명동콤비치과의원 (명동)
송곳니 크라운 티가 안나게 해결 가능한건가요
어릴 때는 송곳니가 나름의 포인트처럼 보였고, 웃을 때 조금 튀어나와 보이는 게 오히려 귀여운 느낌이라고 생각했을 만큼 별다른 불만도 없었고, 기능적으로도 별 신경 쓰지 않고 살았는데, 어느 날 그 송곳니에 작은 금이 간 걸 발견하면서부터 생각이 달라지게 됐어요, 처음에는 단순히 스치듯 지나가는 불편함이었고, 거울...
아카이브 요약
이 페이지의 역할
명동콤비치과의원 (명동)의 네이버 블로그 원문을 보존한 아카이브 페이지입니다. 치아스토리♡ 카테고리의 송곳니 크라운 티가 안나게 해결 가능한건가요 글을 통해 병원의 한국어 정보 제공 방식과 진료 관련 안내 톤을 확인할 수 있습니다.
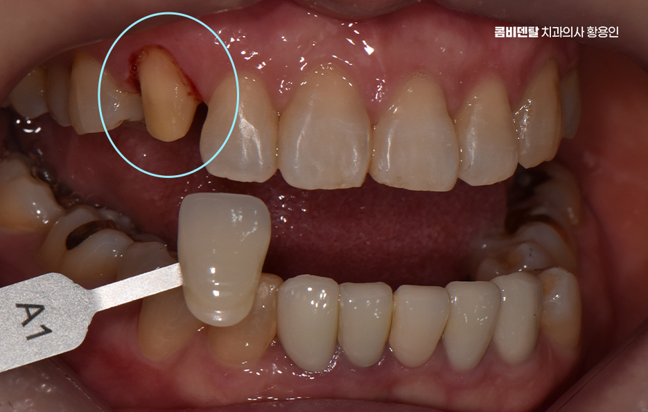
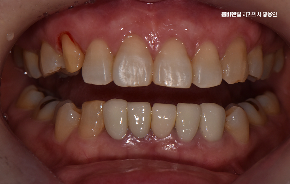
어릴 때는 송곳니가 나름의 포인트처럼 보였고, 웃을 때 조금 튀어나와 보이는 게 오히려 귀여운 느낌이라고 생각했을 만큼 별다른 불만도 없었고, 기능적으로도 별 신경 쓰지 않고 살았는데, 어느 날 그 송곳니에 작은 금이 간 걸 발견하면서부터 생각이 달라지게 됐어요, 처음에는 단순히 스치듯 지나가는 불편함이었고, 거울을 봐도 겉으로는 별다른 이상이 없었기에 그냥 피곤하거나 단단한 걸 씹다 살짝 충격을 받은 것뿐이겠지 하고 넘겼어요, 그런데 시간이 지나면서 그 송곳니 주변에 묘한 감각이 생기기 시작했고, 특히 찬물이나 단 음식이 닿을 때마다 찌릿한 시림이 점점 더 자주 찾아오면서 단순한 문제가 아니라는 걸 실감하게 됐어요. 정확히 언제, 어떤 이유로 그렇게 손상이 된 건지는 알 수 없었지만, 분명한 건 그동안 송곳니가 많은 역할을 해왔다는 거였어요, 다른 치아에 비해 뿌리도 깊고, 입꼬리 쪽에서 중요한 균형을 잡아주는 역할을 하다 보니 교합이나 저작 시에도 무게를 많이 견디는 위치인데, 그만큼 미세한 손상이 쌓이면 결국 파절이나 크랙으로 이어질 수 있다는 걸 나중에야 알게 됐어요, 다만 이미 치질이 약해진 상태라서 송곳니 크라운을 해야 했는데 송곳니는 눈에 잘 띄는 치아 중 하나인데, 거기를 깎고 덮는다는 게 쉽게 받아들여지진 않았고, 뭔가 내 얼굴 전체 인상이 바뀌는 건 아닐까 하는 걱정도 들었어요.
이처럼 송곳니의 손상은 비교적 눈에 잘 띄는 부위에 속하기 때문에 앞니 만큼이나 심미적인 치료가 중요한 부위이기 때문에 크라운 치료를 해야 한다면 심미성과 기능을 함께 고려한 치료가 중요할 수 있는데요
송곳니는 생각보다 입 안에서 중요한 역할을 하는 치아로 기능적으로는 앞니와 어금니를 연결해주는 다리 역할을 하고, 음식물을 자를 때나 씹을 때도 큰 힘을 발휘하는 치아이며 심미적으로도 얼굴 인상에 영향을 주는 위치에 있어서, 문제가 생겼을 때는 치료 방법을 신중하게 선택해야 하는 거예요


특히 송곳니 크라운 치료가 필요한 상황이라면, 단순히 기능 회복만 생각할 게 아니라 모양과 색감까지 자연스럽게 복원하는 게 중요하겠고 이런 경우에 적합한 방법이 바로 올세라믹이나 지르코니아 크라운을 이용한 심미적인 치료라고 할 수 있어요
크라운 치료는 치아가 많이 손상됐을 때, 또는 신경치료 후 치아가 약해졌을 때 치아를 보호하고 형태를 회복시키기 위한 보철 치료인데 쉽게 말하면 보통 씌우기 치료라고 말하는 치아를 보철물로 전체를 덮는 치료로 송곳니처럼 앞쪽에 위치한 치아는 씌운 게 티 나지 않게 만들어야 하니까 재료 선택이 중요하다는 점에서도 올세라믹과 지르코니아 같은 재료가 주로 활용되고 있었어요


올세라믹 크라운은 말 그대로 금속이 전혀 들어가지 않은 세라믹 재료로 만들어진 크라운으로 금속 없이 순수한 도자기로만 제작되기 때문에 빛 투과성이 자연치아와 거의 비슷하고, 치아 본연의 반투명한 느낌을 재현할 수 있으며 특히 송곳니처럼 햇빛이나 형광등 아래에서 드러나기 쉬운 치아는 빛에 반응하는 느낌이 중요한데 올세라믹은 이런 부분에서 우수한 심미성을 보여주는 재료로 말할 때나 웃을 때 자연스럽게 어우러져서 보철물이 있다는 걸 거의 눈치챌 수 없게 만들어줄 수 있을 정도로 송곳니 크라운 재료에서 심미적인 장점이 있어요
다만 남아있는 잔존 치아가 부족한 경우에는 내구성도 중요하기 때문에 내구성이 높은 지르코니아를 선택하게 되는 경우도 많고 요즘은 올세라믹과 지르코니아의 장점을 합친 하이브리드 올세라믹 크라운의 선택도 점점 많아지고 있었어요


송곳니에 크라운 치료가 필요해지는 경우는 보통 충치가 깊게 진행됐거나, 외상으로 깨진 경우, 아니면 이미 신경치료를 한 후에 치아가 약해져서 파절 위험이 있을 때로 송곳니 크라운 치료를 고려할 때 치아의 손상 원인을 잘 분석하여 비슷한 문제가 재발하지 않도록 원인 파악과 개선 또한 무척 중요한데 아무리 치료를 잘 받아도 비슷한 문제가 빠르게 반복된다면 자연치아의 수명도 그만큼 빠르게 줄어들 수 있어요
그리고 물론 치료 과정도 중요한데 아무리 좋은 재료를 써도, 본을 잘못 뜨거나 치아 삭제량이 과하면 치아의 수명도 더 줄어들 수 밖에 없고 결과가 자연스럽지 않을 수 있으며 송곳니는 치근이 길고, 뿌리 방향이 독특한 구조를 가지고 있기 때문에 섬세하고 정교한 치료가 중요하기 때문에 경험 많은 치과의사와 함께 하는 것도 중요한 부분이라 할 수 있었어요
송곳니 크라운 치료 시에 자연스러운 결과를 위해 고려해야 할 점으로 또 하나는 잇몸과의 조화로 예를 들어 금속이 들어간 PFM과 같은 보철물은 시간이 지나면서 잇몸 경계에 어둡게 변색되는 현상이 생길 수 있지만 올세라믹은 전혀 금속이 없기 때문에 이런 문제가 없고, 인체 친화적인 소재라 잇몸 자극도 거의 없으며 송곳니는 입술과 접촉이 많은 위치라서 잇몸이 예민한 편인데 올세라믹은 이런 잇몸과도 안정적인 조화를 이루기 때문에 오랜 시간이 지나도 건강한 상태를 유지할 수 있다는 점에서 장점이 있어요


마지막으로 송곳니 크라운 치료를 고려할 때 장기적인 안정성과 수명 유지에 대해서도 고려해야 하는데 세라믹 계열의 크라운은 내구성이 높긴 하지만 깨질 우려에 대해 주의해야 하며 보통 크라운은 10년 정도를 수명으로 예상하지만 개인의 관리에 따라 더 짧아지기도 하고 길어지기도 하므로 정기적인 검진을 통해 보철물 수명을 잘 관리하는 것이 곧 자연치아의 수명과도 직결된다는 점을 잘 이해하시고 실천하시길 바라고 있었어요
정리하면 송곳니 크라운 치료를 고민하신다면 사람과 대화하고, 웃고, 감정을 표현할 때 자연스럽게 드러나는 치아이기 때문에 더욱 완성도 높은 치료가 필요하고 치료 자체도 중요하지만 크라운을 씌울 정도로 자연치아의 손상이 이미 발생 했다면 더 추가적인 문제가 진행되지 않도록 꼭 원인 파악과 재발 방지에 힘쓰시길 바라고 있어요











Previous image Next image










Previous image Next image










Previous image Next image










Previous image Next image
더 보기
이 병원의 공개 콘텐츠를 계속 살펴보세요
출처 아카이브로 돌아가 더 많은 글을 보거나, 병원 프로필로 이동해 다른 공개 채널도 함께 비교해보세요.