명동콤비치과의원 (명동)
어금니 임플란트 안하면 후회하게 되는걸까
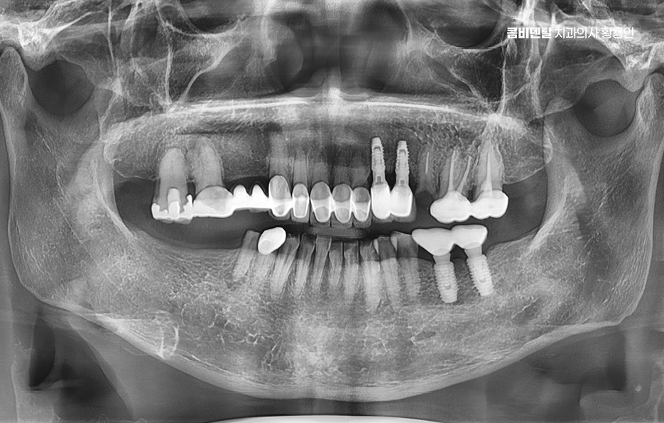
예전부터 어금니가 불편하다는 느낌은 조금씩 있었어요, 씹을 때 힘이 실리지 않는다거나, 특정 방향으로만 씹게 되는 습관이 생겼다거나, 가끔 뜨겁거나 찬 음식을 먹을 때 찌릿하고 불쾌한 통증이 지나간다거나 하는 식으로 어금니의 문제는 신호를 보내고 있었어요 그걸 그냥 대수롭지 않게 넘기다 보니 결국 이렇게까지 오게...
아카이브 요약
이 페이지의 역할
명동콤비치과의원 (명동)의 네이버 블로그 원문을 보존한 아카이브 페이지입니다. 치아스토리♡ 카테고리의 어금니 임플란트 안하면 후회하게 되는걸까 글을 통해 병원의 한국어 정보 제공 방식과 진료 관련 안내 톤을 확인할 수 있습니다.
예전부터 어금니가 불편하다는 느낌은 조금씩 있었어요, 씹을 때 힘이 실리지 않는다거나, 특정 방향으로만 씹게 되는 습관이 생겼다거나, 가끔 뜨겁거나 찬 음식을 먹을 때 찌릿하고 불쾌한 통증이 지나간다거나 하는 식으로 어금니의 문제는 신호를 보내고 있었어요 그걸 그냥 대수롭지 않게 넘기다 보니 결국 이렇게까지 오게 된 거였어요, 평소 문제를 어느정도 인식하고 있었다 보니 발치를 해야 합니다 라는 말을 들었을 때, 순간적으로 아무 생각이 나지 않고 멍하니 고개만 끄덕였던 기억이 남았어요 입을 벌려 거울로 그 부위를 봤을 때, 이미 상실된 치아가 남긴 빈자리는 생각보다 크게 느껴졌고, 더는 씹을 수 없는 쪽이 생겼다는 현실이 다가왔어요. 치아 하나쯤은 없어도 괜찮을 줄 알았던 게 큰 오산이었고, 막상 어금니가 빠지고 나니까 그 빈틈이 일상에 미치는 영향이 생각보다 컸어요
이처럼 치아를 잃게 되었을 때 앞니와는 달리 어금니의 경우 없어도 당장은 불편하진 않으니, 좀 참으면 되겠지 하고 임플란트 치료를 뒤로 미루면 어떨까 하는 생각을 하시는 분들도 적지 않은데 생각보다 어금니 임플란트 안하면 발생되는 문제는 복합적이라는 것을 잘 알고 판단하실 필요가 있는데요
어금니는 입 안에서 씹는 힘의 대부분을 담당하는 역할을 하는 치아이기 때문에, 단순히 보기에는 안 보이는 부위니까 없어도 괜찮겠지라고 생각하기 쉽지만 실제로는 어금니 하나 빠졌을 뿐인데도 치아 전체의 기능과 구조가 서서히 무너지는 결과로 이어질 수 있는 거예요.



어금니가 빠지고 나서 어금니 임플란트 안하면 그 자리에 있던 치아가 받던 씹는 힘이 인접한 치아로 분산되기 때문에 그 치아들이 점점 기울거나 밀려나게 되고 결국 반대편 치아와의 맞물림도 흐트러지면서 전체 교합이 틀어지게 될 수 있어요
그뿐 아니라 맞물리는 반대편 치아는 치아가 빠진 공간 쪽으로 점점 윗니가 내려오거나 아랫니가 올라오게 되는데 이걸 정출 현상이라고 하며 결국 정출된 치아는 뿌리가 노출되고 시리고, 나중엔 치아 수명이 급격히 저하될 수 있기 때문에 어금니 하나 빠졌을 뿐인데 라고 생각하기에는 이러한 다양한 문제로 이어질 수 있는 거예요
어금니 임플란트 안하면 또 하나 중요한 문제는 저작력 감소인데 어금니는 음식물을 잘게 부수고 갈아주는 역할을 하는 주된 치아이기 때문에, 이가 빠진 상태에서 오래 방치하면 음식 섭취가 제한되고 소화 기능까지 저하되며 특히 나이가 들수록 이런 문제가 더 두드러지게 나타나는데요. 치아가 아프거나 빠지면 자연스럽게 단단한 음식은 피하게 되고, 부드러운 음식 위주로 식단이 바뀌면서 영양 불균형이 생기고, 이는 결국 전신 건강에도 영향을 미치게 될 수 있어요





그리고 어금니가 하나 없는 상태에서 계속 반대쪽만 사용하다 보면 어느 한쪽 치아에 무리한 힘이 반복적으로 가해지면서 턱관절에 통증이 생기거나, 이갈이, 두통까지 이어지는 경우도 있어서 어금니를 치료하지 않고 그냥 두는 건 당장의 불편함을 넘어서 구강 기능의 감소와 결국 더 많은 치아를 잃게 만드는 출발점이 될 수 있는 거예요.
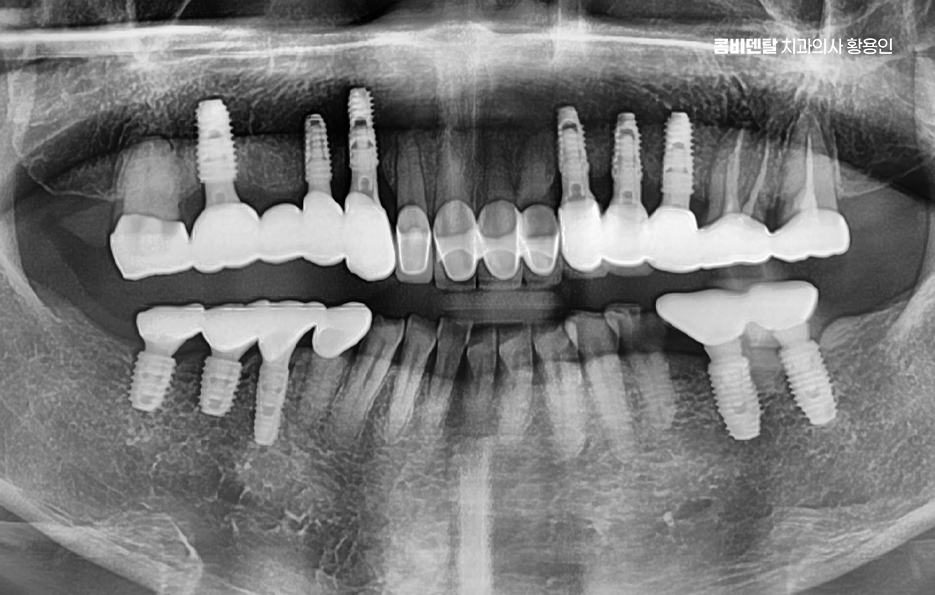
이러한 문제를 막기 위한 효과적인 방법이 바로 임플란트 치료로 어금니 임플란트를 계획할 때는 먼저 잇몸뼈 상태를 정밀하게 확인해야 하며 3D CT 촬영을 통해 뼈의 높이와 두께, 그리고 임플란트를 심을 수 있는 공간을 세밀하게 분석해야 하며 위턱 어금니 같은 경우 상악동이라는 빈 공간이 바로 위에 있어서, 치아가 빠지고 나면 그 공간이 아래로 내려와 임플란트를 심을 자리가 부족해지는 경우가 많고 아래턱 어금니는 하치조신경이라는 중요한 신경이 지나가기 때문에, 신경을 피해서 정확한 위치와 각도로 식립하는 계획이 필요할 수 있어요



어금니는 심미성보다는 저작력을 우선하기 때문에 내구성이 높은 구조로 설계하게 되며 치료가 끝났다고 해서 끝이 아니라, 정기적인 유지관리와 스케일링, 임플란트 주위염 예방을 위한 위생 습관이 반드시 동반돼야 하고 특히 어금니는 입 안 깊숙한 곳에 위치하기 때문에 칫솔질이 어렵고, 음식물이 잘 끼기 때문에 워터픽이나 치간칫솔을 병행해서 관리하는 것이 장기적인 치료 성공과 유지에 있어서 관건이라 할 수 있었어요
결론적으로 어금니 임플란트를 하지 않고 방치하면, 단순히 어금니 하나의 문제가 아니라 전체 교합, 반대편 치아, 나아가 턱관절 기능과 소화 건강까지 영향을 주게 되기 때문에, 가능한 빠르게 치료를 결정하는 것이 장기적으로 더 많은 비용과 시간을 절약하는 방법이 되는 거예요. 특히 뼈가 아직 충분하고, 주변 치아가 건강할 때 임플란트를 진행하면 예후도 좋고, 추가적인 뼈이식이나 부가 수술 없이도 비교적 간단하게 치료가 가능한 경우가 많아서 어금니 상실 후에는 임플란트 치료와의 연계를 잘 고려해서 치료 계획을 늦지 않게 세우시길 바라고 있어요











Previous image Next image










Previous image Next image










Previous image Next image










Previous image Next image
더 보기
이 병원의 공개 콘텐츠를 계속 살펴보세요
출처 아카이브로 돌아가 더 많은 글을 보거나, 병원 프로필로 이동해 다른 공개 채널도 함께 비교해보세요.