아카이브 요약
이 페이지의 역할
명동콤비치과의원의 네이버 블로그 원문을 보존한 아카이브 페이지입니다. 치아스토리♡ 카테고리의 부분매복 사랑니 발치 신중하게 대비하려면 글을 통해 병원의 한국어 정보 제공 방식과 진료 관련 안내 톤을 확인할 수 있습니다.
원문 검증
필요하면 원문 블로그와 병원 프로필로 바로 이동해 문맥을 다시 확인할 수 있습니다.
출처 아카이브 열기아카이브된 블로그 글
명동콤비치과의원 · Naver Blog
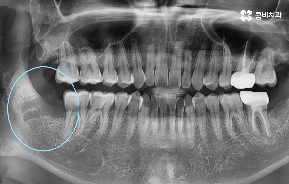
부분 매복사랑니가 문제를 일으키기 시작한 건 오래전부터였어요 처음에는 그저 잇몸 깊숙한 곳에서 묵직하게 느껴지는 불편함 정도였어요 양치할 때 뒤쪽을 닦으려 하면 잇몸이 조금 아린 느낌이 올라오는 정도라 별일 아니겠지 하고 넘겼어요 사랑니는 원래 올라오는 과정에서 통증이 있다고 하니 나도 그런가 보다 생각했어요 며칠...
게시일
2026년 1월 11일
원문 기준으로 확인된 발행일입니다.
카테고리
치아스토리♡
원문 블로그 카테고리를 정리해 함께 표시합니다.
이미지 수
30
현재 아카이브에 연결된 이미지 수입니다.
아카이브 요약
명동콤비치과의원의 네이버 블로그 원문을 보존한 아카이브 페이지입니다. 치아스토리♡ 카테고리의 부분매복 사랑니 발치 신중하게 대비하려면 글을 통해 병원의 한국어 정보 제공 방식과 진료 관련 안내 톤을 확인할 수 있습니다.
원문 검증
필요하면 원문 블로그와 병원 프로필로 바로 이동해 문맥을 다시 확인할 수 있습니다.
출처 아카이브 열기
부분 매복사랑니가 문제를 일으키기 시작한 건 오래전부터였어요 처음에는 그저 잇몸 깊숙한 곳에서 묵직하게 느껴지는 불편함 정도였어요 양치할 때 뒤쪽을 닦으려 하면 잇몸이 조금 아린 느낌이 올라오는 정도라 별일 아니겠지 하고 넘겼어요 사랑니는 원래 올라오는 과정에서 통증이 있다고 하니 나도 그런가 보다 생각했어요 며칠 지나면 괜찮아지겠지 하며 아무렇지 않은 척 일상으로 돌아갔어요
그런데 그 불편함이 점점 더 분명해지고 잇몸이 붓는 빈도가 늘어나기 시작했어요 어느 날은 입안을 벌릴 때조차 불편한 압박감이 느껴지면서 자연스럽게 걱정이 커졌어요 사랑니가 완전히 매복된 것도 아니고 반쯤 올라온 부분 매복이라 더 문제가 생기기 쉬운 상태라고 들은 적 있어 그 말이 갑자기 현실적인 경고처럼 마음 한구석에서 울리기 시작했어요
처음으로 본격적인 이상을 느끼게 만든 건 사랑니 주변 잇몸에서 나는 특유의 비릿한 맛이었어요 양치를 하고 나와도 얼마 지나지 않아 입 안쪽에서 알 수 없는 냄새가 올라왔고 혀끝으로 사랑니 쪽을 만져보면 음식을 완전히 제거하지 못한 채 잇몸 아래쪽에 남아 있는 듯한 느낌이 들었어요
부분 매복 상태라 잇몸이 완전히 열리지 않아서 양치로는 닿지 않는 공간이 생기는데 그 작은 틈으로 음식물이 들어가고 염증이 생겨 문제를 반복적으로 일으킨다는 사실을 알고 있었지만 실제로 그 상태를 내 입에서 느끼는 건 또 다른 차원의 불안이었어요 단순한 불편함이 아니라 염증이 언제든 더 커질 수 있다는 기분이 계속 따라다녔어요
이처럼 사랑니는 언젠가 정도로 발치 시기에 대해 생각하고 있다가 본격적인 불편함이 지속성과 함께 통증 및 염증으로 나타나게 되면 발치 계획을 안세우기 어려울 정도의 불편함이 현실로서 다가올 수 있는데요
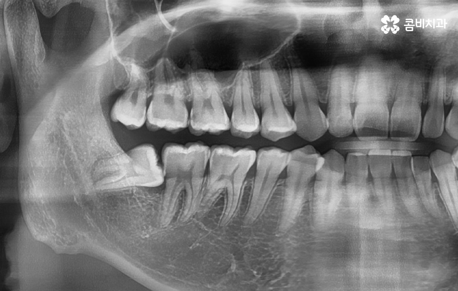
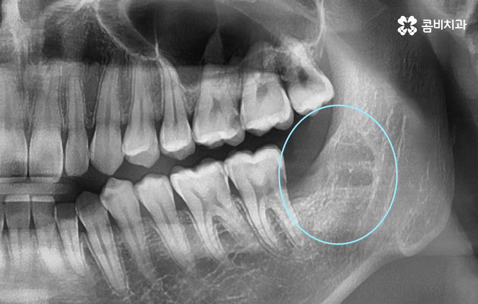
특히 부분매복 사랑니는 겉으로 보기에는 치아가 일부만 올라와 있는 단순한 상태처럼 보이는데, 실제로는 주변 잇몸과 치조골, 옆 치아까지 영향을 주는 복합적인 문제를 만들어내는 경우가 많이 있었어요

부분매복 사랑니의 경우 치아의 일부만 보이기 때문에 관리가 어려워지고 세균이 고이기 쉬워 염증이 반복되는데, 이런 염증은 시간이 지나면서 주변 치아까지 손상시키고 입냄새, 통증, 잇몸 붓기, 충치까지 이어지는 경우가 많아서 부분매복 사랑니 발치에 대해 아프지 않으면 굳이 뺄 필요가 없겠지라고 생각하기 쉽지만, 실제로는 방치할수록 더 큰 문제를 만드는 치아이기 때문에 조기 발치가 더 적절한 경우가 많은 거예요
부분매복 사랑니의 가장 큰 문제는 세균이 고이기 쉬운 구조적 문제로서 치아가 절반만 잇몸 밖으로 나온 상태이기 때문에 잇몸과 치아 사이에 작은 주머니 같은 공간이 생기는데 이 공간은 음식물 찌꺼기, 세균, 침 등이 쉽게 쌓일 수 있어요
양치질을 해도 닿지 않기 때문에 이 부위는 늘 청결 관리가 어려운 상태가 되고, 그 결과 잇몸 염증이 반복적으로 생기게 되며 통증이 생겼다가 가라앉았다가를 반복하기 때문에 환자들은 가끔 아프니까 괜찮겠지라고 착각하지만, 실제로는 이 반복적인 염증이 뼈를 서서히 녹이고 치아 자체를 망가뜨리는 과정이라 볼 수 있었어요

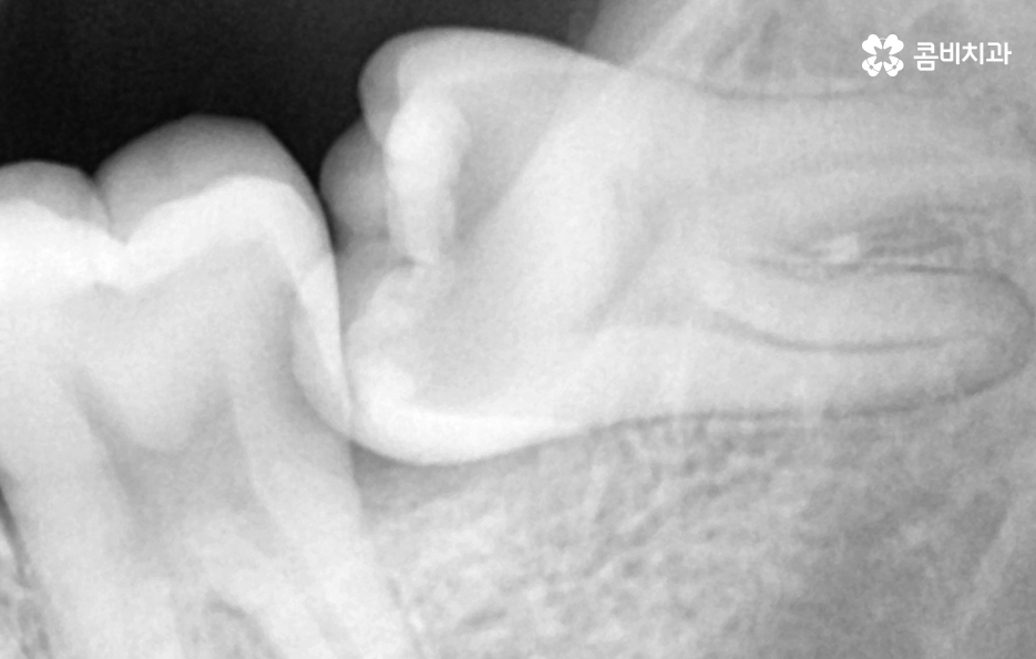
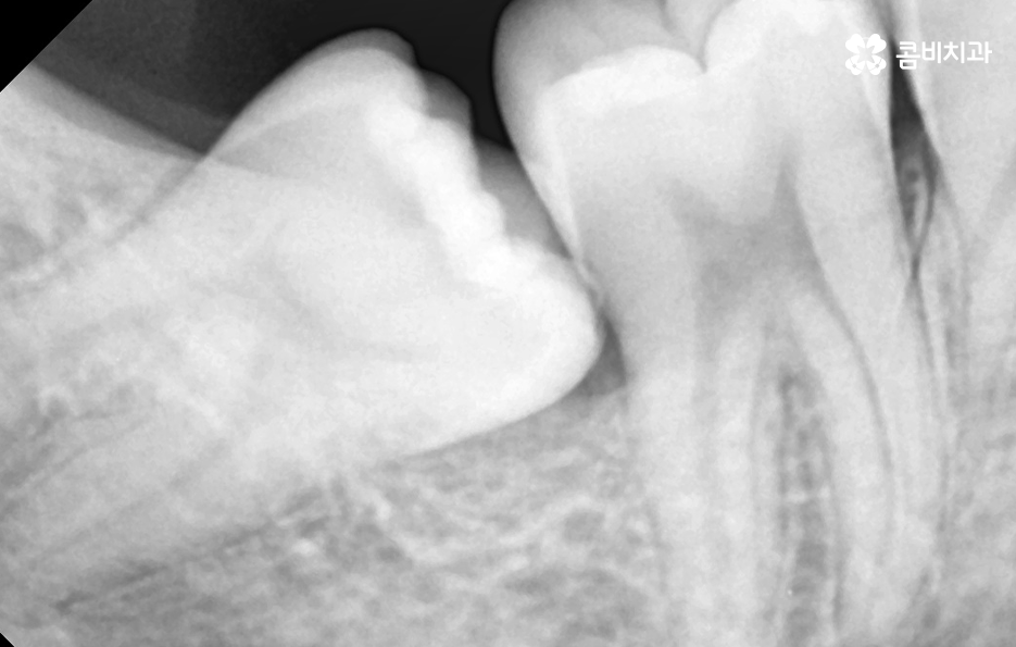
부분매복 사랑니 발치 두 번째 문제는 옆 어금니의 충치와 뼈 손상으로 부분매복 사랑니가 비스듬하게 누운 형태로 자라는 경우가 많은데, 이때 사랑니가 바로 앞 어금니 2번 치아(제2대구치)의 뿌리를 밀어내거나 치아 사이에 음식물이 지속적으로 끼게 될 수 있었어요
이 사이에 끼는 음식물은 아무리 칫솔질을 해도 제거가 어렵기 때문에 앞 어금니가 충치에 취약해지며 실제로 사랑니 때문에 앞 어금니가 충치가 생기고, 결국 큰 신경치료까지 가는 사례가 많은데 더 심하면 앞 어금니 뿌리 주변 뼈가 녹아 앞 치아까지 흔들리는 상태가 되기도 해서 사랑니 자체보다 옆 치아가 더 큰 피해를 보는 경우가 많다는 점이 부분매복 사랑니의 큰 문제점이라 할 수 있어요
그리고 사랑니 위 잇몸이 늘 붓고, 씹을 때 잇몸을 씹어버리는 경우도 있는데 이런 상태가 반복되면 염증이 만성화되고, 턱 아래 림프절까지 부어 목이 뻐근하거나 입을 크게 벌리기 어려운 상태가 되기도 하며 특히 스트레스받을 때나 피곤할 때 갑자기 사랑니 쪽이 욱신욱신 아파지거나 잇몸이 크게 붓는 경우가 있었어요.

또한 부분매복 사랑니는 청결 유지가 어렵고 세균이 계속 번식하는 환경이기 때문에 만성적인 입냄새의 원인이 되기 쉬운데 아무리 양치를 해도 깊숙한 염증 주머니 속 냄새는 제거하기 어려워서 이런 입냄새는 단순한 구강 문제를 넘어서 심리적인 불편을 만들고 사람과 대화하는데도 자신감을 떨어뜨릴 수 있었어요
이제 부분매복 사랑니 발치 방법에 대해 좀더 알아보면 사랑니 발치는 단순히 치아를 뽑는 것이 아니라, 잇몸 절개, 치아 분할, 신경 보호 등 여러 과정을 정교하게 고려해야 하기 때문에 첫 번째 단계는 정확한 진단 과정이 우선되어야 할 수 있어요

부분매복 사랑니는 겉으로 보이는 부분만으로는 실제 뿌리 모양이나 뿌리의 깊이를 알 수 없으며 X-ray만으로는 앞 어금니와 얼마나 근접해 있는지, 신경과의 거리, 뼈의 형태를 충분히 판단하기 어렵기 때문에 CT 촬영이 권장되는 경우가 많으며 CT는 3D 분석이 가능하기 때문에 사랑니 발치 시 사고 위험을 줄일 수 있고 절개 방향 등을 정확히 계획하는 데 큰 도움이 되고 있었어요
그리고 잇몸이 심하게 부어진 상태에서는 바로 부분매복 사랑니 발치 어려울 때도 있는데 염증이 심하면 마취가 잘 듣지 않고, 발치 후 회복도 늦어져서 이때는 항생제 처방, 잇몸 소독, 염증 감염 치료를 선행하여 통증과 부기를 가라앉힌 후 발치하는 것이 안전하며 부분매복 사랑니 발치의 경우 잇몸이 사랑니를 일부 덮고 있기 때문에 잇몸을 절개해 치아 전체를 노출시켜야 하는데 절개는 최소한으로 진행하며, 회복이 빠르게 이뤄지도록 잇몸 라인과 뼈 구조를 고려한 정교한 시술이 중요하므로 경험 많은 치과의사와 함께하는 것이 보다 수월한 치료에 도움이 될 수 있어요

부분매복 사랑니 발치 후 관리도 매우 중요한데 부분매복 사랑니는 염증이 많았던 부위이기 때문에 발치 후 더 깔끔하게 관리해야 하고, 회복 동안 음주 및 흡연을 피하고, 빨대를 사용하는 행동도 피해야 하며 이를 통해 출혈과 드라이소켓 같은 합병증을 줄일 수 있었어요.
결론적으로 부분매복 사랑니는 겉으로 보이는 것보다 복잡한 문제로서 염증을 반복하고 옆 어금니까지 손상시키며, 입냄새와 통증, 잇몸 붓기 같은 일상적 불편을 만드는 대표적인 구강 문제이고 치료의 계획부터 과정, 회복까지 종합적인 관점으로 접근해야 하기 때문에 아플 때까지 참다가 치과에 방문하기 보다는 미리 정기적인 검진을 통해서 치료 계획을 체계적으로 세워서 대처하시길 바라고 있어요








Previous image Next image








Previous image Next image




Previous image Next image




Previous image Next image