 오산이며 반대교합은 턱뼈의 위치, 발달 방향, 치아의 각도, 잇몸의 상태까지 모두 영향을 받는 복합적인 문제이기 때문에 전체 얼굴 균형이나 기능적인 요소까지 고려해서 치료를 계획해야 하는 교정 케이스 중 하나라는 점에서도 종합적인 관점에서 개별 맞춤형으로 접근해야 하는 거예요


보통 반대교합이 있으면 위쪽 앞니가 아래쪽 앞니 뒤에 숨어버리는 형태로 나타나는데 이건 씹는 기능에도 문제가 생기고, 발음도 부정확해지며 심미적으로도 아래턱이 튀어나와 보이는 인상을 만들기 때문에 사람들에게 큰 스트레스를 주는 경우가 많이 있어요
어릴 땐 이런 증상을 흔히 ‘주걱턱’이라고 부르며 부모님이 먼저 알아채는 경우가 많지만 성인이 된 이후에도 이 문제를 그대로 안고 살아가는 사람들이 생각보다 많으며 특히 20~30대 이후엔 턱 성장 자체는 멈췄지만 치열 교합 상태는 그대로이거나 악화된 경우가 많기 때문에 교정 치료로 인한 개선을 크게 느낄 수 있는데 반대로 방치하게 되면 턱관절에 무리를 주거나 치아 마모가 빠르게 진행될 수 있고, 구강 전체 구조가 무너지는 계기가 될 수도 있어요



반대교합 치아교정 치료 방법은 현재 턱뼈의 상태에 따라 크게 두 가지로 나눠볼 수 있는데 첫 번째는 골격적인 문제보다는 치아 배열 문제로 인해 생긴 반대교합으로 이 경우엔 일반적인 교정 장치만으로도 개선이 가능할 수 있는데 브라켓을 붙여 치아를 이동시키고, 아래턱 치아를 살짝 뒤로 보내거나 위턱 치아를 앞으로 이동시켜서 정교하게 교합을 맞추는 방식이라 할 수 있으며 발치 교정의 필요 여부는 개인에 따라 달라질 수 있어요
두 번째는 턱뼈 자체의 불균형이 원인인 골격성 반대교합인데 이 경우는 단순히 치아만 교정한다고 해결되지 않기 때문에, 성인이라면 양악수술과 교정을 병행해야 하는 경우가 많고 특히 아래턱 뼈가 과도하게 발달한 경우나 위턱이 심하게 들어가 있는 경우엔 턱의 위치 자체를 수술로 재정렬해야 하고 그걸 기반으로 치아를 정렬하는 과정이 필요할 수 있어요

반대교합 치아교정 치료 기간은 평균적으로 2년~3년 정도를 잡는 게 일반적이며 단순 치아 배열로 인한 반대교합이라면 이보다 짧게 끝날 수도 있지만 골격성 문제나 수술 병행이 필요한 경우는 아무래도 장기간의 치료 기간이 예상될 수 있으나 반대교합은 교합 조정이 중요한 케이스이기 때문에 섬세한 마무리가 중요하며 교정이 끝난 뒤에도 유지장치를 철저히 착용해야 재발을 막을 수 있었어요.
결론적으로 반대교합은 얼굴 균형부터 턱 기능, 전체 구강 건강과 직결되는 문제이기 때문에 조기 진단과 맞춤형 치료계획이 정말 중요하고 진단에 있어서 본인의 반대교합이 치성인지 골격성인지, 수술이 필요한 단계인지 아닌지를 정확히 판단하는 게 치료의 출발점이므로 경험 많은 교정 전문의와 충분히 상의하여 판단하셔야 하며 처음 치료부터 마무리까지 함께할 치과 역시도 잘 따져보시길 바라고 있어요











Previous image Next image










Previous image Next image










Previous image Next image










Previous image Next image
더 보기
이 병원의 공개 콘텐츠를 계속 살펴보세요
출처 아카이브로 돌아가 더 많은 글을 보거나, 병원 프로필로 이동해 다른 공개 채널도 함께 비교해보세요.