아카이브 요약
이 페이지의 역할
명동콤비치과의원의 네이버 블로그 원문을 보존한 아카이브 페이지입니다. 치아스토리♡ 카테고리의 오래된 보철물 아말감 교체 어떠한 케이스일까 글을 통해 병원의 한국어 정보 제공 방식과 진료 관련 안내 톤을 확인할 수 있습니다.
원문 검증
필요하면 원문 블로그와 병원 프로필로 바로 이동해 문맥을 다시 확인할 수 있습니다.
출처 아카이브 열기아카이브된 블로그 글
명동콤비치과의원 · Naver Blog
오래된 아말감을 다시 치료해야 할지도 모른다는 생각이 들기 시작했을 때는 재치료는 해야겠다고 생각했지만 어디서 부터 어떻게 해야할지 감이 잘 안왔어요. 사실 그 아말감은 너무 오래전 일이라 언제 치료를 받았는지도 정확히 기억나지 않을 정도였고, 그동안 아무 문제 없이 잘 버텨주고 있다고 믿고 있었기 때문에 굳이 다...
게시일
2026년 2월 24일
원문 기준으로 확인된 발행일입니다.
카테고리
치아스토리♡
원문 블로그 카테고리를 정리해 함께 표시합니다.
이미지 수
31
현재 아카이브에 연결된 이미지 수입니다.
아카이브 요약
명동콤비치과의원의 네이버 블로그 원문을 보존한 아카이브 페이지입니다. 치아스토리♡ 카테고리의 오래된 보철물 아말감 교체 어떠한 케이스일까 글을 통해 병원의 한국어 정보 제공 방식과 진료 관련 안내 톤을 확인할 수 있습니다.
원문 검증
필요하면 원문 블로그와 병원 프로필로 바로 이동해 문맥을 다시 확인할 수 있습니다.
출처 아카이브 열기
오래된 아말감을 다시 치료해야 할지도 모른다는 생각이 들기 시작했을 때는 재치료는 해야겠다고 생각했지만 어디서 부터 어떻게 해야할지 감이 잘 안왔어요. 사실 그 아말감은 너무 오래전 일이라 언제 치료를 받았는지도 정확히 기억나지 않을 정도였고, 그동안 아무 문제 없이 잘 버텨주고 있다고 믿고 있었기 때문에 굳이 다시 신경 써야 할 대상이라고는 생각하지 않고 지내오기도 했어요 눈에 잘 보이지 않는 어금니 쪽이었고 아프지도 않았으니까 그냥 그렇게 함께 나이를 먹어가는 존재처럼 여겼던 것 같아요.
그러다 어느 날부터인가 그 치아를 씹을 때 미묘하게 다른 느낌이 들기 시작했어요
아주 아픈 건 아니었지만 예전보다 씹는 감각이 둔한 것 같기도 했고, 가끔은 음식물이 끼는 느낌이 더 자주 드는 것 같아서 괜히 신경이 쓰였어요, 처음에는 기분 탓이라고 넘기려고 했지만 그 생각이 머릿속에서 쉽게 사라지지 않았어요.
양치를 하다가 거울 속 이를 유심히 바라보게 된 날도 있었어요
은색으로 보이는 오래된 아말감이 예전보다 더 낡아 보이는 것 같았고, 그 주변 치아 색도 어딘가 균일하지 않다는 느낌이 들어서 괜히 마음이 불안해졌어요, 눈으로 봤을 때 큰 변화가 있는 건 아니었는데, 이상하게도 그날 이후로 그 아말감이 계속 의식되기 시작했어요.
예전에 들었던 말들이 하나씩 떠올랐어요, 아말감은 시간이 지나면 교체가 필요할 수도 있다는 이야기, 오래되면 틈이 생길 수 있다는 설명을 어렴풋이 들은 기억이 났어요, 그때는 그저 참고용 정보처럼 흘려들었는데 지금 와서 생각해보니 그 말들이 하나하나 현실로 다가오는 느낌이었어요.
그 아말감 아래쪽에서 충치가 다시 생긴 건 아닐까 하는 걱정도 들었어요
겉으로는 멀쩡해 보여도 안쪽에서는 이미 문제가 진행되고 있는 건 아닐지, 통증이 없다는 이유로 그냥 넘기고 있다가 나중에 더 큰 치료가 필요해지는 건 아닐지 혼자서 계속 상상하게 됐어요, 아직 아무 일도 확실하게 일어난 건 없는데 마음은 이미 여러 단계를 앞서가고 있었어요.
이처럼 오래된 아말감은 교체 시기가 찾아오기 마련으로 사실 아말감 뿐 아니라 보철물은 수명과 교체 주기가 존재하며 환자분들에 따라서 관리 방법, 생활 습관에 따라 개인차도 있기 때문에 오래된 보철물에 대한 올바른 교체 및 재치료 방법에 대해 잘 알고 있을 필요가 있는데요
오래된 보철물이나 아말감 치료를 한 치아를 가지고 있는 분들 중에는 지금도 잘 쓰고 있는데 굳이 바꿔야 할까?”라는 고민을 하는 경우가 많고 실제로 통증이 없고, 겉으로 보기에도 큰 문제가 없어 보이면 그냥 두는 것이 맞는 선택처럼 느껴지기도 하지만 오래된 보철물 혹은 아말감은 시간이 지날수록 눈에 보이지 않는 변화가 누적되고, 그 변화가 어느 순간 문제로 드러나는 경우가 적지 않아서 교체가 필요한 시점을 단순히 연식이나 재료 이름만으로 판단하기보다는, 현재 치아 상태와 앞으로의 치아 수명을 함께 고려해서 생각해 볼 필요가 있었어요


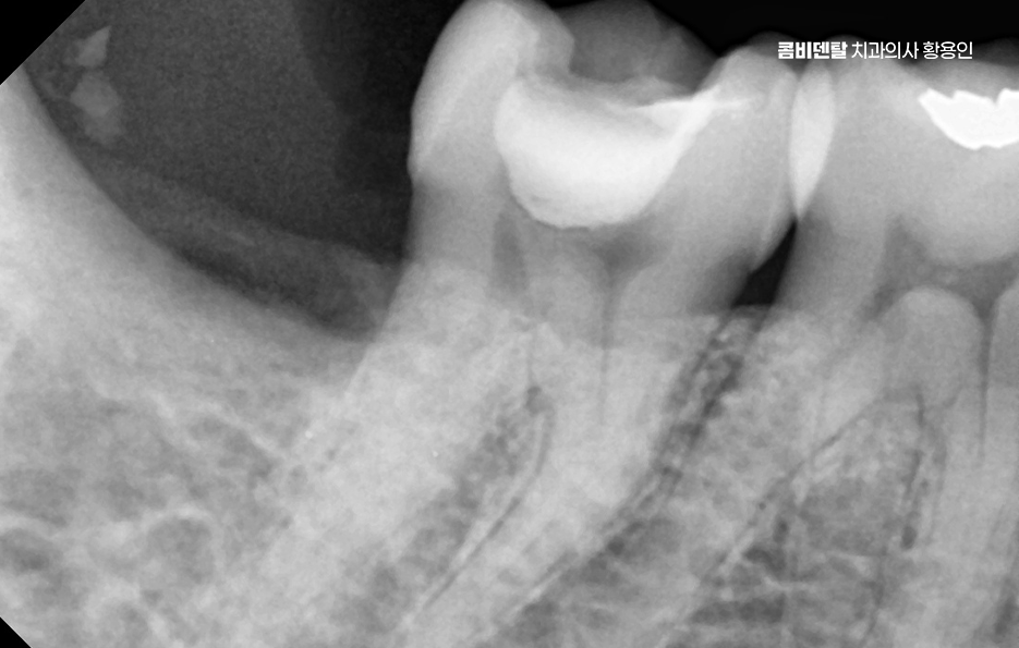
아말감은 과거에 충치 치료로 매우 널리 사용되던 재료로 강도가 좋고 비용 부담이 적어서 어금니 충치 치료에 많이 사용됐어요.
지금도 입 안에 아말감이 남아 있는 분들이 많고, 오랜 기간 큰 문제 없이 사용한 경우도 있지만 아말감은 금속 재료이기 때문에 시간이 지나면서 치아와는 다른 방식으로 변화하며 열에 의한 팽창과 수축이 반복되면서 치아와 아말감 사이에 미세한 틈이 생길 수 있고, 그 틈으로 세균이 침투하면서 안쪽에서 충치가 다시 진행되는 경우가 있어요.
문제는 이런 2차 충치가 겉으로 잘 보이지 않는다는 점이며 겉에서 보기에는 아말감이 단단히 붙어 있는 것처럼 보여도, 그 아래에서는 치아가 이미 많이 약해져 있는 경우도 있었어요.


이런 상태에서는 어느 날 갑자기 치아가 깨지거나, 씹을 때 통증이 생기면서 문제를 인식하게 되는 경우가 많아서 아말감이 떨어지기 전까지는 괜찮다라고 생각하는 것은 위험할 수 있었어요.
아말감 뿐 아니라 오래된 보철물도 비슷한 문제를 안고 있는데 크라운이나 인레이 같은 보철물은 치아를 보호하는 역할을 하지만, 영구적인 것은 아니며 시간이 지나면서 보철물 가장자리와 잇몸 경계 부위에 미세한 틈이 생길 수 있고, 그 안쪽으로 충치가 진행될 수 있으며 특히 오래된 보철물은 제작 당시의 기술이나 재료 특성 때문에 지금 기준으로 보면 밀착도가 떨어지는 경우도 있어요.
보철물 교체가 필요한 시점은 몇 가지 신호로 나타나는 경우가 많은데 흔한 신호 중 하나는 특정 치아에서 반복적으로 시리거나 불편한 느낌이 드는 경우로 찬물이나 뜨거운 음식에 예민해졌거나, 씹을 때만 순간적으로 통증이 느껴진다면 보철물 아래 치아 상태에 변화가 생겼을 가능성이 있었어요.


음식물이 자주 끼는 것도 중요한 신호로 예전에는 괜찮았는데, 어느 순간부터 특정 보철물 주변에 음식이 계속 끼고 잘 빠지지 않는다면 보철물과 치아 사이의 밀착이 떨어졌을 수 있으며 이런 상태는 충치와 잇몸 염증으로 이어질 가능성이 높고 냄새가 나기 시작했다면 이미 안쪽에서 변화가 진행 중일 가능성도 있었어요.
아말감의 경우에는 치아에 금이 가는 형태로 문제가 나타나는 경우도 있는데 아말감은 단단하지만 탄성이 부족해서, 씹는 힘이 반복되면 주변 치아에 스트레스를 줄 수 있으며 그 결과 아말감 주변 치아에 미세한 균열이 생기고, 시간이 지나면서 그 균열이 커져 치아가 깨지는 상황으로 이어질 수 있어요.
그렇다면 오래된 아말감이나 보철물을 무조건 교체해야 할까 꼭 그렇지는 않으며 현재 상태가 안정적이고, 주변 치아와 잇몸에 문제가 없다면 당장 교체하지 않고 정기적으로 관찰하는 선택도 가능하며 그래서 재치료 계획을 세울 때는 먼저 정확한 진단이 필요하며 겉으로 보이는 상태뿐 아니라, 내부에서 충치가 진행되고 있는지, 치아 구조가 얼마나 남아 있는지, 잇몸과 뼈 상태는 어떤지를 함께 확인해야 하고 이 과정을 통해 단순 교체로 충분한지, 아니면 더 넓은 범위의 치료가 필요한지를 판단하게 될 수 있었어요

아말감을 교체하는 경우에는 단순히 아말감을 제거하고 다른 재료로 채우는 것으로 끝나지 않는 경우도 많은데 제거 과정에서 이미 약해진 치아 구조가 드러나면서, 생각보다 손상 범위가 큰 경우도 있었어요.
이때는 치아를 보호하기 위한 치료가 함께 고려돼야 하며 재료 선택 역시 현재 치아 상태와 씹는 힘, 관리 가능성까지 함께 고려해서 결정하는 것이 좋겠고 재치료 계획을 세울 때 많은 분들이 비용과 시간을 가장 걱정하시는데 물론 중요한 요소이지만, 당장의 부담만을 기준으로 판단하면 오히려 더 큰 치료로 이어질 수 있어요.
문제가 작을 때 교체하면 비교적 단순한 치료로 끝날 수 있지만, 방치하다가 치아가 깨지거나 신경까지 손상되면 치료 범위와 부담이 크게 늘어날 수 있었어요.

오래된 보철물과 아말감은 언제까지 써도 된다는 개념보다는, 정기적으로 점검하면서 사용해야 하는 것에 가까우며 자동차처럼 소모품을 교체하며 관리하듯이, 치아도 시간이 지나면 점검과 보완이 필요하겠고 특히 과거에 치료한 치아일수록 지금의 기준에서 한 번쯤 상태를 확인해 보는 것이 중요할 수 있었어요
결론적으로 오래된 보철물과 아말감의 교체 시점은 문제가 드러났을 때가 아니라, 문제가 커지기 전이 적절한 시점으로 통증이 없을 때 점검하고, 작은 변화가 있을 때 대응하는 것이 치아 수명을 지키는 현실적인 방법이며 오래된 보철물과 아말감을 무조건 불안하게 볼 필요는 없지만 지금 상태를 정확히 알고, 필요한 시점에 필요한 만큼만 치료하는 것, 그것이 오래된 보철물을 현명하게 관리하고 곧 자연치아를 지키는 방법이라 할 수 있어요






Previous image Next image






Previous image Next image





Previous image Next image





Previous image Next image