명동콤비치과의원 (명동)
송곳니 덧니 발치 이럴때 해당되네요
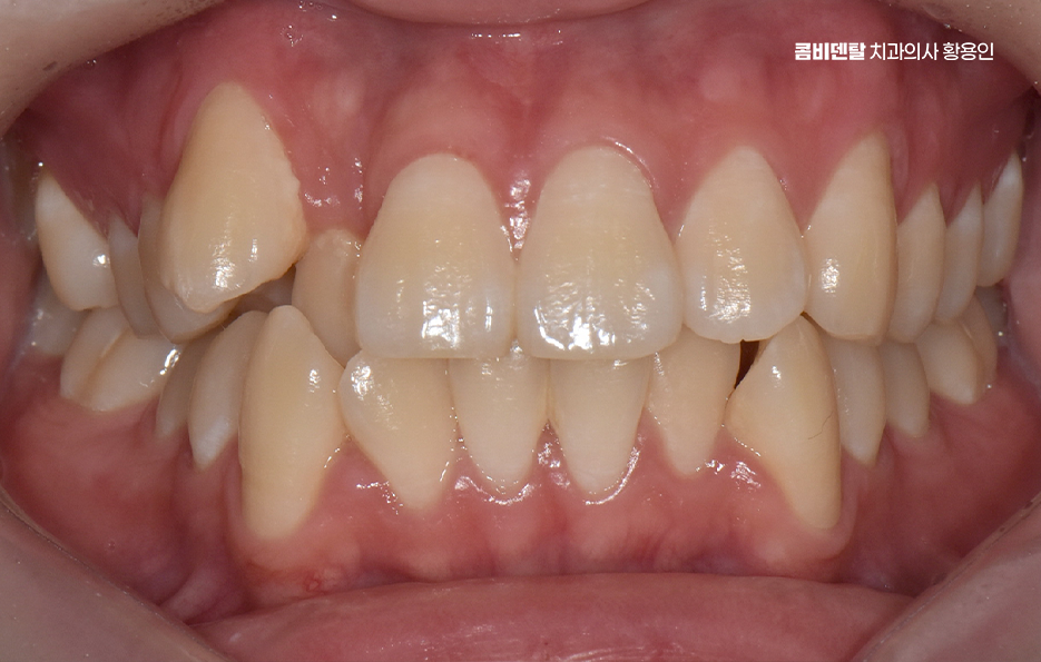
어릴 때부터 송곳니가 덧니처럼 바깥으로 올라와 있다는 사실은 알고 있었지만 학생 때는 외모에 대한 고민이 있어도 괜히 예민한 사람처럼 보이고 싶지 않아서 덧니가 신경 쓰여도 아닌 척했으며 사진을 찍을 때마다 입술을 조금 더 붙이거나 고개 각도를 바꾸는 식으로 적당히 감추며 지냈어요. 그런데 성인이 되고 나서는...
아카이브 요약
이 페이지의 역할
명동콤비치과의원 (명동)의 네이버 블로그 원문을 보존한 아카이브 페이지입니다. 치아스토리♡ 카테고리의 송곳니 덧니 발치 이럴때 해당되네요 글을 통해 병원의 한국어 정보 제공 방식과 진료 관련 안내 톤을 확인할 수 있습니다.

어릴 때부터 송곳니가 덧니처럼 바깥으로 올라와 있다는 사실은 알고 있었지만 학생 때는 외모에 대한 고민이 있어도 괜히 예민한 사람처럼 보이고 싶지 않아서 덧니가 신경 쓰여도 아닌 척했으며 사진을 찍을 때마다 입술을 조금 더 붙이거나 고개 각도를 바꾸는 식으로 적당히 감추며 지냈어요.
그런데 성인이 되고 나서는 사람을 마주 보고 이야기하는 시간이 많아지고 자연스럽게 웃어야 하는 순간도 늘어나면서 송곳니 덧니가 생각보다 먼저 시선에 들어온다는 사실을 자꾸 의식하게 되었고 그때부터 마음이 달라졌어요.
보기의 문제만 있었다면 이렇게 오래 고민하지 않았을지도 모르는데 양치를 할 때마다 겹쳐 있는 부분이 잘 닦이지 않는 느낌이 있었고 음식물이 걸리는 자리도 늘 비슷해서 관리가 어렵다는 불편이 반복될수록 교정을 더 진지하게 생각하게 되었어요.
그래서 결국 교정을 하기로 마음을 먹었는데 막상 상담을 받고 나서 가장 크게 남은 건 장치를 다는 불편보다도 송곳니 덧니 발치 교정이 필요할 수 있다는 설명이었고 그 말을 듣는 순간 치료가 갑자기 무겁고 현실적인 일로 느껴졌어요.
치아를 가지런하게 만들기 위해 다른 치아를 빼야 한다는 발상 자체가 처음에는 쉽게 받아들여지지 않았고 멀쩡해 보이는 이를 일부러 발치한다는 생각을 하니 그 필요성을 이해하려고 하면서도 마음 한쪽에서는 계속 망설임이 일어났어요.
송곳니 덧니가 생긴 이유가 공간 부족과 관련 있을 수 있고 그 공간을 확보해야 배열이 가능하다는 설명을 들으면 머리로는 납득이 되는데도 막상 제 치아를 떠올리면 정말 발치까지 해야 하나 싶은 마음이 쉽게 가라앉지 않았어요.
무엇보다 걱정스러운 건 발치를 하고 나서의 변화였어요, 치아가 가지런해지는 대신 얼굴 인상까지 달라지지는 않을지 입매가 너무 들어가 보이지는 않을지 혹시 웃는 모습이 지금보다 어색해지지는 않을지 자꾸 상상하게 되었어요.
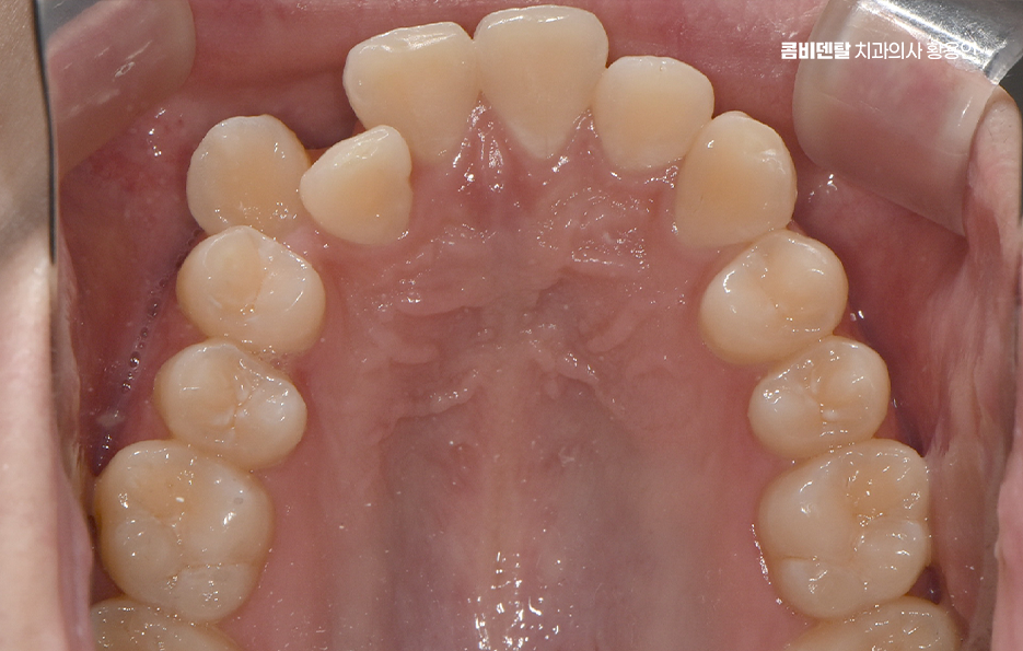
이처럼 송곳니 덧니는 단순히 치아 하나가 튀어나온 모습으로만 보이기 쉽지만 실제로는 치아가 들어갈 공간이 부족해 늦게 나오는 송곳니가 제자리를 찾지 못하고 바깥으로 밀려 나온 결과인 경우가 많이 있었어요
송곳니는 앞니와 어금니 사이에서 모양과 기능을 연결하는 중요한 치아라서 덧니처럼 보여도 함부로 빼는 치아는 아니며 그래서 교정 계획을 세울 때도 송곳니 자체보다 왜 그런 위치가 되었는지를 먼저 보는 것이 중요하며 많은 분들이 덧니 교정이라 하면 튀어나온 송곳니를 바로 발치하면 간단할 것 같다고 생각하시는데 실제 교정에서는 보통 작은 어금니 발치와 같이 다른 공간을 만들어 제자리로 이동시키는 쪽을 우선 고려하는 편이라 할 수 있어요



그 이유는 송곳니가 뿌리가 길고 단단하며 씹는 움직임에서 방향을 잡아주는 역할이 크기 때문인데 심미적으로도 입매와 웃는 선에 영향을 주는 치아라서 장기적인 안정성을 생각하면 보존 가치가 높다고 할 수 있었어요
그렇다면 발치가 필요한 케이스는 어떤 경우인가를 먼저 따져보는 것이 좋은데 송곳니 덧니 발치에서 대표적인 상황은 전체 치열에 비해 공간 부족이 큰 경우로 송곳니만이 아니라 앞니와 작은어금니까지 겹치고 밀려 있는 상태를 말할 수 있어요.
즉, 치아가 놓일 자리에 비해 턱의 폭과 길이가 충분하지 않으면 단순히 치열만 맞추는 방식으로는 정리가 어려우며 그리고 무리하게 비발치로 진행하면 앞니가 더 앞으로 나와 보이거나 입매가 불안정해질 수 있었어요.



특히 송곳니 덧니와 함께 돌출입 경향이 있는 경우에는 송곳니 덧니 발치 교정의 가능성이 더 높게 나타나게 되는데 이미 앞니가 앞으로 기울어 있고 입술이 치아에 밀리는 인상이 있다면 공간 확보와 입매 조정이 함께 필요할 수 있기 때문이라 할 수 있었어요
송곳니 덧니 발치 교정에 대해 고려할 때 겉으로 보기에는 송곳니만 삐져나온 것 같아도 실제로는 전체 치아가 전반적으로 앞으로 몰려 있는 경우가 있는데 이런 상태에서 비발치로 정렬만 하면 송곳니는 들어가도 얼굴 인상은 더 돌출돼 보일 수 있다는 점도 중요한 체크 사항이라 할 수 있어요
위아래 치아의 맞물림까지 어긋난 경우도 발치를 고려하는 이유가 되는데 어금니 관계와 앞니 돌출, 중심선 비대칭이 함께 있는 상태라면 공간을 만들지 않고는 교합과 배열을 동시에 안정시키기 어려울 수 있었어요.


잇몸뼈 범위 안에서 치아를 이동시켜야 한다는 점도 중요한 점으로 송곳니 덧니를 억지로 안쪽으로 넣으려 해도 뼈 두께가 충분하지 않으면 잇몸이 얇아지거나 뿌리가 불리한 위치로 갈 수 있어서 송곳니 덧니 발치 교정이 더 안전한 선택이 될 수 있었어요
정리하면 발치가 필요한지 판단할 때는 단순히 덧니가 심해 보이느냐만 보는 것이 아니라 앞니의 기울기와 입술선, 웃을 때 보이는 치열, 뿌리 위치와 잇몸 상태까지 함께 확인해야 현실적인 계획이 나올 수 있어요.
다시 말해 교정에서 말하는 발치는 대개 작은어금니를 선택하는 경우가 많은데 송곳니를 제자리로 보내기 위한 공간을 만들면서 기능적으로 중요한 송곳니는 남기는 방향이 일반적이며 작은어금니 발치를 통해 생긴 공간은 단순히 빈자리가 아니라 밀려 있던 앞니와 송곳니를 정돈하고 돌출감을 줄이는 통로가 되서 발치는 치아를 줄이는 개념보다 전체 균형을 다시 만드는 과정에 가깝다고 볼 수 있었어요



반대로 모든 송곳니 덧니가 발치 교정으로 가는 것은 아닌데 공간 부족이 경미하고 입매 돌출이 크지 않으며 어금니 교합이 안정적인 경우에는 악궁 확장이나 치간 삭제 같은 방법으로도 계획이 가능할 수 있었어요.
하지만 발치를 피하고 싶다는 이유만으로 무리하게 비발치로 진행하면 교정이 끝난 뒤에도 입이 더 튀어나와 보이거나 유지가 불안정해질 수 있어서 정교한 치료 계획이 필요한 것이며 치료 전에는 충치와 잇몸염증을 먼저 정리하고 발치가 결정되면 어느 치아를 왜 빼는지 충분히 이해하는 과정이 필요하므로 경험 많은 교정 전문의와 함께 먼저 충분히 상의하고 판단하는 것이 중요할 수 있었어요
결론적으로 송곳니 덧니 발치 교정에서 발치가 필요한 케이스는 공간 부족이 크고 돌출과 교합 문제, 잇몸뼈 한계까지 함께 보이는 상황에서 더 분명해지는데 중요한 것은 이러한 전체적인 부분을 충분히 고려하여 치열부터 교합, 얼굴의 조화로운 변화 그리고 치료 후 유지관리까지 잘 고려하여 치료를 잘 계획하는 것에 있어요





Previous image Next image






Previous image Next image






Previous image Next image






Previous image Next image
더 보기
이 병원의 공개 콘텐츠를 계속 살펴보세요
출처 아카이브로 돌아가 더 많은 글을 보거나, 병원 프로필로 이동해 다른 공개 채널도 함께 비교해보세요.