UPenn Barun Dental Clinic - English-speaking U.S. Orthodontist & Dentist for Braces and Invisalign
'옥니같이 보여요' 인비절라인급속교정 가능할까? with 캐리에모션장치 (잠실다이아몬드등급 인비절라인다이아몬드등급 서울다이아몬드등급치과 옥니인비절라인후기)
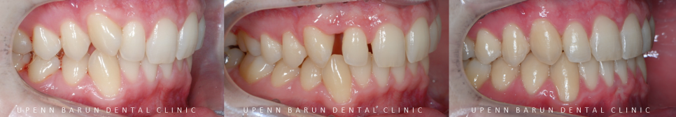
총 교정기간 22/10~ 24/12, 인비절라인 교정기간 23/3~24/12 안녕하세요 :) 인비절라인다이아몬드 잠실다이아몬드등급 잠실교정치과 유펜바른치과입니다 모두 잘 지내셨나요? 위 아랫니가 옥니같아 보여요 T^T 오늘은 위의 주소로 내원해주신 환자분의 케이스를 소개해 드리려고 합니다^^ 옥니란? 치아가 안...
아카이브 요약
이 페이지의 역할
UPenn Barun Dental Clinic - English-speaking U.S. Orthodontist & Dentist for Braces and Invisalign의 네이버 블로그 원문을 보존한 아카이브 페이지입니다. 치아교정 이야기 카테고리의 '옥니같이 보여요' 인비절라인급속교정 가능할까? with 캐리에모션장치 (잠실다이아몬드등급 인비절라인다이아몬드등급 서울다이아몬드등급치과 옥니인비절라인후기) 글을 통해 병원의 한국어 정보 제공 방식과 진료 관련 안내 톤을 확인할 수 있습니다.



총 교정기간 22/10~ 24/12, 인비절라인 교정기간 23/3~24/12
안녕하세요 :)
인비절라인다이아몬드
잠실다이아몬드등급
잠실교정치과
유펜바른치과입니다
모두 잘 지내셨나요?
위 아랫니가
옥니같아 보여요 T^T

오늘은 위의 주소로 내원해주신 환자분의 케이스를 소개해 드리려고 합니다^^
옥니란?
치아가 안쪽으로 기울어 보이는 형태로
치아가 안쪽으로 오그라든것처럼 보여 합죽이 라고도 불리며
이로 인해 '과개교합'이 되기도 합니다.

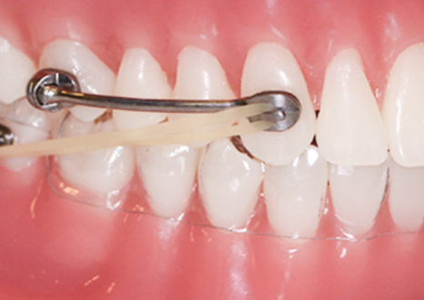
교정전, 캐리에 장치 착용후, 교정완료후 사진 (캐리에 착용기간 22/10~23/2)
환자분은 '캐리에모션장치' 라는 교정장치를 이용해
교정기간을 단축시킨후
인비절라인을 진행해드린 케이스 인데요,
캐리에 교정장치를 이용하면
전후방적인 어금니 교합과 송곳니 교합을 먼저 1급 정상교합으로 만든 후
교정치료를 이어가는 방법으로
인비절라인의 교정기간을 단축시킬 수 있습니다.
치아를 한개씩 이동시키는것이 아닌
윗니 치열을 어금니 쪽으로 한번에 이동시키고
구강내에서 이물감이 적어 일상생활에 큰 지장을 주지 않고
심플한 디자인으로 눈에 적게 띄어 심미적입니다.


캐리에 교정장치
교정 초기에 사용하는 이 장치는
어느정도 구치부 교합관계가 완성되면
인비절라인을 시작해 나머지 치아 배열을 개선시켜 줍니다.
(인비절라인에 반드시 필요한 장치는 아닙니다! 환자분의 부정교합 상태에따라 장치가 필요하지 않을 수 있습니다)
사실 인비절라인만으로도 구치부 교합을 개선할 수 있지만
인비절라인 착용기간이 줄어든다는 장점이 있어
치료 옵션이 될수 있습니다 :)
그럼 어느정도 구치부 교합관계를 개선시켰으니
잠실다이아몬드등급치과
인비절라인다이아몬드등급
유펜바른치과에서
인비절라인으로 어떻게 교정이 되는지 함께 보실까요?
1st Clincheck(27개 장치)


캐리에 교정장치로 어금니 교합을 개선시킨 후
인비절라인 클린체크를 진행해드렸습니다.
교정 후의 모습을 예측할 수 있다는것은
인비절라인의 큰 장점중 하나 인데요^^
인비절라인의 클린체크는
치아가 계획대로 이동되는지 치료중에 확인할 수 있으며
치료의 과정을 더 빨리 진행할지 또는
더 천천히 진행할지에 대한
진단으로도 사용 가능합니다.

총 교정기간 22/10~ 24/12
WOW~!
27개의 장치를 통해
첫번째 클린체크를 마친후의 사진입니다.
캐리에 교정장치 사용 후 생긴 공간으로
치열을 개선시켜 주었습니다.
첫번째 클린체크만으로도 완성도 있게 교정이 잘 되었습니다 :)
2nd Clincheck(33개 장치 )



총 교정기간 22/10~ 24/12
첫번째 클린체크에서
치아배열이 어느정도 완성이 되었으나,
두번째 클린체크 에서는
이전의 클린체크를 보완해 교정치료의 완성도를 높여 줍니다.
앞니에 추가적으로 어태치먼트를 부착해
첫번째 클린체크를 상호보완하여 33개의 장치로 마무리해드렸습니다.
어태치먼트란?
치아의 회전이나, 이동, 높이, 각도 등을 조절할 수 있는 장치로
레진을 치아에 부착해서
치아의 이동을 원하는 위치로 올바르게 배열시켜 주는
인비절라인에서 없어서는 안 될 필수 요소입니다.
3rd Clincheck(20개 장치)



총 교정기간 22/10~ 24/12
마지막으로 세번째 클린체크를 통해
교합과 배열을 세심하게 마무리 해드렸습니다.
환자의 초기 임상상태부터 최종 교합상태까지
모든 치료 단계를 시뮬레이션하고
치아의 미세한 움직임까지 3차원적으로 컨트롤 할 수 있는 인비절라인으로
치아들이 제 위치를 찾으며 정상적인 교합으로 마무리 되셨습니다.
인비절라인은 누가 어떻게 치료 디자인을 하느냐에 따라
교정치료 후 다른 결과물이 나올 수 있으므로
높은 숙련도와 경험이 많은
잠실인비절라인전문치과
잠실다이아몬드등급
인비절라인다이아몬드등급
유펜바른치과에서 시작하는 것이 무엇보다 중요합니다.


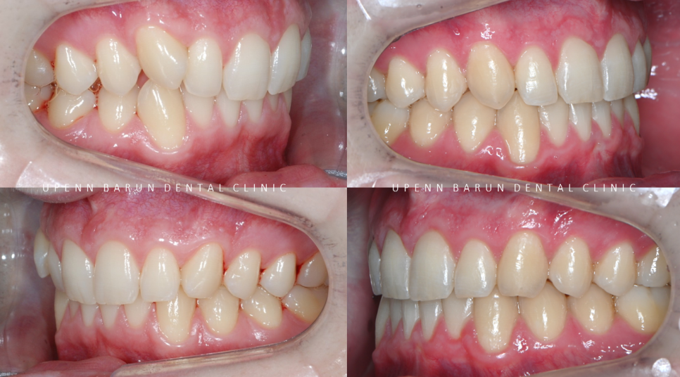
총 교정기간 22/10~ 24/12 인비절라인 교정기간 23/3~24/12
유펜바른치과에서
인비절라인교정 후
옥니가 개선되고
윗니와 아랫니의 교합이 바르게 개선되었습니다.
교정 완료 후
안쪽 유지장치까지 마무리 해드렸습니다 :)
ABO 미국치과교정과전문의의
높은 숙련도와 많은 경험을 토대로
2022년 인비절라인 플래티넘등급,
2023년 인비절라인 플래티넘 ‘엘리트’ 등급
2024년 인비절라인 '다이아몬드' 등급을 달성한
유펜바른치과에서 당신의 예쁜 미소를 위해
인비절라인을 시작해 보시는건 어떠실까요?
"인비절라인코리아 공식 스피커"인
김승우 원장님은 현재
국내 치과의사들과 교정과전문의 선생님들을 대상으로
인비절라인 교정치료에 대해 심도있게
"강의하는"
역할을 맡고 있습니다.
김승우 대표원장은
미국 아이비리그 명문 UPenn 치대 졸업,
뉴욕 Albert Einstein 의대 부속병원
몬테피오레 메디컬 센터(Montefiore Medical Center)에서
3년간 정식 교정과 수련을 마친
ABO 미국 치과교정과 전문의 (Diplomate of the American Board of Orthodontics, ABO) 입니다.
ABO는 국내 단 13명 (2022년 2월 기준)으로, 유펜바른치과에서 그 치료를 경험해 보실 수 있습니다.
유펜바른치과에서는 치아교정, 인비절라인교정, 일반진료, 임플란트 및 보존과 전문의, 소아치과 전문의의 협진으로 어린이 진료까지 가능합니다.



더 보기
이 병원의 공개 콘텐츠를 계속 살펴보세요
출처 아카이브로 돌아가 더 많은 글을 보거나, 병원 프로필로 이동해 다른 공개 채널도 함께 비교해보세요.