UPenn Barun Dental Clinic - English-speaking U.S. Orthodontist & Dentist for Braces and Invisalign
"치아가 앞으로 뻐드러졌어요!" 송파인비절라인다이아몬드등급치과에서!!(비발치인비절라인 뻐드렁니교정치과 돌출입교정치과)
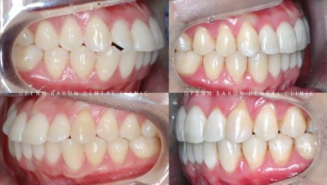
안녕하세요! 잠실인비절라인다이아몬드등급 송파인비절라인많이하는치과 잠실인비절라인전문치과 유펜바른치과입니다. 모두 잘 지내셨나요? 주소: 치아가 앞으로 점점 튀어나와 웃을때 마음껏 못 웃어요. ㅠㅠ 오늘은 위의 주소로 내원해주신 환자분의 비발치 인비절라인교정 증례를 소개해 드리려고 합니다. 10년전 장치교정을 하셨던...
아카이브 요약
이 페이지의 역할
UPenn Barun Dental Clinic - English-speaking U.S. Orthodontist & Dentist for Braces and Invisalign의 네이버 블로그 원문을 보존한 아카이브 페이지입니다. 치아교정 이야기 카테고리의 "치아가 앞으로 뻐드러졌어요!" 송파인비절라인다이아몬드등급치과에서!!(비발치인비절라인 뻐드렁니교정치과 돌출입교정치과) 글을 통해 병원의 한국어 정보 제공 방식과 진료 관련 안내 톤을 확인할 수 있습니다.



안녕하세요!
잠실인비절라인다이아몬드등급
송파인비절라인많이하는치과
잠실인비절라인전문치과
유펜바른치과입니다.
모두 잘 지내셨나요?

주소: 치아가 앞으로 점점 튀어나와
웃을때 마음껏 못 웃어요.
ㅠㅠ
오늘은 위의 주소로 내원해주신 환자분의
비발치 인비절라인교정 증례를 소개해 드리려고 합니다.
10년전 장치교정을 하셨던 환자분은
점점 튀어나오는 앞니때문에 고민이 있으셨고,
뻐드러진 위 앞니의 각도 개선을 위해
두가지의 교정치료계획을 생각해 볼수 있었는데요,
첫번째는 발치를 하지 않고 인비절라인교정
또는
두번째는 작은 어금니 4개를 발치하고 일반철사교정
을 하는 것이였습니다.


총 치료기간: 23/4 - 24/11
작은 어금니 4개를 발치하고 진행하는 발치교정은
뻐드러진 앞니들의 각도 개선은 용이하게 할 수 있겠지만,
안모의 변화까지 줄 수 있습니다.
상기 환자분처럼
입이 나온 편이 아닌 경우,
발치 후 오히려 합죽이가 될 가능성이 있기 때문에
발치를 하지 않고
비발치 인비절라인교정으로 진행하기로 하셨습니다 :)
Q. 발치를 하지 않고 장치교정을 할수는 없나요?
뻐드러진 앞니들이 존재하고
치아사이에 공간이 많이 없는 경우
발치를 하지 않고 교정을 하게 되면
치아 배열은 고르게 될수 있지만
공간이 없어 결과적으로
앞니들이 치료전보다
더 뻐드러질 수 있습니다.
이런 경우에는
자체 악궁확장 기능이 있는
비발치인비절라인을 추천드립니다!

총 치료기간: 23/4 - 24/11
이 환자분은 인비절라인의 옵션 중 하나인
인비절라인 컴프리헨시브 (Invisalign Comprehensive) 옵션으로
세번의 클린체크를 통해 교정치료를 완료하셨습니다.
(Invisalign Comprehensive는 부정교합이 비교적 심해 보다 많은 인비절라인 장치가 필요한 경우에 적용됩니다. )
1st Clincheck(23개 장치)


첫번째 클린체크 치료기간 23/4~23/9

첫번째 클린체크에서는
23개의 장치로 진행이 되었습니다
뻗쳐 있던 앞니들이 많이 들어간 것 보이시나요?
악궁이 점점 확장되고 최소한의 치간삭제를 통해
뻐드러져 있던 앞니들이 안쪽으로 들어가고
맞닿고 있던 위아래 치아들이 점점 제 위치를 찾고 있습니다.
전세계 수백개의 특허를 보유하고 있는 인비절라인은
교정중에도
일상생활을 즐길 수 있도록
-
높은 심미성
-
탈부착 가능
-
위생적인 관리
-
편안함과 적은 통증
5)진료 효율의 극대화 등으로
환자를 배려합니다.
강남인비절라인전문
강남다이아몬드등급치과
유펜바른치과
김승우 원장님께서는
환자분 한분 한분
인비절라인 클린체크 수정을
몇시간에 걸쳐 진행하고 있습니다. :)
2nd Clincheck(17개 장치)


두번째 클린체크 치료기간 23/11~24/2
두번째 클린체크에서는
17개의 장치로 진행해드렸습니다.
추가로 어태치먼트를 부착해
디테일한 작업을 이어나갔는데요.
뻐드러진 각도도 많이 개선이 되었네요 :)
인비절라인은 누가 어떻게 디자인을 하느냐에 따라
교정치료 후 다른 결과물이 나올 수 있으므로
높은 숙련도와 경험이 많은
강남인비절라인다이아몬드등급
유펜바른치과에서 시작하는 것이 무엇보다 중요합니다.
3rd Clincheck(30개 장치)

세번째 클린체크 치료기간 24/4~24/11
마지막으로 30개의 클린체크를 통해 마무리 해드렸습니다.
치아가 튀어나와 보이고,
아랫입술이 다소 나와보이는것을 고민으로 내원해주셨던 환자분께서는
인비절라인교정치료를 통해 치아의 심미적인 요소 뿐만 아니라
기능적인 요소 또한 개선시킬 수 있었어요. :)


총 치료기간: 23/4 - 24/11

총 치료기간: 23/4 - 24/11


총 치료기간: 23/4 - 24/11
10년전 장치교정을 하셨지만
점점 뻐드러지는 치아로 고민이 있으셨던 환자분께서는
비발치 인비절라인을 통해
치아배열, 앞니 각도개선 뿐만 아니라
안모도 개선되어 보이는 효과가 더해져
옆모습까지 조화로워 보입니다 :)
앞니가 튀어나와
활짝 웃지못해
고민이시라면
인비절라인다이아몬드등급치과
유펜바른치과에서
아름다운 미소를 되찾아보시는게 어떠실까요?
"인비절라인코리아 공식 스피커"인
김승우 원장님은 2024년에 이어 2025년 현재
국내 치과의사들과 교정과전문의 선생님들을 대상으로
인비절라인 교정치료에 대해 심도있게
가르치고 강의하는
역할을 맡고 있습니다.
김승우 대표원장은
미국 아이비리그 명문 UPenn 치대 졸업,
뉴욕 Albert Einstein 의대 부속병원
몬테피오레 메디컬 센터(Montefiore Medical Center)에서
3년간 정식 교정과 수련을 마친
ABO 미국 치과교정과 전문의 (Diplomate of the American Board of Orthodontics, ABO) 입니다.
ABO는 국내 단 13명 (2022년 2월 기준)으로, 유펜바른치과에서 그 치료를 경험해 보실 수 있습니다.
유펜바른치과에서는 치아교정, 인비절라인교정, 일반진료, 임플란트 및 보존과 전문의, 소아치과 전문의의 협진으로 어린이 진료까지 가능합니다.




더 보기
이 병원의 공개 콘텐츠를 계속 살펴보세요
출처 아카이브로 돌아가 더 많은 글을 보거나, 병원 프로필로 이동해 다른 공개 채널도 함께 비교해보세요.