



안녕하세요
잠실어린이인비절라인
잠실청소년교정치과
인비절라인다이아몬드등급치과
유펜바른치과입니다
모두 잘 지내셨나요?

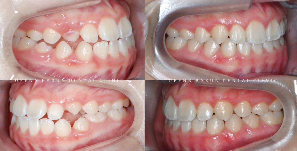
교정기간 23/8~24/10


오늘은
앞니에 반대교합이 있고
위아래 치아가 앞니끼리 닿고 있어
아래 앞니의
치은퇴축이 진행되고 있던 T^T
환자의 인비절라인 케이스를 소개해 드리려고해요.

교정기간 23/8~24/10
정상적인 교합은 윗니가 아랫니를 2mm정도 덮어
앞니끼리 치아가 닿지 않아야 합니다.
앞니끼리의 교합은 심미적인 치료 뿐만 아니라 치아 건강을 위해서
반드시 개선이 필요합니다.
절단교합 또는 반대교합이라고 불리는
앞니끼리의 부정교합이 방치될 경우,
어금니가 씹을때 받는 힘을 앞니에도 고스란히 전달되어
치아가 마모되거나 파절될 수 있으며
지속적인 힘으로 치아의 뿌리가 흡수될 수 있고
치아의 저작기능 뿐만 아니라 턱관절 장애로 이어질 수 있으며
교합성 외상으로 인해 잇몸 퇴축을 야기할 수 있습니다.
결국 치아 수명이 단축되는 문제가 생길 수 있습니다 T^T
이런 문제점을 개선하기 위해
잠실소아교정전문치과
잠실청소년인비절라인
잠실인비절라인전문치과
잠실인비절라인다이아몬드등급치과
유펜바른치과 에서
1년 2개월 만에
인비절라인 퍼스트를 통해
1차 소아교정과 2차 교정을 한번에 마무리 해드렸습니다 :)
인비절라인퍼스트 (=인비절라인1차교정)란?
→ 성장과정에 있는 아이들에 특화된
인비절라인 장치입니다.
주로 6-10세의 초기 혼합치열기 어린이들을 위한 교청치료로
어린이들의 턱뼈의 성장과 맹출 치아에 발생되는 문제를 확인 할 수 있습니다.
치아의 배열과 공간의 확보를 동시에 하여
영구치의 올바른 맹출에 도움을 줍니다.
인비절라인 시뮬레이션을 통해
어린이의 교합 및 정렬의 치아 관계를 평가하고, 어떻게 발전할지 예측할 수 있습니다.
턱 성장 등 골격적인 문제를 개선할 수 있으며
탈착이 가능하여, 구강위생에 용이합니다.

왼쪽 아래(#36) 영구치 충치 엑스레이 및 구내 포토
교정을 시작하기에 앞서
엑스레이를 확인해 보니 충치가 생겨
충치치료를 마무리하고 교정을 진행해드렸습니다 :)
충치를 제거해보니 생각보다 범위가 컸지만
보존적인 치료를 추구하는 유펜바른치과에서
레진치료로 마무리 해드렸습니다 :)
1st ClinCheck(30개)


첫번째 클린체크의 영상입니다.
인비절라인의 장점 중의 하나는
교정 후의 모습을 예측할 수 있는것 입니다.
원장님께서 클린체크 디자인을 마치게 되면
인비절라인 교정치료 후에
치아이동이 어떻게 변화하는지 클린체크를 통해 확인 해 볼 수 있는것인데요.
첫번째 클린체크에서는 총 30개의 장치로
진행 해드렸습니다.

인비절라인 첫번째 클린체크 30개의 장치로
치아끼리 맞닿고 있던 앞니들이
개선되면서
윗니가 아랫니를 덮는 정상에 가까운 교합 상태로 개선되었습니다.
2nd ClinCheck(18개)


두번째 클린체크는
첫번째 클린체크에 추가적으로 어태치먼트를 부착하여 18개의 장치로
치아배열을 개선시켜 주었습니다.
송파소아인비절라인 전문
송파어린이인비절라인 전문
유펜바른치과에서는
이전의 클린체크와는 어태치먼트의 모양과 위치가
달라져
이전의 클린체크를 보완해 교정치료의 완성도를 높여 줍니다.
어태치먼트란?
치아의 회전이나, 이동, 높이, 각도 등을 조절할 수 있는 장치로
레진을 치아에 부착해서
치아의 이동을 원하는 위치로 올바르게 배열시켜 주는
인비절라인에서 없어서는 안 될 필수!! 요소입니다.
3rd ClinCheck(14개)


마지막으로 섬세한 디테일링을 위해
세번째 클린체크
(총 14개의 장치)를 진행해드렸습니다.
'인비절라인퍼스트'는
아이들의 유치와 영구치에
딱맞게 제작되고
5일~7일에 한번씩 새로운 장치로 갈아끼게 되므로 위생적입니다.
기존 교정장치에 비해 이물감과 통증이 적고
탈착이 가능하여 양치가 용이해 충치 가능성이 비교적 낮습니다.
격한 움직임이나 운동에도 위험이 적고 세척이 쉬워 관리가 용이 합니다.
일반 브라켓 교정처럼 찔리거나 브라켓이 탈락하여 치과를 급하게 와야 하는 경우가 드뭅니다.

교정기간 23/8~24/10

교정기간 23/8~24/10
마지막 클린체크를 통해
교정이 마무리된 사진입니다 :)
영구치 교환시기에 시작한 인비절라인은
어린이 환자들에게 맞춤형 기능을 제공하고
악궁확장과 함께 맹출중인 영구치의 공간확보에 유리합니다.
또한
악궁형태 발달, 맹출중인 치열공간 유지 등 광범위한 부정교합에 대한 치료를 제공합니다.
어린이, 청소년기 교정의 경우
성인이 되고 난후에 교정치료를 하는것보다
성장기를 활용해 교정기간을 단축시킬 수 있고,
골격적인 부정교합을 미리 해소할 수 있으며
외형적인 변화도 많이 개선 시킬수 있는 것이 장점입니다.
따라서!
올바른 성장을 유도하면서
적절한 시기에 맞춰
교정치료를 시작하는 것이 매우 중요합니다.

교정기간 23/8~24/10

교정기간 23/8~24/10
바쁜 학원과 학교생활에
잦은 치과 방문이 고민이시라면
인비절라인은 정해진 날짜에 장치를 바꾸어 교정하는 방식으로
8주 간격, 길게는 3-4개월 간격으로 내원이 가능합니다.
해외거주자도 가능한
유학생인비절라인은
시간적으로 여유가 없는
청소년과 직장인분들의 경우에
특히 더 적합한 교정장치이고
군복무를 하고 있는
군인들에게도 좋은 치료 옵션입니다.
인비절라인퍼스트는 철사교정에 비해 심미적이며
비교적 통증이 적고 이물감이 덜해
전세계적으로 어린이와 청소년기에 가장 선호하는 교정장치입니다.
ABO 미국치과교정과전문의의
높은 숙련도와 많은 경험을 토대로
2022년 인비절라인 플래티넘 등급
2023년 인비절라인 플래티넘엘리트 등급
2024년 인비절라인 다이아몬드 등급을 달성한
유펜바른치과에서 당신의 예쁜 미소를 위해
인비절라인을 시작해 보시는건 어떠실까요?
김승우 대표원장은
미국 아이비리그 명문 UPenn 치대 졸업,
뉴욕 Albert Einstein 의대 부속병원
몬테피오레 메디컬 센터(Montefiore Medical Center)에서
3년간 정식 교정과 수련을 마친
ABO 미국 치과교정과 전문의 (Diplomate of the American Board of Orthodontics, ABO) 입니다.
ABO는 국내 단 13명 (2022년 2월 기준)으로, 유펜바른치과에서 그 치료를 경험해 보실 수 있습니다.
유펜바른치과에서는 치아교정, 인비절라인교정, 일반진료, 임플란트 및 보존과 전문의, 소아치과 전문의의 협진으로 어린이 진료까지 가능합니다.



