아카이브 요약
이 페이지의 역할
명동콤비치과의원의 네이버 블로그 원문을 보존한 아카이브 페이지입니다. 치아스토리♡ 카테고리의 50대임플란트 꼼꼼하게 따져봐야할 포인트는 글을 통해 병원의 한국어 정보 제공 방식과 진료 관련 안내 톤을 확인할 수 있습니다.
원문 검증
필요하면 원문 블로그와 병원 프로필로 바로 이동해 문맥을 다시 확인할 수 있습니다.
출처 아카이브 열기아카이브된 블로그 글
명동콤비치과의원 · Naver Blog
예전부터 치아가 썩는 속도가 남들보다 빠르다는 이야기를 자주 들었어요, 어릴 때는 단순히 양치질을 대충 해서 그런 줄 알았고, 조금 지나선 타고난 체질이라며 스스로를 위로했지만, 시간이 지나면서 그게 그냥 습관이나 체질의 문제가 아니라 오랜 시간 방치한 결과였다는 걸 뒤늦게 알게 됐어요, 직장 다니면서 바쁘다는...
게시일
2025년 7월 31일
원문 기준으로 확인된 발행일입니다.
카테고리
치아스토리♡
원문 블로그 카테고리를 정리해 함께 표시합니다.
이미지 수
51
현재 아카이브에 연결된 이미지 수입니다.
아카이브 요약
명동콤비치과의원의 네이버 블로그 원문을 보존한 아카이브 페이지입니다. 치아스토리♡ 카테고리의 50대임플란트 꼼꼼하게 따져봐야할 포인트는 글을 통해 병원의 한국어 정보 제공 방식과 진료 관련 안내 톤을 확인할 수 있습니다.
원문 검증
필요하면 원문 블로그와 병원 프로필로 바로 이동해 문맥을 다시 확인할 수 있습니다.
출처 아카이브 열기예전부터 치아가 썩는 속도가 남들보다 빠르다는 이야기를 자주 들었어요, 어릴 때는 단순히 양치질을 대충 해서 그런 줄 알았고, 조금 지나선 타고난 체질이라며 스스로를 위로했지만, 시간이 지나면서 그게 그냥 습관이나 체질의 문제가 아니라 오랜 시간 방치한 결과였다는 걸 뒤늦게 알게 됐어요, 직장 다니면서 바쁘다는 핑계로 통증이 있어도 참고, 잇몸이 붓거나 피가 나도 대수롭지 않게 넘기기를 반복했고, 그 결과 어느 날부터 하나둘씩 치아가 흔들리기 시작하더니 결국은 몇 개의 치아를 잃게 되었어요. 처음엔 하나 빠졌을 때도 '뭐 어금니 하나쯤 없다고 당장 큰일 나는 건 아니지' 싶었고, 보이지도 않으니까 신경 안 쓰고 넘겼는데, 그게 큰 착각이었어요, 하나 빠지고 나면 그 옆 치아가 기울기 시작하고, 반대쪽 어금니는 씹는 부담이 늘어나고, 그렇게 전체적인 균형이 무너지기 시작하는데, 그 과정이 생각보다 빨랐어요
이처럼 치아의 상실은 단지 치아 하나를 잃은 문제로 끝나는 것이 아닌 주변 치아 뿐 아니라 저작력, 심미성, 전체 교합 등에도 영향을 연쇄적으로 주기 때문에 씹는 불편함에서 그치는 것이 아날 나아가 전신 건강과 삶의 질까지 영향을 줄 수 있는데요
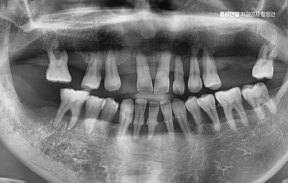
50대에 접어들면서 치아를 하나씩 군데군데 잃게 되는 경우가 의외로 많으며 어느 날 갑자기 이 하나가 빠지는 게 아니라, 충치로 인해 오래 방치했던 치아가 무너지고, 잇몸이 약해져서 흔들리던 치아가 뽑히고, 그러다 보면 어느새 위아래, 양쪽 어금니, 앞니 사이사이에 비어 있는 자리가 생겨버리는 거예요.


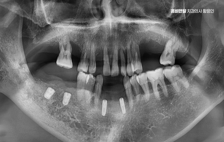
이런 상태를 “부분 무치악”이라고 부르는데 이러한 상태에서 50대임플란트 치료 계획을 세운다는 것은 전체 치열과 기능까지 다시 설계해야 하는 복잡한 치료가 될 수 있어서 50대에 여러 치아를 잃은 경우엔 임플란트 치료 계획이 단순한 ‘치아 대체’ 수준이 아니라, 전체적인 구강 재건이라는 개념으로 접근해야 할 수 있어요
일단 군데군데 치아가 빠진 상태를 방치하면 문제가 걷잡을 수 없이 커질 수 있는데 빈자리를 기준으로 양옆 치아가 쓰러지듯이 기울고, 맞물리는 반대편 치아는 내려오며 그렇게 전체 치열이 무너지게 되고, 나머지 치아들이 계속해서 무리한 힘을 받으면서 결국 건강하던 치아까지 하나둘씩 손상되는 거예요.


결국 남은 치아까지 빼야 할 상황이 와서 여러 치아를 잃은 경우, 남아 있는 치아들을 보호하려는 목적에서도 50대임플란트 꼭 필요한 치료가 될 수 있어요
50대임플란트 치료는 시작 전에 정밀한 진단이 선행되어야 하는데 단순히 빈자리만 보고 이 자리에 임플란트를 하나씩 심는 방식이 아니라 턱뼈 상태, 잇몸 높이, 씹는 힘의 분포, 전체 교합의 불균형까지 전부 고려해야 안정적이고 오래 가는 치료가 될 수 있어요


그래서 CT 촬영으로 턱뼈의 두께, 밀도, 신경 위치를 정밀하게 확인하고 각 임플란트의 위치와 각도를 계획해야 하며 50대는 전신 건강 상태도 함께 고려해야 하는데 당뇨, 고혈압, 골다공증 같은 만성 질환이 있는 경우에는 임플란트 치료 시 잇몸 치유 속도나 골융합 반응이 다를 수 있기 때문에, 반드시 의료진과의 충분한 상담이 필요하고 약물 복용 여부나 치유 능력 등을 고려해 치료 시기와 방식을 1:1 맞춤형으로 계획하실 필요가 있어요
군데군데 빠진 치아를 전부 임플란트로 하나씩 심을 수도 있지만, 꼭 그럴 필요는 없으며 예를 들어 어금니 3개가 빠졌다면 3개를 다 심지 않고, 2개만 심고 그 사이를 브릿지로 연결하는 방식도 가능한데 이러한 치료 계획은 단순히 효율성이나 경제적인 측면만 따지는 것이 아니라 각 개인의 잇몸 뼈 상태와 식립 위치, 각도 그리고 사후관리까지 종합적으로 판단해야 하기 때문에 경험 많은 치과의사와 함께 충분한 상의 후에 결정해야 하는 거예요




50대임플란트 치료가 끝났다고 해서 끝이 아니라 이 시점부터 유지 관리가 무척이나 중요하며 임플란트 수명을 좌우할 수 있는데 임플란트는 영구적인 치료가 아니고 얼마나 잘 관리하느냐에 따라 수명이 달라지는 구조이기 때문에 정기적인 검진과 스케일링을 잘 실천해야 하고 집에서는 부드러운 칫솔, 치간칫솔, 치실, 필요하면 워터픽까지 활용해서 잇몸 사이 관리에 신경 써야 하겠고 음식도 처음엔 너무 질기거나 딱딱한 건 피하고, 골고루 양쪽으로 씹는 습관을 들여야 하는 등의 관리가 곧 임플란트를 얼마나 오래 쓸 수 있느냐를 좌우할 수 있기 때문에 치과 역시도 오래 함께할 곳을 잘 따져보실 필요가 있었어요
결론적으로 50대에 치아를 군데군데 잃은 상태는 더 이상 ‘부분적인 문제’가 아니라, 구강 전체가 구조적으로 재설계를 필요로 한다는 뜻이 될 수 있고 제대로 된 임플란트 치료 계획은 단순히 치아를 심는 게 아니라, 전체적인 기능, 건강, 외모를 되살리는 종합적인 관점이 필요하다는 점을 고려하여 50대임플란트 치료 계획을 철저하게 세워보시길 바라고 있어요











Previous image Next image










Previous image Next image










Previous image Next image










Previous image Next image