아카이브 요약
이 페이지의 역할
명동콤비치과의원의 네이버 블로그 원문을 보존한 아카이브 페이지입니다. 치아스토리♡ 카테고리의 어금니 임플란트 과정 제대로 이해하려면 글을 통해 병원의 한국어 정보 제공 방식과 진료 관련 안내 톤을 확인할 수 있습니다.
원문 검증
필요하면 원문 블로그와 병원 프로필로 바로 이동해 문맥을 다시 확인할 수 있습니다.
출처 아카이브 열기아카이브된 블로그 글
명동콤비치과의원 · Naver Blog
어금니를 하나 잃었을 때만 해도 이렇게까지 마음이 흔들리지는 않았어요, 불편하긴 했지만 반대쪽으로 씹으면 된다고 스스로를 달래면서 버텼고, 시간이 지나면 적응할 수 있을 거라고 생각했어요 그런데 하나가 아니라 둘, 그리고 그 이상으로 어금니를 상당 수 잃게 되자 상황은 전혀 다르게 느껴졌어요, 씹는 균형이...
게시일
2026년 3월 25일
원문 기준으로 확인된 발행일입니다.
카테고리
치아스토리♡
원문 블로그 카테고리를 정리해 함께 표시합니다.
이미지 수
30
현재 아카이브에 연결된 이미지 수입니다.
아카이브 요약
명동콤비치과의원의 네이버 블로그 원문을 보존한 아카이브 페이지입니다. 치아스토리♡ 카테고리의 어금니 임플란트 과정 제대로 이해하려면 글을 통해 병원의 한국어 정보 제공 방식과 진료 관련 안내 톤을 확인할 수 있습니다.
원문 검증
필요하면 원문 블로그와 병원 프로필로 바로 이동해 문맥을 다시 확인할 수 있습니다.
출처 아카이브 열기
어금니를 하나 잃었을 때만 해도 이렇게까지 마음이 흔들리지는 않았어요, 불편하긴 했지만 반대쪽으로 씹으면 된다고 스스로를 달래면서 버텼고, 시간이 지나면 적응할 수 있을 거라고 생각했어요
그런데 하나가 아니라 둘, 그리고 그 이상으로 어금니를 상당 수 잃게 되자 상황은 전혀 다르게 느껴졌어요, 씹는 균형이 무너졌다는 게 단순히 감각적인 문제가 아니라 생활 전체에 영향을 주고 있다는 걸 몸으로 느끼게 됐어요.
식사 시간이 먼저 달라졌어요, 예전에는 아무 생각 없이 씹던 음식들이 이제는 부담이 되었고, 질기거나 단단한 음식은 아예 피하게 됐어요
자연스럽게 먹는 메뉴도 바뀌었고, 부드러운 음식 위주로 선택하게 됐어요, 겉으로 보기에는 사소한 변화 같지만, 그 안에는 이걸 씹어도 괜찮을까라는 망설임이 항상 따라붙어 있었어요.
어금니는 평소에는 존재감을 잘 느끼지 못하는 치아였어요, 앞니처럼 눈에 띄지도 않고, 특별히 아프지 않으면 의식할 일도 거의 없었어요, 그런데 막상 여러 개를 잃고 나니 그 자리가 얼마나 중요한 역할을 하고 있었는지 새삼 깨닫게 됐어요, 씹는 힘의 중심이 무너진 느낌이었고, 한쪽으로만 씹다 보니 턱이 뻐근해지는 날도 늘어났어요.
힘들었던 건 스스로가 점점 위축된다는 느낌이었어요, 사람들과 식사 자리가 생기면 메뉴부터 걱정하게 됐고, 혹시 먹기 어려운 음식이 나오지는 않을지 미리 생각하게 됐어요, 예전에는 즐기던 고기나 견과류도 이제는 조심스럽게 바라보는 대상이 되었어요, 그런 제 모습이 낯설고 조금은 속상했어요.
어금니를 상당 수 잃고 나니 임플란트 치료가 자연스럽게 떠올랐어요, 이 상태로 계속 지내는 건 점점 더 불편해질 것 같았고, 남아 있는 치아에도 부담이 갈 수 있다는 말을 들으니 더 이상 미루는 게 답은 아니라는 생각이 들었어요, 하지만 임플란트라는 단어는 여전히 무겁게 느껴졌어요.
하나도 아닌 여러 개의 어금니를 임플란트로 대체해야 한다는 생각은 쉽게 받아들이기 어려웠어요, 치료 기간은 얼마나 걸릴지, 어금니 임플란트 과정은 얼마나 복잡할지, 통증은 어느 정도일지 계속 상상하게 됐어요
이처럼 어금니는 우리가 음식을 씹을 때 가장 많은 힘을 담당하는 치아로 앞니는 자르는 역할을 한다면, 어금니는 잘게 부수고 갈아주는 역할을 해서 어금니 하나가 빠졌을 뿐인데도 식사 습관이 달라지고, 반대쪽으로만 씹게 되면서 전체 교합 균형이 무너질 수 있었어요.
많은 분들이 어금니는 잘 보이지 않는 위치라서 조금 불편해도 참고 지내는 경우가 있는데, 실제로는 방치할수록 주변 치아와 턱관절에 부담이 쌓이게 되서 어금니 상실 후 어금니 임플란트 과정은 단순한 선택이 아니라 기능 회복을 위한 중요한 과정일 수 있어요.


어금니 임플란트의 필요성은 저작 기능 회복에 있으며 어금니가 없으면 음식을 충분히 씹지 못하고 삼키게 되는 경우가 많고 그 결과 소화기관에 부담이 가면서 특정 음식은 아예 피하게 되기도 하며 또한 한쪽으로만 씹는 습관이 생기면 사용하지 않는 쪽 치아와 잇몸은 점점 약해질 수 있었어요.
반대로 계속 사용하는 쪽은 과부하가 걸리면서 마모나 금이 생길 위험이 커지며 장기적으로 보면 어금니 상실이 전체 구강 건강에 연쇄적인 영향을 줄 수 있어요.



치아는 서로 기대고 균형을 이루고 있는데 하나가 빠지면 옆 치아가 빈 공간 쪽으로 기울 수 있으며 이를 방치하면 치열이 흐트러지고, 나중에 보철 치료를 하려 해도 공간이 부족해 복잡해질 수 있고 위아래 맞물리는 치아도 상대가 없으면 점점 내려오거나 솟아오르는 현상이 생길 수 있었어요.
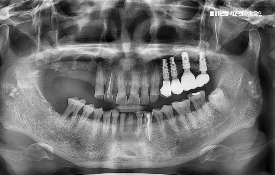
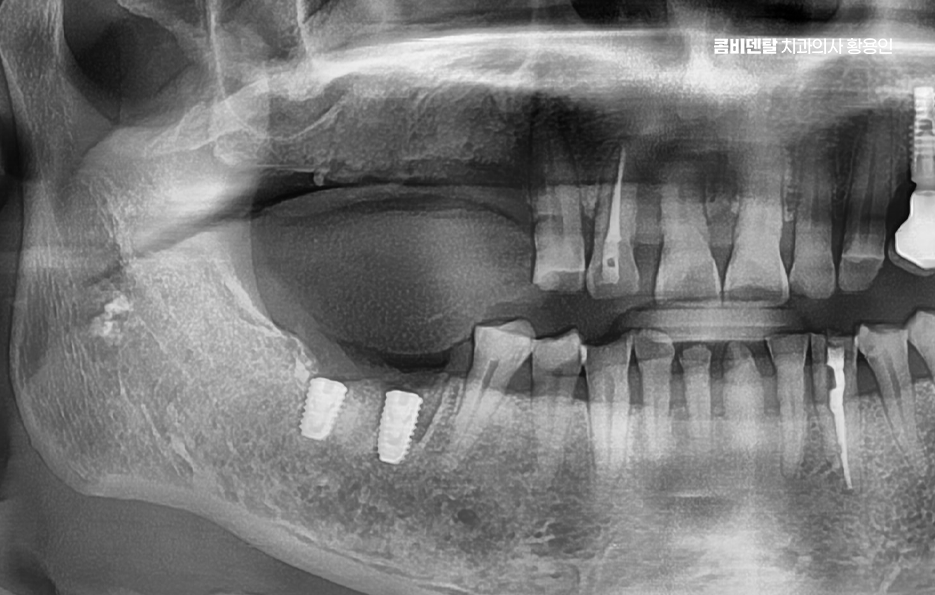
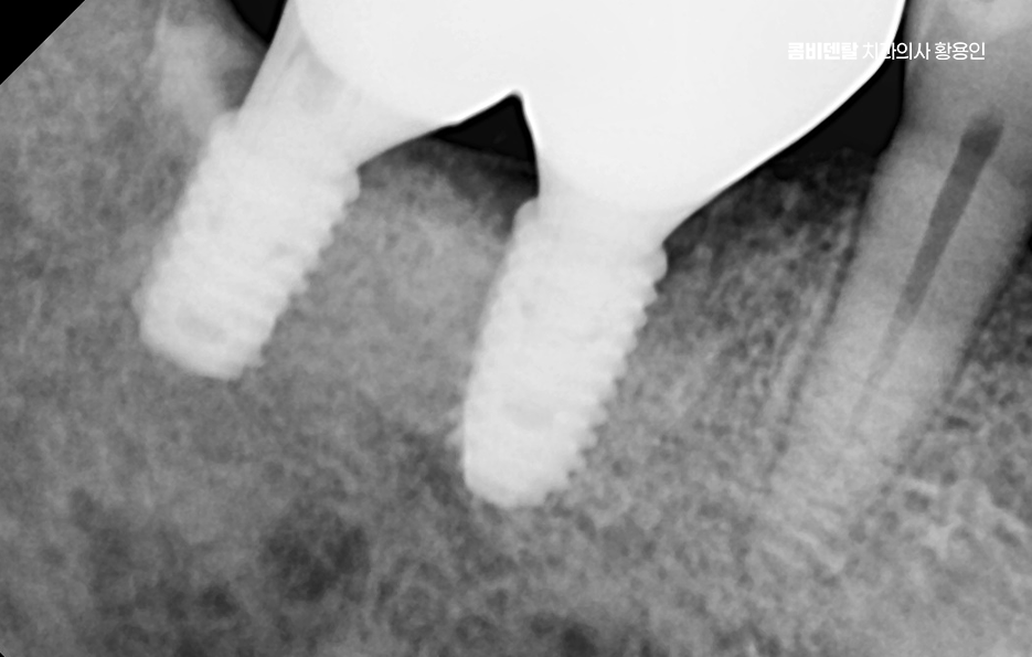
어금니 임플란트 과정은 정밀 진단에서 시작되며 잇몸뼈 안에 인공 치근을 심는 방식이기 때문에 뼈 상태 확인이 필수적으로 파노라마 촬영이나 3차원 CT를 통해 뼈 높이와 폭, 신경 위치를 확인하고 특히 아래 어금니는 하치조신경과 가까워서 정확한 위치 파악이 중요하며 위 어금니는 상악동과의 거리도 고려해야 할 필요가 있어요
임플란트를 심을 잇몸 뼈가 충분하다면 바로 식립이 가능하지만 치아를 빼고 오래 방치한 경우에는 뼈가 흡수되어 부족할 수 있으며 이때는 뼈이식을 먼저 하거나 동시에 진행하고 어금니는 씹는 힘이 강하기 때문에 초기 고정이 단단해야 하며 유지까지 고려할 때 교합의 정교한 맞물림이 중요한 부위라고 할 수 있었어요



어금니 임플란트 과정에서 수술 당일에는 국소마취 후 잇몸을 절개하거나 최소 절개로 접근해 뼈에 임플란트를 식립하며 수술 후에는 일정 기간 골유착을 기다리는데 임플란트와 뼈가 단단히 결합하는 과정이라 할 수 있었어요
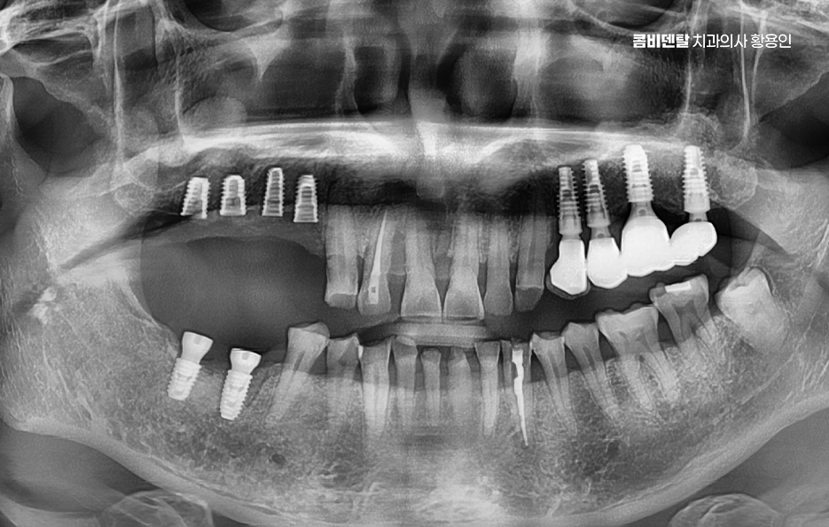
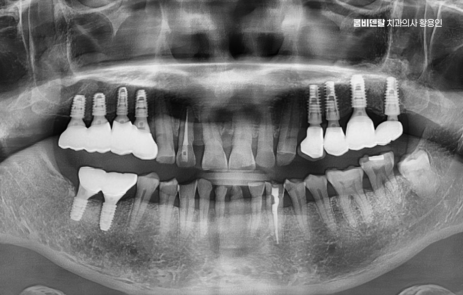
골유착이 완료되면 지대주를 연결하고 본을 떠서 최종 보철물을 제작하며 어금니 크라운은 강도와 교합 조화를 동시에 고려해 제작하는데 씹는 힘이 집중되는 부위이기 때문에 높이와 접촉점 조정이 중요하며 교합이 맞지 않으면 나사가 풀리거나 보철물에 문제가 생길 수 있어서 장착 후에도 교합 점검 및 정기적인 검진, 스케일링 등의 관리가 중요할 수 있어요



흔히 임플란트는 충치가 생기지 않는다고 생각하는 경우가 많은데 잇몸 염증은 충분히 생길 수 있으며 임플란트 주위염이 발생하면 뼈가 녹아 실패로 이어질 수 있어서 치간칫솔이나 치실을 사용해 꼼꼼히 관리하고, 정기 검진을 통해 뼈 상태를 확인해야 하고 특히 어금니는 음식물이 잘 끼는 위치라 더 신경 써야 한다는 점에서도 치료 계획 만이 아니라 유지 관리까지 포함한 장기적인 케어가 중요하다고 볼 수 있었어요
어금니는 눈에 잘 보이지 않지만, 구강 기능의 중심이며 처음에 어금니 하나가 빠졌을 때 큰 차이가 없을 것 같지만, 시간이 지나면 그 공백이 문제로 돌아올 수 있으며 임플란트는 잃어버린 기능을 회복하고, 남은 치아를 지키기 위한 치료라는 점에서 충분한 진단과 계획을 통해 진행한다면 오랜 기간 안정적으로 사용할 수 있다는 점에서 치아 상실 시점에서 미리 준비하시고 장기적인 안목으로 접근하시길 바라고 있어요





Previous image Next image





Previous image Next image




Previous image Next image




Previous image Next image