명동콤비치과의원 (명동)
어금니 임플란트 뼈이식 이럴때 해당됩니다
어금니 임플란트 치료를 앞두고 있다는 사실만으로도 마음이 편하지 않았는데, 거기에 어금니 임플란트 뼈이식 까지 필요하다는 말을 들었을 때는 솔직히 생각이 한 번에 정리되지 않았어요 이미 임플란트 자체도 부담으로 느껴지고 있었는데 뼈이식이라는 단어가 더해지니 치료의 무게가 갑자기 몇 배로 늘어난 느낌이었어요 ...
아카이브 요약
이 페이지의 역할
명동콤비치과의원 (명동)의 네이버 블로그 원문을 보존한 아카이브 페이지입니다. 치아스토리♡ 카테고리의 어금니 임플란트 뼈이식 이럴때 해당됩니다 글을 통해 병원의 한국어 정보 제공 방식과 진료 관련 안내 톤을 확인할 수 있습니다.

어금니 임플란트 치료를 앞두고 있다는 사실만으로도 마음이 편하지 않았는데, 거기에 어금니 임플란트 뼈이식 까지 필요하다는 말을 들었을 때는 솔직히 생각이 한 번에 정리되지 않았어요
이미 임플란트 자체도 부담으로 느껴지고 있었는데 뼈이식이라는 단어가 더해지니 치료의 무게가 갑자기 몇 배로 늘어난 느낌이었어요
처음 어금니를 발치했을 때만 해도 시간이 지나면 자연스럽게 임플란트를 하면 되겠지 정도로 생각했어요, 주변에서도 어금니 임플란트는 흔하다는 이야기를 많이 들었고, 요즘 기술이 좋아서 큰 걱정은 하지 않아도 된다는 말에 마음을 조금 내려놓고 있었어요, 그런데 검사 결과를 보면서 뼈가 생각보다 많이 흡수됐고 이 상태로는 바로 임플란트를 하기 어렵다는 설명을 듣는 순간, 상황이 제가 생각했던 것보다 복잡하다는 걸 실감했어요.
뼈이식이라는 말을 들었을 때 먼저 떠오른 건 두려움이었어요, 잇몸을 열고 뼈를 채운다는 과정이 머릿속에서 구체적으로 그려지면서 괜히 몸에 힘이 들어갔어요 수술이라는 단어가 주는 압박감이 있었던 거 같아요
임플란트만 해도 충분히 걱정이었는데 왜 하필 뼈이식까지 해야 하는 걸까, 내가 그동안 너무 방치한 건 아닐까 하는 생각이 자연스럽게 따라왔어요, 발치 이후 바로 치료를 하지 않고 미뤄왔던 시간들이 괜히 더 무겁게 느껴졌어요.
어금니라는 위치도 마음을 더 복잡하게 만들었어요, 겉으로는 잘 보이지 않는 자리이긴 하지만 씹는 역할을 가장 많이 하는 치아라서 치료를 미룰수록 상황이 더 어려워질 수 있다는 설명은 머리로는 이해가 됐지만, 마음은 쉽게 따라가지 않았어요.
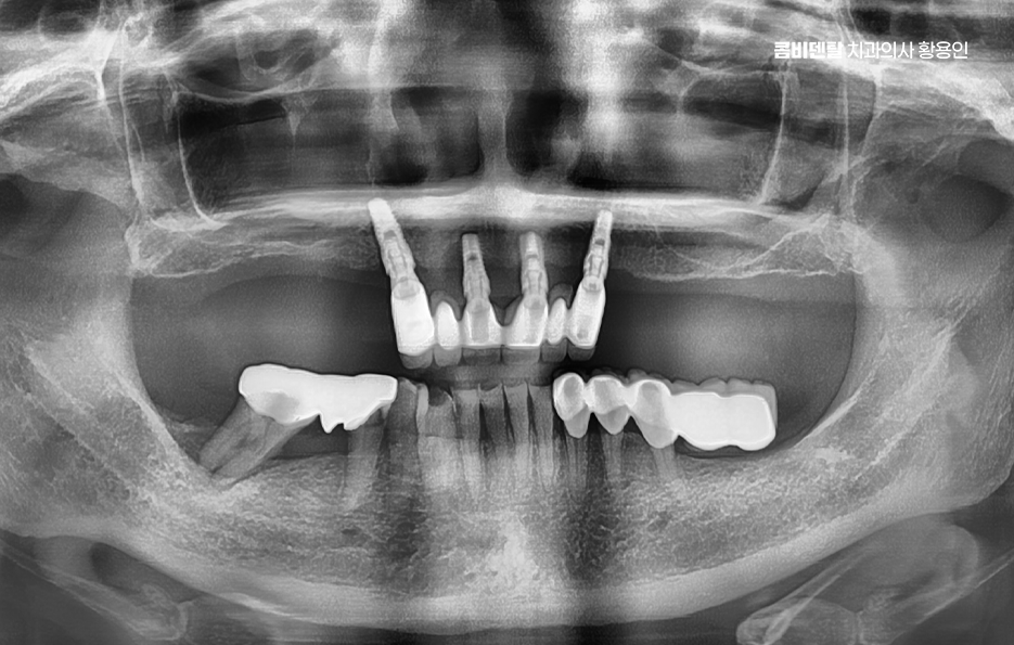
이처럼 어금니 임플란트의 경우 아무래도 잘 보이지 않는 위치이기 때문에 치료를 쉽게 미루시는 분들도 많지만 치아 상실 후에는 사실 치열의 변화, 잇몸 뼈의 흡수 등 다양한 변화가 발생하기 때문에 단지 조금 불편하면 되는 수준이 아닌 어금니 임플란트 뼈이식 치료과정 처럼 추가적인 상황이 발생되는 경우가 종종 있는데요
앞니 임플란트가 주로 심미성을 중심으로 고려된다면, 어금니 임플란트는 씹는 기능과 직결되는 치료이기 때문에 하중, 뼈 상태, 장기적인 안정성까지 함께 고려해야 하는데 실제로 음식을 씹을 때 사용되는 힘의 대부분은 어금니에 집중되며 이 어금니가 빠진 상태로 오래 지내거나, 상태를 충분히 고려하지 않고 임플란트를 진행하면 여러 문제가 생길 수 있었어요.


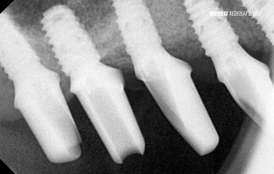
어금니 임플란트 치료 시 먼저 고려해야 할 주의사항은 뼈의 상태로 임플란트는 뼈에 직접 고정되는 구조이기 때문에, 뼈의 양과 질이 충분하지 않으면 안정적인 고정이 어렵고 특히 어금니 부위는 발치 후 뼈 흡수가 빠르게 진행되는 경향이 있어서, 오랜 기간 방치한 경우에는 임플란트를 바로 심기 어려운 상황이 될 수도 있었어요
어금니 부위는 씹는 힘이 강한 만큼, 임플란트에 전달되는 하중도 커서 단순히 임플란트를 심는 것뿐 아니라, 그 힘을 어떻게 분산시킬 것인지에 대한 계획이 중요한데 임플란트의 위치, 각도, 크기, 그리고 위에 올라가는 보철물의 형태까지 함께 고려되어야 하며 이 과정이 충분히 고려되지 않으면, 임플란트 자체는 괜찮아 보여도 시간이 지나면서 주변 뼈에 무리가 가거나, 보철물이 깨지는 문제가 생길 수 있어요.
잇몸 상태 역시 중요한 주의사항으로 잇몸에 염증이 남아 있거나, 치주 질환이 제대로 관리되지 않은 상태에서 임플란트를 진행하면 실패 위험이 높아질 수 있었어요.


이제 어금니 임플란트 뼈이식이 필요한 케이스에 대해 좀더 알아보면 뼈이식은 임플란트를 심기 위한 뼈가 부족할 때, 뼈의 양이나 형태를 보완하기 위해 시행되는 치료로서 많은 분들이 뼈이식에 대해 부담과 걱정을 느끼시곤 하는데 뼈이식은 임플란트를 더 안전하게 하기 위한 준비 과정이라고 이해하는 것이 좋을 거예요
어금니 임플란트 뼈이식 필요한 대표적 케이스는 어금니를 뽑은 지 오래된 경우로 치아가 빠진 뒤에는 그 자리를 채우던 뼈가 더 이상 필요 없다고 인식하고 점점 흡수되며 치주 질환으로 인해 어금니를 상실한 경우도 뼈이식이 필요한 경우가 많은데 치주 질환은 잇몸뿐 아니라 치아를 지지하는 뼈까지 함께 파괴하기 때문에, 발치 당시 이미 뼈가 상당히 소실된 상태인 경우가 많을 수 있었어요



상악 어금니의 경우에는 상악동이라는 구조도 고려해야 하며 위쪽 어금니 위에는 상악동이라는 빈 공간이 있는데 치아를 뽑고 시간이 지나면 이 공간이 아래로 내려오면서 임플란트를 심을 공간이 줄어들 수 있고 이런 경우에는 상악동 거상술이라는 수술과 함께 상악동 쪽 뼈를 보완하는 방식의 뼈이식이 필요해질 수 있었어요.
뼈이식이 필요하다고 해서 모두 같은 방식으로 진행되는 것은 아니며 부족한 뼈의 양과 위치에 따라 치료 방법과 범위는 달라지며 소량의 보완만 필요한 경우에는 임플란트를 심으면서 동시에 진행되기도 하고, 뼈 상태가 많이 부족한 경우에는 일정 기간 뼈가 자리 잡을 시간을 갖고 나서 임플란트를 진행하기도 해서 이 과정은 개인 상태에 따라 달라지기 때문에, 획일적으로 생각하기보다는 맞춤 계획으로 접근해야 하는 거예요


어금니 임플란트와 뼈이식 치료에서 많은 분들이 걱정하는 부분은 통증이지만 실제로는 마취 하에서 진행되기 때문에 시술 중 통증은 크게 느끼지 않는 경우가 많으며 시술 후에는 뻐근함이나 불편감이 있을 수 있지만, 대부분은 관리 가능한 범위이기 때문에 너무 큰 걱정보다는 주의사항과 필요성에 대한 올바른 이해를 통해 적절히 대처하는 것이 중요할 수 있었어요
어금니 임플란트는 단순히 빠진 치아를 대신하는 치료가 아니라, 전체 치아 구조와 씹는 균형을 회복하는 치료이기 때문에 치료를 시작하기 전에 지금 이 상태에서 나에게 적절하고 안전한 방법이 무엇인가를 충분히 고민해야 하며 뼈이식이 필요하다는 말은 치료가 더 어려워졌다는 의미가 아니라, 더 안정적인 결과를 위한 준비가 필요하다는 의미에 가까우며 임플란트는 당장의 치료만이 아니라 장기적으로 수명 유지를 안정적으로 해야 하므로 장기적인 관점으로 치료를 계획하시길 바라고 있어요





Previous image Next image





Previous image Next image






Previous image Next image






Previous image Next image
더 보기
이 병원의 공개 콘텐츠를 계속 살펴보세요
출처 아카이브로 돌아가 더 많은 글을 보거나, 병원 프로필로 이동해 다른 공개 채널도 함께 비교해보세요.