명동콤비치과의원 (명동)
어금니 발치후 임플란트 안하면 어떻게 변하는걸까
어금니 하나를 결국 뽑게 됐어요, 살릴 수 있을 줄 알았는데 생각보다 상태가 안 좋았고, 신경치료도 한계가 있었어요 발치를 하고 나니까 생각보다 허전하다는 걸 몸이 먼저 느끼더라고요, 생각으로는 단순히 어금니 하나 뺀 거였지만 음식 씹을 때마다 무의식적으로 혀끝이 빈자리를 더듬고, 예전처럼 자연스럽게 씹는 게 어려...
아카이브 요약
이 페이지의 역할
명동콤비치과의원 (명동)의 네이버 블로그 원문을 보존한 아카이브 페이지입니다. 치아스토리♡ 카테고리의 어금니 발치후 임플란트 안하면 어떻게 변하는걸까 글을 통해 병원의 한국어 정보 제공 방식과 진료 관련 안내 톤을 확인할 수 있습니다.
어금니 하나를 결국 뽑게 됐어요, 살릴 수 있을 줄 알았는데 생각보다 상태가 안 좋았고, 신경치료도 한계가 있었어요 발치를 하고 나니까 생각보다 허전하다는 걸 몸이 먼저 느끼더라고요, 생각으로는 단순히 어금니 하나 뺀 거였지만 음식 씹을 때마다 무의식적으로 혀끝이 빈자리를 더듬고, 예전처럼 자연스럽게 씹는 게 어려워지니까 식사 자체가 스트레스로 다가오기 시작했어요, 치아 하나 없어진 것뿐인데 밥맛도 덜 나고, 씹는 쾌감이 없으니까 포만감도 줄어든 느낌이에요, 주변 치아에 자꾸 무리를 주는 게 느껴지고, 한쪽으로만 씹다 보니까 턱도 뻐근해지고, 이걸 오래 두면 안 되겠다는 생각은 점점 더 강해졌어요, 그런데도 바로 임플란트를 시작해야 할지에 대해선 마음이 쉽게 정해지지 않았어요. 하지만 단순히 불편함을 참는 수준이 아니라 잇몸 뼈도 흡수된다고 하니까 임플란트 안하면 발생되는 문제와 치료를 한다면 언제 어떤 준비를 해야할지도 잘 알아야 했어요
이처럼 요즘은 치아를 상실하게 되면 임플란트를 하는 것이 자연스러운 인식처럼 받아 들여지기도 했지만 막상 임플란트 치료 자체가 쉬운 결정도 아니다보니 망설이거나 미루게 되는 분들도 있는데요. 어금니 발치후 임플란트 안하면 발생되는 문제는 사실 복합적이고 연쇄적으로 나타날 수 있어서 제대로 치료를 이해하고 준비하는 것이 중요한 거예요
어금니를 발치하게 되면 많은 분들이 “안 보이는 치아니까 굳이 임플란트 안 해도 되지 않을까?” 하고 생각하는 경우가 많지만 어금니는 단순히 음식만 씹는 위치에 있는 게 아니라, 입안 전체 구조와 기능을 안정시키는 데 주된 역할을 하는 치아이기 때문에, 그냥 빈자리로 남겨두는 건 장기적으로 문제를 일으킬 수 있었어요.



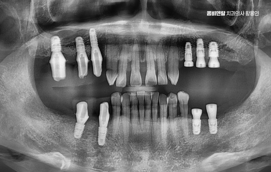
어금니 발치후 임플란트 안하면 먼저 생기는 문제는 치아 이동 현상으로 사람의 치아는 서로 의지하면서 균형을 맞추고 있는데, 어금니 하나가 빠지게 되면 그 자리를 메꾸기 위해 옆 치아들이 점점 쓰러지듯이 기울어지며 또 위아래 맞물리던 치아는 상대 치아가 사라지면 아래로 내려오거나 위로 솟구치면서 위치가 틀어질 수 있어요
결국 전체 치열이 뒤틀리고 교합이 망가지게 되는 것인데 이건 단순한 배열 문제가 아니라, 턱관절까지 영향을 줄 수 있는 변화로 이어지는 거예요.
어금니 발치후 임플란트 안하면 두 번째는 저작 기능의 저하가 나타나게 되는데 어금니는 말 그대로 씹는 기능을 담당하는 주력 치아이기 때문에, 하나라도 빠지게 되면 씹는 힘의 균형이 깨지게 되는 것이며 그 결과, 반대쪽 어금니에 무리가 가거나 앞니를 과도하게 사용하게 되면서 다른 치아까지 마모되거나 흔들리기 쉬워지고 특히 음식물을 잘게 부수지 못하면 소화기계에도 영향을 줄 수 있었어요.



그리고 사실 골 흡수의 문제가 무척이나 큰데 즉 잇몸뼈가 점점 사라지는 현상으로 치아가 뿌리로 잇몸뼈에 자극을 주고 있어야 뼈가 유지되는데, 치아가 빠진 상태로 계속 방치되면 그 부위 뼈는 서서히 꺼지듯이 흡수되기 시작하는 거예요.
이게 심해지면 나중에 임플란트를 하고 싶어도 뼈가 부족해서 뼈이식까지 같이 해야 하고, 수술 범위도 커지는 것이며 임플란트를 하지 않고 방치한 시간이 길수록 치료가 까다로워지고, 비용도 더 많이 들어가는 문제가 발생될 수 있었어요



그렇다면 어금니 발치 후, 임플란트를 잘 받기 위한 방법은 뭐냐 하면 첫 번째는 시기를 놓치지 않는 것인데 발치 후 3개월 내에는 임플란트를 심는 게 이상적이며 사실 요즘은 경우에 따라 ‘즉시 식립’이라고 해서 발치 당일에 임플란트를 심는 경우도 많아지고 있기 때문에 발치와 함께 임플란트 치료 계획을 세우는 것이 이상적이라 할 수 있어요
나에게 맞는 치료를 하기 위해서는 정확한 진단과 설계가 중요하며 CT 촬영 등을 통해 신경 위치, 뼈의 양, 두께 등을 정밀하게 진단한 다음, 교합과 치열 구조에 맞는 위치에 임플란트를 심는 게 중요한데 잘못된 위치에 심어지면 오래 쓰기 어렵고, 나중에 통증이나 염증이 생길 수 있었어요.




임플란트는 처음 수술보다 이후 관리가 더 중요하다고 할 정도니까, 처음부터 잘 설계된 치료계획 아래 수술을 받는 게 중요하며 그 이후로도 사후관리를 잘하는 것이 곧 임플란트의 수명 유지에 중요한 거예요
임플란트는 자연치처럼 충치가 생기진 않지만, 임플란트 주위염이라는 문제가 생길 수 있으며 자연치의 치주염처럼 뼈가 녹고 잇몸이 붓는 염증인데 방치하면 결국 임플란트가 흔들리고 탈락하게 되서 정기적인 스케일링과 함께 정해진 시기에 치과에서 검진을 받아야 하고 양치나 치간칫솔, 워터픽 같은 도구로 관리도 꾸준히 해줘야 하며 치료 계획부터 유지까지 장기적인 관점에서 치료를 바라봐야 하기 때문에 치과 역시도 오래 함께할 곳을 잘 따져보시길 바라고 있어요











Previous image Next image










Previous image Next image










Previous image Next image










Previous image Next image
더 보기
이 병원의 공개 콘텐츠를 계속 살펴보세요
출처 아카이브로 돌아가 더 많은 글을 보거나, 병원 프로필로 이동해 다른 공개 채널도 함께 비교해보세요.