UPenn Barun Dental Clinic - English-speaking U.S. Orthodontist & Dentist for Braces and Invisalign
송파인비절라인다이아몬드등급 치과에서 악궁확장장치 없이 반대교합 해결한 후기(인비절라인높은등급 인비절라인반대교합 인비절라인비발치교정 인비절라인잘하는치과 인비절라인교정전문)
안녕하세요 :) 인비절라인다이아몬드등급 인비절라인최상위등급 잠실인비절라인전문 유펜바른치과입니다. 모두 잘 지내셨나요? 치아교정을 통한 심리적인 영향은 치아 자신감 6.1배 상승 소극적인 미소 93%감소 심미적 걱정 72%감소 출처: 인비절라인 위의 결과처럼 치아교정은 다양한 측면에서 긍정적인 결과를 나타내준다고 합...
아카이브 요약
이 페이지의 역할
UPenn Barun Dental Clinic - English-speaking U.S. Orthodontist & Dentist for Braces and Invisalign의 네이버 블로그 원문을 보존한 아카이브 페이지입니다. 치아교정 이야기 카테고리의 송파인비절라인다이아몬드등급 치과에서 악궁확장장치 없이 반대교합 해결한 후기(인비절라인높은등급 인비절라인반대교합 인비절라인비발치교정 인비절라인잘하는치과 인비절라인교정전문) 글을 통해 병원의 한국어 정보 제공 방식과 진료 관련 안내 톤을 확인할 수 있습니다.


안녕하세요 :)
인비절라인다이아몬드등급
인비절라인최상위등급
잠실인비절라인전문
유펜바른치과입니다.
모두 잘 지내셨나요?
치아교정을 통한 심리적인 영향은
치아 자신감 6.1배 상승
소극적인 미소 93%감소
심미적 걱정 72%감소
출처: 인비절라인
위의 결과처럼
치아교정은
다양한 측면에서 긍정적인 결과를
나타내준다고 합니다.
오늘은
삐뚤빼뚤한치아와 주걱턱이
고민이셨던 환자분의
인비절라인 증례를 소개해 드리려고 해요.


환자분께서는
부정교합3급 환자분으로
반대교합이 있으셨습니다.
비발치교정을 원하셨던 이 환자분은
치아 크기에 비해 악궁이 현저히 좁아
악궁확장장치가 필요하신 상황이었습니다. T^T

교정치료기간 22/3-24/10
최첨단 글로벌 투명교정장치 인비절라인은
지난 25여년간의 눈부신 발전으로
반대교합의 개선, 발치교정, 비발치교정, 과개교합, 개방교합, 수술교정 등
다양한 복합케이스에 적용이 가능하도록 설계 되었습니다.
'악궁확장' 기능이 탁월한 인비절라인으로
별도의 악궁확장장치 없이
반대교합이 개선되며 치열이 가지런해졌습니다.
인비절라인의 악궁확장 기능은 무엇인가요?
특수강화 플라스틱 재질인 인비절라인은
치아를 안쪽과 바깥쪽에서 적은 힘으로 지속적으로
잡아주기 때문에
적은 통증으로 악궁을 확장시켜
치아이동을 수월하게 도와줍니다.

교정을 시작하기 앞서
같은 원장님께 교정, 충치치료까지 가능한
유펜바른치과에서
충치치료를 마무리 해드리고
교정을 진행해드렸습니다 :)
1st Clincheck(50개)


첫번째는 50개의 클린체크로 진행되었습니다.
악궁을 점점 확장시켜 생긴 공간에
안쪽으로 들어가있던 앞니들이
점점 제위치를 찾아갑니다 :)
발치 없이, 별도의 악궁확장장치 없이
교정이 가능한
송파인비절라인잘하는치과
잠실다이아몬드등급치과
인비절라인의 위력!
어떠신가요?
2nd Clincheck(33개)


두번째 클린체크에서는
33개의 장치로
어태치먼트 위치와 모양을 변경하여 재부착해드렸는데요.
두번째 클린체크를 마치고 나니
교정이 마무리된 것처럼 확실히 정돈된 느낌이 듭니다.
추가적으로 디테일한 교합을 맞춰드리기 위해
세번째 클린체크를 진행해 드렸어요.
3nd Clincheck(16개)



총교정기간 22/3~24/10
마지막으로
16개의 장치로
세번째 클린체크를 마무리 해드렸습니다.
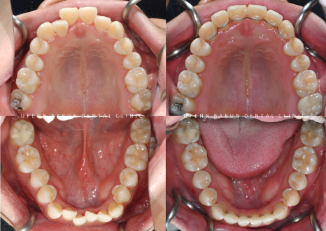
정중선이 맞아지고
정돈된 치열뿐만 아니라
반대교합이 있던 앞니와 어금니 모두
제위치를 찾아 올바른 교합관계가 되었습니다!
웃을때 이전보다 훨씬 세련되고 정돈된 이미지를 주는데요^^
입천장에 교정용 나사를 심어야 하는 악궁확장장치 없이
자체 악궁확장 기능이 있는 인비절라인으로
환자분의 고민이셨던
삐뚤빼뚤했던 치아를 개선하고
난이도 있는 부정교합을 해결해 드리니
환자분뿐만 아니라 저희도 기쁜 마음으로 마무리를 해드렸습니다! :)
클린체크는 몇번이나 해야 하나요?
환자분의 교합상태, 배열, 위치에 따라
클린체크의 횟수와 인비절라인교정장치 갯수가 달라질 수 있다는 점!
교정 난이도에 따라
인비절라인 종류가 나눠지고
그에 따른 클린체크 횟수와 처방은 환자분들마다 다르답니다 :)
환자분께서는
부정교합이 비교적 심해 보다
많은 인비절라인 장치가 필요한 경우에 적용되는
Comprehensive option 으로 총 세번의 클린체크를 통해
교정치료를 진행하셨습니다.


교정치료기간 22/3-24/10
인비절라인은 누가 어떻게 디자인을 하느냐에 따라
교정치료 후 다른 결과물이 나올 수 있으므로
높은 숙련도와 경험이 많은
잠실인비절라인전문치과
잠실인비절라인잘하는곳
인비절라인다이아몬드등급을 달성한
유펜바른치과에서 시작하는 것이 무엇보다 중요합니다★
김승우원장님의 세심한 진료와
환자분의 높은 협조도로
발치 하지 않고 반대교합을 개선하고
치열을 가지런하게 마무리 해드렸습니다.
교정완료 후에는 안쪽에 유지장치를 제작해 마무리 해드렸습니다 :)
반대교합으로
활짝 웃지 못해 고민중이시라면
ABO 미국치과교정과전문의가 상주하는
유펜바른치과에서
아름다운 미소를
되찾아보세요 ❤️
SMILE IS THE PRETTIEST THING YOU CAN WEAR!
김승우 대표원장은
미국 아이비리그 명문 UPenn 치대 졸업,
뉴욕 Albert Einstein 의대 부속병원
몬테피오레 메디컬 센터(Montefiore Medical Center)에서
3년간 정식 교정과 수련을 마친
ABO 미국 치과교정과 전문의 (Diplomate of the American Board of Orthodontics, ABO) 입니다.
ABO는 국내 단 13명 (2022년 2월 기준)으로, 유펜바른치과에서 그 치료를 경험해 보실 수 있습니다.
유펜바른치과에서는 치아교정, 인비절라인교정, 일반진료, 임플란트 및 보존과전문의와 소아치과 전문의의 협진으로 어린이 진료까지 가능합니다.




더 보기
이 병원의 공개 콘텐츠를 계속 살펴보세요
출처 아카이브로 돌아가 더 많은 글을 보거나, 병원 프로필로 이동해 다른 공개 채널도 함께 비교해보세요.