아카이브 요약
이 페이지의 역할
명동콤비치과의원의 네이버 블로그 원문을 보존한 아카이브 페이지입니다. 치아스토리♡ 카테고리의 앞니 크라운 교체 깔끔하게 정리하려면 글을 통해 병원의 한국어 정보 제공 방식과 진료 관련 안내 톤을 확인할 수 있습니다.
원문 검증
필요하면 원문 블로그와 병원 프로필로 바로 이동해 문맥을 다시 확인할 수 있습니다.
출처 아카이브 열기아카이브된 블로그 글
명동콤비치과의원 · 콤비덴탈 치과의사 황용인
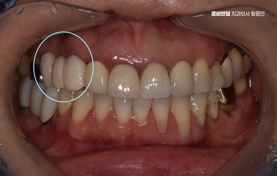
앞니 크라운을 처음 했던 건 벌써 수년 전이에요. 정확히 몇 년도였는지는 기억나지 않지만, 치과에서 본을 뜨던 장면은 지금도 선명하게 떠올라요. 그때는 치아가 부러졌던 건 아니고, 충치가 조금 깊게 퍼져 있어서 기능적으로나 심미적으로나 크라운 치료를 하는 게 좋겠다는 진단이었어요. 마무리됐을 땐 앞니가 더 가지런하...
게시일
2025년 12월 4일
원문 기준으로 확인된 발행일입니다.
카테고리
치아스토리♡
원문 블로그 카테고리를 정리해 함께 표시합니다.
이미지 수
42
현재 아카이브에 연결된 이미지 수입니다.
아카이브 요약
명동콤비치과의원의 네이버 블로그 원문을 보존한 아카이브 페이지입니다. 치아스토리♡ 카테고리의 앞니 크라운 교체 깔끔하게 정리하려면 글을 통해 병원의 한국어 정보 제공 방식과 진료 관련 안내 톤을 확인할 수 있습니다.
원문 검증
필요하면 원문 블로그와 병원 프로필로 바로 이동해 문맥을 다시 확인할 수 있습니다.
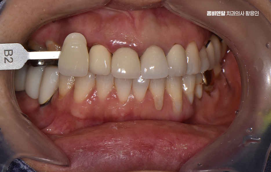
출처 아카이브 열기앞니 크라운을 처음 했던 건 벌써 수년 전이에요. 정확히 몇 년도였는지는 기억나지 않지만, 치과에서 본을 뜨던 장면은 지금도 선명하게 떠올라요. 그때는 치아가 부러졌던 건 아니고, 충치가 조금 깊게 퍼져 있어서 기능적으로나 심미적으로나 크라운 치료를 하는 게 좋겠다는 진단이었어요. 마무리됐을 땐 앞니가 더 가지런하고 반듯해졌네 싶어 나름대로 안도했던 기억이 나네요. 당연히 그게 끝일 줄 알았죠. 한 번 크라운을 하면 웬만하면 평생 가는 건 줄 알았고, 딱히 무리해서 쓰지도 않았고, 양치도 소홀하지 않았고, 정기검진도 아주 드물게는 받았던 터라, 그 치아에 다시 문제가 생기리라고는 전혀 예상하지 못했어요. 그런데 어느 날부터 앞니에 묘하게 이물감이 느껴졌어요. 처음엔 크라운 안쪽이 살짝 들뜨는 기분이었고, 그러다 양치를 하거나 단단한 걸 씹을 때 미세하게 딸깍거리는 느낌이 있었어요. 자세히 알아보니 접착제가 약해져 틈이 생긴 상태이며, 시간이 더 지나면 내부 신경까지 염증이 퍼질 수 있다고 했고 2차 충치라고 했어요. 치료를 하려면 기존 크라운을 제거해야 하고, 경우에 따라 신경치료를 병행해야 할 수도 있다고 했어요. 그 얘기를 듣는 순간 너무 낙담했어요. 왜냐면 앞니 크라운이 그냥 하나의 마감 처리 같은 거라고만 생각했고, 관리만 잘하면 문제가 생길 일이 없다고 믿고 있었거든요. 그런데 알고 보니 크라운이라는 건 영구적인 구조물이 아니였고, 특히 접착력이 떨어지거나 내부에 충치가 생기면 겉에서 아무리 멀쩡해 보여도 재치료가 필요할 수 있다고 했어요
이처럼 특히 크라운 치료 후에는 치료가 잘 마무리 되었고 별다른 불편함이 없다면 그렇게 신경 안쓰면서 사는 경우가 많지만 막상 크라운을 비롯한 치과 보철물들은 수명이 있고 개인에 따라 교체 주기가 조금씩 다르기 때문에 특히 앞니 크라운 교체의 경우 앞니에 주로 쓰이는 보철물은 세라믹 계열로 깨질 우려도 있다는 점에서 이갈이 등이 있다면 더 빨리 깨지기도 하며 2차 충치의 우려도 있는데요
일단 앞니 크라운이나 브릿지의 평균 수명은 7년에서 10년 정도 잘 관리하면 15년 이상도 사용하는 분들도 있는데 하지만 이건 말 그대로 평균값으로 환자의 구강 위생 습관, 저작 습관, 재료, 시술 당시의 정밀도에 따라 크게 달라질 수 있으며 관리가 제대로 안된다면 수 년만에도 앞니 크라운 교체 재치료가 필요한 경우도 있었어요.


앞니 크라운 교체 필요한 대표적인 케이스 중 하나는 보철물 주변, 안에 충치가 생겼을 때로 크라운이나 브릿지는 겉에서 보면 멀쩡하지만, 접합 경계 부위나 안쪽 치아에 충치가 생기면 교체가 불가피하고 보철물 아래쪽에서 충치가 진행되면 정밀 검사를 하기 전엔 알기 어렵고, 통증도 없다가 갑자기 시큰거리거나 음식물이 자꾸 끼는 느낌이 들면서 발견되는 경우가 많은데 특히 브릿지는 가운데 치아가 없고 양옆 치아로 연결된 구조다 보니, 지렛대처럼 힘을 받아 양옆 치아에 부담이 많이 가고, 그로 인해 충치나 균열이 더 쉽게 생길 수 있어요.
또 다른 케이스로는 보철물의 탈착이나 깨짐이 발생한 경우로 앞니는 힘을 많이 받는 위치는 아니지만, 딱딱한 음식이나 이갈이 습관, 이로 물건을 자주 깨무는 행동 등으로 인해 크라운이 금이 가거나 떨어지는 일이 생길 수 있었어요.


특히 오래된 보철물은 접착력이 떨어져서 저절로 빠지기도 하고 이런 경우 재접착이 가능한지 진단하고, 불가능하다면 새로운 보철물로 앞니 크라운 교체 하는 게 필요한 거예요
또 중요한 케이스 중 하나는 잇몸이 후퇴하거나 치아 구조가 변한 경우로 나이가 들면 잇몸은 자연스럽게 조금씩 내려가는데 문제는 그로 인해 보철물과 잇몸 사이에 검은 틈이 보이거나, 공간이 생겨서 음식물이 끼는 현상이 발생하게 된다는 점으로 이런 경우 보철물 자체는 멀쩡해 보여도 환자 입장에서는 계속 신경 쓰이고 불편해지고 심미적 혹은 기능적 문제가 발생함에 따라서 앞니 크라운 교체 치료가 필요한 경우가 있었어요



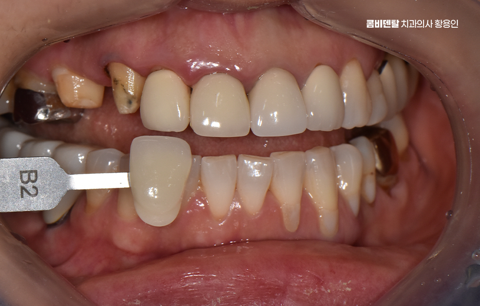
그렇다면 앞니 크라운 교체 방법은 어떻게 진행되는지 궁금할 수 있는데 교체를 하려면 우선 기존 보철물을 제거해야 하고 이 과정에서 원래 치아가 얼마나 건강하게 남아 있느냐가 중요하며 충치나 균열이 너무 심하다면 신경치료가 필요할 수도 있고, 치아가 부러져 있다면 다시 기둥을 세우고 보강해서 크라운을 씌워야 할 수도 있어요.
특히 브릿지의 경우, 양옆 치아 두 개를 다시 다 손봐야 하기 때문에 단순한 작업은 아니며 최근에는 교체 과정에서도 디지털 방식이 많이 쓰이는데 기존보다 더 정밀한 3D 스캔으로 치아 형태와 잇몸 라인을 정확하게 분석하고, 환자와 유사한 색상과 투명도를 가진 세라믹 재료를 선택해서 제작하니까 보다 자연스럽고 오래가는 보철물로 완성할 수 있으며 특히 앞니는 빛 투과와 색감이 중요하기 때문에 정교한 치료 과정이 중요할 수 있었어요
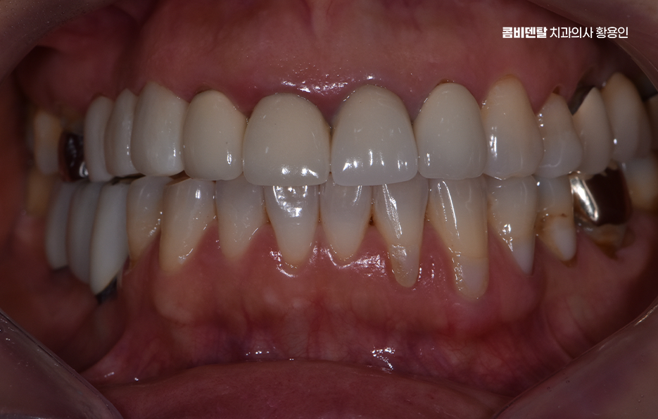
결국 앞니 크라운이나 브릿지는 언제 교체해야 한다는 정해진 기준보다는, 지금 상태가 내 구강 건강에 영향을 주고 있다거나 심미적으로 불편한가, 기능적으로 이상이 있는가를 중심으로 판단하는 게 맞지만 평소에 불편함이 없더라도 정기적으로 치아 검진을 통해서 보철물의 이상이 커지기 전에 관리하는 것이 크라운 교체 주기를 놓치게 되어 신경치료나 발치까지 번지는 상황을 미연에 방지하고 자연치아를 지키는 지름길이라는 점을 꼭 기억하시고 실천하시길 바라고 있어요











Previous image Next image










Previous image Next image







Previous image Next image







Previous image Next image