명동콤비치과의원 (명동)
명동치과 흔하게 놓치는 사례를 정리해요
처음엔 그냥 단순한 이 시림이겠거니 했어요, 차가운 물 마실 때 살짝 아린 느낌이 있어서 이가 예민해졌나보다 싶었고, 어금니 쪽이라 평소처럼 신경 안 쓰고 넘겼는데 이상하게도 며칠이 지나도 나아지질 않았어요 오히려 음식을 씹을 때마다 묘하게 불편한 느낌이 생기더라고요, 그러다보니 무의식적으로 자꾸 반대쪽으로만 씹게...
아카이브 요약
이 페이지의 역할
명동콤비치과의원 (명동)의 네이버 블로그 원문을 보존한 아카이브 페이지입니다. 치아스토리♡ 카테고리의 명동치과 흔하게 놓치는 사례를 정리해요 글을 통해 병원의 한국어 정보 제공 방식과 진료 관련 안내 톤을 확인할 수 있습니다.
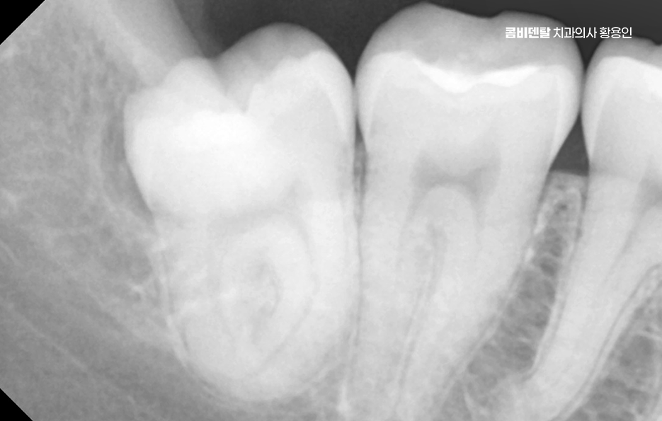
처음엔 그냥 단순한 이 시림이겠거니 했어요, 차가운 물 마실 때 살짝 아린 느낌이 있어서 이가 예민해졌나보다 싶었고, 어금니 쪽이라 평소처럼 신경 안 쓰고 넘겼는데 이상하게도 며칠이 지나도 나아지질 않았어요 오히려 음식을 씹을 때마다 묘하게 불편한 느낌이 생기더라고요, 그러다보니 무의식적으로 자꾸 반대쪽으로만 씹게 되고, 그쪽으로 혀가 자주 가면서 어딘가 이물감이 느껴졌어요 그제서야 거울로 입을 들여다보게 됐는데 겉으로는 별다른 이상이 없어 보였죠, 사실 말이 그렇지 치과에 발을 들이는 게 쉬운 일은 아니잖아요, 막연히 아플 거 같고, 뭔가 비용이 많이 들 것 같고, 진단 듣는 순간 마음이 더 무거워질 것 같아서 미루게 되더라고요. 그래도 더 늦기 전에 가보자고 마음먹고 진료를 받았는데, 특히 어금니 쪽뿐만 아니라 사랑니 주변에도 충치가 있다는 말을 들었을 땐 더 혼란스러웠어요, 어금니는 그래도 평소에 많이 사용하는 부위라 그럴 수도 있겠다 싶었지만, 사랑니는 이제껏 거의 신경도 안 쓰고 살아온 치아였거든요.
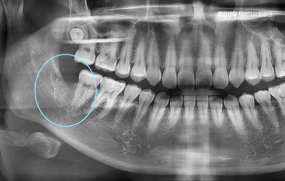
이처럼 외면하고 싶지만 어느날 증상이 나타나서 결국 사랑니 발치 까지 하게 되고 주변 어금니 충치까지 이미 발생되는 사례도 많기 때문에 아무런 증상 없이도 명동치과 정기적인 검진의 중요성은 나이가 들수록 커질 수 있는데요
사랑니와 어금니는 위치도 다르고 역할도 조금 다르지만 공통점은 둘 다 충치나 손상에 취약한 치아라는 점에서 일상생활에서 조금만 관리가 소홀해져도 문제가 생기기 쉬운 부위이고 치과에서도 자주 치료하게 되는 부위가 바로 사랑니와 어금니 주변이라 할 수 있어요



명동치과 그런데 문제는 이 두 부위에 생긴 충치나 손상이 단순히 그 치아만의 문제가 아니라, 주변 치아 등에도 영향을 줄 수 있다는 점에서 원인을 제대로 알고, 그에 맞는 해결 방법을 빠르게 선택하는 게 중요한데 먼저 사랑니는 맨 뒤쪽에 위치한 제 3 대구치로 대부분 10대 후반에서 20대 초반 사이에 맹출하기 시작하며 공간이 부족하거나 방향이 비정상적인 경우가 많아서 완전히 나오지 못하고 잇몸이나 턱뼈 안에 매복되는 경우도 많이 있어요
이런 사랑니는 주변에 음식물이 잘 끼고, 칫솔이 닿기 어려워서 충치나 잇몸 염증이 쉽게 생기는 구조로 특히 반쯤 나온 사랑니는 위생관리가 특히 어렵다 보니 조금만 방심하면 바로 통증과 붓기를 동반한 염증으로 이어지는 거예요.
명동치과 게다가 사랑니의 위치가 문제인데 맨 뒤에 있기 때문에 일반 칫솔로 닦기 어렵고 양치 습관이 조금만 어긋나도 치석과 세균이 금세 쌓이게 되며 이때 사랑니에만 문제가 생기면 그나마 다행이지만 대부분은 사랑니 바로 앞에 있는 두 번째 큰 어금니까지 충치나 염증이 번지게 될 수 있었어요



그래서 사랑니 하나 때문에 멀쩡했던 어금니를 잃거나 수명이 급격히 저하되는 일이 의외로 자주 발생하는 케이스이며 사랑니 충치보다 더 무서운 건 이웃 어금니 손상이라는 말이 괜히 나오는 게 아닌 거예요
사랑니가 맹출하는 방향도 문제인데 수평으로 누워 있거나, 비스듬히 자라는 경우가 많다보니 이렇게 되면 앞쪽 어금니에 대한 압박을 계속 주다 보면 뿌리 쪽에 흡수가 생기거나, 치아 사이에 깊은 충치가 생기기도 해서 겉으로는 안 보이는데 내부에서부터 썩어 들어가는 경우가 많기 때문에, 이미 증상이 생겼을 때는 치료가 늦는 경우도 많이 있었어요
어금니는 구조상 씹는 힘을 가장 많이 받는 부위로 충격에 의한 마모, 균열, 손상이 잘 생기는 편이고 특히 충치가 생기면 빠르게 진행되는 경우가 많은데 어금니는 홈이 깊고, 작은 틈새에 음식물이 잘 끼는 구조여서 양치질을 아무리 열심히 해도 깨끗하게 닦는 게 어려울 수 있어요.


이런 충치나 손상이 반복되면 어떤 문제가 생기냐면, 씹는 힘의 불균형이 생기게 되는데 어금니는 양쪽에서 음식물을 잘게 부수는 역할을 하지만 한쪽이 아프거나 치료를 받게 되면 반대쪽으로만 씹는 습관이 생기게 되고 이게 계속 지속되면 턱관절에 무리가 오는 경우도 있어서 어금니 하나라도 문제가 생겼을 때는 단순히 치아 하나 아픈 ’라고 생각하지 말고, 전체 기능과 연결된 문제로 접근하는 게 중요한 거예요
명동치과 그렇다면 해결 방법에 대해 알아보면 사랑니는 불필요한 경우 발치가 좋은 해결책이며 특히 부분적으로만 나와 있고, 충치가 있거나 앞 어금니에 영향을 주고 있다면 주저하지 말고 발치 계획을 세우는 게 중요하며 사랑니를 남겨두면 치료 비용과 시간이 더 드는 결과로 이어지는 경우가 많고 결국은 더 건강한 어금니까지 잃게 되는 상황이 생길 수 있었어요.



어금니 충치나 손상 또한 조기 치료가 중요하며 작은 충치는 레진으로 빠르게 막아주면 되지만, 벌써 충치가 크고 깊어졌다면 인레이나 크라운 같은 보철치료가 필요하겠고 특히 신경까지 손상이 갔다면 신경치료 후 크라운까지 진행해야 하며 치료가 늦어지면 결국 발치를 후 임플란트로 넘어가기 때문에 조기 치료와 정기적인 검진의 중요성을 평소 잘 알고 실천하는 것이 중요할 수 있었어요
결론적으로 사랑니와 어금니는 위치와 구조의 특성상 충치와 손상에 취약한 부위이며 관리와 대처가 늦어지면 더 큰 문제로 번질 가능성이 높기 때문에 사랑니는 불필요하다면 과감하게 발치하는 게 주변 치아를 지키는 길이고 어금니는 작은 문제라도 빠르게 치료를 받아야 치아 수명을 유지할 수 있었어요. 치아는 스스로 회복되지 않기 때문에, 방치하면 방치할수록 치료의 난이도와 비용은 올라가고, 그만큼 회복도 어려워진다는 점과 사랑니 주변 치아 문제는 성인 이후에 자주 발생되는 치아 문제이기 때문에 평소 올바른 인식과 관리를 잘 실천하시길 바라고 있어요











Previous image Next image










Previous image Next image










Previous image Next image
더 보기
이 병원의 공개 콘텐츠를 계속 살펴보세요
출처 아카이브로 돌아가 더 많은 글을 보거나, 병원 프로필로 이동해 다른 공개 채널도 함께 비교해보세요.