명동콤비치과의원 (명동)
앞니 신경치료 크라운 까지 해야할 상황이라면
처음 앞니 크라운을 했을 땐 솔직히 말해서 그 치료가 앞으로 이렇게 오랜 시간 내 마음 한구석에 부담처럼 남게 될 줄 몰랐어요, 단순히 앞니 하나의 문제였고, 당시에 크라운 치료를 받으면서는 ‘이 정도면 괜찮다’ 싶었어요 거울을 봤을 때 색도 잘 맞고 기능도 문제없어 보여서 마음이 놓였고, 그 뒤로는 딱히 신경을...
아카이브 요약
이 페이지의 역할
명동콤비치과의원 (명동)의 네이버 블로그 원문을 보존한 아카이브 페이지입니다. 치아스토리♡ 카테고리의 앞니 신경치료 크라운 까지 해야할 상황이라면 글을 통해 병원의 한국어 정보 제공 방식과 진료 관련 안내 톤을 확인할 수 있습니다.
처음 앞니 크라운을 했을 땐 솔직히 말해서 그 치료가 앞으로 이렇게 오랜 시간 내 마음 한구석에 부담처럼 남게 될 줄 몰랐어요, 단순히 앞니 하나의 문제였고, 당시에 크라운 치료를 받으면서는 ‘이 정도면 괜찮다’ 싶었어요 거울을 봤을 때 색도 잘 맞고 기능도 문제없어 보여서 마음이 놓였고, 그 뒤로는 딱히 신경을 쓰지 않고 지냈어요, 세월이 지나고 나서도 오랫동안 별다른 통증이나 불편함이 없었기 때문에, 앞니 크라운에 뭔가 이상이 생기리라는 생각은 거의 하지 않고 있었는데, 정말 문제는 그렇게 아무렇지 않게 지내고 있던 어느 날 갑자기 찾아왔어요. 어느 순간부터 앞니 주변이 묘하게 당기는 느낌이 들고, 이가 시큰거린다거나 미세하게 물이 스미는 것 같은 불편함이 생기기 시작했는데, 그게 처음엔 큰 신호라고 생각되지 않아서 무심코 넘겼어요, 하지만 시간이 지날수록 음식물을 씹을 때 묘하게 신경 쓰이고, 시린 감각도 더 잦아지고, 입 안에서 뭔가 이질적인 느낌이 들기 시작하면서 점점 이게 단순한 감각의 문제가 아니구나 싶었어요
이처럼 과거에 치료를 받았던 보철물은 시간이 오래 지난 후에 문제가 발생할 수 있지만 한참 안아프고 별다른 문제가 없었다는 이유로 잊고 지내다 보면 나중에 문제가 커지는 경우가 있는데요
즉 앞니에 오래된 보철물이 있다면 언젠가는 꼭 점검해 봐야 하는 시점이 오게 되지만 겉보기엔 괜찮아 보일 수 있어요.



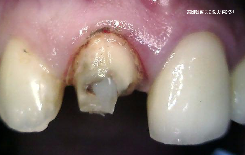
색도 아직 흰 편이고, 기능적으로도 문제없이 사용하고 있을 수도 있는데 보철물이 오래됐다는 건 그 안쪽이나 주변에 문제가 숨어 있을 가능성이 높다는 뜻이기도 하고 특히 앞니처럼 심미성과 기능이 모두 중요한 부위는 작은 변화도 크게 느껴지고 문제를 오래 방치하면 결국 재신경치료나 발치로 이어지는 경우도 있어요
앞니는 웃을 때, 말할 때 먼저 보이는 자리여서 과거에는 심미성만 우선해서 치료를 하거나, 그 당시 기술로 가능한 선에서만 보철을 해둔 경우가 많은데 시간이 지나면 잇몸이 내려가면서 보철물 가장자리가 드러나거나 회색 선이 드러나는 경우나 2차 충치 등의 문제가 나타날 수 있었어요
이런 경우 처음엔 잇몸이 붓거나 피가 나는 가벼운 증상으로 시작될 수 있지만 그 아래에서는 이미 보철물 안쪽 치아가 썩고 있거나, 보철물 아래 충치가 진행됐을 수 있으며 특히 오래된 보철물은 접착제가 이미 닳아 있거나 밀착력이 떨어져 있어서 세균이 쉽게 침투할 수 있어서 이런 식의 2차 충치는 눈으로 보이지 않기 때문에, 문제가 꽤 심각해졌을 때야 느끼게 되는 경우가 많은 거예요



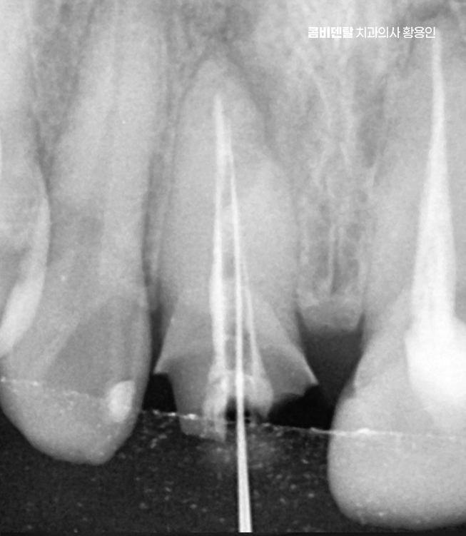
문제가 심해지면 결국 신경에까지 세균이 도달해서 통증이 생기고 찬물에 시리거나, 저리듯이 쑤시는 느낌, 잇몸에 작은 뾰루지가 생기는 경우도 있으며 그냥 손가락으로 눌렀을 때 묵직한 압통이 있다면 이미 신경치료가 필요한 상태일 가능성이 높아지고 이런 경우엔 기존 보철물을 제거하고, 내부 충치 상태를 확인한 뒤, 신경치료부터 들어가야 할 수 있었어요
신경치료는 치아 내부의 염증이나 감염된 신경을 제거하고, 뿌리 속을 소독해서 밀봉하는 치료로 앞니는 뿌리가 하나인 경우가 대부분이라 어금니보단 비교적 간단하지만, 이미 보철을 한 치아는 구조적으로 약해져 있기 때문에 세심한 처치가 필요한데 뿌리 일부가 약해져 있거나 균열이 생겨 있을 가능성도 있어서 이런 경우엔 정밀한 신경치료가 필요하며 감염이 심한 경우엔 2~3회에 걸쳐 치료가 이뤄지고, 상태가 안정된 뒤에 마무리되는 거예요.


신경치료가 끝나면 그 다음은 크라운 치료로 이어지게 되는데 앞니는 어금니와 다르게 보이는 게 중요해서 크라운 선택 시엔 재료가 중요해서 올세라믹 크라운이 주로 쓰이고 내구성이 좀더 중요한 경우에는 지르코니아 크라운도 많이 쓰이고 있으며 앞니 치료 시에는 자연치처럼 투명도와 색감이 중요하고 특히 빛 반사까지도 고려해야 하므로 앞니 신경치료 크라운 종류의 선택이 중요할 수 있었어요
앞니 신경치료 크라운의 경우 심미성과 기능을 동시에 만족시켜야 하기 때문에 치료 계획도 섬세하게 세워야 하는데 색조 선택도 중요하고, 인접 치아와 조화를 이루는 형태, 길이, 각도까지 전부 신경 써야 하기 때문에 경험 많은 치과의사와 잘 상의하는 것이 필요할 수 있어요

결국 앞니 치료는 치료 후 관리도 잘 고려해야 하는데 신경치료한 치아는 감각이 줄어들기 때문에 문제가 생겨도 통증이 없는 경우가 많아서 정기적으로 엑스레이를 찍고 뿌리 상태를 확인하는 게 필요하고 잇몸 관리를 위한 스케일링도 꼭 주기적으로 받아야 한다는 점도 잊지 마시길 바라고 있었어요
결론적으로 오래된 앞니 보철물은 단순히 ‘겉모습만 문제’가 아니며 그 안에서 벌어지고 있는 문제를 조기에 발견하지 못하면 치아 자체를 잃을 수도 있어서 앞니 보철이 오래됐다면 통증이 없더라도 점검을 받아야 하고 문제가 생겼다면 재정비 계획을 빠르게 세우는 것이 자연치아를 보존하는 중요한 대처라는 점을 잘 기억하시길 바라고 있어요











Previous image Next image










Previous image Next image










Previous image Next image










Previous image Next image
더 보기
이 병원의 공개 콘텐츠를 계속 살펴보세요
출처 아카이브로 돌아가 더 많은 글을 보거나, 병원 프로필로 이동해 다른 공개 채널도 함께 비교해보세요.