아카이브 요약
이 페이지의 역할
명동콤비치과의원의 네이버 블로그 원문을 보존한 아카이브 페이지입니다. 치아스토리♡ 카테고리의 어금니 없으면 얼굴 발음에 어느정도나 안좋을까 글을 통해 병원의 한국어 정보 제공 방식과 진료 관련 안내 톤을 확인할 수 있습니다.
원문 검증
필요하면 원문 블로그와 병원 프로필로 바로 이동해 문맥을 다시 확인할 수 있습니다.
출처 아카이브 열기아카이브된 블로그 글
명동콤비치과의원 · Naver Blog
처음 어금니를 하나 잃었을 땐 그렇게까지 큰일은 아니라고 생각했어요. 충치가 너무 심해서 결국 발치를 하게 됐고, 치과 선생님은 빠진 자리를 임플란트로 채우는 게 좋겠다고 권하셨지만, 솔직히 당시엔 시간도, 돈도 여유가 없었고, 또 막상 하나쯤 없다고 해서 일상이 크게 불편하진 않았기 때문에 그냥 좀 불편하더라도...
게시일
2025년 12월 25일
원문 기준으로 확인된 발행일입니다.
카테고리
치아스토리♡
원문 블로그 카테고리를 정리해 함께 표시합니다.
이미지 수
34
현재 아카이브에 연결된 이미지 수입니다.
아카이브 요약
명동콤비치과의원의 네이버 블로그 원문을 보존한 아카이브 페이지입니다. 치아스토리♡ 카테고리의 어금니 없으면 얼굴 발음에 어느정도나 안좋을까 글을 통해 병원의 한국어 정보 제공 방식과 진료 관련 안내 톤을 확인할 수 있습니다.
원문 검증
필요하면 원문 블로그와 병원 프로필로 바로 이동해 문맥을 다시 확인할 수 있습니다.
출처 아카이브 열기처음 어금니를 하나 잃었을 땐 그렇게까지 큰일은 아니라고 생각했어요. 충치가 너무 심해서 결국 발치를 하게 됐고, 치과 선생님은 빠진 자리를 임플란트로 채우는 게 좋겠다고 권하셨지만, 솔직히 당시엔 시간도, 돈도 여유가 없었고, 또 막상 하나쯤 없다고 해서 일상이 크게 불편하진 않았기 때문에 그냥 좀 불편하더라도 참자고 마음을 먹었어요. 한쪽으로만 씹는 습관이 생겼지만, 그건 생각보다 쉽게 적응됐고, 어금니 하나 없이도 밥을 먹는 데 큰 무리는 없다는 착각 속에서 점점 그 빈자리에 무뎌져 갔어요. 그렇게 몇 달, 몇 년이 흘렀고, 지금 와서 돌이켜보면 그때 치료를 미뤘던 결정이 얼마나 후회로 돌아오는지 스스로도 놀라울 정도예요. 처음 눈에 띈 변화는 반대쪽 어금니에 가해지는 압력이 점점 커졌다는 거였어요. 무의식적으로 계속 반대쪽만 사용하다 보니 그쪽 치아에 피로가 쌓이기 시작했고, 어느 날부터는 씹을 때 약간의 통증과 불편함이 느껴지기 시작했어요. 그때도 아직은 버틸 수 있다고 생각했어요. 통증이 있긴 해도 일시적일 거라 여겼고, 양치만 잘하면 괜찮아질 거라고 안일하게 넘겼어요. 그런데 문제는 그게 단순한 통증이 아니라 구조적인 불균형에서 시작된 거였다는 걸 늦게 깨달았어요. 빠진 어금니의 빈자리를 그대로 두면서 위쪽의 맞물리던 치아가 점점 내려오기 시작했고, 아래쪽 잇몸에 자극을 주기 시작하면서 잇몸이 자주 붓고 시큰거리는 현상이 생겼어요. 그뿐만 아니라 양옆에 있던 치아들이 빈 공간 쪽으로 기울기 시작하면서 음식물이 자주 끼고, 양치해도 개운하지 않은 날이 많아졌고, 결국 또다시 충치가 생기기 시작했어요. 하나의 치아를 잃은 게 끝이 아니라 주변 치아들까지 도미노처럼 영향을 받기 시작했다는 걸 그제서야 알게 된 거죠. 더 무서운 건 턱관절의 문제였어요.
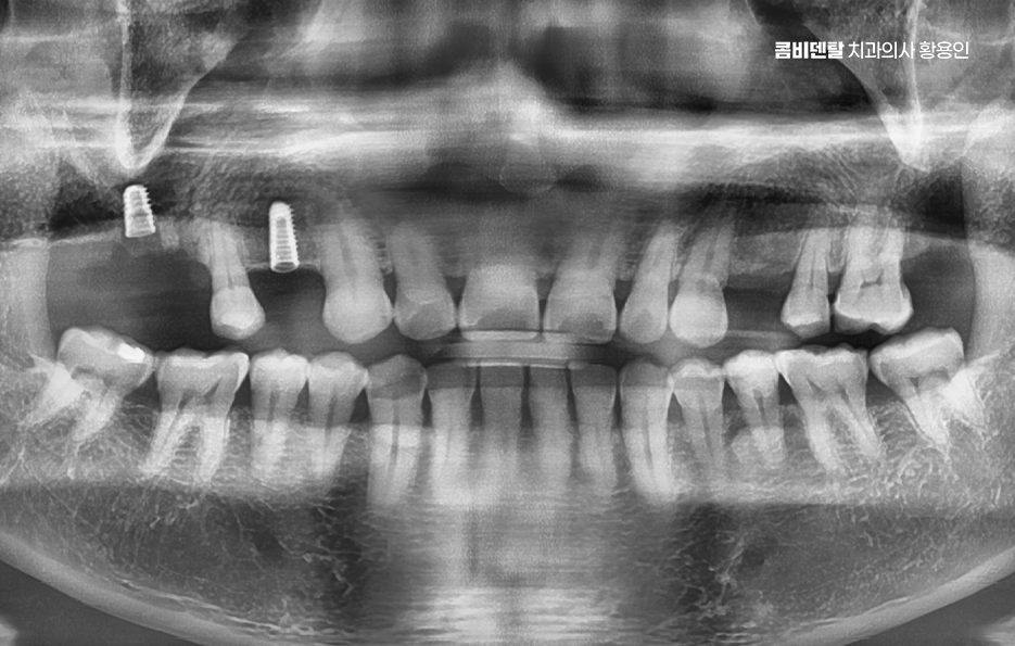
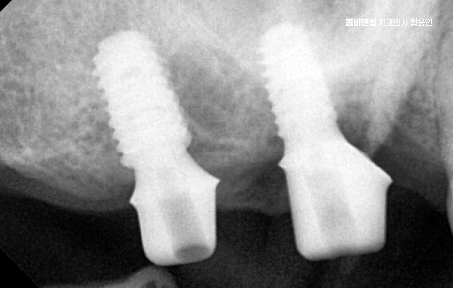
이처럼 치아 상실 후에 임플란트에 대한 중요성을 느끼게 되는 것은 특히 앞니라면 인상을 좌우하는 위치이기 때문에 미루는 경우가 거의 없지만 어금니의 경우 반대편으로 씹으면 되지 않을까 하면서 치료를 미루는 경우가 많지만 어금니 없으면 얼굴 발음 및 편측 저작으로 인한 반대편 치아의 문제, 잇몸 뼈의 흡수 등 여러 문제로 이어질 수 있는데요
어금니는 단순히 음식을 씹는 역할만 하는 게 아니며 우리 턱과 얼굴을 지탱해주는 일종의 기둥 같은 존재로서 특히 아래 어금니는 턱뼈에 직접 연결되어 있어서 이 부분이 빠지면 턱뼈 자체가 빠르게 흡수되기 시작하고 뼈는 자극이 있어야 유지되는데 어금니가 없어진 자리엔 씹는 자극이 사라지니까 뼈가 점점 가라앉는 거예요.



이게 반복되면 턱의 모양도 변형되고, 결국 노안으로 보이거나, 비대칭이 심해질 수 있으며 특히 양쪽 어금니를 다 잃은 경우에는 얼굴이 아래로 쳐지고 입 주변이 푹 꺼지면서, 입꼬리도 내려가고 팔자주름도 깊어지게 될 수 있으며 나이가 들어서 생긴 주름이 아니라, 어금니 상실이 만든 변화가 생길 수 있어요
어금니 없으면 발음에도 영향을 줄 수 있는데 어금니는 발음을 만드는 데 직접적으로 쓰이는 위치는 아니지만, 혀와 볼의 위치를 잡아주는 기준이 되는 곳으로 이 기준이 없어지면 혀가 자꾸 빈 공간으로 밀려들고, 입안 공기의 흐름이 바뀌게 되며 그 결과로 발음이 새거나, 말끝이 흐려지는 일이 생길 수 있었어요.



그리고 가장 직접적인 문제는 씹는 기능 저하로서 어금니는 우리가 음식을 부수고 갈아내는 데 핵심적인 역할을 하며 앞니는 자르거나 끊어내는 역할이라서, 어금니가 빠지면 앞니가 대신 과부하를 받게 되는 거예요.
더 심각한 건 치열 전체가 무너지는 것으로 어금니가 빠지고 그 자리를 비워 두면, 위에 맞물리는 치아가 점점 내려오거나, 옆 치아가 쓰러져 들어가며 이렇게 정출된 치아는 다시 제자리로 돌아오지 않기 때문에, 나중에 임플란트를 하려고 해도 공간이 맞지 않아서 교정치료를 먼저 해야 할 수도 있었어요.







또 하나 놓치기 쉬운 부분이 턱관절 문제로서 어금니로 양쪽 균형 있게 씹어줘야 턱관절에 무리가 안 가는데 한쪽 어금니가 없으면 자꾸 반대쪽으로만 씹게 되고, 이 습관이 계속되면 턱이 한쪽으로만 기울게 되며 이게 누적되면 턱관절에서 딱딱 소리가 나거나, 입을 벌릴 때 통증이 생기고, 심한 경우엔 입이 잘 안 벌어지는 증상도 나타날 수 있었어요
그래서 이런 문제들을 막기 위해서라도 임플란트는 어금니 상실 후 중요한 치료 옵션으로서 임플란트는 빠진 치아의 뿌리 역할까지 해주기 때문에, 단순히 공간을 채우는 게 아니라 턱뼈에 자극을 줘서 뼈 흡수를 막아주고, 위아래 치아가 정상적으로 맞물릴 수 있게 해주며 다른 보철 방식과 비교해도 장기적인 안정성과 기능 회복 면에서 유리한 거예요.
임플란트를 빨리 하는 게 좋은 이유는, 시간이 지나면서 턱뼈가 점점 흡수돼버리면 임플란트를 심을 뼈 자체가 부족해지는 상황이 생기기 때문이며 이때는 뼈이식이나 상악동 거상술 같은 추가 수술이 필요하게 되고, 치료 기간도 길어지고, 비용도 많이 올라가기 때문에 어금니가 빠졌다고 방치하는 시간만큼 치료는 더 복잡해질 수 있다는 점에서 어금니 없으면 얼굴 발음 및 오늘 알아본 것처럼 다양한 문제로 이어질 수 있음을 잘 이해하여 빠르고 나에게 맞는 치료 계획을 세우시고 장기적으로는 수명 유지까지 잘 고려하여 치료 계획을 잘 세워보시길 바라고 있어요











Previous image Next image










Previous image Next image