UPenn Barun Dental Clinic - English-speaking U.S. Orthodontist & Dentist for Braces and Invisalign
평생 삐뚤어진 치아가 고민이셨던 79세 고령환자분이 선택한 송파인비절라인다이아몬드등급 후기 (서울인비절라인전문치과 잠실인비절라인교정치과 노인교정 노인치아교정 노인교정치과)
교정기간 23/3 ~ 24/8 안녕하세요! 잠실인비절라인 인비절라인다이아몬드등급 인비절라인상위등급 잠실교정치과 유펜바른치과입니다. 다들 잘 지내셨나요? 오늘은 교정 후의 결과가 깜짝놀랄 정도로 좋으셨던 79세 고령 환자분 증례를 소개해드리려고 합니다 :) 보존적인 방법을 추구하는 김승우 원장님께서는 연령을 고려하여...
아카이브 요약
이 페이지의 역할
UPenn Barun Dental Clinic - English-speaking U.S. Orthodontist & Dentist for Braces and Invisalign의 네이버 블로그 원문을 보존한 아카이브 페이지입니다. 치아교정 이야기 카테고리의 평생 삐뚤어진 치아가 고민이셨던 79세 고령환자분이 선택한 송파인비절라인다이아몬드등급 후기 (서울인비절라인전문치과 잠실인비절라인교정치과 노인교정 노인치아교정 노인교정치과) 글을 통해 병원의 한국어 정보 제공 방식과 진료 관련 안내 톤을 확인할 수 있습니다.




교정기간 23/3 ~ 24/8
안녕하세요!
잠실인비절라인
인비절라인다이아몬드등급
인비절라인상위등급
잠실교정치과
유펜바른치과입니다.
다들 잘 지내셨나요?
오늘은
교정 후의 결과가
깜짝놀랄 정도로
좋으셨던
79세 고령 환자분 증례를 소개해드리려고 합니다 :)
보존적인 방법을 추구하는 김승우 원장님께서는
연령을 고려하여 최대한 치아와 잇몸뼈를 보존하는 방법으로
교정을 진행해드리기로 하셨습니다 :)


교정 전 안쪽으로 뻗쳐 있는 치아, 교정 후

환자분께서는
오른쪽 아래 음식물이 자주 껴서 불편하고
앞니가 삐뚤빼뚤해 오래도록 신경이 많이 쓰이셨다고 합니다.
인비절라인은 악궁 확장 기능이 있어
비발치 교정에 주로 사용하는 교정인데요,
'삐뚤빼뚤한 치아와 치아 비대칭'이
평생고민이셧던 환자분의
치아 상태는
윗니는 비발치로,
아랫니는 공간 확보를 위해
우측 아래 옆으로 많이 튀어나온
1개 치아의 발치가 필요한 상황 이었답니다.
인비절라인 발치 교정은
난이도가 있어
저희 유펜바른치과처럼
인비절라인 경험이 많은
인비절라인전문치과
원장님께 진료를 받아보시는게 좋습니다.
유펜바른치과는
높은 숙련도와 많은 경험을 토대로
수많은 강남, 송파 치과에서
몇 안되는
2024년 인비절라인다이아몬드등급 을
달성했습니다 :)
윗니의 경우
인비절라인의 '악궁확장' 기능을 이용해
발치 없이 교정을 진행해드렸습니다.
특수강화 플라스틱 재질인 인비절라인은
치아를 안쪽과 바깥쪽에서 적은 힘으로 지속적으로
잡아주기 때문에
통증없이 악궁을 확장시켜
치아이동을 수월하게 도와줍니다.
치아의 기능적, 심미적인 부분을 고려하여
이 환자분은 인비절라인 종류중에
인비절라인 컴프리헨시브 (Invisalign Comprehensive) 옵션으로 진행을 하셨습니다.
Invisalign Comprehensive는 부정교합이 비교적 심해 보다 많은 인비절라인 장치가 필요한 경우에 적용됩니다.
1st ClinCheck(32개)



교정기간 23/3~24/1


교정기간 23/3~24/1
첫번째 클린체크에서 32개의 장치로 인비절라인을 진행해드렸는데요
wow~!!
튀어나와있던 앞니가 들어가고
안쪽으로 쓰러져 있던 아랫니 치아들이 모두 제 위치를 찾았습니다!!
환자분께서는
이상태로도 너무 만족해하셔서
여기서 교정 끝내도 될것 같다고 하셨어요 ㅎㅎ
HOWEVER,
교정치료의 detailing 을 위해 닥터킴은
마지막 클린체크를 이어갔습니다!
인비절라인은
지난 25여년간 눈부신 발전으로
반대교합의 개선, 발치교정, 비발치교정, 과개교합, 개방교합, 수술교정 등
다양한 복합케이스에 적용이 가능하도록 설계 되었습니다.
2nd ClinCheck(19개)



두번째 클린체크는 19개의 장치를 통해
이전의 클린체크를 상호보완, 개선하여 마무리 해드렸습니다 :)
첫번째 클린체크에서 배열에 중점을 두었다면
두번째 클린체크에서는 교합을 개선시켜
윗니 아랫니들이
제 위치를 찾으며 정리가 되었습니다!!
인비절라인은
치아에 부착되는 어태치먼트의 부착 여부, 위치, 어태치먼트의 종류 선택 등에 따라
치료결과가 확연히 달라질 수 있기때문에
"인비절라인의 본고장" 미국 뉴욕에서
3년간의 정식 교정과전문의 수련을 받고
다양하고 수많은 증례를 경험한
ABO 미국치과교정과전문의 김승우원장님에게
상담받아보시길 권유드립니다!!!

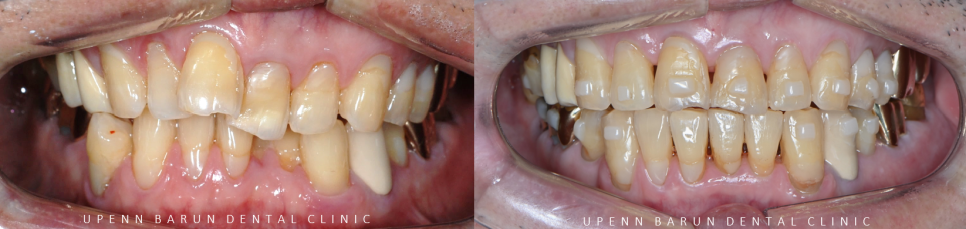
인비절라인교정 치료기간 23/3 ~ 24/8
인비절라인으로 교정 후
안쪽으로 쓰러져있고 삐뚤빼뚤했던 치아들이 가지런히 개선되고
구강 내 각자의 역할을 조화롭게 도와주어
기능적인 부분까지 회복 하실 수 있었어요 :)
교정완료 후에는
치아가 다시 안 틀어지도록
안쪽 치아에 유지장치를 제작해드렸습니다.

교정치료기간 23/3-24/8
79세의 고령 환자분이셨지만
탈부착이 가능하고
위생관리가 용이한 인비절라인으로 교정을 마무리 해드렸는데요,
교정 후에 치열이 가지런해지면서
잇몸관리가 수월해 빨갛게 부어있던 잇몸들이
선홍빛을 띄는 건강한 잇몸 색으로 돌아왔습니다.
심미적인 이유 뿐만 아니라
기능적으로도 많이 개선이 되어
환자분뿐만 아니라 원장님께서도 굉장히 뿌듯해 하셨습니다 :)
ABO 미국치과교정과전문의의
인비절라인치료에 대한
높은 숙련도와 많은 경험을 토대로
2022년 인비절라인 플래티넘등급,
2023년 인비절라인 플래티넘엘리트등급
2024년 인비절라인 다이아몬드등급을 달성한
유펜바른치과에서 당신의 예쁜 미소를 위해
인비절라인을 시작해 보시는건 어떠실까요?
유펜바른치과는
교정치료 중간에 원장님이 바뀔일이 없고
1:1 교정진료를 경험할 수 있는 있습니다.
김승우원장님께서는
전세계 치과교정학회에서 인정받는
ABO 미국 치과교정과 전문의 (Diplomate of the American Board of Orthodontics, ABO) 입니다.
ABO는 국내 단 13명 (2022년 2월 기준)으로, 유펜바른치과에서 그 치료를 경험해 보실 수 있습니다.
김승우 대표원장은
미국 아이비리그 명문 UPenn 치대 졸업,
뉴욕 Albert Einstein 의대 부속병원
몬테피오레 메디컬 센터(Montefiore Medical Center)에서
3년간 정식 교정과 수련을 마친
ABO 미국 치과교정과 전문의 (Diplomate of the American Board of Orthodontics, ABO) 입니다.
유펜바른치과에서는 치아교정, 인비절라인교정, 일반진료, 임플란트 및 보존과 전문의, 소아치과 전문의의 협진으로 어린이 진료까지 가능합니다.




더 보기
이 병원의 공개 콘텐츠를 계속 살펴보세요
출처 아카이브로 돌아가 더 많은 글을 보거나, 병원 프로필로 이동해 다른 공개 채널도 함께 비교해보세요.