아카이브 요약
이 페이지의 역할
명동콤비치과의원의 네이버 블로그 원문을 보존한 아카이브 페이지입니다. 치아스토리♡ 카테고리의 앞이빨 임플란트 과정 주의해야할 포인트는 글을 통해 병원의 한국어 정보 제공 방식과 진료 관련 안내 톤을 확인할 수 있습니다.
원문 검증
필요하면 원문 블로그와 병원 프로필로 바로 이동해 문맥을 다시 확인할 수 있습니다.
출처 아카이브 열기아카이브된 블로그 글
명동콤비치과의원 · Naver Blog
앞니를 잃었다는 사실을 처음 받아들였던 그날의 충격은 지금도 마음 한구석에 생생하게 남아 있어요 음식을 먹다가 갑자기 미묘한 통증이 올라오고, 그걸 대수롭지 않게 넘기려던 찰나 앞니가 흔들리는 느낌이 전해지면서 결국 빠지고야 말았어요 아무 일 아니겠지 하고 애써 괜찮은 척했지만, 결국은 예상하지 못했던 순간에...
게시일
2026년 1월 28일
원문 기준으로 확인된 발행일입니다.
카테고리
치아스토리♡
원문 블로그 카테고리를 정리해 함께 표시합니다.
이미지 수
35
현재 아카이브에 연결된 이미지 수입니다.
아카이브 요약
명동콤비치과의원의 네이버 블로그 원문을 보존한 아카이브 페이지입니다. 치아스토리♡ 카테고리의 앞이빨 임플란트 과정 주의해야할 포인트는 글을 통해 병원의 한국어 정보 제공 방식과 진료 관련 안내 톤을 확인할 수 있습니다.
원문 검증
필요하면 원문 블로그와 병원 프로필로 바로 이동해 문맥을 다시 확인할 수 있습니다.
출처 아카이브 열기
앞니를 잃었다는 사실을 처음 받아들였던 그날의 충격은 지금도 마음 한구석에 생생하게 남아 있어요 음식을 먹다가 갑자기 미묘한 통증이 올라오고, 그걸 대수롭지 않게 넘기려던 찰나 앞니가 흔들리는 느낌이 전해지면서 결국 빠지고야 말았어요
아무 일 아니겠지 하고 애써 괜찮은 척했지만, 결국은 예상하지 못했던 순간에 앞니가 빠져버리고 말았는데요
그 허전함은 입 안에서 끝나는 게 아니라 마음 깊은 곳까지 파고들었어요 앞니는 사람의 인상을 좌우하는 중요한 자리라서 그런지 그 상실이 준 충격은 단순한 의료적 문제가 아니라 마주해야 할 현실이라는 사실을 처음으로 느끼게 했어요
앞니가 사라진 자리로 혀가 자꾸만 가고, 말하려 할 때마다 공기가 앞니가 있어야 할 공간으로 빠져나가 발음이 어색해졌어요
웃음이 나올 때마다 본능적으로 입술로 그 빈틈을 가리게 되면서 이 변화에 적응하고 싶지 않았어요
처음에는 임플란트라는 단어를 떠올리는 것만으로도 부담스러웠어요 앞니처럼 심미적인 부분이 크게 작용하는 위치에 인공 치아을 심어 사람의 치아와 똑같이 만드는 과정이 쉽게 느껴지지 않았어요
이처럼 누구나 치아를 상실할 수 있고 특히 앞니와 같은 부위에는 그 상실로 인한 불편함이 단지 치아의 기능적인 부분만이 아니라 심미적인 부분, 인상에도 큰 영향을 주기 때문에 임플란트를 하기로 결심했더라도 앞이빨 임플란트 과정에 대해 걱정이 더 커질 수 있는데요
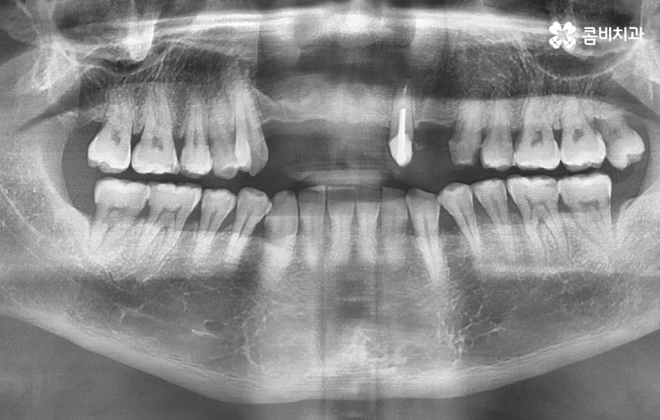
앞니는 사고로 인해서 상실하는 경우가 많긴 하지만 중년 이후에 앞니를 잃게 되는 원인은 단순히 한 가지가 아니라 여러 요인이 겹쳐서 나타나는 경우가 많이 있었어요

중년에 접어들면 치아와 잇몸, 턱뼈의 회복 능력이 늦어지고 과거 치료들이 누적되면서 문제가 본격적으로 드러나는 시기로서 젊을 때는 잘 버티던 앞니도 중년이 되면 갑자기 흔들리거나 깨지거나, 오래된 브릿지가 더 이상 버티지 못해 결국 발치까지 이어지는 일이 적지 않은 것으로 이렇게 앞니가 상실되는 배경을 이해하고, 이후 앞이빨 임플란트 과정에서 어떤 부분을 조심해야 안정적인 결과를 만들 수 있는지 통합적인 이해가 필요한 거예요
특히 중년 이후에 앞니가 상실되는 첫 번째 대표 원인은 치주염의 장기적인 진행으로 앞니는 뿌리가 비교적 얇고 치주염에 취약한 구조인데 잇몸 염증이 반복되면 뼈가 점점 흡수돼 앞니가 흔들리기 쉬운 상태가 되며 젊을 때는 잇몸이 부었다가도 어느 정도 회복되지만, 중년 이후에는 염증이 회복되지 않고 뼈 흡수가 누적되면서 치아를 지탱하는 힘이 급격히 약해져서 어느 날 갑자기 앞니가 흔들린다는 분들이 많은데 사실은 오랜 세월 진행된 치주염이 임계점을 넘은 경우가 많다고 볼 수 있었어요


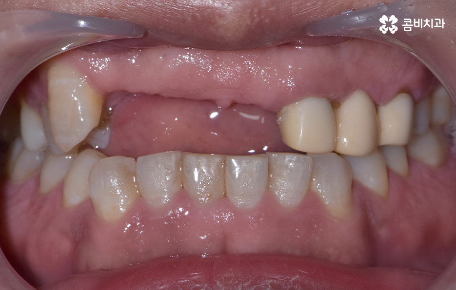
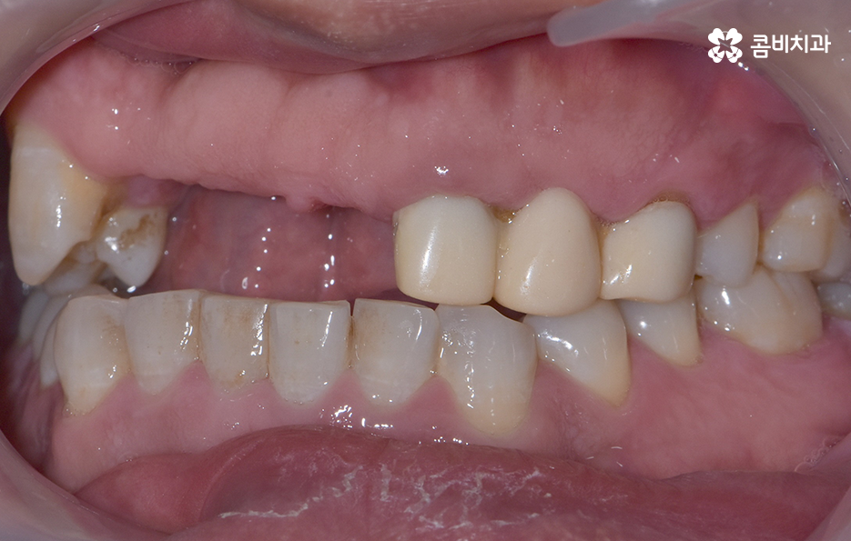
앞니 상실의 두 번째 원인은 오래된 보철물, 특히 브릿지 치료의 한계에 대한 부분도 고려해야 하는데 앞니 브릿지는 과거에는 결손된 치아를 대체하는 흔한 방법이었지만 시간이 지나면 지지하는 양쪽 치아가 약해지면서 결국 전체 구조가 무너지는 일이 자주 일어나고 있어요
브릿지는 옆 치아를 갈아 지지 기둥처럼 활용하는 방식인데, 이 기둥 역할을 하는 치아는 원래 지닌 강도보다 큰 힘을 견뎌야 하고 나이가 들면 그 치아들이 치주염이나 치아 마모로 약해지고, 신경치료까지 되어 있으면 강도는 더 떨어질 수 있다보니 그 결과 브릿지가 갑자기 떨어지거나, 지지 치아가 부서지거나, 잇몸 속 뿌리가 균열돼 결국 발치까지 이어지는 경우가 많이 있었어요


그리고 앞니는 넘어졌을 때, 딱딱한 것을 깨물었을 때나 특히 나이가 들면 치아 내부의 신경이 이미 약해져 있거나 신경치료 이력이 있을 수 있는데, 그런 치아는 더 단단해 보이지만 사실은 더 잘 깨지고 파절되기 쉬운 상태가 되어 40~60대에서 앞니가 파절되고 부러지는 경우가 자주 나타나고 있어요
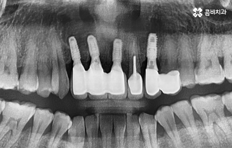
이렇게 앞니가 상실되면 심미적, 기능적 불편이 크기 때문에 많은 분들이 앞이빨 임플란트 과정을 거치게 되는데 앞니 임플란트는 어금니와는 다른 부분에서 좀더 정교한 치료가 필요하며 앞니 부위는 뼈가 얇고 심미성이 중요한 부위라는 점에서 잇몸 라인, 앞니의 각도, 심미성, 주변 치아와의 조화까지 모두 맞아야 자연스럽게 보이므로 정교한 치료의 중요성이 더 높은 부위라고 할 수 있어요
그리고 앞니는 씹는 힘이 약해 보이지만 가로 방향 힘이 많이 가해져서 임플란트에 부담을 주기 쉽고 앞니 상실의 원인이 치주염이라면 뼈가 많이 녹아 있는 경우가 많아 뼈 이식이 필수적인 상황이 자주 생기므로 앞이빨 임플란트 과정에서 주의해야 할 점들에 대해 잘 알고 접근하는 것이 중요한 거예요


또한 앞니는 잇몸의 모양이 심미성에 큰 영향을 주는데, 잇몸이 얇으면 임플란트가 비쳐 보이거나 잇몸 라인이 붕괴될 위험이 있어서 이런 경우에는 잇몸 두께를 보강하는 잇몸 이식술이 필요할 수 있으며 앞이빨 임플란트 과정 뿐 아니라 치료 후에도 잇몸 관리는 앞니 임플란트의 수명, 심미적인 유지에 있어서 중요한 요소라고 볼 수 있었어요
앞니는 사람들에 따라서 상실 원인이 다르고 현재의 잇몸 및 전신건강 상태가 다르며 특히 중년이후에는 기존의 보철물이 노후되거나 치주염으로 인해 치아를 상실하는 경우도 많기 때문에 앞이빨 임플란트 과정이라서 해서 단지 빠르게 치료하는 것만이 중요한 것이 아니라 장기적인 안정성 등을 충분히 고려한 치료 계획이 중요하므로 경험 많은 치과의사와 충분히 상의하고 정밀검진 결과를 토대로 나에게 맞는 치료 계획 그리고 사후관리까지 고려한 장기적인 유지까지 고려하여 판단하시길 바라고 있어요









Previous image Next image









Previous image Next image









Previous image Next image