아카이브 요약
이 페이지의 역할
명동콤비치과의원의 네이버 블로그 원문을 보존한 아카이브 페이지입니다. 치아스토리♡ 카테고리의 돌출입 팔자주름 교정 얼마나 바뀔까요 글을 통해 병원의 한국어 정보 제공 방식과 진료 관련 안내 톤을 확인할 수 있습니다.
원문 검증
필요하면 원문 블로그와 병원 프로필로 바로 이동해 문맥을 다시 확인할 수 있습니다.
출처 아카이브 열기아카이브된 블로그 글
명동콤비치과의원 · Naver Blog
처음에는 팔자주름이 생겼다는 사실조차 인식하지 못했어요, 그냥 나이가 들어가니까 자연스럽게 얼굴이 조금씩 달라지는 거겠지 하고 생각했고, 주름이 뭐 하나둘 생기는 건 당연한 거라며 대수롭지 않게 넘겼어요, 그런데 어느 날 문득 이상하게 그 주름 하나가 내 인상을 확 달라 보이게 만드는 느낌이 들었어요, 그래서 스킨...
게시일
2025년 11월 18일
원문 기준으로 확인된 발행일입니다.
카테고리
치아스토리♡
원문 블로그 카테고리를 정리해 함께 표시합니다.
이미지 수
51
현재 아카이브에 연결된 이미지 수입니다.
아카이브 요약
명동콤비치과의원의 네이버 블로그 원문을 보존한 아카이브 페이지입니다. 치아스토리♡ 카테고리의 돌출입 팔자주름 교정 얼마나 바뀔까요 글을 통해 병원의 한국어 정보 제공 방식과 진료 관련 안내 톤을 확인할 수 있습니다.
원문 검증
필요하면 원문 블로그와 병원 프로필로 바로 이동해 문맥을 다시 확인할 수 있습니다.
출처 아카이브 열기처음에는 팔자주름이 생겼다는 사실조차 인식하지 못했어요, 그냥 나이가 들어가니까 자연스럽게 얼굴이 조금씩 달라지는 거겠지 하고 생각했고, 주름이 뭐 하나둘 생기는 건 당연한 거라며 대수롭지 않게 넘겼어요, 그런데 어느 날 문득 이상하게 그 주름 하나가 내 인상을 확 달라 보이게 만드는 느낌이 들었어요, 그래서 스킨케어를 바꿔보기도 하고, 마사지도 해보고, 필러 관련 정보도 찾아봤는데, 아무리 바깥에서 얼굴을 만지고 뭘 채워도 내 얼굴이 달라지는 느낌은 들지 않았어요, 그러다 우연히 돌출입 교정을 통해서 팔자주름이 개선될 수 있다는 말을 들었어요. 처음엔 그게 무슨 상관일까 싶었어요, 입이 조금 들어간다고 해서 주름이 줄어든다니 말이 안 되는 얘기 아닌가 싶었지만, 생각보다 입이 앞으로 나와 있었던 사람들일수록 입이 들어가면서 얼굴 전체 인상이 부드러워졌고, 특히 팔자주름이 확실히 덜 도드라져 보이더라고요
이처럼 치아교정을 고민하는 분들 중에서는 대표적으로 돌출입과 같이 얼굴 변화에 대한 부분에서 주된 치료 목표를 세우시는 분들도 많이 있는데요.
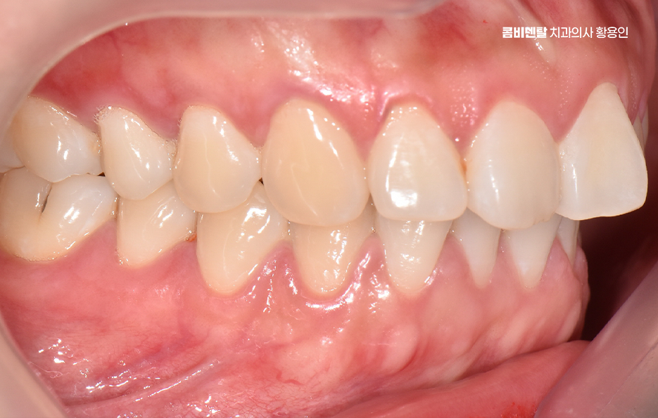
돌출입은 단순히 치아만 튀어나와 있는 게 아니라 얼굴 전체의 인상까지 영향을 주며 옆모습에서 입이 나와 보이는 느낌, 입을 다물 때 턱에 힘이 들어가는 현상, 웃을 때 입술이 과하게 들리는 모습 등은 단순한 심미적인 문제를 넘어서 기능적인 불편함까지 동반하게 될 수 있었어요



그래서 돌출입 교정은 단순히 치아를 고르게 배열하는 것 이상의 의미가 있으며 치아의 위치뿐만 아니라 얼굴의 윤곽, 입술의 돌출도, 돌출입 팔자주름 교정 즉 팔자주름의 깊이까지 영향을 줄 수 있는 치료 과정이 되는 거예요.
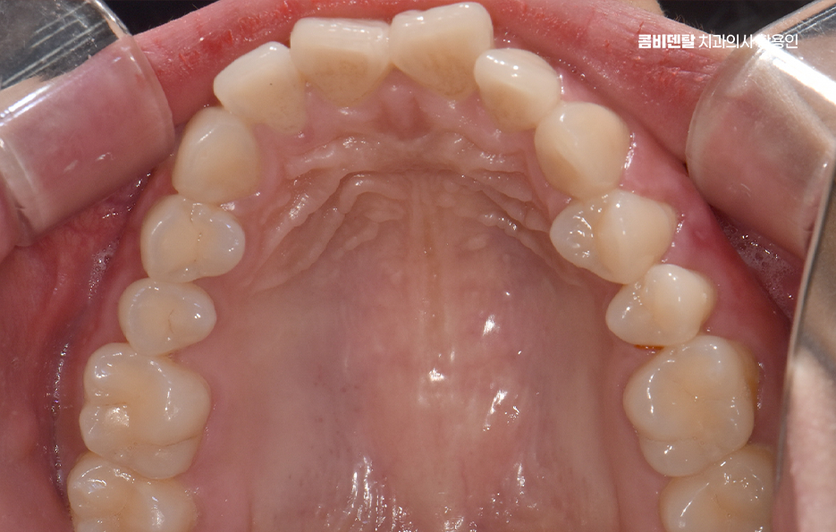
먼저 돌출입이라는 건 치아만 튀어나와 있는 경우도 있지만, 잇몸뼈 자체가 앞으로 튀어나와 있는 골격적인 돌출도 있는데 치아 돌출만 있는 경우는 치아 교정만으로도 비교적 간단하게 개선이 가능하지만 골격적인 돌출이 심한 경우에는 치아교정만으로는 한계가 있어서 수술교정을 병행해야 하는 경우도 있었어요.
하지만 대부분의 경우는 발치교정만으로도 충분히 개선이 가능하며 돌출입이 있을 때는 입술이 자연스럽게 다물어지지 않아서 턱 주변에 불필요한 힘이 들어가고, 표정이 어색해 보이기 쉬운데 이런 불균형을 치아 위치를 조절함으로써 완화시킬 수 있는 거예요.


돌출입 팔자주름 교정 치아를 어떻게 움직이느냐에 따라 얼굴 인상이 달라지는 것인데 돌출입 교정은 일반적으로 소구치 네 개를 발치한 후, 앞니를 뒤쪽으로 밀어넣고 악궁을 재배열하는 방식으로 진행되며 앞니가 뒤로 이동하고 자연스럽게 입술이 들어가게 되고, 입술 돌출도가 줄어들면서 얼굴이 전반적으로 부드럽고 조화로운 느낌으로 바뀔 수 있어요
옆모습에서 입이 덜 나와 보이고, 턱선이 또렷해지는 것도 이런 원리에서 비롯되며 치아 배열 자체는 물론이고, 입술과 턱 근육의 균형이 맞춰지기 때문에 얼굴 인상이 부드럽고 안정적으로 바뀌는 거예요.
돌출입 팔자주름 교정 그럼 팔자주름은 어떻게 변하느냐는 질문도 많은데 돌출입이 있는 사람들은 입 주변 근육에 지속적으로 긴장이 들어가기 때문에 팔자주름이 더 도드라져 보이는 경우가 많고 입술이 앞으로 나와 있다 보니, 코 밑에서부터 입꼬리로 이어지는 주름이 더 깊게 파이고, 표정이 굳어 보일 수도 있었어요.



그런데 치아를 뒤로 이동시키면서 입술이 안쪽으로 정리되면, 입 주변의 긴장도 줄어들게 되고, 자연스럽게 팔자주름이 완화되는 효과가 생기는 것이며 물론 주름 자체를 없애는 시술처럼 극적인 효과는 아니지만, 돌출이 줄어들면서 팔자주름이 덜 도드라져 보이고 얼굴의 입체감이 개선되는 건 분명한 변화라고 볼 수 있어요
그렇다고 무조건 발치를 해야 하는 건 아니며 케이스에 따라 발치 없이도 돌출입이 개선되는 경우도 있는데 예를 들어, 돌출의 정도가 경미하거나 전체적인 치열에 여유 공간이 있다면 비발치 교정으로도 앞니를 어느 정도 뒤로 이동시킬 수 있어요. 다만 대부분의 돌출입 교정에서는 발치가 동반돼야 제대로 된 입술 라인과 얼굴 변화가 가능하며 교정에서 발치는 단순히 치아를 빼는 행위가 아니라, 치아를 움직일 수 있는 공간을 확보하는 중요한 수단이기 때문이라 할 수 있었어요


주의할 점도 있는데 환자분들에 따라서 돌출입 팔자주름 교정 통해서 예측되는 얼굴 변화는 개개인에 따라 다르기 때문에 각 개인의 골격과 얼굴형 등을 정밀 검진하고 경험 많은 교정 전문의와 충분히 상의하여 1:1 맞춤형 치료 계획을 세워야 한다는 점과 정확한 예측을 토대로 치료 목표를 현실적인 세우는 것부터 시작해서 치료 과정과 유지 관리까지 종합적으로 판단해야 한다는 거예요
정리해보면 돌출입 교정은 단순한 치아 문제를 넘어 얼굴 인상을 바꿔주는 치료로 발치 여부, 교정 방식, 치료 기간 등은 개인의 치열 상태에 따라 달라지지만, 중요한 포인트는 치아 위치 조절을 통해 얼굴 중심을 재배열하는 과정이라는 점이고 입술 돌출이 줄어들면 얼굴이 정돈돼 보이고, 팔자주름 같은 주름도 덜 도드라져 보이는 시각적 효과도 기대할 수 있으나 나에게 얼마나 어떻게 적용될지는 정확한 검진을 통해서 확인해보시길 바라고 있었어요











Previous image Next image










Previous image Next image










Previous image Next image










Previous image Next image